La estética dental es una rama de la odontología que permite modificar la dentadura para mejorar así su aspecto físico. La sonrisa forma parte fundamental del rostro y posee un alto valor estético. Por ello, muchos pacientes deciden acudir al dentista para mejorar la apariencia de su boca.
Mediante una serie de tratamientos odontológicos ofrecemos solución a diferentes problemas como la asimetría dental, fracturas, separación de los dientes anteriores o la decoloración.

Tratamientos de Estética Dental en Tenerife
A continuación, te explicamos los principales tratamientos estéticos que ofrecemos en nuestra Clínica Dental en Santa Cruz de Tenerife:
Blanqueamiento Dental en Tenerife
El blanqueamiento dental permite recuperar el blanco natural de nuestra sonrisa mediante la utilización de ciertos productos directamente sobre las piezas dentales. Con el paso de los años los dientes se oscurecen y amarillean tanto por el propio envejecimiento natural como por el consumo de sustancias como el tabaco o el café.
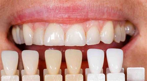
Existen distintos tipos de blanqueamiento dental, pero la mayoría de ellos se basan en la aplicación de químicos como el peróxido de hidrógeno que se descompone en oxígeno y se filtra al interior del diente. De este modo, se consigue una oxigenación desde dentro para un blanqueamiento de entre 3 y 4 tonos. El resultado final dependerá del estado y color inicial de cada paciente.
Durante el blanqueamiento dental, es común experimentar una sensibilidad temporal en los dientes, especialmente en las primeras etapas del tratamiento. Sin embargo, el dolor es poco común y suele ser leve.
- Blanqueamiento dental con férulas: Este tipo de blanqueamiento se realiza en casa, mediante la utilización de férulas que se colocan en los dientes y que contienen un gel blanqueador.
- Blanqueamiento dental mixto: Este tipo de blanqueamiento combina el blanqueamiento dental en consultorio con el blanqueamiento dental con férulas.

Carillas Dentales en Tenerife
Otro de los tratamientos más populares para mejorar el aspecto de nuestra boca son las carillas o fundas dentales. Se basa en la fabricación y colocación de unas prótesis muy finas sobre la superficie frontal del diente en orden a corregir defectos estéticos como la separación dental o fracturas.
Las carillas dentales son una solución eficaz para mejorar la apariencia de tus dientes, corrigiendo manchas, astillas y desalineaciones.
Las láminas se realizan en cerámica o composite y requieren una visita previa al dentista para valorar el estado de la boca del paciente y recoger toda la información necesaria para la fabricación de la carilla personalizada. Posteriormente, se realiza la intervención y se coloca la carilla en el diente utilizando un cemento resinoso. Para las piezas dentales posteriores se suelen utilizar coronas o fundas que recubren la totalidad del diente.
La colocación de las carillas dentales es un proceso minimamente invasivo que puede realizarse en uno o varios procedimientos, dependiendo de la complejidad del caso. En primer lugar, se realiza una evaluación dental exhaustiva para determinar si el paciente es un buen candidato para las carillas dentales.
En el momento de la colocación, el dentista limpiará y preparará la superficie de los dientes para que las carillas se adhieran correctamente. A continuación, se aplicará un adhesivo especial para unir las carillas a la superficie de los dientes, y se utilizará una luz especial para endurecer el adhesivo.
Las carillas dentales son una excelente opción para mejorar la estética dental, pero es importante tener en cuenta que su duración dependerá del cuidado que se les brinde, así como del estado de salud dental del paciente.

Diseño de Sonrisa en Tenerife
Consiste en un tratamiento más avanzado y multidisciplinar que precisa la utilización de distintas técnicas para lograr una sonrisa totalmente personalizada y adaptada a nuestros rasgos faciales. Mediante tecnología digital podemos diseñar por ordenador el tipo de sonrisa que queremos ajustando la forma, el tamaño, el color o la posición de las piezas dentales. De esta forma, realizamos un estudio del estado inicial del paciente y elaboramos un protocolo de actuación mediante la utilización de un modelo en 3D.
A partir de este modelo, se realizan diferentes tratamientos como la colocación de carillas y prótesis, blanqueamientos o cirugía oral para contornear las encías. Después, será necesario que el paciente realice un mantenimiento continuo para que el resultado perdure el mayor tiempo posible.

