La erosión dental se define como la pérdida de estructura dental por un proceso químico sin la intervención de la flora bacteriana. La desmineralización del tejido dental duro, por disolución de los cristales de apatita, puede llegar a producir destrucción total de los dientes.
El problema de la erosión dental afecta al esmalte de los dientes, y sus efectos perjudiciales no solo afectan al plano estético, ya que también pueden influir de forma negativa en otros factores para la salud, como la sensibilidad dental.
6 sencillos consejos para evitar la erosión dental
¿Qué es la Erosión Dental?
La erosión dental es uno de los diferentes tipos de desgastes dentales que existen, junto con la abrasión, la atrición y la abfracción. En el caso de la erosión dental, esta sucede cuando se produce un daño en el esmalte dental causada por ácidos ajenos a los presentes en la placa bacteriana.
De esta forma, se podrían distinguir dos tipos de erosión:
- Erosión intrínseca: cuando la causa de la erosión está producida por el propio organismo humano, como los ácidos gástricos. Se da frecuentemente en personas que padecen problemas de estómago o de la alimentación.
- Erosión extrínseca: existe otro tipo de erosión dental causada por agentes externos, como la ingesta de determinados medicamentos (suplementos de vitamina C masticables o aquellos que contengan ácido clorhídrico) o a causa de ciertos hábitos alimenticios perjudiciales para la salud dental: como una dieta excesiva en azúcares, bebidas carbonatadas, zumos de fruta concentrados y otros alimentos que ayudan a crear de la cavidad oral un medio muy ácido.

Erosión Dental y Enfermedad por Reflujo Gastroesofágico (ERGE)
Diferentes grupos poblacionales han reportado la asociación de la ERGE con la erosión dental, cuya prevalencia oscila del 5% al 58,41%, como se muestra en la tabla I. La erosión dental es una manifestación extraesofágica de la enfermedad por reflujo gastroesofágico. El reflujo sucede cuando el jugo gástrico sale del estómago y llega al esófago y a la cavidad oral, pudiendo perjudicar a la laringe, a los pulmones y a la boca, provocando mal aliento y erosión dental. Trastornos alimenticios como la bulimia también están relacionados con la erosión dental.
¿Cuáles son los Síntomas de Erosión Dental?
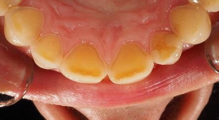
El esmalte dental es la parte que recubre la parte externa de los dientes, cuya función es proteger la estructura interna del diente de los agentes patógenos externos, por ello, el debilitamiento del esmalte a causa de la erosión dental supone la exposición de la dentina (la parte de color amarillento del diente).
Algunos de los síntomas de la erosión dental son los siguientes:
- Decoloración de los dientes: si se va dañando el esmalte debido a la erosión dental, el blanco natural de los dientes se va perdiendo, dando paso a un tono más amarillento.
- Sensibilidad dental: al quedar expuesta la dentina con la erosión dental, los dientes quedan mucho más sensibles ante los agentes externos. Por este motivo, es habitual sentir un dolor agudo tras la ingesta de ciertos alimentos, comidas azucaradas o bebidas, especialmente frías o calientes.
- Desgaste de las piezas dentales: los dientes pueden llegar a cambiar de forma, verse más redondeados o aparecer pequeñas fisuras. También pueden aparecer ciertas transparencias en los bordes dentales, perdiendo estos su opacidad.

Tratamiento para la Erosión Dental
Una vez que se identifican los primeros síntomas de la erosión dental, lo recomendable es acudir a un odontólogo para que realice el diagnóstico, y dependiendo del caso, prescriba el tratamiento más adecuado para cada caso.
Para prescribir el tratamiento adecuado para la erosión dental el especialista debe investigar en primer lugar las causas que provoca el daño del esmalte. Y una vez determinadas, encontramos tres tipos de tratamientos diferentes en función del grado de avance de la erosión dental.
- Erosión Inicial: se suele recomendar al paciente una serie de pautas preventivas que deberá cumplir de forma rigurosa si no quiere que la afección vaya a más. Con dichas pautas, se evitarían las consecuencias perjudiciales que afectarían al esmalte y a la salud dental del paciente.
- Erosión Moderada: si el esmalte ha perdido grosor de forma localizada en el diente, dejando expuesta la dentina, entonces habrá que realizar una obturación con composite.
- Erosión Severa: si la pérdida de esmalte ha afectado a varias zonas de un mismo diente o en varios dientes, y el paciente sufra de sensibilidad dental aguda, entonces se podría optar por la reconstrucción de las piezas dentales afectadas. En los casos más graves, se puede recurrir incluso a la realización de una endodoncia o la colocación de incrustaciones o coronas dentales.
Consejos para Prevenir la Erosión Dental
La base para tener unos dientes sanos es mantener una dieta equilibrada y una rutina de higiene diaria. Como hemos visto a lo largo de este artículo, existen ciertos alimentos que pueden dañar el esmalte de nuestros dientes, como las bebidas carbonatadas.
Para evitar que estas dañen nuestro esmalte más de lo deseado, podemos intentar reducir el contacto con nuestros dientes tomándolas con una pajita. También es aconsejable si tomas bebidas o alimentos ácidos, cepillarse los dientes, pero recuerda que hay que esperar de 20 a 30 minutos, ya que si lo hacemos inmediatamente después de tomarlos, estaremos repartiendo los ácidos de la boca por los dientes, y por lo tanto empeorando los efectos de la erosión dental.
Aquí hay algunos consejos adicionales:
- Incorpora a tu rutina de higiene diaria el hilo dental o cepillo interproximal, esto te ayudará a eliminar todos los restos de alimentos que el cepillado no elimina.
- No uses demasiada fuerza en tu cepillado diario, un cepillado agresivo puede dañar el esmalte dental. Procura utilizar cepillo de cerdas suaves o medias, que no dañen a las encías, y cepillar durante al menos 2 o 3 minutos.
- Utiliza pasta dental con flúor, ya que protege al esmalte de la acción de los ácidos y agentes externos.
- Bebe abundante agua, esto ayudará a generar saliva y evitar la sequedad bucal.
tags: #erosion #dental #definicion