La estomatitis es un problema común que afecta a muchas personas, y saber identificarla es fundamental para poder conocer cómo tratarla. La estomatitis es una de las enfermedades con origen en la boca que más prevalencia tienen. La realidad es que no existe un rango de edad para sufrir esta alteración, ya que las heridas que produce pueden formarse en cualquier momento de la vida. Por lo tanto, estamos ante una patología que afecta del mismo modo a niños y a adultos.
¿Cómo eliminar las aftas bucales? Dra Mailyn te lo explica🤔🦷
¿Qué es la Estomatitis?
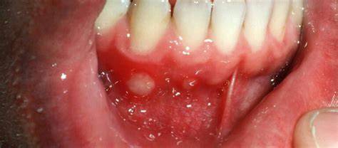
Se entiende por estomatitis la inflamación de la mucosa que aparece en cualquiera de las estructuras de la boca. La estomatitis es una patología oral bastante prevalente que suele dar la cara a través de la formación de aftas bucales. Las llagas aparecen en diferentes zonas de la boca, como la lengua, la cara interna de las mejillas, los labios o, incluso, las encías. La estomatitis es una afección muy común, que se caracteriza por la formación de heridas orales.
Esta suele aparecer en forma de molestas heridas o llagas. Puede darse en cualquier parte de la boca: el interior de las mejillas, las encías, en la lengua, los labios, el paladar… Estas lesiones tienden a resultar muy molestas y a afectar seriamente a la estética de la boca. Genera dolor y molestias, que dificultan los actos de masticar, tragar, hablar e incluso bostezar. Como sabes, la integridad de las mucosas orales facilita las funciones respiratoria y digestiva.
Dependiendo del grado del problema, esta dolencia puede acabar causando problemas para hablar o comer. Por eso, en cuanto aparezca lo más importante es acudir a un dentista que pueda valorar los síntomas y el tratamiento que hay que seguir para evitar que el problema vaya a más y provoque todavía más molestias en la boca.
La estomatitis es el término general para describir una boca inflamada, dolorida y con presencia de úlceras bucales. Sus causas son muy variables. Si detectas algún tipo de lesión compatible con esta patología en las boquitas de los bebés es conveniente que traigas a los peques al servicio de odontopediatría.
Tipos de Estomatitis
- Estomatitis Aftosa: Es la forma de aparición más frecuente de la estomatitis. Se caracteriza por la presencia de úlceras blancas o amarillentas con un anillo externo rojo.
- Estomatitis Herpética: Se caracteriza por la presencia de llagas llenas de líquido que se producen en o alrededor de los labios. Rara vez se forman en las encías o en el paladar.
- Estomatitis Angular: También conocida como queilitis angular es una condición que causa manchas rojas e inflamadas en las comisuras de la boca donde los labios se juntan y forman un ángulo.
- Estomatitis Subprotésica: Lesiones que aparecen en el área de soporte de las prótesis, habitualmente paladar duro o reborde óseo mandibular.

Causas de la Estomatitis
En ciertas ocasiones, la causa de la estomatitis es desconocida, y en otros casos, es la expresión de algún tipo de deficiencia o de alguna infección. A nivel de la mucosa oral, existen numerosos microorganismos que, por diversas razones, pueden predisponer a la aparición de la estomatitis. También ya hemos las causas más frecuentes que generan lesiones en la cavidad oral.
Estas son algunas de las causas principales por las que suele darse la aparición de estomatitis:
- Infecciones: Si ocurre una infección en una herida o llaga en la boca, esta puede causar la enfermedad. La infección por el virus del herpes simple es la causa de la estomatitis herpética, más frecuente en niños menores de 6 años.
- Enfermedad sistémica: Si la persona cuenta con una enfermedad que afecte a los diferentes tejidos.
- Algún tipo de irritante: Puede aparecer por algún producto químico que haya dañado la boca al entrar en contacto con ella. La estomatitis alérgica se produce como reacción al contacto de un alérgeno con la piel o las mucosas de la boca. Por ejemplo, en pastas de dientes, seda dental, enjuagues bucales o empastes dentales.
