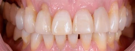
En la práctica odontológica actual, la estética dental juega un papel crucial. La armonía en color y forma de las piezas dentales es altamente valorada. Sin embargo, los odontólogos a menudo se enfrentan a situaciones clínicas complejas al realizar exámenes diagnósticos, especialmente en pacientes que buscan blanqueamiento dental y presentan lesiones en el tercio gingival.
Estas lesiones, caracterizadas por la pérdida de sustancia dental, pueden ser compatibles con la erosión ácida, abfracciones o caries. Además, muchos pacientes experimentan hipersensibilidad ante cambios térmicos o estímulos táctiles. Se estima que millones de personas sufren de sensibilidad dental ocasional o crónica, y un alto porcentaje puede experimentar sensibilidad durante el blanqueamiento dental.

Lesiones cervicales no cariosas
¿Qué es la Erosión Cervical Dental?
La erosión dental es la pérdida progresiva e irreversible del tejido duro dental debido a procesos químicos que no involucran bacterias. A diferencia de las caries, la erosión es causada por ácidos que disuelven la estructura del diente.
Este fenómeno patológico representa una forma distintiva de desgaste dental químico, diferenciándose claramente de otros mecanismos como la atrición (desgaste por contacto diente-diente) o la abrasión (desgaste por agentes mecánicos externos).
Causas de la Erosión Cervical Dental
El desgaste dental es la pérdida de estructura dental causada por el envejecimiento dental, el contacto incorrecto entre los dientes, el apretamiento inconsciente (bruxismo), por patologías o por malos hábitos.
La erosión dental es el resultado de la conjunción de varios factores de riesgo tanto químicos y biológicos como alimentarios. Dentro de estos encontramos los factores intrínsecos, que corresponden a causas directamente relacionadas con la salud del individuo, y también encontramos factores extrínsecos, los que corresponden a factores externos al individuo, pero que generan un impacto igual de importante en el resultado final.
Factores Intrínsecos
De manera general, los factores intrínsecos se refieren a factores propios de la fisiología y/o fisiopatología del cuerpo, como por ejemplo anormalidades en el tracto gastrointestinal o bajo flujo salival, lo que se traduce en falta de enjuague y amortiguación de ácidos en la cavidad bucal generando desmineralización en las superficies dentales.
- Saliva: La saliva desempeña un papel crucial en la dilución de agentes erosivos, neutralización de ácidos y mantenimiento del equilibrio mineral. La disminución del flujo salival reduce esta protección.
- Película Adquirida: Capa protectora formada por proteínas salivales que actúa como barrera contra los ácidos. Su formación es más lenta en dientes primarios.
- Enfermedad por Reflujo Gastroesofágico (ERGE): El reflujo de ácidos estomacales hacia la cavidad oral causa erosión, especialmente en las superficies palatinas de los dientes anteriores.
- Fármacos: Algunos medicamentos pueden reducir el flujo salival, incrementando el riesgo de erosión.
Factores Extrínsecos
En cuanto a los factores de origen extrínseco, estos corresponden a sustancias ácidas externas, como por ejemplo la desmineralización por bebidas carbonatadas (bebidas saborizadas con dióxido de carbono que le otorga la efervescencia) y bebidas no carbonatadas, como jugos de frutas ácidas.
- Bebidas Ácidas: Bebidas carbonatadas (pH 2.3-3.5), zumos cítricos (pH 2.8-4.0) y bebidas deportivas (pH 2.4-4.5) son altamente erosivas.
- Alimentos Ácidos: Cítricos, vinagres, adobos y frutas ácidas contribuyen a la erosión.
La desmineralización ácida se produce debido a que el valor del pH, calcio, fosfato y fluoruro contenidos en una bebida o producto alimenticio determina el grado de saturación con respecto al mineral del diente, que corresponde a la fuerza impulsora para la disolución.

