La salud dental es una preocupación importante, especialmente cuando se trata de condiciones como la fluorosis dental. Aunque el flúor es esencial para fortalecer el esmalte y prevenir las caries, su consumo excesivo puede tener efectos negativos. En esta entrada del blog explicaremos qué es la fluorosis dental y cómo puede tratarse.

¿Qué es la Fluorosis Dental?
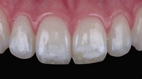
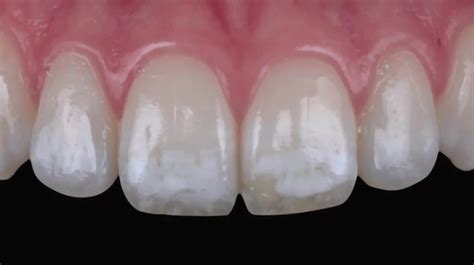
La fluorosis dental es una alteración del esmalte provocada por una exposición excesiva al flúor durante la infancia, que puede generar manchas blancas, amarillentas o marrones, y en casos severos, defectos estructurales en los dientes. La fluorosis dental es una alteración en el esmalte de los dientes que da lugar a manchas y pequeños puntos de color blanco. La fluorosis dental es una afección cosmética que afecta los dientes.
Como hemos mencionado antes, la fluorosis es una condición que surge debido a la exposición excesiva del flúor. Afecta en la formación de los dientes. Esta condición aparece en nuestro periodo de formación dental, es decir, entre los nueve meses y tres años de edad.
Causas de la Fluorosis Dental
La fluorosis dental, como ya hemos explicado anteriormente, está originada por una alta exposición al flúor a edades muy tempranas, por encima de los niveles recomendados. Varios factores han sido identificados como responsables del desarrollo de esta condición bucodental.
Las causas de la fluorosis dental están relacionadas con una exposición excesiva al flúor durante la infancia, especialmente en la etapa de formación de los dientes (hasta los 8 años). En primer lugar, tenemos que los niveles excesivos de flúor en el agua potable son una de las causas más comunes de fluorosis dental.
El agua potable es una de las principales fuentes de flúor. El fluoruro aparece de manera natural en el agua. Los niveles de fluoruro natural por encima del rango recomendado actualmente para el agua potable pueden aumentar el riesgo de fluorosis severa. En España, el agua contiene unos niveles seguros de flúor. Sin embargo, en otras zonas del mundo no ocurre lo mismo.
Por otro lado, la ingesta excesiva de flúor también puede producirse a través del agua del grifo. Las causas se deben de manera general por el uso continuado de tomar agua con exceso de sales de flúor, sobre todo desde que somos pequeños. A partir de cierta concentración (aprox.
Por último, otra de las causas más relacionadas tiene que ver con la exposición prolongada a ciertos productos como pasta de dientes o colutorios con una cantidad de flúor superior a la recomendada. Usar cantidades excesivas de pasta dental sin supervisión incrementa el riesgo de fluorosis. En niños, el lavarse los dientes con dentífricos no apropiados para su edad.
Una causa importante de fluorosis dental es el uso inapropiado de productos dentales que contienen flúor, como pasta de dientes y enjuagues bucales. En el pasado, se recetaban suplementos de flúor en forma de gotas o tabletas para prevenir caries, sin considerar la cantidad de flúor que el niño ya recibía de otras fuentes.
Es importante tener en cuenta que no todas las personas expuestas al mismo nivel de flúor desarrollan fluorosis con la misma intensidad.
Fluorosis dental
Tipos de Fluorosis Dental
La fluorosis dental se clasifica en tres tipos según el nivel de gravedad de las manchas sobre el esmalte dental. Es importante tener en cuenta que la gravedad de los síntomas depende de la cantidad total de flúor a la que hemos estado expuestos y durante cuánto tiempo.
- Leve: Se da en la mayoría de los casos y se caracteriza por la aparición de ligeras marcas, líneas blancas o estrías sobre la superficie de los dientes. La forma leve de fluorosis dental se caracteriza por la aparición de manchas blancas o pequeñas estrías en la superficie del esmalte. A veces, se crean manchas de color blanquecino, que van ligadas con pequeñas grietas y estrías (grado leve).
