El sarro dental es uno de los problemas bucodentales más comunes que afecta a millones de personas. A diferencia de la placa bacteriana, el sarro no se puede eliminar con el cepillado doméstico y requiere atención profesional. El sarro dental, también conocido como cálculo o tártaro dental, es una acumulación endurecida de placa bacteriana que se forma en los dientes cuando esta no se elimina adecuadamente.

El sarro en los dientes es algo muy común en las personas de todas las edades. Según la encuesta de Salud Oral en España (2020), más del 30% de los adolescentes lo padecen, en torno a un 67% de los adultos también y más de 70% de los mayores de 65 años sufren esta patología. Pero, ¿qué es el sarro dental?
¿Qué es el Sarro?
El sarro, también llamado cálculo o tártaro dental, es consecuencia del endurecimiento de la placa bacteriana. La placa bacteriana es una película que se deposita sobre los dientes y está compuesta de bacterias, saliva, restos de comida y células muertas. Aparece en todas las personas.
La placa dental va depositándose continuamente en los dientes, a lo largo del día y la noche. Incluso, después de cepillar los dientes, la placa se desarrolla en su superficie al cabo de unas 24 horas. Si la placa no se retira mediante el cepillado, después de aproximadamente 72 horas, comienza a endurecerse y se convierte en sarro al entrar en contacto con sales minerales presentes en la cavidad bucal.
Además, la placa permite la proliferación de bacterias entre las que se incluyen las que producen la caries, de ahí la importancia del cepillado diario y el uso de seda dental. El sarro es por tanto resultado del endurecimiento de esa placa bacteriana no retirada.
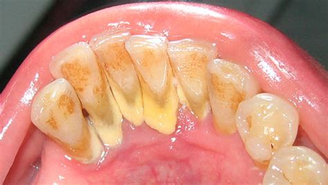
Forma un recubrimiento blanquecino o amarillento en la base de los dientes, en especial en los dientes inferiores anteriores por el lado de la lengua y en los molares superiores por el lado de la mejilla. La placa puede eliminarse mediante el cepillado diario, sin embargo, el sarro no puede eliminarse mediante cepillado y solo pueden eliminarlo adecuadamente un dentista o un higienista dental.
El sarro está compuesto en su mayor parte (del 70 al 90%) por elementos inorgánicos ―sales minerales―, que se combinan con sustancias orgánicas como proteínas, carbohidratos y, en menor medida, lípidos. Además de poder provocar problemas de salud como caries dentales, gingivitis o halitosis, el sarro dental constituye un problema estético.
¿Qué Causa el Sarro?
Como acabamos de ver, la ausencia o deficiencia de higiene dental es la principal causa de formación del sarro: si no se retira periódicamente, la placa dental se acumula, endurece y mineraliza, lo que da lugar a la formación del sarro. Otra causa de la aparición del sarro es la malposición de los dientes.
Factores de Riesgo
Además de una incorrecta higiene bucal, existen otros factores que propician la aparición del sarro. Entre ellos, se encuentran los siguientes:
- El consumo excesivo de alimentos o bebidas ricos en azúcar.
- El tabaquismo. Fumar o vapear no solo mancha los dientes, sino que también favorece la formación de sarro.
- El consumo excesivo de café, té o vino.
- El uso incorrecto o prolongado de algunos colutorios.
- La malposición o mala alineación de los dientes. Ello aumenta la dificultad de llevar a cabo una higiene adecuada y, por tanto, de retirar correctamente la placa dental.
- Factores genéticos que afectan a la saliva como el grado de acidez (pH). Cuando nuestro pH no cuenta con el nivel de acidez adecuado, nos hace más propensos a la formación de sarro. Las personas que tienen saliva con un pH más ácido son más propensas a las caries porque contribuye a debilitar el esmalte.
- Producir una cantidad insuficiente de saliva debido al uso de medicamentos u otras condiciones médicas.
- Tener edad avanzada. Con el paso de los años, las encías pueden retraerse, lo que expone una mayor superficie dental a la acumulación de placa y a la formación de sarro.
¿Cómo es el Sarro?
El sarro tiene la apariencia de una costra gruesa que cubre los dientes, sobre todo la parte trasera de las piezas delanteras inferiores, que es una zona más difícil de limpiar. También puede formarse entre las piezas dentales y el borde de las encías.
Inicialmente su color es blanquecino, pero se mancha con facilidad y puede adquirir un tono amarillento o amarronado. Asimismo, puede presentarse acompañado de hinchazón y enrojecimiento de las encías, cuadro conocido como gingivitis. Una capa de suciedad en tus dientes puede indicar que tienes sarro.
¿Qué Tipos Existen?
En función de su localización, el sarro puede ser:
- Supragingival: Se acumula en la superficie visible de los dientes y encías.
- Subgingival: Se localiza por debajo de la línea de la encía, por lo que es más difícil de percibir. Se ubica por debajo de la línea de la encía, focalizándose a su vez en la raíz del diente, siendo poco visible lo que hace que sea más dañino.

