La caries interproximal es un problema común y, a menudo, subestimado que afecta a muchas personas. Este tipo de caries se desarrolla entre los dientes, en zonas difíciles de limpiar con el cepillo. Las caries interdentales, también conocidas como caries interproximales, son aquellas que se desarrollan entre los dientes, en las áreas de contacto entre ellos. Llamamos área interproximal al espacio que tenemos entre los dientes y cuya parte inferior ocupa la encía. El espacio interproximal, interdental o interdentario es el espacio que existe entre un diente y sus contiguos. Aunque los dientes estén correctamente alineados, en estos espacios se pueden acumular restos de comida facilitando la aparición y acumulación de placa bacteriana.

¿Qué son las caries interproximales?
La caries interproximal es una forma de caries dental que afecta los espacios entre los dientes. Por el lugar donde se originan, las caries interproximales pueden ser menos visibles y difíciles de detectar. Las caries entre dientes, también conocidas como caries interproximales, son áreas de desgaste del esmalte dental que ocurren en los espacios estrechos entre los dientes.
Causas de las caries interproximales
Para entender el desarrollo de las caries interproximales, es importante conocer los factores que aumentan el riesgo de su aparición:
- Higiene bucal deficiente: Al no eliminar la placa y los restos de alimentos de los espacios entre los dientes, las bacterias comienzan a descomponer el esmalte. Aunque el cepillado regular es fundamental, no siempre es suficiente para alcanzar las zonas interdentales.
- Dieta alta en azúcares: Los azúcares son el alimento principal de las bacterias de la boca. Las bacterias presentes en la boca descomponen los restos de alimentos que se acumulan entre los dientes, generando ácidos que desmineralizan el esmalte.
- Factores genéticos: Algunas personas tienen dientes con superficies más rugosas o con espacios más estrechos, lo que facilita la acumulación de placa en estas zonas difíciles de limpiar.
- Falta de visitas regulares al dentista: Muchas caries interproximales no se detectan a simple vista y solo pueden ser diagnosticadas mediante radiografías dentales.
- Acumulación de placa bacteriana: La placa dental es una película pegajosa de bacterias que se forma constantemente en la superficie de los dientes.
- Falta de flúor: El flúor es un mineral que fortalece el esmalte dental y previene la formación de caries.
Síntomas de las caries interproximales
Detectar una caries interproximal es un reto, especialmente en sus fases iniciales. Las caries interdentales pueden ser difíciles de detectar a simple vista. Muchos pacientes se dan cuenta de que tienen una caries interproximal cuando ya sienten síntomas de dolor y sensibilidad dental, momento en que la caries ya ha erosionado parte de la estructura dental.
- Uno de los primeros sintomas de caries es la sensibilidad al frío o al calor en las áreas afectadas.
- También puede haber dolor o molestias al masticar.
- Dolor punzante: a medida que la caries se acerque la pulpa dental, el dolor se irá volviendo más intenso porque las bacterias se aproximan al nervio dental.
- Por último, durante la higiene dental podemos notar que al pasar el hilo dental se engancha, provocando dolor al pasarlo entre dos dientes.

Diagnóstico de las caries interproximales
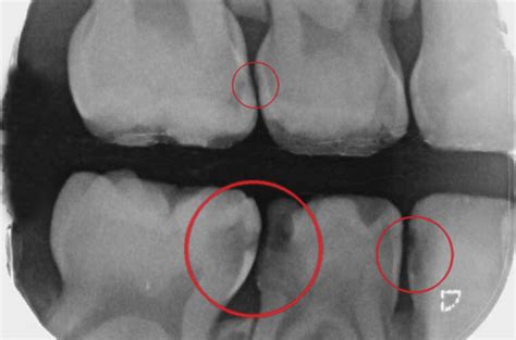
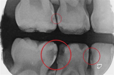
Los rayos X dentales son la técnica principal para diagnosticar caries interproximales. En las radiografías, una caries interproximal se verá como una sombra en el espacio entre los dientes. La prueba diagnóstica más adecuada para las caries interproximales será una radiografía oral y una exhaustiva exploración dental.
Tratamientos para las caries interproximales
El tratamiento de las caries interproximales varía según la gravedad del caso y el daño que hayan causado en el diente afectado. El tratamiento adecuado para las caries entre dientes dependerá de la gravedad y extensión de la caries.
- Empaste dental: Cuando la caries interproximal se detecta en una fase temprana, el tratamiento suele consistir en un empaste dental. Este procedimiento implica la eliminación de la parte afectada y el relleno de la cavidad con un material de obturación, como la resina compuesta.
