El bruxismo es una condición caracterizada por el apretamiento involuntario de los dientes, principalmente durante la noche mientras dormimos, aunque también puede ocurrir durante el día. El bruxismo es una patología que sufre aproximadamente el 20% de la población.
Consiste en apretar inconscientemente la mandíbula y rechinar los dientes, produciendo su desgaste e incluso su rotura. El bruxismo es una patología muy común relacionada con el estrés. Las personas que sufren bruxismo suelen desarrollarlo durante la noche. Esta patología provoca desgastes severos en los dientes, problemas a nivel muscular, dolores de cabeza y de cervicales y puede dañar la ATM (articulación que nos permite el movimiento de apertura y cierre).

¿Qué es el Bruxismo?
El bruxismo es el apretamiento involuntario de los dientes que puede causar síntomas como dolor facial, de cabeza, cuello y hombros, en los dientes y ruidos en la mandíbula.
El bruxismo puede presentarse de manera ocasional o convertirse en un hábito crónico. Cuando se produce de forma persistente, puede tener consecuencias negativas para la salud bucal y general.
Manifestaciones del Bruxismo
El bruxismo y ATM no se manifiesta de una sola manera, sino que lo hace de tres formas principales:
- Rechinamiento: El rechinamiento o mejor conocido como apretar los dientes es la manifestación más frecuente de este trastorno. La presión y roce de mandíbula produce este rechinamiento. Constituye una de las formas más dañinas del bruxismo.
- Presión: La presión ocurre cuando no se genera movimiento en la mandíbula, el paciente solamente lo que hace es apretar los dientes.
- Tensión: Esta manifestación es una de las menos frecuentes dentro del bruxismo. No es fácil de detectar, ya que no deja ningún tipo de marca sobre las piezas dentales. Suele ocurrir en pacientes con problemas de respiración nasal.
El bruxismo y ATM suele manifestarse en personas que tienen trastornos del sueño como los ronquidos o la apnea. Por otro lado, también existen algunos factores relacionados con el estilo de vida de cada paciente en particular.
Causas del Bruxismo y Trastornos de la ATM
El bruxismo puede tener diversas causas, como el estrés, la ansiedad, problemas de oclusión dental, malos hábitos de masticación, entre otros.
Cuando hablamos de las causas del bruxismo hay que decir que no suele aparecer solo por una de ellas. De hecho, aquí, además de hacer pruebas, hay que hablar con la persona que lo padece, puesto que uno de los principales factores que desencadenan el bruxismo es el estrés o la ansiedad.
Como podemos ver, hay muchas causas y se pueden dar varias en un mismo paciente.
- Uso de sustancias psicoactivas: El bruxismo dental puede aparecer en los casos donde se utilizan sustancias psicoactivas que producen excitación o alteran el ritmo del sueño como el alcohol, la cafeína y otro tipo de drogas legales como ilegales.
- Estrés y ansiedad: El estrés, la ansiedad, la depresión y otros trastornos psicológicos impactan de manera directa en el sueño, lo que puede producir un caso de bruxismo y ATM. Distintos estudios han mostrado que la gran mayoría de pacientes que sufren de bruxismo dental es a causa del estrés o la ansiedad. Por lo que es un factor a tener en cuenta en todos los casos por el estrés que causa la vida moderna.
- Oclusión dental: Los dientes mal alineados pueden producir un desgaste poco natural de las piezas dentales. El cuerpo, de manera inconsciente, busca alinear y mejorar la oclusión. Sin embargo, esto produce un impacto negativo y agrava el cuadro pudiendo derivar en bruxismo y ATM.
Síntomas del Bruxismo
El bruxismo puede manifestarse a través de diversos síntomas que afectan diferentes áreas del cuerpo.
Uno de los principales es el dolor tanto de mandíbula, como de cabeza y en la zona del cuello y de los hombros. El desgaste dental es otra de esas manifestaciones que se dan al apretar los dientes. También existen problemas con el sueño.
Algunos de los síntomas incluyen:
- El apretamiento involuntario de los dientes puede provocar molestias y dolor en la zona del rostro y la mandíbula.
- El bruxismo también puede ocasionar dolores de cabeza frecuentes, especialmente en la zona de las sienes o la parte posterior de la cabeza.
- Los músculos de la mandíbula están estrechamente conectados con los músculos del cuello y los hombros.
- El constante apretamiento de los dientes durante el bruxismo puede generar sensibilidad y dolor en los dientes.
- Muchas personas que sufren bruxismo experimentan ruidos audibles, como chasquidos o crujidos, al abrir y cerrar la mandíbula.
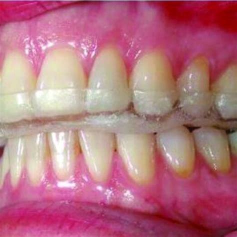
- Desgaste de las piezas dentales: La manifestación más clara del bruxismo dental es el desgaste de los dientes que lleva a la sensibilidad de los cambios térmicos.
- Ruidos e inflamación de la ATM: El bruxismo y ATM se manifiesta en una ATM inflamada por la tensión que se ejerce sobre la zona causando dolor y, en los casos más graves, acúfenos. Por otro lado, también es posible notar chasquidos en la zona de la mandíbula al apretarla.

