La caries dental representa uno de los desafíos más significativos en la salud bucodental, afectando a personas de todas las edades y estratos sociales. En este artículo, profundizaremos en las causas, síntomas y métodos de prevención relacionados con la falta de flúor en los dientes, así como la fluorosis dental y la hipoplasia dental.

¿Qué es la Hipoplasia Dental?
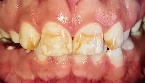
¿Has observado que tu hijo tiene unas manchas en los dientes? En primer lugar, debes saber que hay diferentes trastornos que pueden causar marcas u oscurecimiento de algunas zonas de los dientes. En algunos casos no se trata de ninguno de estos factores, sino de una afección conocida como hipoplasia dental o hipoplasia del esmalte. Esta dolencia consiste en un subdesarrollo del esmalte que provoca la aparición de manchas en los dientes.
Podemos decir que el esmalte no se desarrolla lo suficiente. Si la afección es leve, las marcas apenas se notan. En cambio, si está más avanzada, las manchas serán muy evidentes y pueden dar lugar a otros problemas dentales más graves: deterioro del diente, caries, sensibilidad dental, gingivitis, etc.
¿Cómo puedes saber que tu hijo tiene hipoplasia dental?
Aunque el odontólogo es quien evalúa y diagnostica, los padres son los supervisores diarios de la salud de sus hijos. Ante cualquier anomalía, son los primeros en buscar información y, si es necesario, acudir al médico. En este caso, debes saber que el síntoma principal de la hipoplasia dental son unas manchas blanquecinas, amarillas o marrones que aparecen en el esmalte. A menudo, están acompañadas de pequeñas fisuras o surcos.
La hipoplasia dental se podría confundir con la fluorosis dental. Esta afección también provoca manchas dentales, pero su causa es muy diferente, ya que se debe a un consumo excesivo de fluoruro durante la etapa de formación de los dientes, hasta los ocho años.
¿Cómo puedes saber con seguridad si se trata de hipoplasia o fluorosis? Acude al odontólogo para que pueda evaluar a tu hijo, encontrar la causa y proponerte el tratamiento más adecuado. Tú has cumplido, sin duda, al detectar el problema.
La hipoplasia dental: ¿Es una afección leve o grave?
Ahora que ya sabes lo que es, te estarás preguntando si debes preocuparte. Como en tantos otros problemas de salud, la hipoplasia dental puede presentar diferentes grados de gravedad. En primer lugar, esta enfermedad puede afectar tanto a los dientes de leche como a los definitivos. En los casos leves, como te hemos comentado, suele manifestarse en forma de manchas o pequeños defectos en el esmalte.
No obstante, en casos más graves puede afectar al tamaño y la forma de las piezas dentales. En algunos casos incluso provoca lo que se conoce como agenesia dental; es decir, la ausencia de dientes. Lo más importante en todos los casos es tratar esta afección a tiempo y ponerla en manos de un profesional. El motivo es que, aunque al principio parece solo un problema estético, a la larga puede acarrear otros trastornos dentales.
Lo más común es considerarla una enfermedad que se da solo en la infancia porque se suele detectar durante la niñez en la mayoría de los casos, pero también se puede diagnosticar en la edad adulta.
Muelas débiles o Hipomineralización "HMI"
Hipoplasia dental: Causas
¿Y cuál es el motivo de que el esmalte no se desarrolle de manera correcta? No siempre es fácil determinar el origen de la afección, ya que el problema sucede durante los primeros años de vida del bebé y se manifiesta después.
A continuación te explicamos las posibles causas de la hipoplasia dental en niños. Sin embargo, cuando se da en adultos, hay otros factores que pueden ocasionar su aparición:
- Un cepillado demasiado abrasivo o el uso de un cepillo de cerdas muy duras. Esto causa un daño progresivo en el esmalte, así como la aparición de manchas.
- Otra de las causas del daño en el esmalte podría ser la caries o el bruxismo. Este segundo es el que conocemos como el famoso rechinar de dientes que muchas personas padecen de manera inconsciente, en general de noche y por estrés, aunque también se puede dar durante el día.
- Por último, cuando la persona sufre vómitos con frecuencia, el exceso de ácidos también va deteriorando el esmalte. Esto sucedería en enfermedades como la bulimia, el trastorno de reflujo gastroesofágico o durante el embarazo.
1. Problemas en el desarrollo durante el embarazo o parto prematuro
Los niños que nacen antes de la semana 37 de gestación o con bajo peso al nacer son más proclives a tener hipoplasia o defectos en el esmalte dental. También se ha relacionado una mayor incidencia cuando el parto es por cesárea o cuando es un parto múltiple.
