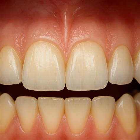
La presencia de líneas o rayas en los dientes es un motivo común de preocupación estética para muchas personas. A menudo, la pregunta "¿Es malo tener rayas en los dientes?" surge debido a la inquietud por la apariencia de la sonrisa. Sin embargo, la respuesta a esta pregunta depende en gran medida de la causa subyacente de estas marcas.

Causas Comunes de las Líneas en los Dientes
Varios factores pueden contribuir a la aparición de rayas o líneas en los dientes. Comprender la causa raíz es crucial para determinar la mejor solución.
1. Hipoplasia del Esmalte
Una de las principales causas de las rayas en los dientes es la hipoplasia del esmalte. Esta afección se produce durante el desarrollo dental, a menudo debido a enfermedades, deficiencias nutricionales (como la insuficiencia de calcio o vitamina D) o traumatismos durante la formación de los dientes. Estas alteraciones en la formación del esmalte pueden dejar rayas horizontales o verticales visibles. Estas rayas pueden ser blancas, amarillas o marrones, según la gravedad y la naturaleza de la alteración. Si bien no es intrínsecamente perjudicial para la salud bucal, la hipoplasia del esmalte puede hacer que los dientes sean más susceptibles a las manchas y las caries.
2. Manchas por Tetraciclina
Las manchas por tetraciclina son otra causa importante de decoloración dental. Este antibiótico, especialmente cuando se toma durante el desarrollo dental (sobre todo en niños), puede manchar los dientes de forma permanente, dando lugar a las características rayas o bandas amarillas, marrones o grises. La gravedad de las manchas depende de la dosis y la duración del uso de tetraciclina.
3. Fluorosis Dental
El consumo excesivo de flúor durante el desarrollo dental puede provocar fluorosis, una afección que se manifiesta con rayas o manchas blancas, marrones o amarillas en los dientes. La gravedad de la fluorosis varía: los casos leves se manifiestan como manchas blancas apenas perceptibles, mientras que los casos graves pueden provocar una decoloración y picaduras significativas.
4. Desgaste Natural del Esmalte
A medida que envejecemos, nuestros dientes experimentan cambios naturales. El esmalte puede adelgazarse, dejando al descubierto la capa de dentina subyacente, que es naturalmente más amarilla. Esto puede provocar la aparición de rayas o bandas amarillas, especialmente a lo largo de la línea de las encías. Además, años de desgaste por masticar y rechinar los dientes también pueden contribuir a un color desigual de los dientes.
5. Otros Factores
Además de lo anterior, otros factores pueden influir en la aparición de rayas en los dientes.
- Tinción intrínseca vs. extrínseca: Es fundamental distinguir entre la tinción intrínseca (que se produce dentro de la estructura dental) y la tinción extrínseca (en la superficie dental).
- Línea media dentaria: La línea media dentaria es una de las claves más importantes en la estética de la sonrisa de todos nuestros pacientes. Antes de iniciar un tratamiento de Ortodoncia es imprescindible realizar un correcto diagnóstico del caso y entre muchos otros factores a valorar, se encuentra el análisis de la línea media dentaría. Este análisis nos permitirá a los Ortodoncistas, saber que movimientos dentarios debemos realizar para lograr el objetivo deseado.

Debemos analizar por separado, la línea media dentaria superior y la línea media dentaria inferior:
- LÍNEA MEDIA DENTARIA SUPERIOR: La línea media dentaria superior debe estar centrada con la línea media facial, siempre y cuando exista simetría facial. Puede existir una desviación de la línea media dentaria superior de hasta 3 mm hacia la derecha o hacia la izquierda, sin que esta sea perceptible por el resto de la población al mantener una conversación a una distancia normal. Aunque la línea media dentaria superior presente cierta desviación hacia un lado u otro, esta no debe estar inclinada con respecto a la línea media facial. Debe ser paralela a esta, de lo contrario podría parecer antiestética.
- LÍNEA MEDIA INFERIOR: La línea media inferior debe estar centrada con la línea media superior y ambas con la línea media facial, pudiendo existir una desviación de ambas con la línea media facial de hasta 3 mm. Por otro lado la línea media inferior puede estar desviada con respecto a la línea media superior aunque la oclusión sea perfecta. Esto se produce en casos en los que existe una asimetría en el tamaño de los dientes.
Si la línea media dentaria inferior se encuentra desviada con respecto a la línea media facial, debemos analizar si es debido a una causa esquelética; dentaria o funcional:
- CAUSA ESQUELÉTICA: Se produce en aquellos casos en los que existe una asimetría mandibular con desviación del mentón hacia el lado izquierdo o derecho.