Si sufres algún síntoma de bruxismo o ATM te recomendamos que acudas a una clínica dental experta para que puedan ofrecerte un tratamiento personalizado que se adapte a tus necesidades.
Diagnóstico del Bruxismo
El diagnóstico del bruxismo es fundamental para poder determinar el mejor enfoque de tratamiento. Para obtener un diagnóstico preciso, es importante acudir a profesionales especializados en bruxismo y alteraciones de la articulación temporomandibular (ATM).
El especialista realizará un examen físico detallado, prestando atención a la mandíbula, los músculos de la masticación y la articulación temporomandibular. Además, recopilará información sobre los síntomas que experimenta el paciente, como dolor facial y mandibular, dolor de cabeza, dolor de cuello y hombros, dolor en los dientes y ruidos en la mandíbula.
En algunos casos, se pueden requerir pruebas adicionales para confirmar el diagnóstico de bruxismo. Estas pruebas pueden incluir estudios radiográficos y la realización de una resonancia magnética (RM) de la articulación temporomandibular.
Tratamiento del Bruxismo y Trastornos de la ATM
7 EJERCICIOS para el BRUXISMO 💀
El tratamiento del bruxismo y los trastornos de la ATM se enfoca en aliviar los síntomas y prevenir el daño adicional. El tratamiento del bruxismo y los trastornos de la ATM se basa en un enfoque integral que aborda tanto los síntomas como las causas subyacentes. Se utilizan diversas técnicas y terapias para aliviar el apretamiento involuntario de los dientes y los problemas asociados.
El tratamiento del bruxismo puede variar según cada caso.
Además del tratamiento, es importante tomar medidas para prevenir el bruxismo y reducir su impacto en la salud bucal y general.
Técnicas de Relajación
Las técnicas de relajación pueden ser de gran ayuda para reducir tanto la frecuencia como la intensidad del bruxismo. Practicar actividades como la meditación, la respiración profunda y el yoga pueden ayudar a disminuir la tensión muscular y promover la relajación general del cuerpo.

Fisioterapia
La terapia manual y la fisioterapia invasiva pueden ser utilizadas para liberar la tensión muscular y mejorar la movilidad de la articulación temporomandibular (ATM). Estas técnicas incluyen el masaje de la musculatura implicada, el auto-masaje de la mandíbula y musculatura de la masticación, ejercicios de movilización y relajación de la ATM, terapia manual osteopática, termoterapia, diatermia, ecografía y neurodinamia.
La ATM conecta la mandíbula al cráneo y existe una para el lado derecho y otra para el lado izquierdo. La ATM está en constante movimiento y es la que nos permite masticar, hablar o bostezar. La fisioterapia puede ayudar a restablecer el normal funcionamiento de esta articulación, reduciendo el dolor y tratando los síntomas y molestias existentes.
Existen varios ejercicios y estiramientos que pueden ayudar a aliviar los síntomas del bruxismo. Algunos de ellos incluyen masajear suavemente los músculos de la mandíbula, realizar movimientos de apertura y cierre de la boca, y ejercicios de relajación facial y de cuello.

Férulas Oclusales
Sin embargo, una opción comúnmente utilizada son las férulas oclusales, que ayudan a prevenir el contacto entre los dientes y a relajar la musculatura de la mandíbula durante la noche.
El uso de férulas oclusales es uno de los tratamientos más comunes para el bruxismo. Estas son dispositivos personalizados que se colocan sobre los dientes durante la noche para evitar el contacto entre ellos y así reducir la presión y el desgaste. Además, las férulas oclusales ayudan a relajar la musculatura de la mandíbula y a aliviar la tensión generada durante el apretamiento involuntario de los dientes.
El tratamiento del bruxismo se debe combinar con una férula de descarga nocturna. Fabricada a medida en un material acrílico totalmente biocompatible. Permite la relajación de la articulación temporomandibular (ATM).

