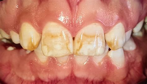
Las manchas blancas en los dientes de los niños suelen causar mucha intranquilidad entre los padres. Los dientes son originalmente de un color blanco-azulado, sin embargo, existen diferentes factores que pueden afectar a su coloración y hacer que aparezcan manchas en la superficie dental o cambiar por completo la tonalidad de los dientes. Las manchas blancas en los dientes de los niños son áreas de color blanco opaco que suelen aparecer en la superficie de los dientes. Es importante que lleves a tu hijo al dentista para determinar la causa de las manchas blancas en sus dientes y recibir el tratamiento adecuado.

¿Por Qué Aparecen las Manchas en los Dientes de Bebés y Niños?
Las manchas en los dientes de leche pueden deberse a causas internas o externas. El odontopediatra es el profesional que debe valorar el origen de las coloraciones y su tratamiento. En algunos casos, la aparición de manchas se puede prevenir, mientras que en otros se debe a alguna patología, lesión o un efecto adverso de algún fármaco. El tratamiento de las manchas dependerá del tipo de coloración, su localización (si afecta a un solo diente o a toda la dentadura), la afectación a nivel de salud y estética.
Las manchas en los dientes de bebés y niños pequeños pueden adquirir diferentes tonalidades, desde la aparición de manchas blancas, hasta coloraciones amarillas, marrones, grisáceas y negras. Aunque se trata de casos poco frecuentes, también pueden observarse manchas de color rojo debido a ciertas patologías.
Causas Comunes de las Manchas Blancas
- Falta de higiene bucal: provoca desmineralizaciones en la superficie del esmalte. Una higiene bucodental inadecuada en los primeros años de vida puede provocar la formación de placa bacteriana en la superficie dental y su mineralización en cálculo dental.
- Caries incipiente: Las manchas blancas pueden ser un síntoma de caries infantil incipiente. Estas caries suelen manifestarse como ligeras coloraciones, y localizadas en el área del diente más próxima a la zona de la encía. Sin embargo, si no se tratan y se dejan evolucionar, la caries puede progresar y las manchas se oscurecen y pueden adquirir un color marrón o negro.
- Traumatismos: Una fractura o un golpe fuerte en el diente puede provocar cambios en la coloración de la pieza afectada. Estas pueden adquirir una tonalidad rosada, amarillenta, marrón grisáceo o incluso negra. La causa de este cambio de coloración se debe, generalmente, a una hemorragia en el interior del diente o, en los casos más graves, a una necrosis pulpar, la muerte total o parcial del nervio.
- Fluorosis dental: Se trata de la ingesta excesiva de fluoruro durante la formación de los dientes definitivos. El flúor tiene un efecto beneficioso en la prevención de las caries. Sin embargo, si se ingiere en grandes cantidades y por un tiempo prolongado durante el periodo de formación de los dientes puede dañar el esmalte de los dientes. Es lo que se conoce como fluorosis dental.
- Hipoplasia dental: En ocasiones, existe un déficit de mineralización del esmalte Como consecuencia, pueden aparecer machas blancas o marrones en los dientes, grietas o grandes desgastes. La causa de la hipoplasia dental puede ser genética, por enfermedades infecciosas (rubeola, viruela, etc.), malnutrición o prematuridad al nacer, entre otras.
- Medicamentos: la ingesta de algunos medicamentos como la tetraciclina puede originar este tipo de lesiones en los dientes de los niños. Al hablar de fármacos, el principal fármaco que suele provocar este efecto adverso es la tetraciclina. Las manchas suelen aparecer cuando la madre toma este antibiótico durante el embarazo o el periodo de lactancia.
- Incompatibilidad sanguínea: Cuando la madre y el bebé tienen diferentes tipos sanguíneos, la bilirrubina se deposita en los dientes primarios en desarrollo, los cuales adquieren una tonalidad verde o marrón café. Se trata de una condición temporal, ya que solo afecta a los dientes de leche.
- Otras patologías: Patologías como la atresia biliar pueden provocar manchas verdes o amarillas en los dientes de leche, mientras que la hepatitis neonatal puede ocasionar una coloración amarillenta o marrón.

