La clínica Escaner Dental 3D, ubicada en C. Juan de Ávila, 4, LOCAL, 13003 Ciudad Real, España, se ha consolidado como un referente en la obtención de imágenes dentales de alta precisión. Puedes contactarlos al Teléfono: 926227854. Su principal herramienta es el Escáner Dental 3D, un dispositivo innovador que permite capturar la geometría exacta de la boca y los dientes de un paciente de manera rápida, cómoda y sin necesidad de preparaciones especiales.

Escáner intraoral: comodidad y precisión en el diagnóstico dental.
¿Qué es un escáner dental 3D y cómo funciona?
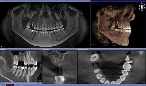
Es posible que tu doctor te haya pedido un escáner dental 3D antes, por ejemplo, de realizarte una cirugía o colocarte un implante. En ese caso, debes saber que se trata de una exploración radiológica muy común y necesaria para poder obtener información valiosa a la hora de realizar el diagnóstico. Esta exploración es lo que conocemos como TAC dental (Tomografía Axial Computarizada).
Un TAC dental consiste en una exploración con rayos X para obtener imágenes de las estructuras dentales, tejidos blandos, nervios y huesos de la cabeza. Con los datos obtenidos, el doctor podrá utilizar las potentes herramientas digitales que ofrece el software para realizar un diagnóstico más exacto.
Existen dos tipos de tomografía computarizada (TC): la TC convencional y la TC de haz cónico. Para realizarte el TAC dental tendrás que sentarte y mantener una posición firme (para evitar movimientos y obtener resultados más precisos) apoyando tu barbilla en el soporte habilitado. Después, el brazo rotatorio girará 360º sobre la cabeza, de modo que tanto el generador de rayos X como el detector que genera las imágenes rotan de manera simultánea.

Funcionamiento de un TAC dental de haz cónico.
¿Vale la pena aprender diseño 3D DENTAL en 2025? La respuesta real.
Ventajas del Escáner Dental 3D
El escáner médico convencional está diseñado para la exploración del cuerpo entero a gran velocidad con alta dosis de radiación. El escáner médico i-CAT no se parece a un aparatoso equipo médico de uso hospitalario. Está especialmente diseñado para los estudios dentales y maxilofaciales. i-CAT combina la tecnología Cone Beam con un lector Flat Panel en un campo extendido de visión.
La tecnología Cone Beam ha supuesto para la comunidad dental la posibilidad de acceder con facilidad a la imagen multiplanar en los tres ejes del espacio. En un solo giro i-CAT proporciona múltiples imágenes y reconstrucciones tridimensionales (3D) precisas de cualquier área anatómica de interés. La resolución de la imagen es isotrópica, igual en las tres dimensiones del espacio, dando como resultado imágenes sin distorsión ni magnificación a escala 1:1.
La calidad de la imagen depende significativamente de la calidad del sensor utilizado. El sensor Flat Panel, al contrario que los detectores CCD y los sistemas de intensificación de imagen no crean distorsiones ni artefactos de la imagen captada.
En resumen, estas son algunas de las ventajas clave:
- Escala 1:1: Las imágenes no presentan distorsión ni magnificación.
- Reducción de la dosis de radiación: La reducción de la dosis efectiva recibida por el paciente es de hasta el 90% en comparación con un escáner médico convencional.
- Protocolo de exploración pediátrica: Permite el ajuste de la radiación dependiendo del paciente.
Beneficios Adicionales
- Comodidad: El proceso es mucho más rápido y menos invasivo que las radiografías convencionales.
- Eficacia: Escanea directamente sobre la boca del paciente y se produce una imagen digital en 3D en tiempo real.
- Ahorro: Con el escáner intraoral los precios de la ortodoncia no se verán incrementados, sino que se ahorra en el tiempo de tratamiento y en costes de material.
Servicios Ofrecidos en Escáner Dental 3D
En Escáner Dental 3D buscan satisfacer las necesidades de todos los pacientes. Están especializados en:
- Tomografía computarizada haz de cono (CBCT): Calidad de imagen optimizada con mínima dosis de radiación.
- Implantología: Tomografía axial computarizada y escáner maxilar superior y mandibular bimaxilar por cuadrantes.
- Servicios de planificación.