Tratamientos Complementarios
Además de las técnicas mencionadas, existen otros tratamientos complementarios que pueden ser beneficiarios en el manejo del bruxismo y los trastornos de la ATM. La fisioterapia, la acupuntura y las técnicas de relajación, como la biofeedback o la hipnosis, pueden ayudar a reducir la tensión muscular y aliviar los síntomas asociados.
- Odontología: Una mala oclusión se soluciona por medio de la ortodoncia. En los casos en que no se encuentre un mal alineamiento, se utilizan las férulas de descarga para detener el desgaste superficial de los dientes.
- Medicina del sueño: En los casos donde se encuentran problemas con el sueño, es necesario trabajar con un especialista en el área que realice un estudio completo y determine si existen episodios como la apnea.
- Psicología: Un psicólogo es útil cuando el bruxismo dental tiene un origen emocional que puede ser ansiedad, estrés u otro trastorno mental.
- Inyecciones de toxina botulínica: El botox es una toxina botulínica tipo A, la cual al inyectarse relaja los músculos disminuyendo su potencia de contracción.
Es importante recordar que el tratamiento del bruxismo y los trastornos de la ATM requiere atención especializada. Acudir a profesionales capacitados y seguir sus recomendaciones es fundamental para lograr una mejoría significativa en la calidad de vida.
Ortodoncia y Bruxismo
Pero, ¿qué relación existe entre el bruxismo y la ortodoncia? A menudo, los pacientes no son conscientes de que padecen bruxismo hasta que detectamos signos visibles.
El bruxismo puede influir en el desarrollo y evolución de un tratamiento de ortodoncia. Por eso, en pacientes con bruxismo, es fundamental que el ortodoncista tenga en cuenta esta condición a la hora de planificar el tratamiento.
Un tratamiento de ortodoncia consigue que los dientes estén alineados, en su sitio, y, además, que las arcadas inferior y superior estén en completa armonía y choquen una contra la otra de manera natural. Este tipo de tratamiento es recomendado en el caso de que el bruxismo sea consecuencia de la mala posición dentaria, para crear un equilibrio dentario y así eliminar cualquier desencadenante para el bruxismo.
En nuestra clínica experta en ortodoncia contamos con diferentes tratamientos de ortodoncia para ATM y bruxismo que pueden ayudar a reducir los síntomas y el malestar del paciente. Los tratamientos de ortodoncia para ATM y bruxismo más utilizados son los brackets y la ortodoncia invisible.
Una mordida equilibrada facilita una mejor posición mandibular y puede ayudar a disminuir la sobrecarga nocturna.
Consideraciones durante el tratamiento de ortodoncia:
- Durante el tratamiento de ortodoncia con brackets fijos, no se puede usar una férula tradicional, pero sí existen opciones adaptadas.
- Una vez finalizada la ortodoncia, podemos recomendar una férula de descarga nocturna personalizada, sobre todo si el paciente continúa apretando los dientes.
- En algunos casos de ortodoncia y bruxismo, algunas personas pueden notar un empeoramiento del rechinar durante las primeras semanas del tratamiento, especialmente si hay molestias o cambios en la mordida. Por eso, es importante informarnos si se perciben síntomas de bruxismo durante el tratamiento, como tensión en la mandíbula, dolor al despertar o rechinamiento.
Preguntas Frecuentes
- ¿Cómo puedo saber si sufro de bruxismo o un trastorno de la ATM? Los signos de bruxismo incluyen desgaste dental, dolor en la mandíbula al despertar, y dolor de cabeza. En el caso de los trastornos de la ATM, los síntomas pueden incluir dolor en la articulación, chasquidos o bloqueos al mover la mandíbula.
- ¿Cuáles son las causas del bruxismo y los trastornos de la ATM? Estas condiciones pueden ser causadas por estrés, ansiedad y malposición dentaria entre otros factores.
- ¿Es el tratamiento para el bruxismo y los trastornos de la ATM permanente? Algunos tratamientos ofrecen soluciones a largo plazo, pero dependiendo de la causa subyacente, puede ser necesario un manejo continuo.
- ¿El tratamiento del bruxismo y la ATM está cubierto por los seguros dentales? Esto varía según la póliza de seguro. Algunos tratamientos pueden estar cubiertos parcial o totalmente.
tags: #ortodoncia #para #atm #y #bruxismo