El esmalte dental es la capa más externa del diente y la estructura más dura y mineralizada de todo el cuerpo humano. Funciona como un escudo protector para la estructura interna de las piezas dentales. Sin embargo, el esmalte dental puede debilitarse y desgastarse con el tiempo, y una vez dañado, no se regenera de forma natural. Esto puede derivar en problemas como sensibilidad dental, caries y otras complicaciones bucales. A pesar de la dureza que posee el esmalte de los dientes, este puede desgastarse o verse alterado por distintas razones, generando múltiples consecuencias.

¿Por Qué Se Produce la Pérdida del Esmalte Dental?
A pesar de la dureza que posee el esmalte de los dientes, este puede desgastarse o verse alterado por distintas razones. Algunas de las más comunes son:
- Presencia de Ácidos en la Boca de Forma Constante: Es común que en la boca se produzcan múltiples tipos de ácidos principalmente por el contacto de alimentos con la saliva y las bacterias que habitan en la cavidad oral. Pero existen alimentos como el café, zumo de limón y otros que naturalmente son muy ácidos y si los consumes constantemente tienen un efecto corrosivo sobre el esmalte dental. La ingesta de alimentos muy azucarados también es nociva para el buen estado del esmalte, ya que las bacterias proliferan en presencia de esta y transforman el azúcar en ácidos. Sufrir de reflujo, problemas gastrointestinales o tener trastornos alimenticios como la bulimia aumenta la presencia de ácidos estomacales en la boca, deteriorando progresivamente el esmalte.
- Hipoplasia Dental: La hipoplasia dental es un defecto o alteración que se produce en los dientes en su etapa de desarrollo, consistiendo en que estos cuentan con menor cantidad de esmalte de lo habitual. Se presenta en distintos niveles, por lo que puede ser casi imperceptible, generar manchas blancas o marrones o darles una apariencia muy dañada a los dientes.
- Fricción Constante: Someter las piezas dentales a una fricción constante como las de las cerdas duras de un cepillo de dientes o el roce entre piezas por el bruxismo desgasta el esmalte.
- Edad: Uno de los efectos de envejecimiento en los dientes es el desgaste del esmalte dental. La edad o el paso del tiempo es un factor que reduce la cantidad de esmalte. Este es uno de los motivos por el cual las personas más ancianas tienen más problemas de salud dental que las jóvenes.

Hipoplasia Dental: Una Alteración en el Desarrollo del Esmalte
La hipoplasia dental es una alteración que provoca que los dientes tengan menos esmalte de lo normal. Este defecto se origina durante el desarrollo dental, concretamente, en el proceso de formación del esmalte. Aunque la hipoplasia dental puede aparecer en cualquier diente, generalmente, se manifiesta en los incisivos (en la parte frontal de la boca). La hipoplasia dental es una alteración que se origina durante la infancia pero que tiende a mantenerse hasta la edad adulta. Afecta al esmalte, es decir, a la capa más superficial y externa de los dientes. Esto hace que cualquier anomalía que afecte al esmalte deba ser tenida en cuenta y tratada correctamente.
Síntomas de la Hipoplasia Dental
- Manchas en los dientes: las manchas pueden variar en color y en intensidad, en función de la severidad de la alteración.
- Erosiones en el esmalte: la hipoplasia debilita y reduce el esmalte de los dientes.
- Sensibilidad dental: fruto del desgaste que sufre el esmalte, la persona comenzará a experimentar dolor y sensibilidad ante comidas y estímulos fríos, calientes o ácidos.
Causas y tratamientos de la erosión del esmalte dental con Oral-B
Precisamente, el hecho de que la causa de la hipoplasia esté en la niñez, resulta mucho más difícil de identificar. Como ya hemos mencionado, la hipoplasia dental se origina durante el proceso de formación del diente.
Hipocalcificación Dental: Deficiencia en la Mineralización del Esmalte
La hipocalcificación dental es una condición que afecta la estructura de los dientes, específicamente el esmalte dental, la capa protectora externa que cubre y resguarda los dientes. Esta falta de mineralización provoca una variedad de problemas dentales, que van desde manchas y opacidades en el esmalte hasta una mayor sensibilidad dental y un mayor riesgo de caries y deterioro dental. La hipocalcificación dental es una afección que puede tener múltiples causas, y su origen puede variar de una persona a otra.
Causas de la Hipocalcificación Dental
- Genética: La genética desempeña un papel fundamental en la formación de los dientes y su esmalte. Algunas personas pueden heredar una predisposición genética a la hipocalcificación dental de sus padres.
- Nutrición: La nutrición juega un papel crucial en el desarrollo de los dientes, especialmente durante la infancia y la adolescencia, cuando los dientes se están formando. Una dieta deficiente en minerales esenciales como el calcio y el fósforo puede interferir en la correcta mineralización del esmalte dental.