- Estrés o ansiedad: Muchas personas no lo saben, pero los nervios o el estrés también son una de las causas para que pueda aparecer este problema bucal. Se cree que el estrés psicológico y físico juega un papel.
- Nutrición deficiente: Otra de las causas de la estomatitis es la presencia de algún tipo de carencia nutricional. Si sufres bajos niveles de hierro o de vitamina B, el riesgo a padecer estas lesiones es superior.
- Dentadura postiza: El uso de dentadura postiza, conocida como prótesis dental removible, podría ocasionar estomatitis. Si usas prótesis dentales debes de asegurarte de que están en perfecto estado y bien ajustadas, con el fin de limitar la formación de heridas en las mucosas orales.
- Ortodoncia: Los aparatos dentales, sobre todo las ortodoncias con brackets, también son un factor de riesgo para la aparición de lesiones aftosas en las mucosas de la boca.
- Quimioterapia: Algunos tratamientos contra el cáncer, como la radioterapia o la quimioterapia, están detrás de la estomatitis. Si debes someterte a sesiones de tratamientos contra el cáncer es conveniente que acudas al odontólogo antes de comenzar.
- Otros factores: Consumir alimentos particularmente ácidos o picantes o fumar puede contribuir a la estomatitis. Otros factores de riesgo incluyen la boca seca y la escasez o ausencia de saliva, esencial para mantener la mucosa oral húmeda e hidratada.
Síntomas de la Estomatitis
Para que la identifiques es crucial conocer que puede causar y cuáles son los síntomas de la estomatitis. La estomatitis puede provocar diferentes síntomas, todos ellos localizados en la cavidad oral: hinchazón, enrojecimiento, en ocasiones úlceras orales (aftas) y sangrado. Además, dependiendo de la zona de aparición, puede estar asociada a trastornos secundarios como: gingivitis (encías), glositis (lengua) o queilitis (labios). La gingivoestomatitis herpética es una infección que afecta a la boca y a las encías provocando en ellas úlceras e hinchazón y puede ser bastante dolorosa e incómoda.
Hablamos de ellos a continuación:
- Aparición de más de una llaga o herida en cualquier lugar de la boca. Aparición de llagas en la boca, sobre todo, en las zonas de las mucosas orales. La estomatitis aftosa se caracteriza por pequeñas úlceras redondas u ovaladas (conocidas como aftas), que pueden aparecer en las mejillas, lengua, paladar o alrededor de la base de las encías.
- Que las aftas tengan formas y tamaños muy variables.
- Dolor constante en la zona localizada en la que estén las heridas o rozaduras.
- Hinchazón en las llagas que no suele haber.
- Aparición muy continua de llagas en un corto espacio de tiempo.
- Cambios en el color de la mucosa oral. Un enrojecimiento de la mucosa y la presencia de hinchazón pueden indicar inflamación que puede deberse a la estomatitis. Cuando la estomatitis es causada por un hongo como Candida albicans, pueden aparecer manchas blanquecinas en la superficie de la lengua. En algunos casos, la lengua se vuelve completamente blanca, lo cual puede extenderse al interior de las mejillas y al resto de la cavidad oral.
- Labios enrojecidos, lengua blanca, ampollas, pequeñas úlceras, manchas de sangre en el interior de las mejillas. Cursando dolor, labios agrietados y dificultad para tragar.
- Sensibilidad.
- Dificultad para tragar.
- Problemas para hablar.
- Enrojecimiento.
- Hay situaciones graves en las que la estomatitis puede causar la inflamación de los ganglios linfáticos del cuello, fiebre o sensación de malestar. Pues, el paciente puede llegar a deshidratarse por tener dificultades para beber o comer. Uno de los síntomas más frecuentes es que el niño presenta fiebre bastante alta llegando hasta los 40 grados. Por último, debido al dolor anteriormente mencionado, el peque puede rechazar todo tipo de alimentos.
