El significado del color de las encías va mucho más allá de un simple rasgo estético; en realidad, las encías actúan como un "termómetro" de nuestra salud bucal. Las encías hablan, y su color es una de las formas más claras en las que tu cuerpo puede alertarte de que algo necesita atención. Desde nuestra clínica dental en Málaga, te insistimos en la importancia de revisar periódicamente el color de tus encías frente al espejo.
Por lo general, las encías sanas tienen un tono rosado y pálido. En cambio, unas encías rojas pueden indicar la existencia de un problema de salud bucodental.
En este artículo, exploraremos las causas de las encías muy rojas, cómo identificar los problemas y qué tratamientos están disponibles para mantener una boca sana.
Encías inflamadas: por qué se inflaman y tratamiento para la inflamación
El Color Rosado: Signo de Encías Saludables
Cuando hablamos del significado del color de las encías, el tono rosado es, sin duda, el que más se asocia a una buena salud bucal. Este color es el reflejo de unas encías sanas, bien irrigadas y libres de inflamación o infecciones. Las encías saludables suelen tener un color rosado pálido, uniforme y una textura firme y ligeramente rugosa (similar a la piel de una naranja).
Pero ¿cómo deben lucir exactamente unas encías saludables? Las encías sanas presentan un color rosado claro y uniforme, sin manchas, zonas más oscuras (excepto en casos de pigmentación racial natural) ni áreas blanquecinas. Al presionarlas suavemente, no deben sangrar ni doler, y al cepillarnos o usar hilo dental tampoco deberían sangrar ni presentar sensibilidad anormal. Este color y textura firme son señales de que el tejido gingival está bien oxigenado y con un flujo sanguíneo adecuado, sin acumulación de placa. También reflejan que no hay infecciones activas ni daño en los tejidos de soporte dental.

¿Qué Significa el Enrojecimiento de las Encías?
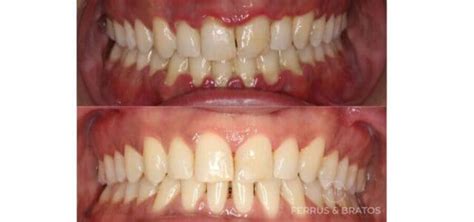
El significado del color de las encías es una herramienta clave para entender qué está ocurriendo en nuestra boca. Si bien las encías sanas deben ser rosadas, un cambio hacia un tono rojo más intenso o una apariencia inflamada puede ser señal de alerta.
Es importante entender que el enrojecimiento de las encías no es normal ni “algo que pasará solo”. Es un síntoma que nos indica que las encías están reaccionando ante una agresión, ya sea bacteriana, mecánica o inflamatoria. El significado del color de las encías es una señal valiosa sobre el estado de nuestra salud bucal y, en ocasiones, de nuestra salud general.
Causas Comunes de Encías Rojas
Normalmente, las encías rojas están causadas por una enfermedad periodontal, ya sea la gingivitis o la periodontitis.
- Gingivitis: Es la causa más habitual de las encías rojas. La gingivitis es una enfermedad periodontal leve y reversible. Está provocada por la acumulación de bacterias en la boca debido a una higiene oral insuficiente o incorrecta. Una de las causas más comunes del enrojecimiento de las encías es la gingivitis, una inflamación superficial provocada por la acumulación de placa bacteriana. Esta película pegajosa de bacterias y restos de alimentos irrita el tejido gingival, generando enrojecimiento, hinchazón y, en muchos casos, sangrado al cepillarse. La gingivitis es reversible si se trata a tiempo mediante una correcta higiene oral y una limpieza profesional.
- Periodontitis (piorrea): Al igual que la gingivitis, es otra enfermedad que afecta a las encías. Sin embargo, la periodontitis es más grave y más compleja de tratar. Cuando la gingivitis no se controla, puede evolucionar hacia la periodontitis, una enfermedad más profunda que afecta también el hueso que sostiene los dientes. En la periodontitis, las encías no solo están rojas e inflamadas, sino que también pueden retraerse, formar bolsas periodontales y presentar movilidad dental.
- Acumulación de placa bacteriana: La placa bacteriana es una película pegajosa que se forma constantemente en los dientes y encías. Si no se elimina correctamente con el cepillado y el uso de hilo dental, la placa irrita las encías, provocando inflamación.
- Irritación o alergia por el uso de productos dentales: Hay personas que presentan sensibilidad o alergia a determinados componentes incluidos en dentífricos o colutorios.
- Traumatismos o lesiones: Los golpes o heridas en la boca también pueden causar enrojecimiento en las encías. Por ejemplo, esto puede suceder al morderse accidentalmente, cepillarse demasiado fuerte o usar hilo dental de manera incorrecta.
- Tabaquismo: Fumar empeora la salud de la boca, puede provocar cáncer oral y contribuye al enrojecimiento de las encías. La nicotina estimula la producción de melanina y ésta provoca la formación de placas sobrepigmentadas o el oscurecimiento general de las encías.
- Cambios hormonales.
- Otras condiciones médicas.
Otras Alteraciones en el Color de las Encías
Si bien el tono rosado pálido es el que tradicionalmente asociamos con encías saludables, no todas las personas presentan ese color de manera natural. En algunos casos, es normal que las encías tengan un tono más oscuro, debido a características genéticas. La hiperpigmentación fisiológica de las encías está causada por un mayor depósito de melanina en el tejido gingival.
Aunque solemos asociar unas encías saludables con un tono rosado claro y uniforme, hay casos en los que las encías adquieren un color pálido. Esto puede ser un indicio de diversas condiciones que merecen atención. Las encías pálidas pueden indicar una disminución en el flujo sanguíneo en los tejidos gingivales o de una alteración en la producción de hemoglobina.
Posibles Significados de Otros Colores
- Color morado, azul o negro: Si notas que tus encías adquieren un color morado, azul o negro de manera repentina o localizada, debes consultar a un profesional. Una encía de color azulado o violáceo puede indicar una disminución del oxígeno en la sangre o una alteración en la circulación local. Un golpe directo en la encía o una lesión puede provocar sangrado interno y acumulación de sangre bajo el tejido gingival; lo que genera una mancha violácea o azulada.
- Encías pálidas o blanquecinas: Una de las causas más frecuentes de este color es la anemia, una condición que implica niveles bajos de glóbulos rojos o de hemoglobina. Otra causa posible de encías blanquecinas es la presencia de infecciones fúngicas, siendo la más común la candidiasis oral. Esta infección produce manchas blanquecinas que no solo afectan las encías, sino también la lengua, el paladar y la parte interna de las mejillas. Asimismo, las encías blancas pueden estar relacionadas con lesiones leucoplasias, que se manifiestan como placas blancas persistentes que no se desprenden al rascado.