- Enfermedades Sistémicas: Algunas enfermedades sistémicas o condiciones médicas que afectan al organismo en su conjunto también pueden influir en el desarrollo dental y aumentar el riesgo de hipocalcificación dental.
Tipos de Hipocalcificación Dental
- Hipocalcificación de Esmalte: Este tipo de hipocalcificación afecta principalmente al esmalte dental, la capa externa que protege los dientes. En la hipocalcificación de esmalte, el esmalte no se mineraliza adecuadamente durante su formación, lo que resulta en una superficie porosa y débil. Los dientes con hipocalcificación de esmalte a menudo presentan manchas o áreas opacas en el esmalte.
- Hipocalcificación de Dentina: La dentina es la capa que se encuentra debajo del esmalte dental y compone la mayor parte de la estructura de un diente. La hipocalcificación de dentina afecta la mineralización de la dentina, lo que la hace más porosa y menos resistente.
- Amelodentinogénesis Imperfecta: Este tipo de hipocalcificación dental es más raro y se caracteriza por afectar tanto al esmalte como a la dentina, lo que resulta en una combinación de problemas. La amelodentinogénesis imperfecta puede dar lugar a dientes que son más propensos a la fragilidad y la decoloración.
Síntomas de la Hipocalcificación Dental
La hipocalcificación dental puede manifestarse a través de varios síntomas y signos característicos que afectan la apariencia y la salud de los dientes.
- Manchas y Opacidades en el Esmalte: Uno de los signos más evidentes de la hipocalcificación dental son las manchas y opacidades en el esmalte dental. Estas manchas pueden variar en color y apariencia, y suelen ser áreas más blancas o más opacas en el esmalte.
- Sensibilidad Dental: La hipocalcificación dental puede causar una mayor sensibilidad dental, especialmente al consumir alimentos o bebidas calientes, fríos o dulces.
- Mayor Susceptibilidad a la Caries: Los dientes con hipocalcificación dental son más susceptibles a la caries dental y al deterioro. La superficie porosa y menos resistente del esmalte y la dentina facilita la penetración de ácidos y bacterias, lo que aumenta el riesgo de desarrollar caries.
Diagnóstico de la Hipocalcificación Dental
- Examen Visual: El primer paso en el diagnóstico de la hipocalcificación dental implica un examen visual minucioso de los dientes por parte de un odontólogo o un profesional de la salud dental. Durante este examen, se observarán los dientes en busca de signos característicos de hipocalcificación, como manchas, opacidades en el esmalte y áreas de decoloración.
- Radiografías Dentales: Para una evaluación más detallada y precisa, los odontólogos pueden utilizar radiografías dentales. Las radiografías permiten obtener imágenes internas de los dientes y revelar detalles que no son visibles a simple vista.
Tratamientos para la Pérdida de Esmalte Dental
El esmalte dental perdido no puede recuperarse. Pero existen varios tratamientos que te permiten mejorar el aspecto de tus dientes y disminuir los síntomas que provoca la falta del esmalte. Es importante mencionar que el tratamiento varía dependiendo de la gravedad del desgaste o la falta de esmalte dental. Por eso es importante que asistas con especialista para que evalúe tu caso y te recomiende las mejores opciones para ti. Entre los más populares están:
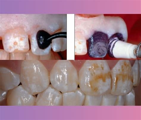
- Carillas Estéticas: Las carillas dentales o estéticas son unas láminas muy delgadas de resina, cerámica o materiales similares que se colocan en la superficie de los dientes, principalmente los delanteros. Existen múltiples tipos y, dependiendo del nivel de desgaste que tenga el esmalte, el especialista te recomendará la mejor para tu caso. La que se usa generalmente cuando el desgaste del esmalte es leve son las de resina o composite. Para su colocación no es necesario limar la superficie como en el caso de las de cerámica. Además, son una opción económica y que tiene un acabado muy natural.
- Coronas Dentales: Para tratar casos graves de falta de esmalte dental es común que el dentista emplee coronas. Estas, a diferencia de los implantes, no sustituyen un diente dañado, sino que lo recubren para protegerlo, regresarle su funcionalidad y conservar la estética de la boca.
- Colocación de Implantes Dentales: En casos muy graves de desgaste del esmalte o ausencia de este por hipoplasia dental los dentistas recurren a la colocación de implantes dentales. Aunque esto solo deben ser usados cuando no existe forma de salvar las piezas por su mal estado.
- Sellado Dental: El sellado dental es un procedimiento que consiste en colocar sobre la superficie o zona de masticación de los dientes una fina capa de resina. Esta se introduce en los surcos y hendiduras reforzándolos, creando una barrera que evita la entrada de bacterias. También se puede aplicar en zonas determinadas en donde la falta de esmalte es más notoria.