Por otro lado, algunas enfermedades o deficiencias de la madre gestante también pueden afectar al desarrollo dental. Por ejemplo, cuando sufre fiebre alta o como efecto secundario de algunos medicamentos. También se ha relacionado esta enfermedad con una falta de vitamina D durante el embarazo. De hecho, este déficit también se vincula con un mayor riesgo de padecer caries.
¿Y a qué se puede deber una falta de vitamina D durante el embarazo? Puede ser por una alimentación incorrecta o pobre en nutrientes o bien por una exposición insuficiente a la luz solar.
2. Infecciones
La varicela, el sarampión o las fiebres por escarlatina son algunas de las enfermedades infecciosas que pueden causar hipoplasia dental. También puede ser que el niño padezca una infección localizada en la boca. En este caso podría detectarse la hipoplasia justo en la pieza dental afectada.
3. Nutrición deficiente
Sabemos que una alimentación pobre en nutrientes afecta al desarrollo de los niños. En el caso de la hipoplasia dental, estos son los nutrientes cuyo déficit está relacionado con problemas y alteraciones en el esmalte:
- Vitamina A: Es un nutriente fundamental para la salud bucodental tanto para los minerales que conforman el esmalte dental como para unas encías sanas. También ayuda a prevenir la boca seca y mejora la cicatrización de las heridas en la boca.
- Vitamina C: Esta vitamina antioxidante es muy beneficiosa para los dientes y las encías, y se necesita para prevenir enfermedades periodontales o que los dientes se aflojen. Su déficit se relaciona con el sangrado de encías y el debilitamiento del esmalte.
- Vitamina D: La vitamina D tiene dos funciones muy importantes relacionadas con el esmalte dental. Por un lado, aumenta la densidad mineral. Por otro lado, es fundamental para que el calcio llegue a los huesos que sujetan los dientes.
- Calcio: El calcio, combinado con la vitamina D para que se pueda absorber, es imprescindible durante el desarrollo dental. La falta de este mineral hace que el esmalte se vuelva fino y débil, o bien que se vuelva de un aspecto opaco, blanquecino o decolorado en algunas partes. Además, también puede dar pie a sufrir una mayor sensibilidad a algunos alimentos.
4. Fluorosis dental
Ya hemos mencionado la fluorosis, una afección que se puede confundir con la hipoplasia dental porque tiene síntomas parecidos. En ambos casos, el esmalte no se desarrolla bien y el tratamiento es el mismo.
De todos modos, es importante conocer este trastorno por las consecuencias que puede tener una sobreexposición al fluoruro. El flúor ha demostrado ser un mineral muy beneficioso para los dientes, pero, como casi todo en exceso, sobrepasar los límites resulta perjudicial a edades tempranas.
¿Cuáles son las fuentes de flúor a las que se expone un niño? En primer lugar, dentífricos o enjuagues que no son aptos para su edad o que el niño traga en vez de escupir. Por ello, la ayuda y la supervisión de los padres es fundamental durante el cepillado hasta que aprenden a hacerlo solos.
Otras fuentes de flúor son el agua potable, algunos suplementos e incluso determinados alimentos. Insistimos en que el problema no es el flúor, sino un consumo excesivo durante la infancia.
5. Medicamentos
Los efectos secundarios de algunos medicamentos incluyen la posibilidad de padecer daños en el esmalte dental. Estos son los más destacados:
- Tetraciclina: Hoy ya no se receta este antibiótico a niños menores de ocho años.
- Clorhexidina: Antimicrobiano con efectos dañinos si se usa a largo plazo.
- Antidepresivos, diuréticos y antihistamínicos: Todos los medicamentos que inhiben la saliva también repercuten de manera negativa en la boca. La saliva no solo protege el esmalte, sino que también participa en su remineralización y facilita su reparación.
- Aspirina: Por su elevada acidez es muy importante tomarla de la manera adecuada y evitando el contacto con los dientes.
- Quimioterapia: Tanto la quimioterapia como la radioterapia causan defectos en cualquier parte del diente (esmalte, dentina, raíz, etc.).
6. Traumatismos
Por último, no podemos descartar que el niño haya recibido algún golpe en la boca. Un traumatismo puede llegar a afectar a la raíz del diente de leche y, por lo tanto, alterar su desarrollo.
