El fibroma oral es una entidad clínica que puede surgir en la cavidad bucal, presentándose como una lesión que, aunque generalmente benigna, requiere atención y evaluación por parte de profesionales de la salud dental. Colegiado nº 28007122, Directora Médica en Clínica Dental Adeslas desde 2012, practica la Odontología desde 2003.
¿Has notado en tu boca la presencia de algún bulto o protuberancia en los tejidos blandos? Puede tratarse de un tumor benigno que aparece por el mordisqueo constante, succión o por el uso de prótesis. En Clínica Dental Urbina explicamos qué es y cómo tratar un fibroma oral, así como las medidas que puedes tomar para prevenir que aparezcan.

¿Qué es un Fibroma Oral?
El fibroma es el tumor más común de los tejidos orales y se clasifica como una hiperplasia reactiva generalmente causada por irritación local crónica. El fibroma en la mucosa oral es una lesión que tiene origen hiperplásico. Aparece en los tejidos blandos como reacción a un estímulo constante sobre la zona. Por ejemplo, cuando la persona muerde con frecuencia sus labios o el carrillo.
Ese estímulo persistente provoca irritación, lo que da origen al fibroma, que tiene características similares a las cicatrices. Como esta, posee fibras de colágeno tipo I y III, por lo que se le conoce como cicatriz hiperplásica. También recibe otros nombres como fibroma traumático -uno de los más comunes-, hiperplasia fibrosa local, pólipo oral o nódulo fibroso.
El fibroma bucal, también conocido como fibroma traumático o fibroma irritativo, es una lesión benigna de tejido conectivo caracterizada por una proliferación focal de fibroblastos y colágeno. Se presenta como una masa nodular bien delimitada en la mucosa oral y, habitualmente, aparece como respuesta adaptativa del tejido blando de la cavidad bucal frente a un estímulo irritativo crónico. A pesar de su denominación, el fibroma bucal rara vez corresponde a un tumor fibroso primario.
En la mayoría de los casos, se origina como consecuencia de una respuesta hiperplásica del tejido conjuntivo frente a irritaciones físicas, químicas o mecánicas de carácter repetitivo. Llamamos fibroma a un bulto, generalmente redondo, que se encuentra sobre la superficie gingival y que aparece en alguna zona blanda que está bajo irritación constante.
Los fibromas traumáticos son la patología más común en los tejidos de la cavidad oral y su aparición está relacionada con estímulos crónicos. Estos tumores suelen tener menos de dos centímetros, son benignos y aparecen en cualquier parte de los tejidos blandos de la boca. Al no causar molestias y, en ocasiones, ser tan pequeños, es probable que el paciente no note su presencia. Sin embargo, si el estímulo que lo provoca se extiende en el tiempo puede crecer.
Mediante las visitas al odontólogo en Salamanca se detecta su presencia para tratarlo antes de que se vuelva más incómodo. Un fibroma encía es un crecimiento benigno de tejido fibroso.

Características del Fibroma Oral
Este tipo de lesiones se observa con mayor frecuencia en adultos mayores, pero puede ocurrir a cualquier edad. A menudo, los pacientes son conscientes de que han estado traumatizando una zona varias veces. Incluso pueden admitir una masticación constante o crónica del crecimiento fibroso y llamar la atención del dentista.
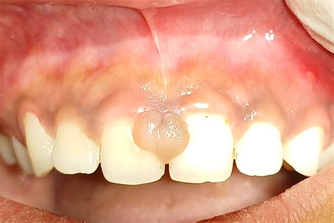
El fibroma bucal se manifiesta clínicamente como una lesión nodular de tamaño variable que puede oscilar entre los 5 mm y los 2 cm de diámetro. El fibroma oral se presenta como una pápula suave y firme en la boca. Suele ser del mismo color que el resto del revestimiento de la boca, pero a veces es más pálido o, si ha sangrado, puede tener un color oscuro. Su superficie externa puede ulcerarse debido a un traumatismo o volverse áspera y escamosa. Por lo general, tiene forma de cúpula, pero puede tener un tallo corto como un pólipo (pediculado).