- Microabrasión Dental: La microabrasion es una excelente alternativa para tratar manchas provocadas por el desgaste del esmalte dental. Que en muchos casos son muy severas. Consiste en pulir la capa de esmalte dental dañada, luego se aplica composite o resina en la superficie y se pule. De esta forma se elimina la mancha y se refuerza la pieza.
- Blanqueamiento Dental: El blanqueamiento dental es una solución adecuada cuando el paciente presenta manchas de color blanco en el esmalte. Generalmente, los dientes responden muy bien al blanqueamiento cuando las tinciones son leves.

En los casos de hipoplasia dental muy severa suele ser necesario recurrir a carillas o coronas. Ambos tratamientos, además de proporcionar a la sonrisa un aspecto más estético, aportan mayor resistencia a las piezas dentales.
Manejo y Tratamiento de la Hipocalcificación Dental
El manejo de la hipocalcificación dental es fundamental para preservar la salud dental y la estética de la sonrisa. Afortunadamente, existen varias opciones de tratamiento y cuidado dental disponibles para abordar esta afección.
- Restauración Dental: Para abordar las manchas, opacidades y áreas debilitadas en el esmalte dental causadas por la hipocalcificación, los odontólogos pueden utilizar técnicas de restauración dental. Esto implica el uso de materiales dentales seguros y efectivos, como resinas compuestas o carillas, para mejorar la apariencia de los dientes afectados.
- Blanqueamiento Dental: En algunos casos, el blanqueamiento dental puede ser una opción para mejorar la apariencia de los dientes con manchas o decoloraciones leves causadas por la hipocalcificación.
- Cuidado Dental Preventivo: La prevención desempeña un papel crucial en el manejo de la hipocalcificación dental. Los pacientes afectados por esta afección deben prestar especial atención al cuidado dental preventivo. Esto incluye mantener una higiene bucal rigurosa, cepillándose los dientes con regularidad, utilizando hilo dental y enjuague bucal, y visitando al dentista de manera periódica para limpiezas y evaluaciones dentales.
Consejos para Evitar la Pérdida de Esmalte Dental
A pesar de que existen tratamientos para la pérdida de esmalte dental, lo mejor es evitar el deterioro prematuro de esta capa protectora. Para lograrlo, aplica los siguientes conejos.
- Reduce el Consumo de Alimentos Ácidos: Disminuir el consumo de zumos de frutas ácidas, bebidas carbonatadas o alcohólicas, café y alimentos similares te ayudará a conservar por más tiempo el esmalte de tus dientes. Una buena alternativa es que cuando vayas a ingerirlas lo hagas por medio de pajillas.
- Mantente Hidratado: Para evitar la acumulación de bacterias en la boca y la producción de ácidos asegúrate de mantener tu boca humeda. Bebe la cantidad de agua suficiente al día. Te recomendamos enjuagar tu boca con agua o beberla después de cada comida.
- Usa Productos de Higiene Dental Apropiados: Selecciona un dentífrico y enjuague bucal con flúor. Este te ayuda a remineralizar el esmalte. Además, asegúrate de que tu cepillo de dientes no tenga las cerdas demasiado duras o gruesas. Deben ser suaves y delgadas para evitar que desgasten o rayen el esmalte dental.
- Mantener una higiene bucal adecuada: es clave para prevenir problemas dentales, incluida la hipocalcificación dental.
Además de todo lo anterior, hay una serie de remedios para proteger el esmalte que cualquier persona puede poner en práctica desde su casa. Además, se deberán usar otra serie de elementos que ayudan a conservar la buena salud de la boca: pasta con flúor, enjuague y seda dental. Todo ello ayudará a prevenir las enfermedades bucodentales que hemos mencionado a lo largo de este artículo: caries, gingivitis y periodontitis.
Impacto de la Hipocalcificación Dental en la Calidad de Vida
La hipocalcificación dental no solo afecta la salud de los dientes, sino que también puede tener un impacto significativo en la calidad de vida de quienes la padecen.
- Aspectos Estéticos: La apariencia de la sonrisa desempeña un papel fundamental en la confianza y la autoestima de una persona. Los problemas estéticos causados por la hipocalcificación dental, como las manchas y opacidades en el esmalte, pueden hacer que algunos individuos se sientan cohibidos o avergonzados de su sonrisa.
- Bienestar y Dolor Dental: Además de los aspectos estéticos, la hipocalcificación dental también puede causar dolor y malestar dental. Los dientes afectados por esta afección son más propensos a la sensibilidad, lo que puede generar molestias al comer o beber alimentos y bebidas frías, calientes o dulces.

Es importante abordar tanto los aspectos estéticos como los de bienestar cuando se trata de la hipocalcificación dental. Los tratamientos y el manejo adecuados de esta afección no solo buscan mejorar la salud dental, sino también la calidad de vida en general.
tags: #esmalte #dental #debilitado