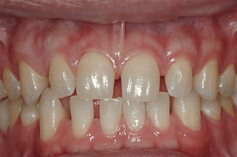
El diastema es el término utilizado para describir un tipo de maloclusión caracterizada por el espacio o separación entre dos dientes. Aunque es común en niños, generalmente desaparece con la erupción de los dientes permanentes. En adultos, existen varios tratamientos disponibles para corregirlo.
El diastema dental más conocido se encuentra entre los incisivos superiores, aunque puede ocurrir entre cualquier par de dientes. Estas separaciones, que tienen diversas causas, pueden afectar la estética de la sonrisa y, en algunos casos, la salud bucodental, incluyendo la masticación y el habla. Por lo tanto, es crucial consultar a un dentista para una evaluación personalizada si consideras corregirlo.
Diastemas: ¿cómo corregir los dientes separados? | Clínica dental Avodent en Alcobendas
Causas del Diastema Dental
La separación de los dientes puede deberse a varios factores. Entre las causas más comunes se encuentran:
- Genética: El diastema puede ser una característica hereditaria. Algunas personas nacen con dientes más pequeños o un maxilar más grande, lo que aumenta las posibilidades de desarrollar espacios.
- Hábitos en la infancia: Prácticas como succionar el dedo o usar chupete pueden incrementar el riesgo de desarrollar este tipo de maloclusión.
- Enfermedades gingivales: La periodontitis puede causar la pérdida de soporte óseo y tejido alrededor de los dientes, lo que deriva en diastemas.
- Pérdida o ausencia de dientes: Puede causar el desplazamiento de los dientes cercanos, creando espacios.
- Frenillo labial amplio: Un frenillo labial anormalmente grueso o mal posicionado puede evitar la unión completa de los incisivos superiores.

Riesgos de no tratar un Diastema
Dependiendo de la severidad y las causas del diastema, las consecuencias pueden ser estéticas o afectar la salud dental y general. En el caso de ser estéticas, puede afectar la apariencia de la sonrisa y, por lo tanto, la confianza en uno mismo. En cuanto a aspectos de salud dental, estos pueden incluir:
- Problemas de mordida: Si los dientes están separados, pueden alterarse la mordida y la oclusión dental.
- Problemas de habla: El diastema puede afectar la forma en que se pronuncian ciertas palabras.
- Problemas de salud oral y general: Los espacios entre los dientes pueden atrapar alimentos, aumentando el riesgo de acumulación de sarro, formación de caries y enfermedad de las encías si no se mantiene una higiene oral adecuada.
¿Cómo corregir un diastema dental?
Existen varios tratamientos disponibles para tratar el diastema. Es importante que consultes con tu dentista para que te indique cuál es el más adecuado para tu caso. Algunos de los más habituales son:
Ortodoncia
Un tratamiento de ortodoncia con brackets o alineadores puede mover los dientes y cerrar el espacio no deseado. El Tratamiento de Ortodoncia Invisible puede ser una opción más discreta y efectiva para corregir algunos casos de diastemas. En tu primera cita, se puede utilizar un escáner dental 3D para evaluar de manera precisa y cómoda el estado general de tu boca y definir el tratamiento. Además, gracias a esta tecnología, podrás ver digitalmente el resultado final de tu sonrisa.

Resina dental
La resina dental puede ser aplicada a los dientes, generalmente frontales, para cerrar el espacio y mejorar la apariencia de la sonrisa.
Carillas dentales
Las carillas dentales consisten en finas láminas de material que se aplican a la parte delantera de tus dientes para mejorar su aspecto.
Puentes y coronas dentales
Los puentes y coronas dentales pueden ser usados para cubrir los dientes y cerrar espacios más grandes.
Frenectomía
La frenectomía es la intervención quirúrgica que puede reducir el tamaño del frenillo cuando este es muy grande y es causa del diastema.
¿Cuánto tiempo tarda en corregirse?
La duración del tratamiento para corregir este tipo de maloclusión puede variar en función del paciente, las causas y el tipo de tratamiento.