Hipoplasia dental: Qué puede pasar si no se trata
¿Por qué conviene diagnosticar y tratar la hipoplasia dental lo antes posible? Porque estas manchas y rugosidades que pueden parecer un problema estético, en realidad, están haciendo que el diente sea más vulnerable a otras afecciones.
¿Sabías que el esmalte es más duro que los huesos? Por lo tanto, podemos decir que es muy resistente, pero también que necesita cuidados, sobre todo, si no se ha desarrollado correctamente.
Caries, gingivitis, periodontitis o incluso pérdida de dientes y problemas de masticación. Son complicaciones que debes conocer y que tu odontólogo te ayudará a prevenir.
Caries
Cada rugosidad, cada fisura, cada porosidad en el esmalte es un lugar donde se puede acumular las bacterias con más facilidad. De este modo, una hipoplasia sin tratar es un ambiente adecuado para más caries, de mayor tamaño y también más profundas.
Sin embargo, si ya han aparecido las caries, también es importante eliminarlas lo antes posible. El odontólogo rellenará el hueco con empaste y lo pulirá para que la superficie dental quede suave y brillante.
Enfermedades de las encías
¿Por qué unas manchas en los dientes pueden aumentar el riesgo de padecer enfermedades en las encías? La respuesta es clara: la falta de esmalte hace que los dientes queden más expuestos.
De este modo, las bacterias también penetran con más facilidad en las encías. Esto puede provocar inflamación e infección, y puede dar lugar a dos enfermedades frecuentes:
- Gingivitis: Se caracteriza por una irritación, hinchazón y enrojecimiento de la parte de la encía que rodea justo la base de los dientes. A menudo puede ir acompañada de sangrado. Se puede curar con una buena higiene bucodental y la supervisión del odontólogo, quien también puede realizar limpiezas dentales en profundidad de manera periódica.
- Periodontitis: Es un estado más avanzado y grave de la gingivitis. Hay una infección importante de las encías que daña los tejidos y puede incluso destruir el hueso. Por último, puede causar el aflojamiento y la pérdida de los dientes.
Pérdida de piezas dentales
La debilidad del esmalte y las enfermedades de las encías son una mala combinación. Estos dos factores, a la larga, podrían llevar a la pérdida prematura de dientes.
Maloclusión
En los estados leves de hipoplasia hablamos de manchas. Sin embargo, en las fases más graves hemos comentado que aparecen irregularidades y anomalías en los dientes que pueden ser muy significativas.
La maloclusión se da por estos problemas de alineación de los dientes. Cuando es así, el proceso de masticar no se puede hacer correctamente, a veces incluso el habla se ve afectada.
Tratamiento hipoplasia en niños
¿Se puede recuperar ese esmalte que no se ha formado correctamente? ¿Se pueden eliminar o disimular las manchas? ¿Podemos devolverle a tu hijo una sonrisa que no lo acompleje? ¿Hay algún tratamiento para la hipoplasia en niños?
En primer lugar, te aclaramos que el esmalte no se regenera por sí solo. Si la hipoplasia se ha detectado en los dientes de leche, el odontopediatra será el encargado de recomendar pautas para prevenir los daños en el esmalte de los dientes definitivos.
A continuación destacamos cuáles son los tratamientos disponibles y hacemos hincapié en los más adecuados para los niños. Diferentes opciones con un mismo objetivo: recuperar una sonrisa uniforme y natural.
Blanqueamiento dental
¿Sabías que el blanqueamiento dental ayuda a controlar el color del esmalte sin afectar a los dientes? Es un procedimiento sencillo y efectivo que muchas personas conocen porque ya se han realizado alguna vez.
Es ideal para eliminar las manchas blancas superficiales causadas por la hipoplasia dental. Con varias sesiones se puede recuperar un aspecto uniforme en los dientes.
Recontorneado de dientes
El recontorneado de dientes es una excelente opción para la hipoplasia dental en niños que tienen los dientes definitivos con los bordes irregulares. Se utiliza un material de relleno que tiene el mismo color que los dientes sanos y se consigue un efecto muy natural.
El procedimiento se realiza con composite dental. Esta resina compuesta tiene las propiedades estéticas y mecánicas más adecuadas para conseguir el mejor resultado.
El odontólogo podría recomendar este tratamiento para casos leves, cuando los bordes son un poco desiguales y las manchas son discretas. De este modo se consigue corregir y proteger la superficie del diente con una técnica que no requiere anestesia ni daña la pieza dental.
Microabrasión dental
¿Las manchas son oscuras o muy evidentes? No te preocupes, porque cuando la hipoplasia es más grave, este procedimiento es el más adecuado.