- Incrustación o corona dental: Si la caries ha afectado una porción significativa del diente, el dentista puede recomendar el uso de una incrustación o una corona dental.
- Tratamiento de conductos: En casos avanzados, cuando la caries ha alcanzado la pulpa dental (el tejido blando dentro del diente) y ha provocado la muerte del nervio dental, puede ser necesario realizar un tratamiento de conductos.
- Endodoncia: Si la caries ha llegado a la pulpa dental (el tejido blando en el centro del diente que contiene vasos sanguíneos y nervios), puede ser necesario realizar una endodoncia.
- Tratamiento de infiltración proximal con el sistema Icon Proximal: Un ejemplo es el tratamiento de infiltración proximal con el sistema Icon Proximal. Este método utiliza un infiltrante que penetra en el esmalte, previniendo la progresión de la caries sin necesidad de perforar el diente. El proceso de infiltración es sencillo y efectivo. Primero, el dentista coloca separadores elásticos para mejorar el acceso a las zonas afectadas. Después de una limpieza cuidadosa, se aplica ácido para abrir los poros del esmalte y permitir la penetración del infiltrante.
- Remineralización dental: en las caries muy pequeñas o detectadas en etapas iniciales, se puede llevar a cabo un tratamiento de remineralización con flúor.
- Restauración con resina compuesta: La restauración consiste en aplicar directamente sobre el diente resina compuesta con la que reconstruimos los dientes para reducir los espacios interdentales.
Este tratamiento requiere de una profesionalización odontológica y no se recomienda intentar eliminar las caries en casa. Aunque existen métodos caseros para mejorar la higiene dental, como el uso de hilo dental o enjuagues bucales, intentar quitar una caries en casa sin ayuda profesional puede tener graves consecuencias.
La mejor técnica para cepillar los dientes y cómo usar el hilo/seda dental | ¿Cuál hilo es el mejor?
Prevención de las caries interproximales
La caries interproximal es un problema serio que puede afectar la salud bucal de forma significativa si no se detecta y trata a tiempo. La mejor forma de evitarlas siempre será la prevención, mediante una correcta alimentación y sobre todo cuidando los hábitos de higiene dental: el cepillado dental tres veces al día y el uso de hilo dental o de cepillos interdentales una vez al día serán tus grandes aliados para prevenir las caries interproximales.
- Mantener una buena higiene bucal.
- Acudir a revisiones periódicas.
- Reducir el consumo de azúcares.
- Utiliza el hilo dental una vez al día en cada espacio interdental. Hazlo con suavidad y precisión.
Higiene Interdental
Una rutina de higiene bucodental diaria es esencial para evitar la aparición de patologías orales como caries, gingivitis, periodontitis o incluso halitosis. No obstante, así como muchas personas prestan atención al cepillado, eligiendo el cepillo de dientes perfecto y aplicando la técnica adecuada, muchas otras descuidan la limpieza interdental. Por esta razón, tanto la limpieza interdental (también conocida como interproximal), así como la higiene lingual son fundamentales para acabar de completar una correcta higiene oral. Sin embargo, la limpieza interproximal sigue siendo una de las grandes olvidadas. Como hemos comentado, no todas las personas completan su higiene oral.
Puesto que el cepillo dental no puede llegar de forma adecuada a estos espacios interdentales para realizar una correcta limpieza, es necesario recurrir a otro utensilio cuya elección dependerá de preferencias y de las características orales y de habilidad de cada paciente.
- La seda o hilo dental es mejor método de limpieza interproximal para aquellas personas con espacio interdentales más estrechos. El único inconveniente es que requiere de un poco más de destreza y motivación. El uso de la seda dental es la solución más conveniente cuando el espacio interdental es muy estrecho. Se utilizan introduciéndolos en el área y cepillando el lateral de cada diente de forma longitudinal y vertical.
- Los cepillos interproximales son los más adecuados para aquellas personas que cuentan un mayor espacio entre dientes o tienen menos habilidad.
- Es un aparato que proyecta a presión un chorro de agua que ayuda a arrastrar las bacterias y los posibles restos de alimentos fuera del espacio interdental.
Por último, pero no menos importante debes recordar que únicamente las limpiezas profesionales, también conocidas como profilaxis son las que garantizan la eliminación del 100% de la placa bacteriana acumulada en los dientes y entre ellos. Por ello, es recomendable realizar este simple tratamiento de forma anual, o tantas veces como lo recomiende el especialista en función de las necesidades de cada paciente.
