El blanqueamiento dental es uno de los tratamientos estéticos más solicitados en las clínicas dentales, gracias a la posibilidad de conseguir unos dientes visiblemente más blancos en poco tiempo. Sin embargo, antes de realizar un blanqueamiento dental, es importante informarse bien sobre sus posibles contraindicaciones y efectos secundarios.
El blanqueamiento dental, ¿perjudica la salud tus dientes? ❌

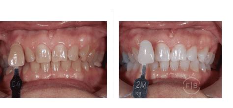
¿Qué es el Blanqueamiento Dental?
El blanqueamiento dental es un procedimiento estético popular y generalmente seguro para aclarar el tono de los dientes. A lo largo de la vida, el color dental natural experimenta, en algunos casos, variaciones considerables que pueden revertirse por medio de reacciones químicas. Para el blanqueamiento de dientes vitales (blanqueamiento externo) se utiliza habitualmente peróxido de hidrógeno (H2O2) o peróxido de urea (peróxido de carbamida al 10%). En contacto con el diente, el peróxido de carbamida se descompone en la parte activa de H2O2 (3,4%) y urea (6,6%). Esta última se descompone entonces en amonio y CO2. El H2O2 es capaz de penetrar en el esmalte y en la dentina y producir radicales libres, los cuales transforman los cromóforos (tinciones) en moléculas incoloras mediante oxidación.
Candidatos Ideales y Contraindicaciones
Aunque el blanqueamiento dental profesional está considerado un procedimiento seguro cuando se realiza bajo supervisión odontológica, no todas las personas son candidatas ideales. Por ejemplo, las personas que presentan problemas periodontales activos, caries sin tratar o hipersensibilidad dental severa no deberían someterse a un blanqueamiento hasta haber solucionado estos problemas.
- Problemas periodontales activos: Deben tratarse antes del blanqueamiento.
- Caries sin tratar: Pueden agravarse con el procedimiento.
- Hipersensibilidad dental severa: El blanqueamiento puede intensificarla.
Limitaciones del Blanqueamiento Dental
Uno de los errores más comunes es pensar que cualquier tipo de mancha en los dientes puede eliminarse con un blanqueamiento. Sin embargo, las manchas causadas por traumatismos, medicamentos como tetraciclinas, o fluorosis no suelen responder bien al tratamiento convencional. Otro punto importante es que el blanqueamiento dental no tiene efecto sobre empastes, fundas, carillas o coronas. Esto significa que, si tienes restauraciones visibles, el resultado final puede ser desigual, con zonas más claras que otras.
Precauciones Especiales
En el caso de mujeres embarazadas o en periodo de lactancia, no se recomienda realizar un blanqueamiento dental, ya que no existen estudios concluyentes sobre la seguridad del procedimiento en estas etapas. Lo mismo ocurre con los menores de 18 años, en quienes el uso de peróxidos puede afectar el esmalte y la estructura dental en desarrollo.
Efectos Secundarios Comunes
Aunque el blanqueamiento dental es un procedimiento odontológico muy seguro, rápido, indoloro y de fácil aplicación, podemos encontrar una serie de efectos secundarios:
- Sensibilidad dental: Uno de los efectos secundarios más comunes tras un blanqueamiento es la sensibilidad dental. Puede manifestarse como molestias ante bebidas frías o calientes, o incluso al respirar aire por la boca.
- Irritación de las encías: Otro efecto secundario frecuente es la irritación de las encías. Cuando el gel blanqueador entra en contacto con los tejidos blandos, puede provocar inflamación, enrojecimiento o incluso pequeñas úlceras.
- Reacciones alérgicas: En casos muy puntuales el paciente puede sufrir una reacción alérgica a alguno de los componentes blanqueadores.
Cuando el tratamiento se realiza de forma controlada, no hay evidencia de que el blanqueamiento dental cause daños permanentes en los nervios dentales ni en las encías.
Métodos de Blanqueamiento
Cabe distinguir entre diversos métodos de blanqueamiento:
- Home Bleaching: Consiste en la utilización por el propio paciente en su casa (habitualmente peróxido de carbamida al 10%). En la clínica dental, tras la toma de impresión de las arcadas dentarias se confecciona una férula portadora (férula embutida) que el paciente rellena con un gel blanqueador y utiliza habitualmente por las noches durante unas ocho horas (entre cinco y diez aplicaciones).
- In-Office Bleaching: Consiste en la aplicación en la clínica dental. En este caso se trabaja con H2O2 hasta el 30% (aceleración del proceso de blanqueamiento). Este método está especialmente indicado en caso de tinciones pronunciadas. En el chairside bleaching, el paciente permanece sentado en el sillón durante todo el tratamiento, mientras que en el in-office-bleaching permanece en la sala de espera con una férula durante el proceso de blanqueamiento y el agente blanqueador aplicado se activa mediante lámparas de radiación durante unos 15min (blanqueamiento termocatalítico).
- Blanqueamiento Interno (Técnica Walking Bleach): Se utiliza en caso de dientes endodonciados, los cuales en ocasiones adquieren una coloración grisácea. Se aclaran desde dentro hacia fuera con H2O2 al 30% o solución de perborato de sodio. Para ello, el odontólogo introduce la solución en la porción coronal de la cavidad pulpar.