La microabrasión es un pulido de la capa de esmalte que se rellena posteriormente con composite. Se lima la superficie con el fin de eliminar la mancha y después se trabaja con composite para que el diente quede homogéneo.
Carillas dentales
¿Has oído hablar de las carillas dentales? Son otro tratamiento disponible para cuando las irregularidades en el esmalte son considerables.
Las carillas son unas láminas tan finas que se adhieren a la parte frontal del diente. Cubren la superficie visible, disimulando cualquier imperfección de forma muy natural.
Implantes dentales
La hipoplasia dental puede llegar a afectar al tamaño y a la forma de los dientes. En los casos más graves incluso puede provocar la ausencia de una o varias piezas dentales. En estos casos, la mejor opción para recuperar la funcionalidad de la boca y la estética de la sonrisa es colocar implantes dentales.
Fluorosis Dental
La fluorosis dental se produce cuando se consume demasiado flúor cuando los dientes aún se están formando debajo de las encías. Esto da como resultado manchas blancas en su superficie. Tiende a afectar sólo a los niños menores de 6-8 años que todavía tienen dientes permanentes pendientes de erupcionar.
El exceso de ingesta de flúor también puede producir la denominada fluorosis esquelética, la cual es similar a la fluorosis dental, pero involucra a los huesos en lugar de a los dientes. Los primeros síntomas incluyen dolor y rigidez en las articulaciones.
La fluorosis es una anomalía en la formación del esmalte, causada por una excesiva exposición al flúor en la etapa de formación de los dientes. En concentraciones normales, el flúor es muy bueno para la salud bucodental: aumenta la mineralización del esmalte y protege contra la caries. La fluorosis puede reconocerse por los cambios de color que aparecen en los dientes del paciente.
Generalmente, la fluorosis aparece por el consumo continuado de agua con un exceso de sales de flúor o fluoruros, especialmente en la infancia. La fluorosis suele aparecer el periodo de formación de la dentición definitiva, entre los nueve meses y los tres años de edad.
Causas de la fluorosis dental:
- Tipo de agua: en algunas zonas el agua potable contiene una cantidad de fluoruro superior a 1,5 mg/l, cantidad que recomienda la Organización Mundial de la Salud (OMS). No obstante, el consumo de agua del grifo en España es segura, por lo que no es una causa habitual en nuestro medio.
- Productos de higiene bucodental: el uso de pastas de dientes o colutorios que contienen una concentración o cantidad de flúor superior a la recomendada puede provocar fluorosis dental.
Tipos de fluorosis dental:
- Fluorosis dental moderada: se caracteriza por la presencia de manchas de tonalidades blancas en el esmalte de la pieza.
- Fluorosis dental severa: origina manchas que ocupan la mayor parte de la pieza y puede provocar rugosidades en el esmalte o modificaciones en la forma del diente.
Signos de Fluorosis Dental:
- Cambios de color: uno de los principales signos de fluorosis es la aparición de manchas blancas u opacas en los dientes.
- Grietas y estrías: al debilitarse el esmalte dental, comienzan a aparecer pequeñas grietas y estrías, normalmente de color blanco.
Tratamiento de la fluorosis dental:
- En los casos de fluorosis leve se suelen utilizar pastas de dientes y geles remineralizantes para saturar el esmalte con calcio y favorecer, así, su restauración.
- En los casos moderados, cuando aparecen ciertas manchas, se opta por pastas microabrasivas que remueven la capa del esmalte que ha sido afectada.
Flúor: Beneficios y Riesgos
El flúor es un mineral que se encuentra en los huesos y los dientes. En muchos otros países, se agrega en pequeñas cantidades a los suministros públicos de agua. Antes de que los dientes atraviesen las encías, el flúor que se ingiere de los alimentos, bebidas y suplementos dietéticos fortalece el esmalte dental, lo que facilita la resistencia a la caries. Después de la erupción de los dientes, el flúor ayuda a reconstruir (remineralizar) el esmalte dental debilitado y revierte los primeros signos de caries.
Cuando nos cepillamos los dientes con pasta dental con flúor o utilizamos otros productos dentales con flúor, el flúor se aplica a la superficie de los dientes. Previene el crecimiento de bacterias orales dañinas, bacterias de la boca que descomponen el azúcar y los carbohidratos, produciendo ácidos que se comen los minerales del esmalte dental. Esta pérdida de minerales se llama desmineralización.

Beneficios del Flúor:
- Ayuda a prevenir la desmineralización del esmalte dental.
- Promueve la remineralización del esmalte dental.