¿Qué Hago Si Mi Hijo Tiene Manchas Blancas en los Dientes?
Si detectas que a tu hijo le aparecen manchas blancas en sus dientes, lo más recomendable es acudir a un odontopediatra para que estudie y valore su situación, identifique las causas y aplique un tratamiento para resolver el problema. No hay que esperar a observar un cambio en la coloración de los dientes para acudir al odontopediatra. Ante un traumatismo o golpe fuerte en la boca, hay que valorar la gravedad de la lesión. El objetivo es la preservación del diente de leche, siempre que sea posible, y prevenir procesos infecciosos.
Además, es importante comprobar que tu hijo aprende a realizar una rutina de higiene dental completa y correcta y estar junto a él durante su cepillado para supervisar el estado de sus dientes y esmalte con frecuencia y así identificar lo antes posible este problema.
Tratamientos para las Manchas Blancas en los Dientes
Evidentemente, el tratamiento necesario para las manchas blancas dependerá de su causa, gravedad y del paciente. Existen tratamientos para mejorar la apariencia de los dientes y su indicación dependerá del tamaño y de la profundidad de las manchas en el esmalte.
- Remineralización con flúor: Si la mancha blanca es por desmineralización incipiente (inicio de caries), el primer paso es devolver minerales al esmalte. Podemos aplicar barnices de flúor de alta concentración sobre el área blanca para que el esmalte vuelva a fortalecerse.
- Microabrasión dental: Esta técnica estética es genial cuando tenemos manchas blancas superficiales en el esmalte (típico en fluorosis leve o alguna hipoplasia localizada). Consiste en pulir una capa muy fina del esmalte superficial para literalmente “desbastar” la mancha.
- Infiltración con resina (ICON): Un avance relativamente reciente es la infiltración de lesiones blancas con resina fluida. Se trata de aplicar un producto de resina muy líquida sobre la mancha blanca (previamente preparamos el esmalte con un gel ácido para abrir sus poros) y dejar que la resina penetre en el esmalte poroso. Luego la resina se endurece con luz.
- Blanqueamiento dental profesional: Si las manchas blancas son generalizadas o muy leves, a veces un blanqueamiento dental convencional ayuda a unificar el color.
- Carillas dentales o reconstrucciones con resina: Esta es la solución definitiva para manchas blancas muy resistentes o extensas. Carillas de porcelana: finas láminas de cerámica que se pegan en la cara visible del diente, tapando por completo las manchas.
¿Cómo eliminar manchas en los dientes sin desgastarlos, en una sola cita y sin carillas?
¿Cómo Prevenir las Manchas Blancas en los Dientes?
Algunos de los problemas de la dentadura que se manifiestan en la edad adulta tienen su origen en la infancia. Por ello, los expertos recomiendan cuidar la salud bucal de los más pequeños desde los primeros meses de edad. Cuidar el esmalte dental, cuya función es proteger al diente, es imprescindible para evitar la aparición de manchas blancas en los dientes.

Consejos para la prevención:
- Buena higiene bucodental: enseña a tu hijo a cepillarse los dientes correctamente, al menos, dos veces al día con pasta dental que contenga la cantidad de fluoruro adecuada para su edad. Cepíllate los dientes al menos dos veces al día con un cepillo suave y pasta dental con flúor.
- Controla la cantidad de flúor en los niños: un exceso de flúor durante el desarrollo de los dientes puede provocar fluorosis, que se manifiesta con manchas blancas. No le suministres a tu hijo esta clase de productos durante la infancia sin consultarlo con un dentista. Es importante también que el consumo de alimentos con una alta concentración de flúor sea moderado.
- Dieta equilibrada: hay que reducir el consumo de alimentos y bebidas azucaradas, ya que el azúcar puede aumentar el riesgo de caries dentales. Una alimentación rica en frutas, verduras y lácteos aporta los minerales que el esmalte necesita para mantenerse fuerte.
- Revisiones periódicas: programa visitas regulares al dentista, al menos, cada seis meses o según recomiende su odontólogo. El y niños debería ser precoz.
Tipos de Fluorosis Dental en Niños
Podemos distinguir 5 diferentes tipos de fluorosis dental en los niños atendiendo a su gravedad:
| Tipo de Fluorosis | Descripción |
|---|---|
| Muy leve | Áreas opacas que no abarcan más del 2 % de la superficie del diente. |
| Leve | Manchas opacas en menos del 50% de la superficie. |
| Moderada | Cuando el esmalte luce un tono opaco en más del 50% de la superficie. |
| Grave | Las manchas ocupan la totalidad del esmalte. |
En definitiva, recuerda que los dientes afectados por fluorosis dental no están enfermos. Sin embargo, hay casos específicos con alteraciones en el color y la estructura del esmalte dental e incluso manchas en la superficie de los dientes, que se avistan cuando erupcionan los definitivos.