Erosión dental por dieta ácida
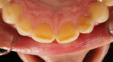
Diagnóstico de la Erosión Cervical Dental
Respecto a la evaluación diagnóstica, apenas a la observación se visualicen clínicamente como erosiones o se evalúe cierto riesgo de una lesión en el tercio gingival, éste debe ser cuantificado con la mayor precisión posible. En todos los casos se debe correlacionar la observación con el relato clínico del paciente relacionado con la sintomatología (tabla 2).
El diagnóstico preciso requiere una historia clínica detallada, explorando factores de riesgo dietéticos, médicos y comportamentales. El examen clínico debe evaluar la textura superficial, el contorno y la presencia de exposición dentinaria. La documentación fotográfica y los modelos de estudio seriados facilitan la detección de cambios progresivos.
Tratamiento y Prevención
El concepto básico se focaliza en el tratamiento, sellado y restauración del tejido perdido de la forma más conservadora y predecible.
Para los casos de sensibilidad moderada o intensa, debe realizarse un tratamiento personalizado basado en la evidencia científica y los hábitos (estilo de vida) de cada paciente.
Resulta fundamental que en función del diagnóstico se elabore un plan de tratamiento de la sensibilidad dentaria como paso previo a la realización de cualquier tratamiento blanqueador.
El momento óptimo para intervención debe equilibrar mínima invasividad con prevención de daño estructural irreversible o compromiso pulpar. La conservación máxima de estructura dental representa principio cardinal, priorizando técnicas adhesivas directas o indirectas sobre preparaciones tradicionales más invasivas.
Medidas Preventivas
- Higiene Bucal Adecuada: Utilizar cepillos de cerdas suaves y técnicas de cepillado no agresivas.
- Control de la Dieta: Reducir el consumo de bebidas y alimentos ácidos.
- Fluoruro: Usar pastas de dientes y enjuagues bucales con flúor para fortalecer el esmalte.
- Remineralización: Utilizar productos con calcio y fosfato para promover la remineralización del esmalte.
- Tratamiento de la Sensibilidad: Utilizar productos desensibilizantes y sellar las áreas afectadas.
Se podrá incorporar el uso de algún elemento remineralizante y desensibilizante (ej.: Mi Paste), indicado para ser utilizado durante las dos semanas previas al blanqueamiento, sea con la aplicación en la misma cubeta individual o con una topicación diaria (sin enjuague); o bien la pasta Sensodyne Repair&Protect, con Novamin -una avanzada tecnología de fosfato de calcio que crea una capa reparadora, similar a la hidroxiapatita, sobre la dentina expuesta y los túbulos dentinales, proporcionando alivio del dolor producido por la hipersensibilidad dental-, o Colgate Sensitive Pro Alivio basada en la tecnología Pro-Argin a base de un aminoácido llamado arginina que está naturalmente en la saliva (Colgate-Palmolive 2008).
También se recomienda, una vez retirado el gel blanqueador, aplicar un gel tópico de fluoruro de sodio neutro durante media hora (ej.: Flor Opal-Ultradent Products -Hipersensitive-).

Tratamiento de la erosión dental
Opciones de Restauración
- Restauraciones Directas: Composites nanohíbridos o nanorellenos ofrecen excelente pulibilidad y resistencia.
- Resinas con Modulador de Contracción: Minimizan el estrés de polimerización y mejoran la adaptación a la superficie dental.
- Incrustaciones de Cerámica: Para cubrir la parte del diente perdido y devolverle así su función.
- Circonio: Se utiliza para dientes que tienen muy poca estructura remanente, ya que es el material más resistente.
Para desgastes severos y generalizados que precisen de una rehabilitación completa, realizaremos un diseño digital previo y lo imprimimos en una maqueta de cera para probarlo antes de fabricar la cerámica y/o circonio. En la mayoría de casos se realiza una férula de descarga al finalizar el tratamiento para conservar los resultados.
En este caso se utilizó la nueva tecnología de resinas con modulador de contracción, que permite bajar el nivel de stress de polimerización mejorando la adaptación de la misma a la superficie dentaria, disminuyendo la sensibilidad postoperatoria.
El esmalte de dientes primarios y permanentes jóvenes presenta menor grado de mineralización y mayor porosidad, resultando más susceptible a desmineralización erosiva. Las estrategias preventivas deben adaptarse específicamente, considerando desarrollo cognitivo, influencia parental y presión social.
Pacientes con xerostomía iatrogénica por radiación de cabeza y cuello o polifarmacia presentan riesgo extremadamente elevado de erosión dental acelerada.
La erosión dental es una condición que implica la pérdida progresiva de la estructura de los dientes debido a diversos factores. Este problema puede afectar tanto a la estética como a la funcionalidad de la dentadura, y sus causas son tan variadas como sus manifestaciones.
El desgaste dental no tratado puede derivar en problemas más graves, como caries, fracturas dentales o la necesidad de tratamientos más invasivos.