La sonrisa es una de las características más importantes de una persona y, muchas veces, el color de los dientes puede afectar la confianza y autoestima. Es por eso que la búsqueda de productos para blanquear los dientes se ha vuelto cada vez más popular. Uno de los productos más populares son las espumas blanqueadoras dentales, las cuales prometen un efecto rápido y efectivo en el color de los dientes.

¿Qué son las espumas blanqueadoras dentales?
La mayoría de las espumas blanqueadoras dentales están diseñadas para blanquear los dientes, es decir, reducir la apariencia de manchas y decoloraciones en la superficie de los mismos. Además de su efecto blanqueador, muchas espumas blanqueadoras dentales también tienen propiedades de limpieza.
¿Cómo se utilizan y son seguras?
El uso de espuma blanqueadora dental es seguro cuando se siguen las instrucciones del fabricante y se utiliza de manera adecuada. Es importante tener en cuenta que la espuma blanqueadora dental puede no ser adecuada para todas las personas. Por ejemplo, aquellos con dientes sensibles o problemas como caries, enfermedad periodontal o gingivitis, deben consultar con un odontólogo antes de usar cualquier producto para blanquear los dientes. También, es importante verificar la calidad y seguridad del producto antes de usarlo.
Ingredientes comunes en espumas blanqueadoras dentales
No obstante, además de los agentes blanqueadores, las espumas blanqueadoras dentales pueden contener otros ingredientes para ayudar a mejorar la apariencia y la salud de los dientes:
- Peróxido de hidrógeno: Es el ingrediente activo principal para blanquear los dientes.
- Peróxido de carbamida: Es otro ingrediente activo utilizado en algunos productos de blanqueamiento dental.
- Fluoruro: Este ayuda a fortalecer el esmalte dental y prevenir la caries.
- Agentes limpiadores: Se utilizan para ayudar a eliminar la placa y el sarro de los dientes.
- Glicerina: Este ingrediente se utiliza para ayudar a la espuma a adherirse a los dientes y mejorar la sensación en la boca.
- Aromas y sabores: Estos se utilizan para mejorar el sabor y el aroma del producto.
- Bicarbonato de sodio: Este es un ingrediente común utilizado en algunos productos de blanqueamiento dental debido a sus propiedades de blanqueamiento.
Blanqueamiento dental en clínica vs. en casa
Tanto el blanqueamiento dental en clínica como en casa pueden ser efectivos para mejorar la apariencia de los dientes. El blanqueamiento dental en clínica se realiza en el consultorio dental por un profesional y puede producir resultados rápidos y efectivos. El odontólogo aplica un gel blanqueador de alta concentración en los dientes y utiliza una luz especial para activar el gel. El blanqueamiento dental en casa implica el uso de productos para obtener resultados desde la comodidad de tu hogar. Estos pueden ser geles, tiras o espumas blanqueadoras y se pueden adquirir sin receta médica.

Tipos de blanqueamiento dental
Hay distintos tipos de blanqueamiento dental al que te puedes someter para conseguir unos dientes más blancos. Sin embargo, no todos los métodos son igual de efectivos. A continuación detallamos cada uno de ellos para dar con el que mejor se adapte a ti.
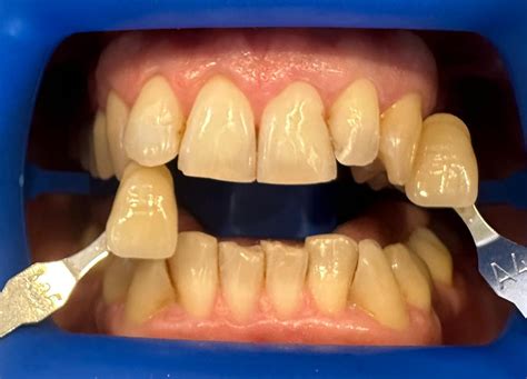
- Blanqueamiento dental en clínica o en el dentista: Para blanquear los dientes se aplica un gel de peróxido de hidrógeno en la superficie dental, que tiene un elevado potencial de blanqueamiento. Este blanqueamiento dental puede realizarse con o sin láser o luz LED. Cuando se utiliza la lámpara LED para el blanqueamiento dental, se activa el gel blanqueador haciendo que se liberen las partículas del peróxido que blanquearán los dientes. En el caso de los blanqueamientos en clínica, los resultados son inmediatos.
- Blanqueamiento dental en casa con férulas y supervisión profesional: En este caso, se realizará con unas fundas que serán entregadas en consulta por el odontólogo. Las férulas se rellenan con peróxido de carbamida y habrá que dejarlas actuar lo que tu odontólogo estipule, en función de la concentración de peróxido de carbamida que contenga el producto. El blanqueamiento dental con férulas se realiza desde casa y habrá que llevar las férulas con el producto unas semanas para que los dientes se vayan blanqueando de forma gradual.