Apiñamiento Dental
La posición y alineación de los dientes es uno de los problemas más comunes. El apiñamiento dental es un problema muy frecuente en la población, que se manifiesta a cualquier edad.
Este problema consiste en una mala posición y alineación de los dientes, lo que causa que no haya suficiente espacio en los maxilares para alojar todas las piezas dentales. Principalmente está causado por falta de espacio en los maxilares para contener todos los dientes, lo cual deriva en la malposición dental o apiñamiento. Comúnmente nos referimos a ello diciendo que los dientes están “montados”.
De manera habitual vemos el problema en niños a partir de 6 años. En esta fase los niños empiezan a perder los dientes de leche para dejar espacio a los definitivos. Cuando las dimensiones de la mandíbula son demasiado pequeñas, puede darse apiñamiento dental. La mandíbula pequeña está directamente relacionada con un origen genético. El problema del paladar estrecho ocurre cuando el hueso maxilar superior es más estrecho que el inferior.
Los malos hábitos orales son otra de las causas del apiñamiento dental. Si el problema de apiñamiento dental se encuentra en una fase leve, no siempre es necesario aplicar un tratamiento de ortodoncia invisible Invisalign ni ortodoncia con brackets. En este caso, las carillas dentales pueden llegar a resolver los problemas menores de apiñamiento. Las carillas dentales son de cerámica de altísima calidad. Mediante una fina carilla cementada sobre la superficie del diente se puede conseguir un resultado natural y estético.
Como norma general, la ortodoncia invisible Invisalign es muy útil para corregir el apiñamiento dental. En estos casos, la ortodoncia invisible da muy buenos resultados. Es importante que el ortodoncista valore el caso para realizar un buen diagnóstico y planificar el tratamiento de Invisalign. Para los casos severos de apiñamiento dental, la ortodoncia invisible también es una solución muy efectiva. Mediante esta técnica de ortodoncia también conseguimos corregir los problemas relacionados con el apiñamiento dental.
Teniendo en cuenta la eficacia y un coste ligeramente menor que el de las técnicas de Ortodoncia Invisible, puede ser una buena opción para los pacientes que no les importe tanto la estética o para aquellos pacientes que quieran pagar algo menos.
Cabe recordar que el apiñamiento dental puede producir daños graves en los dientes. Al existir este problema, la capacidad del paciente para una correcta higiene dental es limitada, esto favorece la aparición de caries y sarro, mal aliento y otras posibles patologías dentales.
El apiñamiento dental suele producirse por la falta de espacio en la cavidad oral y en su aparición tienen lugar factores de carácter congénito. El apiñamiento primario se produce por razones congénitas y por tanto es hereditario. Si alguno de los padres tiene una mandíbula pequeña, seguramente sus hijos también la tengan. En estos casos, es recomendable que los niños acudan a su primera consulta a partir de los seis años.
El apiñamiento secundario tiene su origen en los malos hábitos orales. Su origen también puede estar en la pérdida temprana de los dientes de leche. El apiñamiento terciario es aquel que tiene lugar a raíz del crecimiento de las muelas del juicio. Cuando estas carecen de espacio para erupcionar, ejercen presión al resto de dientes para que se muevan.
Tener los dientes apiñados no solo es un problema estético, sino que también es algo que puede afectar a nuestra salud bucodental. En este sentido, resulta muy complicado limpiar al completo cada pieza dental. Por otro lado, los dientes apiñados tienden a desgastarse y a perder más rápidamente el esmalte.
Corregir los dientes apiñados dependerá de la gravedad de cada caso, pues como acabamos de ver, existen diferentes grados de apiñamiento. Sin embargo, cuando el apiñamiento es leve, se puede recurrir a otras técnicas, como por ejemplo a la colocación de carillas dentales. Este tratamiento permite alinear tus dientes de forma cómoda, rápida y sencilla sin la necesidad de tocar tus dientes naturales.
Tipos de Apiñamiento Dental
Para saber si el apiñamiento dental de una persona es más o menos grave es necesario realizar un estudio previo de su boca a base de radiografías y otra serie de tecnologías digitales:
- Apiñamiento leve: se produce cuando el espacio que falta es de 3 milímetros por arcada.