- COMPONENTE DENTARIO: Si la línea media dentaria inferior no se encuentra centrada con el mentón, la causa de la desviación es la posición anómala de los dientes.
- COMPONENTE FUNCIONAL: En algunos casos, como consecuencia de la maloclusión del paciente (muerde mal), para masticar, tiene que desplazar la mandíbula hacia los laterales o hacia delante. Este desplazamiento provoca una desviación «aparente» de la línea media inferior, pero que no es real.
Por esa razón los ortodoncistas analizamos la posición mandibular en relación céntrica, es decir, la posición idónea en la que los cóndilos mandibulares se encuentran centrados en las fosas glenoideas, sin forzar la musculatura ni los ligamentos.
¿Es Malo que los Dientes Tengan Rayas?
La respuesta a la pregunta "¿Es malo que los dientes tengan rayas?" depende completamente de la causa subyacente. En muchos casos, las rayas en los dientes son simplemente un problema estético. Sin embargo, a veces, la decoloración puede indicar un problema de salud subyacente, como hipoplasia del esmalte o fluorosis. Por lo tanto, es fundamental consultar con un dentista para determinar la causa de sus dientes rayados.
Soluciones y Tratamientos
Un examen exhaustivo puede ayudar a identificar la causa de la decoloración y recomendar opciones de tratamiento adecuadas. Si las rayas son puramente cosméticas, existen diversas opciones de blanqueamiento dental para lograr una apariencia más uniforme.
Cómo Blanquear Los Dientes En 3 Minutos || Convertir Los Dientes Amarillos En Blancos Naturalmente
Estas incluyen desde tratamientos profesionales en la clínica hasta soluciones para el hogar, como tiras, geles y lápices blanqueadores. Double White ofrece una gama de productos blanqueadores dentales de alta calidad, diseñados para blanquear los dientes de forma eficaz y segura. Nuestros innovadores productos se fabrican con la biotecnología más avanzada, lo que garantiza resultados superiores. Todos los productos Double White están elaborados con ingredientes de alta calidad y se someten a rigurosas pruebas para garantizar su seguridad y eficacia.
Opciones de Tratamiento Adicionales
- Carillas dentales: Las carillas dentales son láminas delgadas de porcelana o resina compuesta que se adhieren a la parte frontal de los dientes.
- Coronas dentales: Las coronas dentales son fundas que se colocan sobre los dientes desgastados para restaurar su forma y fuerza.
- Empastes dentales: Los empastes dentales, ya sean de amalgama o composite, se utilizan para reparar dientes con caries o desgaste leve a moderado.
- Férulas nocturnas para bruxismo: Para pacientes que sufren de bruxismo, ofrecemos férulas nocturnas personalizadas.
- Ajuste de oclusión: Realizamos ajustes de oclusión para corregir problemas de mordida y distribución desigual de la fuerza entre los dientes.
Prevención
La prevención de la fluorosis dental comienza en la infancia, cuando los dientes permanentes aún se están formando. La fluorosis dental puede prevenirse fácilmente con un control adecuado del flúor, especialmente en la infancia.
Cuidado Continuo
Mantener una sonrisa brillante y uniforme después del blanqueamiento requiere un esfuerzo constante. Esto incluye una buena higiene bucal (cepillarse los dientes dos veces al día, usar hilo dental a diario), minimizar el consumo de alimentos y bebidas que manchan (café, té, vino tinto) y programar revisiones dentales regulares.
Preguntas Frecuentes (FAQ)
| Pregunta | Respuesta |
|---|---|
| ¿La eficacia del blanqueamiento dental para eliminar las rayas depende de la causa? | Sí, la eficacia del blanqueamiento dental para eliminar las rayas depende de la causa. |
| ¿Algunas personas experimentan sensibilidad dental temporal después del blanqueamiento? | Sí, algunas personas experimentan sensibilidad dental temporal después del blanqueamiento. |
| ¿La duración de los resultados varía según el estilo de vida, la dieta y los hábitos de higiene bucal de cada persona? | Sí, la duración de los resultados varía según el estilo de vida, la dieta y los hábitos de higiene bucal de cada persona. |
| ¿En caso de decoloración severa, es mejor consultar primero con un dentista? | Sí, en caso de decoloración severa, es mejor consultar primero con un dentista. |
Esta exploración exhaustiva de los dientes con rayas y las soluciones de blanqueamiento le proporcionará una comprensión integral. Recuerde que consultar con un dentista es crucial para un diagnóstico y tratamiento adecuados. Double White ofrece soluciones de blanqueamiento dental seguras y eficaces para ayudarle a lograr la sonrisa segura que merece.