La ubicación más común de un fibroma oral es en el interior de la mejilla, donde se unen los dientes superiores e inferiores. Aparte del tacto y la apariencia, los fibromas orales no causan ningún síntoma.
Las características de la hiperplasia fibrosa focal son las siguientes:
- Aparece una masa o tumor con base sésil, es decir, que no tiene tallo y está unido a la superficie. También puede ser pediculada, con tallo.
- Tiene un aspecto carnoso, con forma redonda u ovalada. Si crece debajo de una prótesis la superficie será plana.
- La masa suele ser blanda o dura y estar cubierta de un epitelio escamoso estratificado.
- Tiene un color rosa, similar al del resto del tejido oral, aunque debido a la falta de vasos sanguíneos puede ser más claro.
- Su crecimiento es lento y el tamaño suele ser entre 1 y 1,5 centímetros; sin embargo, puede crecer más de eso y en este caso hablamos de fibromas gigantes.
- Los tumores son asintomáticos, aunque pueden generar molestias por su ubicación y tamaño. Además, debido al roce constante pueden ulcerarse.
- Por otra parte, son benignos y no evolucionan a un fibroma bucal maligno.
El fibroma osificante periférico suele verse como un crecimiento del tejido blando localizado en la papila interdental. El fibroma se manifiesta como una elevación de consistencia dura en los tejidos blandos orales, normalmente no cursan con dolor y suelen ser simplemente incómodos.
Al principio son pequeños, pero su tamaño aumenta si la irritación persiste.
Diferencia entre el Fibroma Oral y Otras Lesiones
El fibroma traumático se llega a confundir con otras lesiones que son más delicadas. Tales como neurofibroma, lipomas, fibromatosis, hiperplasia fibrosa inflamatoria, tumores benignos y malignos en las glándulas salivales, entre otros. De allí la importancia de evaluarlo y hacer un diagnóstico preciso. De acuerdo al sitio y las características donde aparezca la lesión se determinará si se trata de un fibroma o algún otro problema. El dentista se encargará de hacer el diagnóstico diferencial.
Si la lesión aparece en la lengua, puede ser que se trate de un neurofibroma o también un neurilemoma. En este último caso, la lesión puede provocar dolor. Hay que descartar también que se trate de tumores, los cuales pueden aparecer en el paladar. En la encía suele aparecer granulomas piogénicos y en la mejilla los lipomas.
Otra señal de que puede tratarse o no de un fibroma es la cantidad de lesiones. Si hay más de una lesión en la boca, es probable que se trate de algo distinto a un fibroma. El fibroma osificante muchas veces se diagnostica clínicamente como granuloma piogénico.

Causas del Fibroma Oral
El fibroma oral se origina por un trauma localizado. Las causas más comunes son por morderse los labios o las mejillas, la succión de carrillo e irritación por prótesis y dentaduras mal ajustadas o defectuosas. La irritación provoca el sobrecrecimiento del tejido que puede ser elevado. Además, la superficie puede ser lisa o ulcerada, de acuerdo a su ubicación.
Algunos expertos señalan que personas que sufren anemia y problemas en la piel son más propensas a este tipo de tumores benignos. De igual forma, se ha encontrado mayor incidencia en mujeres. Por otra parte, también afecta la salud bucal de los pacientes con diabetes. Esto puede ser por el uso de prótesis y problemas de cicatrización de esta población.
Los fibromas de encía pueden tener diversas causas, aunque en muchos casos la causa exacta puede ser desconocida.
Diagnóstico del Fibroma Oral
El diagnóstico de fibroma oral se sospecha clínicamente cuando existen los antecedentes habituales y los hallazgos del examen introral. Se puede tomar una biopsia para excluir otras afecciones o para extirpar la lesión. La histología muestra tejido fibroso denso típico con relativamente pocas células. Un fibroma oral suele ser una lesión solitaria. Cuando hay muchas lesiones, se deben considerar diagnósticos diferenciales.
El diagnóstico del fibroma oral implica una evaluación exhaustiva por parte de un profesional, visitando tu clínica dental en Málaga. Revisar la historia clínica del paciente, recopila información sobre la historia clínica del paciente, incluyendo la duración y cambios en la lesión, así como cualquier síntoma asociado. Se realiza un examen clínico, visual y táctil de la lesión para evaluar su tamaño, textura y ubicación.
