En Odontomed Institut Dental entendemos que un diente roto puede generar incomodidad y preocupación. Afortunadamente, la tecnología moderna nos permite devolverte tu sonrisa y confianza.

A pesar de que el esmalte dental es realmente fuerte, en ocasiones puede partirse o astillarse al sufrir un traumatismo o por la presencia de caries. Las fracturas pequeñas no suelen provocar dolor, pero cuando son más grandes sí, ya que el nervio puede verse afectado.
Evaluación y Tratamiento de un Diente Roto
Cuando llegas a nuestra clínica con un diente roto, evaluamos la situación de manera completa, analizando en detalle la magnitud de la rotura. Trabajamos con tecnología de vanguardia, como radiografías y exploración visual.
Opciones de Tratamiento
- Obturación Dental: Si la pieza se ha roto por una caries o un pequeño daño, lo podemos reparar utilizando una obturación dental. Este proceso implica eliminar el tejido dañado y rellenar la cavidad resultante con un material de obturación, como la resina compuesta.
- Corona Dental: En casos de fracturas más extensas, es posible que recomendemos una corona dental. Una corona es una cubierta protectora que se coloca sobre el diente roto para restaurar su forma, función y apariencia natural.
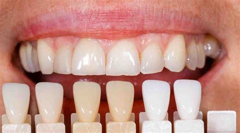
- Carillas Dentales: Si el diente roto es solo una pequeña astilla o está afectado solo en su parte frontal, las carillas dentales pueden ser la mejor opción. Las carillas son finas láminas de porcelana que se adhieren a la superficie frontal del diente, corrigiendo imperfecciones, restaurando la forma y mejorando la estética general de tu sonrisa.
- Extracción Dental e Implantes: En situaciones en las que el diente roto no puede ser reparado o restaurado, es posible que se requiera la extracción dental. En nuestra clínica, ofrecemos soluciones de reemplazo permanente, como implantes dentales.
Tratamientos Estéticos Adicionales
En nuestras clínicas dentales AAS disponemos de equipos de odontólogos especializados en tratamientos de estética dental, que devuelven la posibilidad de sonreír sin complejos a los pacientes. Ofrecemos tres tratamientos imprescindibles para mejorar la estética de su sonrisa.
- Blanqueamiento con Luz Fría LED: Si tiene los dientes amarillos, manchados o de un tono oscuro, pregunte por nuestro blanqueamiento con luz fría LED número uno en el mercado. Mediante un agente blanqueador y la luz activadora, se pueden aclarar varios tonos del color original.
- Corrección de la Sonrisa Gingival: Hay pacientes que tienen una «sonrisa gingival», donde la proporción de encía mostrada al sonreír, es mucho mayor que la de los dientes.
- Carillas para Alteraciones Estéticas: Son finas láminas de porcelana que se adhieren en la cara externa de los dientes para corregir pequeñas alteraciones de forma, color o posición.

Manchas Blancas en los Dientes
Las manchas blancas en los dientes son un problema estético común que afecta tanto a adultos como a niños. Las manchas blancas son áreas del esmalte dental que se ven más opacas o descoloridas en comparación con el resto del diente.
Causas de las Manchas Blancas
Existen varias causas que pueden provocar manchas blancas en los dientes. Las manchas blancas también son frecuentes en niños debido a su exposición al flúor y al desarrollo dental.
Las manchas blancas en los dientes no suelen causar dolor ni problemas de salud graves, pero sí pueden ser motivo de preocupación estética. Existen diferentes tipos de manchas blancas, cada una con causas específicas y posibles tratamientos.
- Manchas por Fluorosis: Son manchas blancas opacas y suelen ser simétricas en los dientes frontales.

Quitando manchas blancas con ICON 🦷 con Dra Andrea Muro
Tratamiento con Icon Vestibular
Existen varias opciones para eliminar las manchas blancas en los dientes. Los métodos de tratamiento varían en función de la causa de las manchas y el grado de afectación del esmalte.
Una de las soluciones más avanzadas y recomendadas para tratar las manchas blancas es el tratamiento con Icon Vestibular. Este procedimiento utiliza una resina microinvasiva que se infiltra en las áreas porosas del esmalte afectado.
Este tratamiento debe ser realizado por un dentista profesional, quien evaluará el caso específico y preparará la superficie del diente para asegurar la adherencia de la resina. Es importante mencionar que, aunque existen numerosos remedios caseros para las manchas blancas en los dientes, como el uso de bicarbonato o vinagre, estos métodos no son efectivos y pueden dañar el esmalte.
Los profesionales de la odontología cuentan con el conocimiento y las herramientas necesarias para tratar las manchas blancas de manera segura y efectiva. Gracias a tratamientos avanzados como Icon Vestibular, es posible eliminar las manchas blancas de manera microinvasiva y sin dañar la estructura dental.
Información del Autor: Dra. Marta Herrero, Médico Odontólogo, Especialista en Estética Dental, Carillas y Microcarillas. Especialista en Odontología Estética.