La extrusión dental, un fenómeno donde un diente se desplaza fuera de su posición normal en la arcada, es un problema multifactorial que puede tener diversas causas y consecuencias. En este artículo, exploraremos en detalle las causas, consecuencias y tratamientos disponibles para la extrusión dental, especialmente cuando está relacionada con la falta de un diente antagonista.
Cuando un diente se extrae y no se reemplaza, los dientes adyacentes y, en particular, el diente antagonista (el diente que se encuentra en la arcada opuesta y que entra en contacto con el diente extraído), pueden verse afectados. La ausencia del diente antagonista puede llevar a la extrusión del diente opuesto, ya que este busca el contacto perdido. Este fenómeno puede ser el inicio de una serie de problemas que afectan la salud bucal y la funcionalidad de la mordida.

¿Qué es la Extrusión Dental?
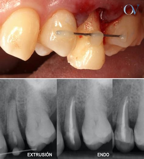
La extrusión dental se define como el desplazamiento de un diente fuera de su posición normal en el hueso alveolar. Este fenómeno puede presentarse en diferentes grados, desde una ligera protrusión hasta una extrusión completa, donde el diente se desplaza significativamente. Es importante destacar que la extrusión dental puede ser el resultado de un trauma, enfermedades periodontales, o incluso prácticas ortodóncicas inapropiadas.
Causas de la Extrusión Dental
La extrusión dental es una condición multifactorial, con causas que van desde traumas físicos hasta problemas de salud oral y prácticas ortodóncicas inadecuadas. Algunas de las causas más comunes incluyen:
- Falta de Dientes Antagonistas: Cuando se pierde un diente y no se reemplaza, el diente opuesto puede extruirse al no tener contacto con su antagonista.
- Bruxismo: El bruxismo, o rechinamiento de los dientes, puede ejercer una presión excesiva sobre los dientes, favoreciendo su desplazamiento.
- Maloclusión: Una mordida desajustada puede causar que ciertos dientes reciban más carga de la que deberían, lo que puede llevar a la extrusión.
- Ortodoncia sin Retención Adecuada: Después de un tratamiento de ortodoncia, los dientes pueden regresar a su posición original si no se utiliza la retención adecuada.
- Traumatismos o Microtraumatismos: Golpes o hábitos como morder objetos duros pueden dañar el ligamento periodontal y provocar la extrusión.
- Fracturas Dentales o Endodoncias sin Protección: Un diente fracturado o endodonciado sin la protección adecuada puede ser más susceptible a la extrusión.
- Infecciones Localizadas o Abscesos: Una infección dental puede destruir rápidamente las estructuras de soporte que mantienen un diente en su lugar.
- Enfermedades Sistémicas: Enfermedades como la osteoporosis pueden debilitar los huesos que sostienen los dientes, contribuyendo a la extrusión.

Consecuencias de no Reemplazar los Dientes Extraídos
No reponer los dientes extraídos puede tener una serie de consecuencias negativas para la salud bucal, incluyendo:
- Extrusión de Dientes Antagonistas: El diente opuesto al espacio vacío puede extruirse al no tener contacto con su antagonista.
- Desplazamiento e Inclinación de los Dientes Adyacentes: Los dientes contiguos al espacio edéntulo tienden a inclinarse hacia dicho espacio.
- Movimiento de Dientes Adyacentes, Cambiando la Oclusión: Esto dificulta la rehabilitación posterior y puede causar problemas en la masticación.
- Atrofia del Hueso Alveolar: En las zonas desdentadas, se produce atrofia del hueso alveolar y retracción del tejido blando.
- Caries entre Dientes: Al crecer, la posición de los dientes cambia con respecto a los dientes adyacentes, variando así el punto de contacto entre dientes, lo que puede favorecer la aparición de caries.
- Problemas en la Masticación: Al faltar piezas, se tiende a forzar zonas de la boca que no deberían, lo que puede generar problemas en la masticación y en la articulación temporomandibular.

Consecuencias de la pérdida de un diente - Soluciones
Tratamientos para la Extrusión Dental
Afortunadamente, existen diversas opciones de tratamiento para corregir la extrusión dental y restaurar la funcionalidad y estética de la sonrisa. La elección del tratamiento dependerá de la causa y la gravedad de la extrusión, así como de las necesidades y preferencias del paciente.
Opciones de Tratamiento
- Ajuste Oclusal: Si la extrusión está relacionada con fuerzas oclusales excesivas, el ajuste oclusal puede ser una solución efectiva. Este procedimiento implica modificar sutilmente las superficies masticatorias para redistribuir las fuerzas de manera más equilibrada.
- Férulas de Descarga: Para pacientes con bruxismo, las férulas de descarga pueden ser transformadoras. Estos dispositivos, fabricados a medida, redistribuyen las fuerzas generadas durante el apretamiento o rechinamiento de los dientes, protegiendo las estructuras de soporte.
- Ortodoncia: En casos de maloclusión o extrusión severa, la ortodoncia puede ser necesaria para realinear los dientes y corregir la mordida.
- Implantes Dentales: Si la extrusión es causada por la falta de un diente antagonista, la colocación de un implante dental puede ser la solución ideal. Un implante dental reemplaza la raíz del diente perdido y proporciona soporte para una corona, restaurando la función y la estética.
- Prótesis Fijas (Puentes): Los puentes son otra opción para reemplazar los dientes perdidos. Un puente consiste en una estructura que se apoya en los dientes adyacentes al espacio edéntulo y que sostiene un diente artificial en el medio.
- Prótesis Removibles: Las prótesis removibles son una opción más económica para reemplazar los dientes perdidos. Estas prótesis se sujetan a los dientes vecinos con ganchos y pueden ser removidas para su limpieza.
- Reconstrucción con Composite o Coronas: En casos de anquilosis dental (donde el diente está fusionado al hueso), se puede realizar una reconstrucción con composite o colocar coronas para igualar la altura de los dientes y evitar la extrusión del antagonista.
- Extracción del Diente Anquilosado: En casos más problemáticos de anquilosis, puede ser necesario extraer el diente anquilosado.