- Blanqueamiento dental combinado: En el tratamiento de blanqueamiento dental combinado, como su propio nombre indica, se combinan el tratamiento en casa y el tratamiento en el dentista. Este tipo de tratamiento se indica para obtener un resultado aún más eficiente y duradero: Se alterna el blanqueamiento láser y las férulas. Tu dentista te aconsejará sobre cómo proceder y sobre el número de sesiones necesarias para obtener una sonrisa radiante.
- Blanqueamiento dental interno: El blanqueamiento dental interno es aquel que se aconseja cuando un diente desvitalizado (diente al que se le ha extraído el nervio) se ha ennegrecido. A diferencia del resto de blanqueamientos, este se realiza de manera interna y solamente en la pieza que se quiere blanquear.
Antes de realizar cualquier procedimiento de blanqueamiento dental debemos someternos a una higiene dental profesional. La limpieza antes del blanqueamiento dental tiene mucha importancia ya que la acumulación de sarro es uno de los factores que influyen en la tinción de los dientes, por lo que debemos realizarla antes del blanqueamiento si queremos asegurarnos de obtener unos buenos resultados.
Alternativas y productos blanqueadores populares
Sabiendo que el mejor resultado no lo obtendremos con ellos, sí es cierto que algunos kits sí ofrecen unas propiedades blanqueadoras aceptables y que lo hacen cuidando la salud de los dientes, encías y resto de mucosas de la boca.
- Lovely Smile Bright White: Se trata de un blanqueador dental fabricado por RAY OF SMILE. Está formado por 28 tiras blanqueadoras muy cómodas y sencillas de usar y con un agradable sabor a menta. Destaca por ser un blanqueador profesional que protege al 100% el esmalte dental.
- Crest 3D blanca Luxe Glamorous blanca: La segunda opción seleccionada por la OCU es esta pasta dental creada para dar brillo a los dientes, eliminando en 3 días el 95% de las manchas superficiales. Además, gracias al uso de la tecnología Whitelock, se previene la aparición de nuevas manchas.
- iFanze Tiras Blanqueadoras: Este tratamiento blanqueador seleccionado por la OCU consiste en un estuche que contiene 28 tiras blanqueadoras de la marca iFanze que, además de blanquear el esmalte, reducen la sensibilidad dental.
- Tiras Blanqueadores Teeth Whitening: Finalmente, estas tiras blanqueadoras de la marca PTKOONN son las últimas seleccionadas en el ranquin de la OCU. Se trata de un tratamiento de 14 días de duración en los que usaremos sus 28 tiras (14 para la arcada superior y 14 para la inferior).
Así, estos productos cuentan con un informe de prueba de la OCU que se puede consultar y se pueden seguir algunas evoluciones realizadas por revistas especializadas como la Stiftung Warentest. Así, se puede obtener una visión más fundamentada sobre los beneficios y los resultados a esperar de cada una de las opciones.

Opiniones de usuarios sobre productos blanqueadores
Los medidores de estrellas son el último boca a boca virtual. ¿Te está tentando ese producto que tienen todas en Instagram pero no te acabas de fiar? Pues echa un vistazo a las opiniones de los usuarios sobre estos blanqueadores dentales tan famosos, tanto para bien como para mal. Hacerlo de forma positiva te servirá de empujón para darle al click, seguro. Pero fijarte en las que menos estrellas dan al producto te salva de más de una situación embarazosa dada por la desinformación. Muchos de los compradores que, tras una experiencia no muy buena, se han encargado de dejarlo por escrito en la red hacen que otros como nosotros no caigamos en la trampa.
Es el caso de Dial a Smile Professional, uno de los blanqueadores dentales más populares de Instagram. El objetivo: unos dientes más blancos y bonitos para una buena foto que atraiga más likes. Así de claro. Las usuarias muestran su emoción al llegar a sus manos y embelesan a otras miles que lo compran sin pensar. Claro que, no está de más investigar un poco más... Cuando lo buscamos en Amazon, una de las plataformas online que lo vende (versión americana), nos dimos cuenta que del 100% de las opiniones, tan sólo un 21% parecía estar tan satisfecha como esas usuarias pero casi un 50% mostraban su descontento otorgando una solitaria estrella.