Forma y Textura de las Encías: Indicadores de Salud
Además del color, la forma y la textura de las encías también son indicadores relevantes de su estado de salud.
- Forma de las encías: En condiciones normales, las encías deben tener una línea suave y uniforme que rodea los dientes, adaptándose a su contorno sin presentar irregularidades. Otra alteración en la forma de las encías es la recesión gingival, que ocurre cuando las encías se retraen dejando expuesta la raíz del diente.
- Textura de las encías: Las encías sanas presentan una superficie ligeramente rugosa, lo que refleja un tejido firme y bien adherido al hueso subyacente. Por el contrario, unas encías muy lisas, brillantes o edematosas suelen ser signo de inflamación activa.
- Sangrado de las encías: El sangrado de las encías es, sin duda, una de las señales de alerta más claras. Las encías sangrantes pueden ser un signo de gingivitis, la etapa inicial de la enfermedad periodontal. La acumulación de placa, una película pegajosa llena de bacterias, es la principal culpable.
Tratamientos para las Encías Rojas
El tratamiento de las encías rojas depende de cuál sea el origen de dicha condición.
- Higiene bucodental: Normalmente, las encías rojas se deben a la falta de higiene oral y a la presencia de gingivitis o periodontitis. Cepillarse los dientes suavemente después de cada comida. Es importante que, aunque sientas molestias, no descuides tu salud bucal. Usa hilo dental para quitarte los restos de comida entre los dientes.
- Limpieza bucodental profesional: Este es el tratamiento más adecuado para las personas que tienen las encías rojas por la presencia de gingivitis. Una limpieza profesional en tu clínica dental de confianza permite eliminar la acumulación de placa y sarro que contribuye a la inflamación de las encías.
- Raspado y alisado radicular: Este procedimiento -también conocido como curetaje- está indicado en casos de periodontitis.
- Medicamentos: Las encías rojas también se pueden tratar con determinados fármacos que ayudan a combatir las bacterias propias de la gingivitis y la periodontitis. Es posible que la solución consista sólo en medicamentos antiinflamatorios.
- Modificación de hábitos: Evitar el tabaco, el alcohol y mantener una dieta equilibrada puede ayudar a reducir la inflamación de las encías.
- Tratamiento específico: En casos de gingivitis o periodontitis más avanzadas, puede ser necesario un tratamiento adicional, como el raspado y alisado radicular o la cirugía periodontal.
Consejos para Prevenir las Encías Rojas
En general, podemos decir que para prevenir las encías rojas es fundamental cuidar la salud bucodental.
- Cepillado frecuente: Hay que cepillarse los dientes después de cada comida durante, al menos, dos minutos.
- Tabaco: Fumar empeora la salud de la boca, puede provocar cáncer oral y contribuye al enrojecimiento de las encías.
- Consumo de agua: Resulta recomendable beber entre seis y ocho vasos de agua al día.
¿Cuándo Consultar al Dentista?
Detectar una alteración en el color de las encías puede generar preocupación, especialmente si se acompaña de otros síntomas como inflamación, dolor o sangrado. El significado del color de las encías es una herramienta clave para identificar posibles problemas de salud bucal o general.
Si observas que tus encías se ven más rojas, pálidas, moradas, azuladas, blanquecinas o presentan manchas oscuras que antes no estaban, es importante no ignorarlo. Lo primero que debes hacer es agendar una consulta con tu odontólogo de confianza. Aunque algunas variaciones en el color pueden deberse a factores benignos, otros cambios pueden estar asociados a inflamación, infecciones, enfermedades periodontales o deficiencias nutricionales.
Si el profesional lo considera necesario, puede recomendar tratamientos específicos, desde una limpieza profunda hasta procedimientos más avanzados, según la causa del cambio de color.

Como has visto, muchos de los factores que provocan encías rojas se pueden controlar con una higiene oral adecuada y unos buenos hábitos de vida. En cualquier caso, si notas algún cambio en el color o el aspecto de tu tejido gingival no dudes en contactarnos.