La gingivitis es una inflamación de las encías, una afección común pero que no debe tomarse a la ligera. En este artículo, exploraremos en detalle qué es la gingivitis, sus causas, síntomas, y los tratamientos disponibles para prevenir complicaciones graves como la periodontitis.

¿Qué es la Gingivitis?
El término técnico para la inflamación de las encías es gingivitis. Se trata de una infección de las encías por gérmenes de la cavidad bucal. La gingivitis consiste en la inflamación de las encías, causada por la placa dental.
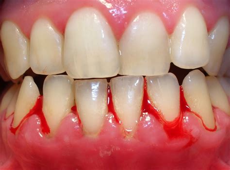
Posiblemente tengas sensación de picor, encías rojas, hinchadas, sensibles, te sangran tras cepillarte los dientes, e incluso tienes mal aliento. Estos son algunos síntomas de la gingivitis. La gingivitis es una enfermedad reversible.
¿Es contagiosa la gingivitis?
Como la gingivitis suele ser una infección bacteriana, también es contagiosa y puede transmitirse a través de la saliva.
Causas de la Gingivitis
En la mayoría de los casos, la inflamación de las encías se debe a una falta de higiene bucal. Nuestra cavidad bucal es un auténtico biotopo para innumerables bacterias que se alimentan de restos de comida. Cuantos más restos de comida dejemos en la boca, más rápido se propagarán las bacterias.
Así es como se desarrolla normalmente la inflamación de las encías: Si los dientes y los espacios interdentales no se limpian a fondo y con regularidad, se acumula placa, sobre todo en la línea de las encías. Las bacterias y otros gérmenes pueden propagarse y multiplicarse maravillosamente en esta placa. A continuación, atacan las encías.
Si no eliminas la placa con regularidad, los minerales de la saliva se acumulan y la endurecen hasta formar sarro. La diferencia entre placa y sarro es que la placa se puede eliminar con un cepillo de dientes, pero no el sarro. El sarro sólo puede ser eliminado por profesionales dentales que utilicen el equipo adecuado.
Existen otros factores que pueden contribuir al desarrollo de la gingivitis:
- Tabaquismo: El consumo de tabaco puede aumentar significativamente el riesgo de padecer enfermedades periodontales.
- Diabetes: Existe una relación bidireccional que demuestra que la diabetes predispone a las afecciones de las encías.
- Cambios hormonales: Las alteraciones en los niveles hormonales durante el embarazo, la pubertad o la menopausia pueden promover la respuesta inflamatoria.
- Ciertos medicamentos: Algunos medicamentos pueden favorecer la inflamación de las encías.
Síntomas de la Gingivitis
La gingivitis puede ser una afección silenciosa, ya que sus síntomas iniciales a menudo son leves y pueden pasar desapercibidos. El primer signo suele ser el sangrado de las encías: Cuando te cepillas los dientes, la pasta que escupes no es blanca, sino de color rojizo.
Los síntomas más comunes incluyen:
- Encías rojas e inflamadas.
- Sangrado al cepillarse los dientes o usar hilo dental.
- Mal aliento persistente.
- Sensibilidad dental.
- Retracción de las encías.
Cómo lavarse los dientes correctamente - El cepillado dental ©

Tipos de Gingivitis
Existen diferentes tipos de gingivitis, entre ellos:
- Gingivitis hipertrófica: Producida por determinados fármacos, sobre todo los antiepilépticos, se manifiesta con encías muy inflamadas y rojas.
- Gingivitis hipertrófica localizada o gravídica: Se debe a factores hormonales en las mujeres embarazadas y se manifiesta con inflamación localizada y sangrante.
- Gingivitis ulcerosa necrotizante aguda: Es una forma de gingivitis con un curso especialmente grave. Esta forma agresiva de gingivitis es muy poco frecuente y se da principalmente en personas con un sistema inmunitario debilitado.
Diagnóstico de la Gingivitis
Si su gingivitis no mejora, debe acudir al dentista al cabo de una semana como máximo para que la revise y prevenir posibles daños consecuentes causados por la periodontitis. Por lo general, su dentista puede reconocer la gingivitis a simple vista.
El diagnóstico de la gingivitis se realiza mediante una evaluación dental completa, que incluye un examen físico de las encías y radiografías para evaluar la salud del hueso subyacente. Para comprobar si existe riesgo de periodontitis, el dentista mide el surco -la ranura entre el diente y la encía- con una sonda. Lo ideal es que este surco tenga menos de tres milímetros de profundidad.