Respecto a Dial a Smile, los usuarios han mostrado su desaprobación con mensajes como "no funciona", "no vi los resultados que prometía", "no lo recomiendo. No hace nada. Un gasto de dinero", "horrible"… Lo mismo sucede con Brighter White. Otro de los blanqueadores dentales que más gusta a las usuarias en la red. Que una 'beauty influencer' como Rochelle Wick lo sacara en un vídeo en su perfil fue suficiente para que miles de usuarias se hicieran con él. Un 45% de las opiniones de Amazon eran positivas pero un 22% dejaron claro que no era lo que esperaba. De hecho, había usuarias que aseguraban sentir dolor y sensibilidad dental tras su aplicación.
Obsessivesmiles: Opiniones de los usuarios
Basado en reseñas, los autores de las reseñas han tenido una experiencia abrumadoramente positiva con esta empresa. Los consumidores están muy satisfechos con la calidad de los productos, destacando que son efectivos para blanquear los dientes y eliminar manchas, incluso las difíciles causadas por el café o el tabaco. Además, resaltan que los productos son suaves y no causan sensibilidad dental, lo cual es un punto muy valorado. Los usuarios también aprecian que la empresa proporcione información detallada sobre los ingredientes de sus productos, lo que les da confianza en su seguridad. Valoran especialmente que no contengan peróxido ni ingredientes abrasivos.
Sin embargo, hay opiniones diversas sobre el producto y el pedido, con bajo consenso entre los usuarios. Por otro lado, existe una opinión negativa generalizada sobre el marketing y las redes sociales de la empresa.
Blanqueadores dentales: ¿Qué opinan los expertos?
Miguel López Andrade, vocal del comité ejecutivo del Consejo General de Dentistas de España aseguró a Infosalus que "el blanqueamiento dental no es un tratamiento sencillo y la legislación europea y nacional exige que el peróxido de hidrógeno, del que derivan los productos blanqueadores, por encima del 0,1% de concentración sea sólo aplicado con la supervisión y control de un dentista, ya que no toda persona puede pasar por una actuación dental de este tipo".
Lo materiales de blanqueamiento pueden quemar el tejido de la encía e incluso derivar en la muerte del diente si alcanza la parte interior. Además, el portavoz del Colegio de Dentistas señala que no todas las personas responden igual a estos tratamientos, dosis, sesiones… por lo que los efectos secundarios por no haber tomado medidas, estarán prácticamente asegurados.
La legislación además, es clara sobre el uso del peróxido de hidrógeno: en proporciones de entre el 0,1 y el 1 %, estos productos no se deben ingerir por la posibilidad de provocar daños en la faringe, mucho menos debe utilizarse en niños y no debe usarse más de un mes seguido. En una proporción del 1 al 6 % sólo puede ser aplicado por especialistas y añade que no debería emplearse en consumidores habituales de alcohol o tabaco, mujeres embarazadas o tras un tratamiento como empastes o lesiones gingivales.

Cómo conseguir unos dientes más blancos: La prevención
"Lo mejor para evitar una coloración es evitar o minimizar el consumo de alimentos y bebidas que los tiñan, tales como tés, cafés, vino tinto y tabaco" nos explica Belén Acero. A lo que añade: "Es muy importante huir también de métodos alternativos que se pueden encontrar especialmente en la red porque pueden tener consecuencias muy peligrosas no solo pata la estética sino para la salud. Existen en las farmacias opciones más seguras como pastas dentales blanqueadoras con peróxido de carbamida, cuyo efecto es más lento pero más seguro. Lo mejor: consultar a un especialista dentista” concluye.
Así que, en el caso de querer lanzarte de lleno a la piscina con estos productos, como advierten los expertos, asegúrate de que en el etiquetado se especifica la concentración de este producto blanqueador y que esté vinculado a la legislación vigente. Puede que te blanquee los dientes como si fueran señales reflectantes, pero haznos caso: te ahorrarás una visita entre lágrimas a tu dentista después. Y es que a veces, Instagram lo carga el diablo.
En P&P Clinic, tu salud bucal es lo primero
En P&P Clinic, nuestra prioridad es la salud y el bienestar bucodental de nuestros pacientes. Es por eso que recomendamos que realices un seguimiento y tratamiento para mantener tu salud dental óptima y al día. Si estás pensando en blanquear tus dientes, te recomendamos visitarnos. En P&P Clinic, contamos con los mejores materiales y profesionales para ofrecerte un servicio de calidad en el blanqueamiento dental. En P&P Clinic, nos aseguramos de utilizar técnicas y materiales seguros para proteger tu salud y tu sonrisa. Así que, no lo pienses más y no descuides tu salud bucal.
BLANQUEAR LOS DIENTES CON BICARBONATO 🦷✨ ¿Es bueno este remedio casero?
tags: #espuma #blanqueadora #dental #opiniones