En la odontología moderna, la restauración estética ha alcanzado niveles de precisión y personalización sin precedentes. Uno de los instrumentos clave en este campo son las espátulas para carillas de resina, herramientas diseñadas para moldear y esculpir el composite con exactitud. A continuación, exploraremos los diferentes tipos de espátulas y sus aplicaciones específicas en la creación de carillas de resina.

¿Qué son las Espátulas para Carillas de Resina?
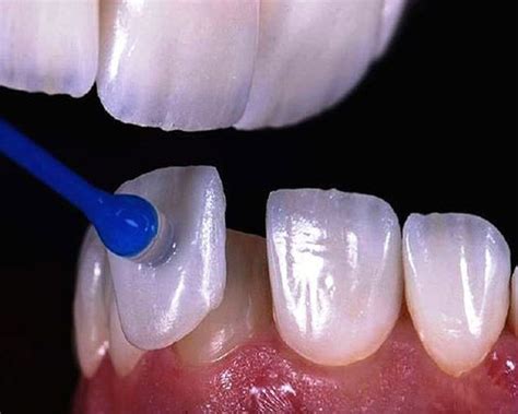
Estas espátulas son instrumentos odontológicos diseñados específicamente para trabajar con composite en la creación de carillas dentales. Su diseño permite manipular el material de manera precisa, logrando resultados estéticos y funcionales óptimos.
Tipos de Espátulas y sus Usos
Existen diversos tipos de espátulas, cada una con características particulares que las hacen ideales para diferentes propósitos:
- Espátulas de Modelado: Utilizadas para dar forma inicial al composite.
- Espátulas de Contorno: Diseñadas para definir los detalles finos de la carilla.
- Espátulas de Pulido: Empleadas para alisar la superficie y lograr un acabado natural.
En el campo de la odontología, las puntas de ultrasonido se clasifican en varias categorías según el tratamiento para el cual están diseñadas. Cada tipo de punta tiene características específicas que optimizan su desempeño en diferentes procedimientos clínicos. Estas puntas son esenciales para trabajos relacionados con la colocación y mantenimiento de prótesis y restauraciones dentales.
La variedad de tipos de puntas disponibles, como las diseñadas para cirugía, endodoncia, periodoncia, prótesis y profilaxis, demuestra su capacidad para adaptarse a distintas áreas de la odontología.
LM-Arte Solo Anterior: Un Instrumento Revolucionario
El LM-Arte Solo Anterior de LM Dental es un instrumento revolucionario diseñado específicamente para la restauración estética en el sector anterior de la boca. Este instrumento es ideal para la reparación de composite en dientes anteriores o la colocación directa de carillas.

Unilaser | Paso a paso Diseño de Sonrisa superior en Resina de Alta Estética
Características del LM-Arte Solo Anterior
- Doble Parte Activa: Cuenta con dos extremos activos en forma de espátulas redondeadas y rectas.
- Adaptabilidad: Gracias a su flexibilidad, se adapta perfectamente a las superficies labiales de los dientes anteriores.
- Superficies Cortantes: Los extremos de trabajo tienen superficies cortantes para la eliminación de exceso de composite, permitiendo cortar, dividir y separar el material con precisión.
- Espátula Recta con Punta Afilada: Ofrece un moldeado de precisión, raspado y marca límites en la restauración. Su hoja fina es perfecta para el modelado en zonas proximales.
- Espátula con Punta Redondeada: Facilita una delimitación delicada y un moldeado cervical preciso.
- Diseño Ergonómico: Disponible con mango de silicona flexible en dos modelos: LM-ErgoSense y LM-ErgoMax, cada uno diseñado para ofrecer un agarre cómodo y seguro.
Mangos Disponibles
- Mango LM-ErgoSense: Diseño ergonómico con un diámetro de Ø13,7mm, más grande de lo estándar, ofrece un agarre sensacional.
- Mango ErgoMax: Con un diámetro de Ø11,5mm, garantiza una excelente ergonomía y una gran sensibilidad táctil con un agarre relajado.
La Importancia de la Compatibilidad
La compatibilidad de las puntas de ultrasonido es un aspecto crucial a tener en cuenta para garantizar un funcionamiento óptimo y la durabilidad del equipo. Esta depende principalmente del sistema de tecnología utilizado en los dispositivos de ultrasonido, así como de las especificaciones técnicas de las puntas y su adaptabilidad a diferentes marcas y modelos.
Ejemplos de Compatibilidad
- Amdent, LM y compatibles: Estas puntas son compatibles con sistemas que utilizan tecnología piezoeléctrica y se destacan por su alta calidad y durabilidad.
- KaVo Sonicflex: Diseñadas específicamente para los equipos de ultrasonido KaVo Sonicflex, estas puntas ofrecen un rendimiento óptimo en procedimientos de profilaxis, periodoncia y restauración.
- KaVo Sonosoft y Piezolux: Estas puntas son exclusivas para los sistemas KaVo Sonosoft y Piezolux, reconocidos por su tecnología avanzada en tratamientos endodónticos y periodontales.
- Sirona: Las puntas de ultrasonido compatibles con equipos Sirona están diseñadas para integrarse perfectamente con su tecnología patentada.
- Satelec: Reconocidas por su amplia gama de aplicaciones, las puntas Satelec son ideales para sistemas piezoeléctricos y se destacan por su versatilidad.
- EMS: Diseñadas exclusivamente para los sistemas EMS, estas puntas ofrecen una alta eficiencia y precisión en tratamientos dentales.
Elegir el tipo adecuado para cada procedimiento no solo garantiza mejores resultados clínicos, sino que también refuerza la confianza del paciente en el cuidado recibido.