Espacios Interdentales Amplios (Troneras)
¿Te han diagnosticado troneras dentales? ¿Has observado unos huecos cada vez más grandes entre los dientes y las encías? ¿Te gustaría eliminarlos por motivos estéticos? Las troneras dentales son unos pequeños espacios en forma de triángulos que pueden aparecer entre los dientes, en su unión con las encías. En general, estos huecos son mínimos o imperceptibles, ya que las piezas dentales son más estrechas a medida que se acercan a la raíz. ¿Es un problema grave? La mayoría de las veces, se trata más bien de una cuestión estética.
Causas de las Troneras Dentales
- Los aparatos de ortodoncia trabajan para mejorar el alineamiento dental. Sin embargo, al modificar la posición de los dientes, podrían aparecer estos espacios. Esto sucede porque durante el apiñamiento, las piezas dentales se mueven y aprietan entre ellas, y disimulan así esos espacios triangulares en la unión entre el diente y la encía.
- Las enfermedades que afectan a los tejidos que rodean la pieza dental se denominan afecciones periodontales, y son la gingivitis y la periodontitis. Esta segunda, que también se conoce como piorrea, está asociada a un proceso de retracción de encías y de debilitamiento y pérdida de hueso. En segundo, cuando el paciente sufre retracción de las encías, principalmente como consecuencia de la enfermedad periodontal. A diferencia de la primera causa, esta sí se trata de un problema de salud.
- Aunque la edad no tiene por qué causar las troneras, su existencia es usual en personas mayores de 35 años.
- En primer lugar, cuando el paciente tiene dientes con forma triangular, de manera que las piezas presentan dificultad para contactar entre ellas. Generalmente, el espacio entre los dientes no es visible, ya que está recubierto por las encías.
- Uno de los motivos más comunes de un espacio interdental amplio es el diastema. El diastema es la separación entre dos dientes que no contactan entre si. En ciertas culturas, se ha llegado a ver el diastema como una corriente estética aunque se puede solucionar fácilmente con un tratamiento de ortodoncia. El diastema es el espacio que aparece entre dos dientes. Si las troneras se deben a un trastorno periodontal, estos espacios pueden aumentar con el paso del tiempo.
- La Periodontitis es una enfermedad infecciosa que puede estar causada por múltiples factores (etiología multifactorial). La periodontitis, en su fase avanzada, provoca la pérdida de hueso alveolar y la retracción de las encías (recesión gingival).
Tratamientos para las Troneras Dentales
Ante esta problemática, podemos optar por diversos tratamientos, en función del estado de la boca y de las necesidades de cada paciente.
- En el injerto de encía, tomamos tejido de una zona blanda de la boca, generalmente del paladar del paciente. Con él, recubrimos la raíz y los espacios interdentales de uno o varios dientes que hayan quedado expuestos.
- Las carillas dentales, por su parte, nos ayudan a retocar tanto la forma como el tamaño de los dientes. Las carillas dentales son unas finas láminas de porcelana o composite que recubren la cara externa del diente con el objetivo de mejorar su aspecto.
- El stripping dental o limado de dientes sirve para suprimir una pequeña parte del esmalte y darle una forma rectangular.
Halitosis y Caries Interproximales
La razón principal por la que aparece el mal aliento o mal sabor de boca, es decir, la halitosis es a cauda del acúmulo de placa bacteriana y putrefacción de alimentos remanentes en la boca tras cada comida. La halitosis puede ser también un síntoma relacionado con un problema periodontal. Con la gingivitis, comienza la inflamación de las encías e incluso sangrada, que puede dificultar aún más llevar a cabo una adecuada limpieza oral, especialmente porque aparece una mayor sensibilidad.
Recuperación después del tratamiento
La recuperación después de un tratamiento para caries entre dientes dependerá del procedimiento realizado.

Estadísticas sobre caries
Las caries afectan actualmente al 21% de la población (según datos del Instituto Nacional de Estadística), siendo una de las patologías dentales más comunes.
Información del Autor
Dra. Marta HerreroMédico Odontólogo, Especialista en Estética Dental, Carillas y Microcarillas. Especialista en Odontología Estética Dr.
En caso de cualquier duda, no olvides consultarlo con tu odontólogo de confianza en Los Realejos.
Bienvenido/a a Clínica Puyuelo. Nuestros contenidos son redactados por el equipo de profesionales que formamos parte de la clínica. Aquí en nuestro blog encontrarás artículos relacionados con salud y estética buco-dental. ¿Te gustaría consultarnos algo?
tags: #espacios #interproximales #dientes