Podemos asegurar que los tratamientos con los que contamos en la Clínica Dental Tomás Molina para mejorar el aspecto de nuestra boca son muchos y variados. Sin embargo, todos demandan unas condiciones de salud adecuadas antes de iniciar la intervención estética. Cada uno de estos tratamientos se administra de forma totalmente personalizada, por lo que el dentista puede variar el procedimiento de un paciente a otro. El resultado final es siempre el mismo: la mejor de nuestras sonrisas.
Si precisas mejorar la estética de tu boca, no lo dudes y ponte en contacto con nosotros. Desde nuestra Clínica Dental en Tenerife estaremos encantados de asesorarte y generar tu mejor sonrisa.
Facilidades de Pago
En la Clínica Dental Bances Sanz de Santa Cruz de Tenerife ofrecemos a nuestros pacientes las siguientes facilidades de pago para que tengan más fácil conseguir la sonrisa que siempre han querido:
- Financiación sin intereses de tu tratamiento hasta en 24 meses.
- Pago por mensualidades tu tratamiento en pequeñas cuotas.
- Domiciliación bancaria para mayor facilidad.
- Pago en efectivo o con tarjeta de crédito.
Consulta a nuestros dentistas en Santa Cruz de Tenerife las distintas opciones de pago y financiación.
Ejemplo de Financiación
Importe mínimo: 90€. Ejemplo de financiación para un importe de 237,00 € en 6 meses. Comisión de formalización del 2,00%: 4,74€ a pagar en la primera cuota. Importe financiado: 237,00€. Primera cuota de 45,10€. 04 cuotas de 40,36€ y una última cuota de 40,38€. TIN 7,45% TAE 15,40%. Total intereses: 5,18€. Coste total del crédito: 9,92€. Importe total adeudado y precio total a plazos: 246,92€. Precio de adquisición al contado: 237,00€. Sistema de amortización francés. Financiación ofrecida por Banco Cetelem S.A.U. *Incluye carilla sobre diente de disilicato de litio. Revisión y seguimiento.
Importe mínimo: 144€. Ejemplo de financiación para un importe de 604,00€ en 12 meses. Comisión de formalización del 2,00%: 12,08€ a pagar en la primera cuota. Importe financiado: 604,00€. Primera cuota de 64,47€. 10 cuotas de 52,39€ y una última cuota de 52,35€. TIN 7,45% TAE 11,82%. Total intereses: 24,64€. Coste total del crédito: 36,72€. Importe total adeudado y precio total a plazos: 640,72€. Precio de adquisición al contado: 604,00€. Sistema de amortización francés. Financiación ofrecida por Banco Cetelem S.A.U.
¿Por Qué Elegir Nuestra Clínica Dental en Tenerife?
- Dentistas Profesionales: Nuestro equipo de dentistas combina más de 10 años de experiencia con una formación continua en las últimas tecnologías y avances. Somos un equipo joven de dentistas en Santa Cruz de Tenerife que continúa un legado familiar de más de 40 años.
- Tecnología Punta: Estamos a la vanguardia de la odontología.
- Facilidades De Pago: En nuestra clínica te lo ponemos fácil. Ofrecemos múltiples opciones de pago y financiación sin intereses para tus tratamientos.
- Satisfacción Garantizada: Tu comodidad y satisfacción son nuestra prioridad. Desde la primera consulta hasta el final del tratamiento, nos aseguramos de que tu experiencia sea excelente y los resultados sean de la más alta calidad.
Queremos que te sientas en las mejores manos desde el primer momento.
Proceso en Nuestra Clínica
- Cuestionario de salud: Al llegar, te pediremos que rellenes un sencillo cuestionario en nuestro iPad.
- Entrevista con el doctor: Tendrás una primera reunión con el doctor, donde podréis hablar sobre tu salud bucal, tus necesidades y objetivos.
- Revisión clínica completa: Realizaremos una revisión dental detallada, que suele incluir radiografías y escaneado intraoral, si es necesario.