- Moderada: La fluorosis dental moderada se caracteriza por la presencia de manchas de tonalidades blancas en el esmalte de la pieza. Si la fluorosis es moderada y presenta manchas más extensas con pigmentación amarillenta o marrón, las opciones anteriores pueden no ser suficientes.
- Severa: En este grado, la persona que lo sufre presenta caries y machas que llenan gran parte del diente. Fluorosis severa o aguda: en esta fase el paciente presenta caries y aparecen manchas que ocupan gran parte del diente. Por último, la fluorosis dental severa origina manchas que ocupan la mayor parte de la pieza y puede provocar rugosidades en el esmalte o modificaciones en la forma del diente. En los casos más graves de fluorosis, las manchas pueden llegar a formar rugosidades en los dientes. Además, el esmalte adquiere una apariencia corroída y un tono amarillento o marrón. Cuando la fluorosis es severa, los dientes pueden presentar manchas marrones intensas y defectos estructurales en el esmalte.
Síntomas de la Fluorosis Dental
Los síntomas de la fluorosis varían desde pequeñas manchas blancas o rayas que pueden pasar desapercibidas hasta manchas de color marrón oscuro y esmalte rugoso que es difícil de limpiar. Para reconocer este problema en nuestros dientes, solo basta con ver los cambios de color que se presentan. En casos más extremos, aparecen manchas marrones y agujeritos, dando apariencia de que están corroídos.
Diagnóstico de la Fluorosis Dental
El diagnóstico de la fluorosis dental se realiza a través de evaluaciones clínicas y radiológicas. La evaluación del estado dental se lleva a cabo mediante una exploración visual exhaustiva. Radiografías: Pueden ser requeridas para determinar la salud general de los dientes. El diagnóstico de la fluorosis dental varía en función de la edad del paciente. En niños, la supervisión es especialmente importante dado que los daños en el esmalte son más habituales durante el período crítico de formación dental. Para los adultos, el enfoque es diferente, ya que las estructuras dentales han madurado.
Tratamientos para la Fluorosis Dental Moderada
Afortunadamente, existen varios tratamientos efectivos para mejorar la apariencia de los dientes afectados por la fluorosis dental. El tratamiento adecuado depende del grado de severidad de la fluorosis. Los tratamientos para corregir la fluorosis dental dependerán del grado de gravedad de la afección y del estado en que se encuentren los dientes. El tratamiento adecuado irá en función de la gravedad de las manchas causadas por la fluorosis dental.

Blanqueamiento Dental
El blanqueamiento dental profesional es uno de los tratamientos más comunes para la fluorosis leve a moderada. Realizar blanqueamientos dentales es una opción muy efectiva para tratar los casos de fluorosis. Es el tratamiento más común para los casos leves de fluorosis. El blanqueamiento elimina las manchas y los puntos producidos por fluorosis dental. El blanqueamiento con peróxido de hidrogeno o peróxido de carbamida puede ayudar a igualar el color de los dientes afectados por fluorosis leve.
Sin embargo, en los casos más severos este procedimiento resulta insuficiente. No obstante, esta opción no es siempre la más apropiada y llega a resultar insuficiente. El blanqueamiento puede mejorar el color general de los dientes, pero en fluorosis moderada o severa puede hacer que las manchas sean más visibles.
Microabrasión del Esmalte
Para casos más severos, la microabrasión del esmalte puede ser una opción. Si la fluorosis es leve, lo más común es que se manifieste con manchas blancas opacas en los dientes. Este tratamiento consiste en eliminar una capa superficial muy fina del esmalte dental para reducir las manchas. Este procedimiento consiste en eliminar una pequeña capa del esmalte dental afectado para reducir las manchas y suavizar la superficie del diente.
Carillas Dentales
En los casos más graves de fluorosis, donde el esmalte está muy dañado y las manchas son prominentes, se pueden utilizar carillas o coronas dentales. En cambio, en los casos de fluorosis moderada o severa, en los que se haya deteriorado el esmalte dental, la solución pasará por restaurar las piezas con composite o cerámica. En los frentes estéticos utilizaremos carillas dentales, finas láminas que nos permiten personalizar el tamaño, color y textura de los dientes. Esta técnica permite rellenar los poros del esmalte afectado con una resina fluida de alta penetración.