- Inhibe las enzimas de las bacterias que metabolizan los azúcares.
- Puede aumentar la densidad mineral ósea.
Riesgos del Flúor:
- Fluorosis dental: manchas y erosión del esmalte dental por consumo excesivo durante el desarrollo dental.
- Posible relación con la calcificación de la glándula pineal (estudios preliminares).
- Toxicidad en cantidades excesivas, con síntomas como dolor abdominal, diarrea y letargo.
Fuentes de Flúor
Es fundamental un manejo cuidadoso del consumo de flúor, equilibrando las fuentes dietéticas y los productos dentales para obtener los beneficios de la prevención de la caries sin incurrir en el riesgo de fluorosis.
Fuentes Comunes de Flúor:
- Té negro y verde: 0.3 a 0.5 mg.
- Pescados consumidos con espinas (sardinas): hasta 0.2 mg.
- Pastas dentífricas para adultos: 1000 y 1500 ppm (1 a 1.5 mg. de flúor por gramo de pasta).
- Enjuagues bucales: alrededor de 250 ppm.
Consumo Diario Recomendado de Flúor
El consumo diario recomendado varía según la edad, el sexo y las condiciones de salud. Es fundamental diferenciar entre la cantidad de flúor que es necesaria para obtener beneficios preventivos contra la caries dental, la cantidad recomendada para una salud óptima y la cantidad que podría ser considerada tóxica.
Ingestas Dietéticas de Referencia:
- Bebés (0 a 6 meses): 0.01 mg/día.
- Niños (1 a 3 años): 0.7 mg/día.
- Niños mayores y adolescentes (9 a 13 años): 2.0 mg/día.
- Adultos:
- Hombres: 4.0 mg/día.
- Mujeres: 3.0 mg/día.
Tabla Resumen de Ingesta de Flúor:
| Grupo de Edad | Ingesta Diaria Recomendada (mg/día) |
|---|---|
| Bebés (0-6 meses) | 0.01 |
| Niños (1-3 años) | 0.7 |
| Niños mayores y adolescentes (9-13 años) | 2.0 |
| Adultos (Hombres) | 4.0 |
| Adultos (Mujeres) | 3.0 |
Mitos y Realidades sobre el Flúor
No existe evidencia científica que respalde que el flúor a las dosis utilizadas en la fluoración del agua o en productos dentales cause cáncer o cualquier otra enfermedad grave. Otro mito común es que el flúor es un “veneno” y que su adición al agua potable es perjudicial para la salud general. Este mito se basa en estudios mal interpretados y en la toxicidad del flúor a niveles mucho más altos de lo que se utiliza en la salud bucodental. Como cualquier otro químico, todo se trata de usar las dosis correctas.
Fluoración del Agua:
La fluoración del agua de consumo público es una de las medidas de salud pública más eficaces y económicas para prevenir la caries dental. De hecho es considerada una de las diez mayores conquistas en salud pública del siglo XX. La Organización Mundial de la Salud, junto con numerosas organizaciones de salud dental, respaldan la fluorización del agua como un método seguro y efectivo para prevenir la caries dental en comunidades.
En los Estados Unidos, la fluoración del agua comenzó en 1945 en Grand Rapids, Michigan. Los resultados mostraron una disminución del 60 % en la caries dental en niños escolares, lo que llevó a la adopción gradual de esta práctica en muchas otras comunidades. Los estudios han mostrado que los niños en áreas fluoradas de Reino Unido tienen entre un 15 % y un 40 % menos caries que aquellos en áreas no fluoradas.
Tratamientos Profesionales con Flúor
Los fluoruros para aplicación profesional se pueden encontrar en forma de gel, barniz, espuma o enjuague y son aplicados por el dentista en la consulta. Una de las preguntas más comunes es si el flúor es perjudicial para los niños. Sin embargo, el flúor actúa como protector frente a la caries y es precisamente en la etapa infantil cuando sus efectos son más beneficiosos. En función del riesgo o la propensión a la caries que presente el niño o niña a tratar, el flúor se puede aplicar directamente en la clínica a partir del primero o segundo año de edad, repitiendo cada cierto tiempo, según determine el dentista que es necesario.
En resumen, el flúor sigue siendo una herramienta esencial en la prevención de la caries dental y es respaldado por la evidencia científica como un componente seguro y efectivo en la salud bucodental. A pesar de las controversias y mitos, los beneficios de su uso adecuado son bien reconocidos en la comunidad médica y dental. Es crucial seguir las recomendaciones de profesionales de la salud para maximizar sus beneficios y minimizar riesgos.