Tratamientos para Reemplazar Dientes Perdidos
Es crucial abordar la falta de dientes para prevenir la extrusión del diente antagonista y otros problemas asociados. A continuación, se presentan algunas opciones para reemplazar los dientes perdidos:
A. Implantes Dentales
Los implantes dentales son una excelente opción para reemplazar los dientes perdidos. Ofrecen varias ventajas:
- Preservación del Hueso: Los implantes ayudan a preservar el hueso alveolar, evitando la atrofia que se produce tras la pérdida de un diente.
- Estabilidad: Los implantes proporcionan una base sólida y estable para la corona, restaurando la función masticatoria y la estética.
- Durabilidad: Con un cuidado adecuado, los implantes pueden durar muchos años.
El tratamiento con implantes implica varias etapas:
- Evaluación Inicial: Se realizan fotografías y radiografías de la boca del paciente. En ocasiones, se solicita un estudio especial (escáner o TAC) para evaluar la cantidad y calidad de hueso.
- Colocación del Implante: Los implantes se colocan en la primera cirugía. Se debe esperar un período de 3 meses para que el hueso cicatrice alrededor de los implantes.
- Segunda Cirugía (si es necesaria): Si los implantes se encuentran tapados bajo la encía, se realiza una segunda cirugía para exponer los implantes y colocar el pilar de cicatrización.
- Fabricación de la Prótesis Fija: El dentista restaurador empieza la fabricación de la prótesis fija, incluyendo la impresión preliminar, la impresión final, el encerado, las pruebas de metal, las pruebas de cerámica, y la inserción de la prótesis.
- Mantenimiento: El paciente inicia las visitas de mantenimiento regular y de reevaluación.
B. Prótesis Fijas (Puentes)
Los puentes son una opción más tradicional para reemplazar los dientes perdidos. Implican la preparación de los dientes adyacentes al espacio edéntulo para que sirvan de soporte a la prótesis.
Ventajas:
- Rapidez: El tratamiento es más rápido que con los implantes.
- Costo: Generalmente, el costo es menor que con los implantes.
Desventajas:
- Desgaste de los Dientes Adyacentes: Es necesario tallar los dientes vecinos para que sirvan de soporte al puente.
- Riesgo de Problemas Periodontales: Existe un riesgo de afectar los tejidos gingivales y el hueso que rodea los dientes, lo que puede conducir a problemas periodontales.
- Higiene: La higiene diaria puede ser difícil en algunas prótesis parciales fijas.
C. Prótesis Removibles
Las prótesis removibles son una opción más económica para reemplazar los dientes perdidos. Se sujetan a los dientes vecinos con ganchos y pueden ser removidas para su limpieza.
Ventajas:
- Costo: El costo es relativamente bajo.
- Reemplazo de Hueso y Encía: Sirve para reemplazar los dientes ausentes y el hueso y la encía atrofiada.
Desventajas:
- Incomodidad: Muchos pacientes encuentran que son incómodas y molestas a largo plazo.
- Riesgo de Caries y Problemas Gingivales: Puede afectar a los dientes donde se apoya, produciendo un aumento del riesgo de caries y de problemas gingivales y periodontales.
- Voluminosa: A menudo es muy voluminosa y puede afectar el habla y el gusto.
- Estética: Puede ser antiestética, ya que pueden observarse los ganchos cuando el paciente sonríe.
Importancia de la Detección Temprana
La detección temprana de la movilidad dental es crucial para preservar el diente a largo plazo. Cuando la movilidad está en sus etapas iniciales, las opciones de tratamiento son más numerosas y menos invasivas. Un diente con movilidad leve puede responder bien a tratamientos conservadores, mientras que un diente con movilidad severa puede requerir procedimientos más complejos o, en casos extremos, extracción.
La detección temprana también permite abordar no solo el diente afectado, sino también los factores que contribuyeron al problema. Si la causa es bruxismo, se puede instalar una férula de descarga antes de que otros dientes se vean afectados. Si es una maloclusión, se puede corregir antes de que genere más daño. Si es una infección, se puede tratar antes de que se extienda.

Conclusión
La extrusión dental por falta de antagonista es un problema común que puede tener graves consecuencias para la salud bucal. Sin embargo, con un diagnóstico temprano y un tratamiento adecuado, es posible corregir la extrusión y restaurar la funcionalidad y estética de la sonrisa. Es fundamental consultar a un odontólogo para evaluar la situación y determinar el tratamiento más adecuado para cada caso.