Las facetas dentales son unas finas láminas de porcelana o composite que se adhieren a la cara visible del diente para mejorar su aspecto estético. A causa de su finalidad estética, estas láminas se colocan en la cara vestibular de los dientes frontales, para ser los más visibles cuando sonreímos. Son elementos que se crean a medida de cada paciente con el fin de que tenga la mayor naturalidad posible al ser colocados junto al resto de dientes.
Tal como ya hemos avanzado, la función de estas finas láminas es la de embellecer la sonrisa. Por lo tanto, las facetas dentales se utilizan para corregir defectos tan comunes como los dientes torcidos, rotos, separados (diastemas), con manchas, irregulares o desgastados. Conseguirás una sonrisa perfecta, ya que las carillas se diseñan a medida para cubrir imperfecciones, como dientes manchados, desgastados, rotos o desalineados.
Una sonrisa atractiva tiene un impacto significativo en la confianza personal. Las carillas ofrecen la oportunidad de sentirse orgulloso de su sonrisa, lo cual puede transformar la interacción social y profesional, mejorando enormemente la autoestima del paciente.
Cada tratamiento de carillas dentales es 100% personalizado y único para paciente.
El mejor momento de plantearte un tratamiento de carillas dentales es AHORA. ¿Quieres saber por qué?
La colocación de carillas implica un procedimiento muy poco invasivo. En la mayoría de los casos, se administra anestesia local para minimizar cualquier molestia durante el ajuste del esmalte dental.
Las carillas son una excelente opción para personas que desean mejorar la estética de su sonrisa. Son ideales para tratar una variedad de problemas dentales, como dientes descoloridos, desgastados, rotos o desalineados.

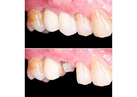
Ejemplo de carillas dentales de porcelana e-max antes y después del tratamiento.
Tipos de Facetas Dentales
Existen varios tipos de facetas dentales, cada una con sus propias características y materiales. Los principales tipos son:
- Facetas de Porcelana: Son las que más calidad y duración ofrecen. Es por eso que es el material que cuenta con más demanda en nuestra clínica dental. Es muy poco probable que una faceta de cerámica o porcelana sufra alguna fractura. No es de extrañar que a causa de las virtudes que presenta en cuanto a resistencia y estética, las facetas de porcelana sean más caras que las de composite.
- Facetas de Composite: Las facetas de composite también ofrecen un buen resultado estético para la cavidad oral del paciente, pero el material con el cual están elaboradas hace que sean menos duraderas que las de porcelana.
- Facetas de Circonio: Aunque el circonio es un material muy resistente y que ofrece unos resultados altamente estéticos, se utiliza en circunstancias muy concretas en el caso de las facetas.
Esta recomendación está basada, fundamentalmente, en la duración y el resultado que se consigue con estas facetas.

Aspecto de la corona de circonio antes de la colocación de la porcelana.
Materiales Utilizados en las Facetas Dentales
Los materiales más comunes utilizados en la fabricación de facetas dentales son el composite y la porcelana. Cada uno tiene sus propias ventajas y desventajas:
- Porcelana: Ofrece una excelente estética y durabilidad. Son resistentes a las manchas y pueden durar muchos años con el cuidado adecuado.
- Composite: Es una opción más económica, pero menos duradera que la porcelana. Pueden requerir retoques o reemplazos más frecuentes.
- Zirconio: Un material muy resistente y estético, aunque su uso en facetas es menos común.
En la implantología, empleamos el zirconio para rehabilitaciones de un implante dental o de toda la boca con implantes dentales. La estructura es posteriormente revestida por porcelana para la estética final de la rehabilitación implantosoportada realizada por el Dr. Otro gran inconveniente de las prótesis dentales convencionales es que no son biocompatibles. Y por eso son menos tolerables por el organismo. En cambio zirconio es un material que no tiene metal, por lo que no produce ningún tipo de alergia.

Ejemplo de carillas de composite en la clínica dental.
Ventajas de las Carillas Dentales
- Las carillas proporcionan una capa adicional de protección para los dientes fortaleciendo aquellos que están debilitados, ayudando a evitar más daños o desgastes.
- Con el cuidado adecuado, las carillas pueden alcanzar una larga vida útil superior a los 15 años e incluso pasado este tiempo requerir únicamente de pequeños retoques.
- Son resistentes a las manchas, lo que las hace ideales para mantener una sonrisa blanca por más tiempo.
El Proceso de Colocación de Carillas
- Todo comienza con una evaluación detallada de tu salud bucodental y una charla sobre tus expectativas.
- Utilizamos software de diseño de sonrisas para mostrarte cómo se verían tus carillas dentales y la sonrisa de tus sueños.
- Preparamos tus dientes con mucho mimo y colocamos las carillas, asegurando un ajuste perfecto y una apariencia natural.
- Programamos citas de seguimiento para asegurar tu satisfacción y los cuidados óptimos de tus carillas.
Preguntas Frecuentes sobre Carillas Dentales
- ¿Cuánto duran las carillas? Con el cuidado adecuado, nuestras carillas de porcelana e-max o disilicato de litio, pueden durar más de 15 años.
- ¿Cómo se cuidan las carillas? Las carillas se cuidan igual que los dientes naturales. Se recomienda cepillarse después de cada comida o al menos 2 veces al día y usar hilo dental o irrigador bucal diariamente.
- ¿Puedo comer cualquier alimento con carillas? Sí, una vez colocadas las carillas, puedes comer cualquier alimento sin problemas.
- ¿Puedo hacerme carillas si tengo bruxismo? Sí, es posible realizar un tratamiento de carillas si sufres de bruxismo, que es el hábito involuntario de apretar o rechinar los dientes, especialmente durante el sueño. Sin embargo, es importante tener en cuenta que el bruxismo puede aumentar el riesgo de dañar las carillas debido a la presión constante sobre los dientes.
Costos de las Carillas Dentales
El costo de un tratamiento con carillas dentales puede variar dependiendo de varios factores, incluyendo: el tipo de material de las carillas a colocar (composite, porcelana, e-max o disilicato, etc), el tipo de encía del paciente, así como los posibles tratamientos restauradores adicionales si los dientes del paciente lo requieren.
Prótesis Dentales: Una Solución Integral
Además de las facetas, las prótesis dentales son una solución eficaz en los siguientes casos:
- ✔ Restauran la función masticatoria y permiten comer con normalidad.
- ✔ Mejoran la estética facial y evitan el envejecimiento prematuro.
- ✔ Aumentan la seguridad y la confianza del paciente.
- ✔ Evitan el desplazamiento de los dientes restantes y el deterioro óseo.
- ✔ Opciones personalizadas con materiales resistentes y duraderos.
Con los cuidados adecuados, las prótesis fijas pueden durar más de 10 años, mientras que las removibles requieren ajustes periódicos para garantizar su buen estado.El procedimiento es indoloro, ya que se realiza con anestesia local en caso de extracciones o colocación de implantes.
En Laborprothesis fabricamos todo tipo de prótesis dentales, hechas a partir de materiales de primera calidad y última tecnología.