Riesgos y Efectos Secundarios Estudiados
- Efectos tóxicos locales o generales inducidos por el peróxido de hidrógeno: Hasta la fecha no se han descrito riesgos tóxicos o cancerígenos en el ser humano. La pequeña cantidad de peróxido de hidrógeno utilizada en todas estas técnicas permite excluir todos estos riesgos.
- Efectos sobre los distintos tejidos dentales (esmalte y dentina): Según los distintos estudios de que disponemos, que son muy variados, no hay cambios o hay ligeras alteraciones en estos tejidos que componen el diente.
- Efectos sobre las encías: Se puede observar una irritación de estos tejidos durante el tratamiento, que desaparece al suspenderlo.
- Efecto sobre la pulpa: El principal efecto secundario se produce en la pulpa, dando lugar a una hipersensibilidad, es decir, una mayor sensibilidad a los cambios de temperatura. Este fenómeno, ampliamente descrito en la literatura y por nuestros pacientes, es transitorio y reversible. Ningún estudio ha demostrado hasta la fecha efectos irreversibles.
- Efectos sobre los materiales de restauración en la boca: Los productos de blanqueo parecen modificar el estado de la superficie de ciertos materiales estéticos. Todas las restauraciones denominadas estéticas, que se van a realizar después del blanqueo, deben posponerse unos días, pero en ningún caso deben realizarse inmediatamente después del tratamiento.
Duración del Efecto y Mantenimiento
La duración del efecto del blanqueamiento dental varía en función de diversos factores, aunque suele mantenerse entre 12 y 24 meses. Factores como el consumo de café, té, vino tinto o tabaco, así como una higiene dental deficiente, pueden acelerar la aparición de manchas y reducir la duración del tratamiento. El tono conseguido tras el blanqueamiento dental tiende a perder intensidad de forma gradual. No obstante, realizar sesiones de mantenimiento periódicas o tratamientos complementarios puede ayudar a conservar un color más uniforme.
Recomendaciones y Precauciones
No es aconsejable el blanqueamiento en pacientes con higiene oral deficiente, obturaciones inestancas, cuellos dentales expuestos, dientes hipersensibles, una intolerancia al agente blanqueador o consumo habitual de café, tabaco y otros productos similares. El blanqueamiento también está contraindicado en embarazadas, en jóvenes y en caso de expectativas excesivas por parte del paciente (no puede conseguirse un «blanco nuclear» a partir de un color dental muy oscuro).
Blanqueamiento Dental en Casa: Lacer Blanc White Flash
Lacer Blanc White Flash es un blanqueador dental de uso domiciliario, que se comercializa sin necesidad de receta. Se presenta como una alternativa rápida y cómoda para mejorar el tono dental desde casa. Aunque es un producto aprobado para su uso, no está exento de contraindicaciones. Personas con sensibilidad dental, encías delicadas o patologías bucales no deberían usarlo sin antes consultar con un dentista. Este tipo de productos no está recomendado en caso de embarazos, lactancia, menores de edad, portadores de ortodoncia o prótesis visibles.
Mitos y Realidades del Blanqueamiento Dental
Existen algunos mitos relacionados con este procedimiento. Por ejemplo, se cree que los productos milagro para blanquear los dientes ofrecen resultados excelentes a un precio mucho más bajo. Lamentablemente, esto se trata de un engaño. El blanqueamiento dental es un procedimiento odontológico donde se requiere que un especialista en Estética Dental evalúe, aplique y supervise todo el tratamiento. Al contar con un experto durante el proceso se reducirán drásticamente los riesgos de sufrir un efecto secundario.
Tabla de Efectos Secundarios y Recomendaciones
| Efecto Secundario | Descripción | Recomendaciones |
|---|---|---|
| Sensibilidad Dental | Molestias ante cambios de temperatura o al respirar aire frío. | Usar pasta dental desensibilizante, evitar alimentos muy fríos o calientes. |
| Irritación de Encías | Inflamación, enrojecimiento o pequeñas úlceras en las encías. | Asegurarse de que el gel no entre en contacto con las encías, usar férulas a medida. |
| Reacciones Alérgicas | Molestias causadas por alergia a los componentes del gel blanqueador. | Suspender el tratamiento y consultar al dentista. |
| Quemaduras de Tejidos Blandos | Quemaduras en boca, labios y encías por productos caducados o de alta concentración. | Utilizar productos recomendados por el dentista y seguir las instrucciones. |

Consejos para Reducir los Riesgos
Existen algunas acciones o hábitos que podemos adquirir para reducir los efectos secundarios de un blanqueamiento dental. Por ejemplo, modificar nuestra dieta, reducir el uso del tabaco y mejorar ciertos aspectos de nuestra higiene bucodental puede ser cruciales para preservar el blanco de nuestra sonrisa por más tiempo.
- Visita centros especializados: Reducirá drásticamente los riesgos de sufrir un efecto secundario.
- Cambia tu pasta común por una desensibilizante: Tapar los poros abiertos que dejan vulnerable a la dentina.
- Ten en cuenta lo que comes: Evitar ingerir alimentos a temperaturas extremas y limitar alimentos y bebidas de alta tinción.
- Evita los remedios caseros o productos milagro: No garantizan un blanqueamiento dental idóneo e incluso, pueden llegar a dañar el esmalte dental debido a sus propiedades abrasivas.
tags: #el #blanqueamiento #dental #es #malo