- Apiñamiento moderado: se considera así cuando el espacio que falta por arcada está entre los 3-5 milímetros.
- Apiñamiento severo: tiene lugar cuando faltan más de 6 milímetros por arcada.

Deriva Dental
Los dientes separados, también llamados diastemas, son uno de los problemas más comunes de la estética dental. Del mismo modo, los diastemas también son más habituales entre los incisivos superiores, aunque es posible que aparezcan entre cualquier otra pieza dental.
La principal causa para que aparezcan los dientes separados es la diferencia de tamaño entre los maxilares y los dientes. Si se da este caso, el frenillo empuja a los dientes hacia los lados, provocando esa separación tan visible y característica. Pero no es la única causa de los diastemas superiores. En lo que se refiere a problemas de salud bucodental, los diastemas no tienen por qué suponer ninguno, por lo que no requieren de tratamiento.
Las alternativas para tratar los diastemas o dientes separados son varias. En los casos en los que el frenillo sea el causante del diastema, se puede proceder a una intervención de carácter leve, que se llama frenectomía, y que elimina ese obstáculo para el cierre del espacio interdental. En el caso de que el paciente sea un niño, normalmente los dientes se juntan por sí solos al no existir esa barrera.
Además, te ofrecemos un tratamiento revolucionario, que se llama Digital Smile Design (DSD) o Diseño Digital de la Sonrisa. Si tienes los dientes separados y te interesa corregir su posición para lucir una sonrisa más atractiva, no dudes en contactar con un especialista.
Pérdida de Muelas y su Impacto
La pérdida de muelas es una condición dental que enfrentan muchas personas a lo largo de su vida. La pérdida de una muela puede desencadenar un efecto dominó. Cuando un diente se pierde y no se reemplaza, los dientes adyacentes pueden comenzar a moverse hacia el espacio vacío, un fenómeno que se conoce como deriva dental.
Los dientes están diseñados para trabajar en conjunto. Cuando se pierde una muela, los dientes adyacentes pueden inclinarse hacia el espacio vacío en busca de un «compañero» con el que se apoyen. A lo largo de nuestra vida, nuestros huesos están en constante renovación. Sin embargo, en el caso de la pérdida de muelas, la falta de estimulación en la mandíbula puede resultar en la pérdida de hueso, un proceso conocido como reabsorción ósea.
La reabsorción ósea es un fenómeno que ocurre silenciosamente, y en sus etapas iniciales, puede ser casi indetectable. Es un proceso natural en el que el cuerpo reabsorbe el hueso que ya no necesita, y en circunstancias normales, es un aspecto crucial de la regeneración y reparación ósea. Cuando perdemos un diente, el hueso que solía rodear la raíz del diente pierde su función. Sin la presión y la estimulación proporcionadas por un diente, este hueso se vuelve obsoleto.
Los labios y las mejillas pueden parecer hundidos, dando a la cara una apariencia más flácida o envejecida. La reabsorción ósea puede sonar aterradora, pero hay formas efectivas de manejarla y prevenirla. Los implantes dentales juegan un papel crucial en este aspecto.
La falta de muelas sí puede deformar la cara, alterando no solo la estética sino también la funcionalidad de la boca. Si has perdido una o más muelas, no dudes en contactar a profesionales en implantes dentales.
Hiperdoncia o Dientes Supernumerarios
La hiperdoncia o dientes supernumerarios, es una condición en la que la persona tiene un diente o dientes adicionales. Se ve principalmente en niños, pero también puede ocurrir en adultos. El desarrollo excesivo de los dientes es una condición que se pensó que era hereditaria, pero ahora se ha descubierto que se deriva de hasta 25 disfunciones genéticas diferentes. De niños tenemos 28 dientes, y de adultos, incluidas las muelas del juicio, tenemos 32 dientes. Dependiendo de la posición y forma de los dientes del paciente, los especialistas dentales pueden identificar casos de hiperdoncia durante un examen preliminar. Otros síntomas pueden incluir un paladar alto y estrecho o una mandíbula pequeña.