Las carillas son finas capas de porcelana que se colocan sobre la superficie frontal de los dientes para mejorar su apariencia. Por lo mencionado anteriormente, en los casos de fluorosis dental moderados o graves es más común y efectivo recurrir a la colocación de carillas dentales. Las carillas pueden ser tanto de porcelana como de composite. Las carillas de composite son una opción más accesible para mejorar la apariencia dental.
Coronas Dentales
Por su parte, en los casos de fluorosis muy grave, será necesario recurrir a las coronas de porcelana o de zirconio. Las coronas -llamadas coloquialmente fundas- permiten cubrir todo el diente, no solo su cara externa. Las coronas dentales pueden ser necesarias en situaciones donde el daño al esmalte es extenso.
Si la fluorosis es moderada y presenta manchas más extensas con pigmentación amarillenta o marrón, las opciones anteriores pueden no ser suficientes.

Prevención de la Fluorosis Dental
Es posible prevenir la fluorosis dental si tomamos las precauciones necesarias durante la infancia. Para prevenir la fluorosis dental, es crucial controlar el uso de productos con flúor sobretodo en niños. La fluorosis, sin embargo, no se origina solo al beber.
- Utilizar únicamente dentífricos especialmente recomendados para niños y en la dosis recomendada. Emplear de forma exclusiva dentífricos especialmente recomendados para niños y en la dosis recomendada. De esta manera, nos aseguraremos de utilizar productos que contienen la concentración de flúor adecuada para su edad y caso en particular.
- En niños, emplear exclusivamente los dentífricos recomendados para su edad y en la dosis adecuada. De este modo, los padres controlarán la cantidad de fluoruro que entra en contacto con sus dientes.
- Evitar comer en exceso alimentos con una alta concentración de flúor como el pescado azul o las espinacas. Seguir una alimentación balanceada y no abusar de los alimentos ricos en flúor, como el salmón, el bacalao, la caballa o el hígado de cerdo.
- También es importante controlar el uso de pasta dental fluorada. Hay que colocar una cantidad de pasta de dientes del tamaño de un guisante en el cepillo de dientes del niño. También hay que enseñar al niño a escupir la pasta de dientes después de cepillarse en lugar de tragarla.
- Controlar la concentración de flúor en el agua potable es esencial para prevenir efectos adversos en el esmalte dental.
- Una buena práctica de higiene dental es vital en la infancia, no solo para prevenir la fluorosis, sino también para mantener dientes sanos.
- Elegir el dentífrico correcto es esencial.
- La buena alimentación y los buenos hábitos de higiene dental son los pilares para un desarrollo correcto de los dientes y para prevenir posibles patologías como la fluorosis.
Preguntas Frecuentes
A continuación, respondemos algunas preguntas frecuentes sobre la fluorosis dental:
¿Las carillas dentales cubren completamente el esmalte afectado por la fluorosis?
Sí, ya que cubren completamente el esmalte afectado.
¿Los tratamientos para la fluorosis dental son dolorosos?
No, la mayoría de los tratamientos son indoloros.
¿Cuánto duran los tratamientos para la fluorosis dental?
Depende del tratamiento elegido.
¿Con qué frecuencia debo visitar al dentista después del tratamiento?
Depende del tipo de tratamiento.
Mantener un equilibrio en la ingesta de flúor y estar atento a los síntomas son pasos importantes para proteger la salud a largo plazo. Es importante puntualizar que las etapas leves de fluorosis dental no son fácilmente perceptibles por el paciente, así que es fundamental que durante la etapa de desarrollo de los dientes los pacientes tengan muy en cuenta las consultas periódicas con el odontopediatra, al menos dos veces al año, para tratar estas patologías en su estado inicial y evitar así el deterioro de los dientes.
Además, las visitas regulares al dentista son esenciales para monitorear la salud dental de los niños y prevenir este problema a tiempo.