¿Qué Problemas Puede Provocar en la Boca?
Si no se elimina correctamente la placa bacteriana y se forma sarro, pueden producirse, en función del tipo de bacterias predominantes, los siguientes problemas en la boca:
- Gingivitis: La placa y el sarro irritan e inflaman las encías, que se hinchan y sangran. Se pueden formar “bolsillos” en los que pueden proliferar bacterias. Gingivitis: el cúmulo de sedimentos en dientes afecta especialmente a los tejidos blandos, produciendo inflamación e irritación de las encías. Dicha inflamación viene acompañada de sangrado y edema sin llegar al desgaste del hueso. Esta enfermedad es atacable por medio de un tratamiento periodontal básico, el cual va dirigido a desinflamar la zona.
- Periodontitis: Es una forma más severa de la enfermedad de las encías, en la que los ligamentos y el hueso que soportan el diente se destruyen. Con frecuencia, desencadena la pérdida de la pieza dental. Periodontitis: la acumulación del sarro bajo las encías, produce sangrado y debilidad absoluta ocasionando pérdidas de inserción.
- Caries dentales: Son agujeros o cavidades que dañan la estructura del diente. Se producen cuando las bacterias presentes en la placa metabolizan los azúcares y producen ácidos capaces de disolver el esmalte con el paso del tiempo.
- Mal aliento (halitosis): Debido a menudo a una mala higiene oral, las bacterias presentes en la boca segregan compuestos de azufre que producen un olor desagradable. Puede ocurrir que el sarro no sea visible, pero que sí se perciba el mal aliento. Los “bolsillos” que se crean por la gingivitis y periodontitis acumulan bacterias y pueden incrementar la halitosis.
- Aumento de la sensibilidad en los dientes: Sobre todo al frío y/o al calor.
Además, los trastornos dentales pueden llegar a provocar una gran variedad de problemas de salud sistémicos como trastornos digestivos o enfermedades cardiovasculares, entre otros. Problemas digestivos: se producen a causa de la infección que al tragar pasa por el tracto digestivo. Además de problemas estéticos, que pueden ocasionar baja autoestima por tener los dientes amarillentos, la acumulación de sarro dental provoca problemas de salud bucodental a medio y largo plazo.

¿Cómo se Trata el Sarro?
No es posible eliminar el sarro con el cepillado. A diferencia de la placa bacteriana que se puede eliminar en casa, el sarro dental no puede eliminarse con un cepillado de dientes. Una vez se ha formado, solamente el odontólogo puede retirarlo mediante una tratectomía, una limpieza dental que permite extraerlo mediante el uso de instrumentos especiales. Además, el sarro puede extraerse con un aparato que emite ultrasonidos que lo desintegran.
Se trata de un procedimiento indoloro y que no requiere ningún tipo de anestesia, aunque puede resultar un poco molesto para personas con elevada sensibilidad dental; en este caso, puede emplearse un espray con un anestésico local para insensibilizar el área. En el caso de que el sarro se haya acumulado bajo las encías, es necesario realizar un curetaje o raspado dental. Este implica una limpieza más profunda, que sí suele requerir la aplicación de anestesia local.
Para eliminar el sarro en los dientes, utilizamos un tratamiento profesional llamado tartrectomía o raspado radicular. Si el sarro ha profundizado ocasionando la pérdida de encía la limpieza será más profunda, con necesidad de anestesia local.
En primer lugar, el dentista hará uso de la punta de ultrasonidos para eliminar los depósitos de cálculo. Posteriormente, el higienista empleará la seda dental, pasándola por todas las superficies de las piezas. Además, aplicará tiras de pulir y la pasta de profilaxis, que eliminarán cualquier mancha superficial. Si el paciente presentase más resistencias, el odontólogo utilizará un aeropulidor con spray de bicarbonato.
La profilaxis es un proceso totalmente indoloro para el paciente, que no requiere de anestesia. No obstante, en ocasiones, una profilaxis puede no ser suficiente para eliminar todo el sarro dental, especialmente si se acumula debajo de la línea de la encía. En estos casos, la persona podría padecer periodontitis.
Tipos de Limpieza Dental Profesional
Existen diferentes tipos de limpieza dental profesional para eliminar el sarro:
- Profilaxis Dental Profesional:
- Primero se emplea una punta de ultrasonidos para eliminar las piedras o cálculos de sarro depositados sobre los dientes. El ultrasonidos emplea una vibración y agua a presión para ir removiendo este sarro.
- A continuación se emplea la seda dental y las tiras de pulir interproximales para eliminar el sarro que queda entre los dientes.
- Por último se emplea la pasta de profilaxis para dejar la superficie completamente lisa y pulida con el fin de evitar que vuelva a formarse sarro.
- Curetaje o Raspado Radicular:
Este tipo de limpieza es una limpieza más profunda para retirar el sarro que se encuentra debajo de la encía. Se retira mediante un instrumento llamado cureta. El procedimiento se realiza bajo anestesia local para evitar molestias. Es posible que después del tratamiento puedas notar algún dolor leve, que desaparece con la ingesta de antiinflamatorio o analgésicos. Durante el proceso puede aumentar sensibilidad dental, por ello se pueden emplear productos que reduzcan la sensibilidad.