El dentista puede solicitar otros exámenes: Una radiografía de la mandíbula muestra si el hueso ya se ha roto por la periodontitis. Un análisis de saliva proporcionará información sobre el tipo de bacterias que causan la inflamación de las encías.
Tratamiento de la Gingivitis
En caso de gingivitis, lo más importante es un cuidado dental exhaustivo. Aunque sea desagradable e incluso pueda sangrar, una limpieza dental a fondo es una prioridad absoluta y el mejor remedio contra la gingivitis bacteriana. La inflamación aguda de las encías desaparecerá por sí sola.
El tratamiento se centra en reducir la inflamación, eliminar la placa bacteriana y prevenir su acumulación futura. Los pasos clave incluyen:
- Higiene bucal minuciosa: Cepillarse los dientes al menos dos veces al día con un cepillo de dientes suave y pasta dental fluorada.
- Uso de hilo dental o cepillos interdentales: Para eliminar la placa y los restos de comida entre los dientes.
- Limpieza dental profesional: Programa citas regulares para una limpieza dental profesional.
- Raspado y alisado radicular: En casos más graves, puede ser necesario un tratamiento llamado raspado y alisado radicular.
- Enjuagues bucales: El estándar de oro para tratar la inflamación de la boca es el principio activo clorhexidina, que en términos sencillos mata todas las bacterias de la cavidad bucal. La clorhexidina está disponible en forma de colutorios, pomadas o geles, que le recomendará su dentista.
| Tratamiento | Descripción | Beneficios |
|---|---|---|
| Cepillado Dental | Cepillar los dientes dos veces al día con pasta dental fluorada. | Elimina la placa y previene la acumulación de bacterias. |
| Hilo Dental | Usar hilo dental diariamente para limpiar entre los dientes. | Elimina la placa y los restos de comida en áreas difíciles de alcanzar. |
| Limpieza Profesional | Visitas regulares al dentista para limpiezas profundas. | Elimina el sarro y la placa endurecida que no se pueden quitar con el cepillado regular. |
| Raspado Radicular | Procedimiento para eliminar la placa y el sarro debajo de la línea de las encías. | Reduce la inflamación y promueve la curación de las encías. |
| Enjuagues Bucales | Usar enjuagues bucales con clorhexidina. | Mata las bacterias y reduce la inflamación. |
Prevención de la Gingivitis
Prevenir la gingivitis es clave para mantener una buena salud bucal y evitar complicaciones mayores. Una dieta equilibrada rica en vitaminas y minerales, especialmente vitamina C y calcio, fortalece las encías y los dientes.
Algunos hábitos para evitar la gingivitis o, si ya la padeces, pero de forma leve, son:
- Cepillarse los dientes al menos por la mañana y por la noche. Lo ideal es después de cada comida.
- Utilizar el hilo dental al menos dos veces al día. Incluso aunque sangren las encías por ello.
- Utilizar un enjuague bucal antibacteriano. No es necesario que indique que sirve contra la gingivitis, lo importante es acabar con las bacterias que causan la placa dental.
- Cambiar regularmente el cepillo de dientes y limpiarlo bien de vez en cuando.
- Acudir a una limpieza dental periódica.
- Dejarse aconsejar sobre la pasta dental y el enjuague adecuado, ya que no siempre las que dicen ser para el cuidado de las encías sirven para tratar un problema concreto.
- Preguntar al dentista si es correcta la forma de cepillarte los dientes, de utilizar el hilo dental… o cualquier otra duda que tengas.
Complicaciones de la Gingivitis no Tratada
Si no se trata adecuadamente, la gingivitis puede llevar a complicaciones graves que afectan más allá de la salud bucal. La inflamación crónica de las encías también puede tener otras repercusiones.
Cuando la gingivitis avanza y no se trata, se convierte en Periodontitis. Esta enfermedad produce una infección de las encías, que daña el tejido blando y puede evolucionar con la pérdida del hueso que sostiene los dientes y de la encía que los recubre.
Síntomas de la periodontitis:
- Retracción de las encías.
- Infecciones que pueden generar mucho dolor.
- En casos graves, cuando la pérdida del hueso está muy avanzada, los dientes se mueven y, finalmente, se caen.
tags: #encias #inflamadas #gingivitis #grave