El examen histopatológico de una biopsia escisional constituye el método diagnóstico definitivo. Si has notado algún bulto en la boca es normal que el examen bucodental que realicemos sea algo más exhaustivo. El principal objetivo será el de analizar el motivo por el que se ha formado la herida y, así, poder ofrecerte un tratamiento dental a medida.
Eliminación de fibroma con láser de diodo
Tratamiento del Fibroma Oral
Si se requiriera tratamiento, la única opción es su escisión quirúrgica con márgenes estrechos. Puede volver a aparecer después de la cirugía si la fuente de irritación continúa. Por tanto, también es importante controlar el origen de la irritación. El odontólogo debe determinar si el paciente está masticando el área durante la noche, durante el día o en otros momentos específicos. Si se determina que el problema es el estrés ocasional, se pueden sugerir técnicas de reducción del estrés.
Las nuevas estrategias de afrontamiento son cruciales para cambiar un hábito negativo crónico y modificar la forma en que reaccionamos a los factores estresantes. Si el paciente fuma o bebe alcohol, debe existir una mayor preocupación relacionada con los posibles cambios futuros a que las lesiones se malignifiquen. Es importante que el odontólogo sugiera una biopsia si hay algún indicio de que el área de preocupación podría ser maligna.
Conociendo estos datos sobre el fibroma, podemos determinar que es una afección benigna que no requiere del uso de antibióticos. El tratamiento que se recomienda para curar el fibroma es su extirpación definitiva y su posterior limpieza. Pero, además, es necesario tener en cuenta que para evitar su reaparición es fundamental eliminar la causa de su origen.
Como paciente debes estar atento a la aparición de cualquier bulto en la cavidad oral. En especial si estás consciente de algún hábito que pueda provocar la aparición de un fibroma. De igual forma, no olvides visitar al dentista, ya que está capacitado para identificar lesiones durante la evaluación de rutina. El tratamiento para el fibroma traumático es quirúrgico. Es decir, solo se elimina al extirparlo mediante una cirugía. Si tiene tallo, debe extraerse desde la base de este. Se puede hacer de forma manual o con láser.
Para ello el cirujano adormece el área en la que se encuentra la lesión, luego hace un corte alrededor de la base. Por último, se sutura y, si es necesario se cierra con un colgajo. Una vez que se extraiga el tejido, este debe evaluarse para descartar que se trate de alguna otra patología.
Otra alternativa para eliminar el fibroma es mediante la criocirugía. Para usar esta técnica se utiliza nitrógeno líquido que congela el tejido y lo destruye. Este tratamiento no provoca dolor ni sangrado; sin embargo, la muestra que se obtiene no se puede evaluar luego para el diagnóstico definitivo. Una vez que se forma la lesión, esta no desaparece por sí sola y tampoco existen remedios caseros para el fibroma en la boca. Es posible que su tamaño disminuya un poco si se elimina la causa que lo provoca, pero la involución espontánea no es probable.
Después de la extracción quirúrgica del fibroma, la lesión aparecerá de nuevo si persisten las causas que lo originaron. De manera que la eliminación definitiva dependerá también de que se elimine también el problema que lo causó. El tejido se analiza luego para asegurarse de que no se trate de una lesión distinta a un fibroma. Hacer este análisis es aún más necesario si la lesión creció muy rápido. El postoperatorio es sencillo y no suele presentar ningún problema en el tejido. Es importante continuar con la higiene bucal durante todo el proceso, siguiendo las recomendaciones del odontólogo.
Los días posteriores al tratamiento de extracción del bulto en la encía, el odontólogo deberá explicarte el tratamiento que debes seguir en casa. Normalmente, después de este procedimiento, el paciente tiene que ser cuidadoso con los alimentos que consume para no irritar la zona tratada.
El tratamiento del fibroma oral puede variar según la naturaleza y tamaño de la lesión. El tratamiento de elección es siempre quirúrgico, acompañado de la eliminación de los factores causales para evitar recidivas. Consiste en la escisión completa de la lesión, habitualmente bajo anestesia local. El control postoperatorio, y el seguimiento postquirúrgico, nos permitirá evaluar la correcta cicatrización y descartar complicaciones.