- Escáner dental.
- Ortodoncia: Ortopantomografía, telerradiografía y trazados cefalométricos.
¿Cuánto tiempo se tarda en hacer un TAC dental?
El tiempo necesario para hacer un TAC dental es muy breve, aunque depende del tipo de exploración. Como hemos mencionado, el TAC dental permite obtener unos datos muy importantes para que los doctores puedan planificar el tratamiento de forma eficaz. Esta información puede ser interpretada tanto por un odontólogo, cirujano oral o radiólogo.
¿Es segura la radiación de un TAC dental?
Muchas personas pueden asociar la radiación a unos efectos secundarios negativos para nuestra salud. Sin embargo, aunque ese riesgo siempre existe, la dosis de radiación de un TAC dental es baja y se hace de forma controlada. Además, como hemos visto, los sistemas de TC actuales emiten una menor radiación que los de TC convencionales (40% menos).
Existen varias unidades de medida para la radiación, pero te explicaremos un ejemplo con el Sievert (sv), que mide el efecto sobre la salud de los niveles de radiación ionizante en el cuerpo humano (lo que se conoce como “dosis efectiva”). Un TAC dental completo (varía según la máquina utilizada) tiene aproximadamente 0.194 msv (milisivert).
Las dosis de radiación aplicadas en pacientes pediátricos son diferentes a las de los adultos, ya que son más sensibles a ella. Estas dosis de radiación varían dependiendo del peso y la altura de la persona, cómo se realiza la exploración y el área del cuerpo explorada.
Los niños si pueden realizarse un TAC dental, pero es recomendable realizarlo solo si es estrictamente necesario y evitar que se realice de forma continuada.
TAC dental vs. Radiografía dental
La principal diferencia entre un TAC dental y una radiografía dental es que el TAC produce una amplia variedad de vistas y ángulos tanto en 2D como en 3D en alta resolución que permite observar con detalle las zonas exploradas. Las radiografías dentales son procesos más rápidos, y aunque también utilizan rayos X, la dosis de radiación es más baja.
Otros Servicios Ofrecidos
- Escáner CBCT: Calidad digital 3D con tecnología CBCT para estudios completamente personalizados y escaneos por arcadas o sectores.
- Telerradiografía: Disparos ultra-rápidos que proporcionan fantásticas imágenes nítidas, enfocadas por la ausencia de movimiento y libres de distorsión.
- Ortopantografía: Calidad y nitidez sin precedentes gracias a sensores de última generación, con personalización sobre zonas de interés y entrega en el acto.
- Carpo: Calidad y nitidez sin precedentes y ausencia de movimiento gracias a disparos ultra-rápidos y sensores digitales de última generación.
- Estudio Ortodoncia: Su estudio de ortodoncia completo en menos de 1h con imágenes nítidas, enfocadas y sin movimiento, idóneo también para los más pequeños.
- Bio-réplica: Es una reproducción exacta y a escala real de la anatomía ósea mandibular o maxilar de un paciente, utilizada para el diagnóstico y planificación de cirugías dentales.
- Estudio Fotográfico: Se toman fotografías extraorales e intraorales del paciente y se personalizan según las indicaciones del ortodoncista prescriptor.
- Escáner Intraoral: El escaneado intraoral es rápido, fácil, cómodo, ofrece resultados inigualables y es 100% compatible con los alienadores principales.
Compromiso con la Accesibilidad
La clínica ha implementado medidas de accesibilidad, incluyendo Entrada accesible para personas en silla de ruedas y Sanitarios accesibles para personas en silla de ruedas, demostrando un compromiso con la inclusión.
Recomendación Final
La clínica Escaner Dental 3D se presenta como una opción sólida para aquellos que buscan obtener imágenes dentales de alta calidad y un servicio de atención al paciente de primera. La posibilidad de realizar un escaneo solo de la zona afectada, como se menciona en algunas reseñas, demuestra una flexibilidad que puede traducirse en un ahorro económico y una mayor comodidad para el paciente.
Se recomienda encarecidamente a los interesados visitar la Página web: escanerdental3d.es para obtener más información, reservar una cita y descubrir cómo el Escáner Dental 3D puede contribuir a un diagnóstico y tratamiento odontológico más precisos y eficaces.