¿Cómo Prevenir el Sarro y la Placa Dental?
Para reducir al mínimo la placa bacteriana y evitar así que se forme el sarro, es necesario limpiar todos días los dientes, la lengua, las encías, el paladar y el interior de las mejillas. Si bien el sarro no se elimina con una buena higiene mental, sí se previene con esta. La principal forma de evitar el sarro es manteniendo una higiene bucodental correcta. Para ello, lo ideal es cepillarse los dientes después de cada comida, con un mínimo de dos veces al día.
En concreto, una higiene oral completa debe incluir los siguientes cuidados personales:
- Cepillarse los dientes cuidadosamente: Debe hacerse tras cada comida pero, sobre todo, es fundamental realizar un cepillado profundo antes de irse a dormir, cuando baja la producción de saliva y los movimientos de la lengua, ya que estos contribuyen a remover la placa bacteriana. Para ello, solemos aconsejar dividir la boca en cuatro sectores: dos arriba y dos abajo.
- Tipo de cepillo: Puede utilizarse un cepillo manual o eléctrico, aunque estos últimos han demostrado retirar la placa con mayor eficacia si cuentan con tecnología oscilatoria-rotatoria. Los cepillos eléctricos tienen mayor efectividad de limpieza que los cepillos manuales. En todo caso, se recomienda que el cepillo tenga cerdas suaves o medias y que el cabezal no sea demasiado grande para que llegue a todos los rincones de la boca.
- Cepillarse las encías: Tras los dientes, debe cepillarse con suavidad la dentadura a lo largo de la línea de las encías.
- Usar un dentífrico con flúor: El dentífrico que usemos para el cepillado debe incluir flúor en su fórmula, porque ayuda a prevenir las caries. También existe la opción de realizar enjuagues bucales fluorados tras el cepillado dental. En niños deben emplearse dentífricos adaptados a su edad en contenido de flúor. Utilizar dentífricos y colutorios con flúor, ya que ayuda a evitar que la placa dental se endurezca y se transforme en sarro.
- Limpiarse los espacios interdentales: Si existe espacio suficiente, debe emplearse un cepillo interproximal o, si no, hilo o seda dental. Ambos deben usarse al menos una vez al día, preferiblemente por la noche, con el fin de asegurar la limpieza de las caras laterales de los dientes y que no queden restos de comida entre ellos. Asimismo, se aconseja el uso del hilo dental o cepillos interproximales, así como un enjuague bucal para reforzar la eficacia de la limpieza oral.
- Irrigador bucal: También se puede emplear un irrigador de agua para eliminar los desechos que se encuentren entre los dientes y debajo de las encías. Es especialmente importante la limpieza con cepillo interproximal, seda o irrigador, en personas que lleven implantes o puentes, ya que los espacios entre los dientes y la retracción de las encías pueden favorecer la acumulación de placa en espacios difícilmente accesibles.
- Limpiarse la lengua: También es importante limpiar la lengua, pues en ella se acumula gran cantidad de bacterias. Para limpiarla, hay que cepillarla varias veces desde la parte más interna hasta la punta. Debe frotarse suavemente hacia adelante usando el cepillo de dientes o un limpiador lingual, ya que en ella se acumulan un gran número de bacterias.
- Visitas al dentista: Además, los expertos recomiendan un examen rutinario de los dientes al menos una vez al año y una limpieza profesional cada seis o doce meses con el fin de eliminar el sarro, ya que este puede acumularse en los dientes incluso aunque se lleve a cabo en casa una buena higiene dental. Lo recomendable es acudir al dentista al menos una o dos veces al año para hacerse una limpieza completa de los dientes y un examen oral.
- Alimentación: La adecuada alimentación también influye en la salud bucal. Intentar no picar cosas dulces o beber zumos y refrescos entre horas.

Estos son algunos de los consejos para prevenir el sarro dental. Cada vez hay más estudios y profesionales que demuestran lo que expone Brendborg. Ya sabes, prevenir el sarro no solo contribuye a mejorar tu salud, ¡sino a aumentar tu vida! El agua actúa como limpiador. No subestimes al sarro porque es un enemigo silencioso de la salud bucodental y recuerda que la prevención es clave.
Es imprescindible realizar un buen cepillado de los dientes, al menos durante un tiempo de 5 minutos.
Nº1 REMEDIO CASERO para ELIMINAR la PLACA, el SARRO y PREVENIR la CARIES
| Medida | Descripción |
|---|---|
| Cepillado dental | Realizar un cepillado adecuado después de cada comida, especialmente antes de dormir. |
| Hilo dental/Cepillos interproximales | Utilizar al menos una vez al día para limpiar entre los dientes. |
| Enjuague bucal con flúor | Usar después del cepillado para fortalecer el esmalte dental. |
| Visitas al dentista | Realizar revisiones y limpiezas profesionales cada 6-12 meses. |
| Alimentación | Reducir el consumo de alimentos y bebidas azucaradas entre comidas. |