Tras su escisión completa, el pronóstico del fibroma bucal es excelente. El procedimiento es sencillo, es un procedimiento quirúrgico llevado a cabo por el cirujano maxilofacial.
Tabla Resumen de Tratamientos
| Tratamiento | Descripción | Ventajas | Desventajas |
|---|---|---|---|
| Escisión Quirúrgica | Extirpación del fibroma con márgenes estrechos. | Eliminación completa de la lesión, permite análisis histopatológico. | Puede recurrir si la irritación persiste, requiere sutura. |
| Criocirugía | Congelación del tejido con nitrógeno líquido. | No causa dolor ni sangrado. | No permite análisis histopatológico. |
Prevención del Fibroma Bucal
Ya sabemos cómo curar el fibroma bucal, su eliminación debe hacerse a través de una escisión quirúrgica. Pero también es importante saber cómo prevenir que aparezca. En principio, hay que entender que la causa son los traumatismos crónicos y la irritación constante. De manera que al eliminar el origen, evitaremos que vuelvan a aparecer. Por este motivo también es importante hacerle seguimiento al caso.
Puede ser que un paciente muerda sus labios por estrés, en ese caso, hay que buscar la manera de reducir este problema mediante técnicas que le ayuden a relajarse. Los odontólogos pueden recomendar el uso de protectores dentales durante la noche para evitar que el paciente muerda sus labios y mejillas mientras duerme.
Reducir los traumatismos es la manera más adecuada de prevenir. Además, es un complemento necesario para la cirugía de extirpación; de lo contrario, el fibroma oral aparecerá de nuevo. De cualquier manera, si el problema persiste y la lesión vuelva a crecer, es necesario hacer una biopsia para descartar otros problemas. Por otra parte, si el paciente ya tiene un fibroma traumático debe tener cuidado de no moderlo y tampoco cepillarlo durante su rutina de higiene. Esto puede hacer que la irritación aumente y, en algunos casos, hasta provocar sangrado. Se puede saber que ha habido sangrado si el fibroma presenta un color oscuro.
La eliminación quirúrgica, acompañada del manejo de los factores causales, asegura una resolución definitiva y previene recidivas.
La presencia de un bulto en la encía siempre es motivo de visita al odontólogo. nuestro objetivo, tras una revisión bucodental completa, es el de averiguar cuál es la causa que ha permitido que se forme esa lesión en la mucosa oral.
Si te sale un bulto en la encía, lo primero que debemos hacer es analizar qué tipo de lesión es. Lo normal es que se trate o bien de un fibroma o bien de una fístula. En función del tipo de herida, el abordaje para tratarlo será muy diferente.
Cuando ya hemos conseguido devolver la salud a la boca, tenemos que analizar bien el motivo por el que ha aparecido el fibroma. El objetivo de esto es evitar que vuelva a formarse en el futuro. Por ejemplo, si el bulto en la encía se produce por una dentadura postiza mal ajustada, será imprescindible reajustar bien la prótesis dental.
Únete a una comunidad dedicada a mejorar tu bienestar bucodental. Porque una boca sana es el inicio de un cuerpo saludable.
¿Cuánto Dura un Fibroma?
El fibroma traumático o por irritación puede tardar algunas semanas en formarse. Si la causa que lo provoca es persistente seguirá creciendo hasta alcanzar su tamaño máximo que, por lo general, no llega a alcanzar los dos centímetros de diámetro. Una vez que se forma, el mismo paciente puede percibir su presencia en la boca. Sin embargo, el fibroma no presenta síntomas. Lo que sí puede ocurrir es que puede haber un dolor intenso si la persona lo muerde.
La lesión no desaparecerá por sí sola. En cambio, para eliminarla hay que extirparla y de esto se encargará el dentista. Por ello son importantes las revisiones periódicas; así el especialista puede encontrar la lesión y diferenciarla de otros problemas similares para luego eliminarla. Asimismo, recomendará las medidas de prevención pertinentes para evitar que vuelvan a aparecer fibromas en la boca del paciente.