Tratamiento de la Estomatitis
Como hemos dicho, lo primero que hay que hacer es acudir a una clínica dental. Para curar la estomatitis es importante que visites a un especialista en salud oral. Lo primero que hacemos es revisar tu sonrisa con detenimiento, detectando las causas de la afección. Si las heridas te están generando daños serios en la boca, nuestro objetivo será acelerar su cicatrización. El tratamiento se enfoca en aliviar los síntomas y tratar la causa subyacente.
Un dentista debe evaluar el estado de la enfermedad para determinar si es más leve o más grave y el tratamiento a seguir puede ser diferente para cada persona. Pero si la causa se desconoce, el tratamiento debe ir encaminado a aliviar los síntomas. Antes de iniciar el tratamiento, es importante recordar que es fundamental identificar la causa específica que ha provocado la aparición de la estomatitis.
Estos son algunos de los que se suelen llevar a cabo:
- Toma de antibióticos recetados por un médico para evitar infecciones o problemas mayores. También en ocasiones se recetan analgésicos para el dolor que causa. Las medicinas que debes proporcionar serán utilizadas para diferentes dolencias como, por ejemplo, para el dolor que causa en las encías. Estos tipos de fármacos se pueden administrar por tres días mientras esté presente el dolor. Si el dolor se prolonga más, aunque no es común, puedes seguir tomándola.
- Enjuagar la boca repetidas veces en el día para evitar la sequedad y, por lo tanto, la aparición de heridas.
- Evitar hasta que desaparezcan los síntomas como los alimentos demasiado picantes, muy crujientes o excesivamente calientes. Evita alimentos picantes y muy ácidos.
- Ingerir 2 litros de agua al día. En segundo lugar, debes asegurarte de poder suministrarle al pequeño bebidas para impedir la desecación, esto puede ser zumos, agua, o si se considera pertinente, es posible suministrarle suero, que puede ser conseguido fácilmente en cualquier farmacia.
- No tomar alcohol ni fumar durante el proceso de curación.
- Aloe vera: principio activo utilizado frecuentemente en los productos cosméticos por sus beneficios sobre piel y mucosas.
¿Cómo Prevenir la Estomatitis?
Hay algunos consejos que puedes seguir para intentar evitar que aparezca el problema. Además, te ofreceremos pautas para que puedas prevenir la presencia de este tipo de lesiones en las mucosas de la boca. Con el fin de minimizar riesgos, nuestro consejo es que sigas buenos hábitos de higiene bucodental.
Eso sí, hay que tener en cuenta que a veces no hay forma de evitarla y hay que llevar los tratamientos adecuados a cabo:
- Una buena higiene bucodental: lavarse los dientes 3 o 4 veces al día y la utilización de colutorios e hilo dental puede ser una de las mejores maneras de evitar que aparezca. Por lo tanto, es importante elegir una pasta de dientes adecuada para la boca y los dientes y elegir un cepillo de dientes con cerdas suaves o semiblandas.
- Evitar alimentos y bebidas que irriten: puede parecer algo obvio, pero es uno de los mejores consejos. Si se suele tener este problema lo mejor es evitar alimentos picantes o ácidos y bebidas con mucho azúcar.
- Alimentación saludable: contar con una dieta equilibrada hará que el sistema inmunológico esté fuerte y, por lo tanto, que sea menos probable tener infecciones en la boca. La falta de vitaminas y nutrientes tienen un impacto directo en el adecuado funcionamiento de todo el organismo, incluyendo a la boca. De ahí la importancia de llevar una dieta sana y equilibrada, ya que contribuirá en gran medida a conversar nuestra salud bucodental.
- Solicitar una limpieza profesional de las prótesis dentales. En España, el precio de este tratamiento puede variar. Sin embargo, una limpieza profesional realizada en el laboratorio dental suele costar alrededor de 80 euros.
tags: #estomatitis #por #contacto