Como odontólogo con años de experiencia, he visto muchas veces la preocupación en pacientes (y padres) cuando ocurre una rotura del frenillo labial superior. Ese pequeño pliegue de tejido que une el labio superior con la encía puede desgarrarse por un golpe o accidente, provocando sangrado y susto.
En este artículo, te contaré todo lo que necesitas saber: desde las causas y síntomas, hasta los cuidados de recuperación, tiempos de cicatrización y consejos prácticos.

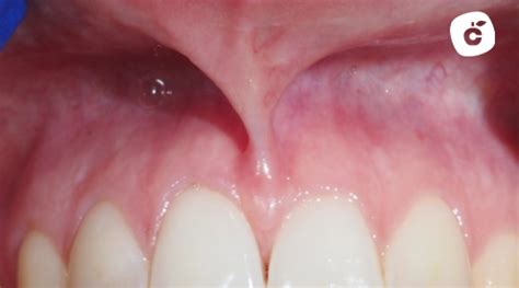
¿Qué es el Frenillo Labial Superior?
El frenillo labial superior es una pequeña banda de tejido fibroso que conecta la cara interna del labio superior con la encía, justo por encima de los dientes frontales. Aunque a simple vista parece insignificante, este frenillo ayuda a estabilizar el labio y limitar su movimiento excesivo.
En bebés y niños, un frenillo muy fibroso o corto a veces contribuye a la aparición de un pequeño espacio entre los dientes frontales (diastema) o puede dificultar un buen agarre durante la lactancia. En adultos, normalmente el frenillo pasa desapercibido.
Causas de la Rotura del Frenillo Labial Superior
Las causas más comunes de un frenillo labial superior roto son traumáticas:
- Caídas y golpes accidentales: Especialmente en niños pequeños, las caídas con la boca abierta o golpes contra objetos duros suelen causar este desgarro. Por ejemplo, un niño que se cae de bruces en el parque o un bebé que aprende a caminar y se golpea la boca puede romperse el frenillo fácilmente.
- Traumatismos deportivos: Un balonazo en la boca, un choque durante un partido o cualquier impacto en el labio superior puede ocasionar la rotura en personas de cualquier edad.
- Mordeduras o manipulación excesiva: A veces, morderse el labio superior por accidente (por ejemplo, durante una caída o al masticar) puede desgarrar el frenillo.
- Piercings o cirugías previas: Un piercing mal colocado en el labio o encía, o una cirugía bucal cercana, podrían debilitar el frenillo y hacerlo más propenso a romperse.
En cualquier caso, la rotura suele ocurrir de forma abrupta.
Síntomas de un Frenillo Labial Superior Roto
- Sangrado abundante: La boca es una zona muy vascularizada, así que al romperse el frenillo suele haber un sangrado notable.
- Dolor y molestia: ¿Es doloroso romperse el frenillo? Sí, puede doler, aunque la intensidad varía. Algunas personas sienten un dolor agudo en el momento de la rotura, seguido de escozor o sensibilidad en la zona. Otras, especialmente niños pequeños, pueden simplemente llorar por la sorpresa y molestia más que por un dolor intenso.
- Inflamación local: El labio superior y la encía cercana pueden hincharse un poco después del trauma. Esa inflamación suele ser moderada y bajar en 48-72 horas.
- Herida visible: Al levantar el labio, se puede ver el frenillo desgarrado. A veces es un corte pequeño; otras veces el frenillo queda roto “por la mitad” o totalmente separado de la encía. Puede verse una pequeña herida rojiza o incluso blanquecina una vez que empieza a cicatrizar.
- Dificultad o incomodidad al mover el labio: Durante los primeros días, sonreír, morder alimentos o mover mucho el labio superior puede resultar molesto. Algunos pacientes me comentan que sienten “tirantez” al estirar el labio, debido a la herida.
En resumen, un frenillo roto duele y sangra, pero rara vez causa problemas severos más allá de la molestia inicial. A diferencia de otras lesiones bucales, no suele afectar significativamente el habla ni la capacidad de comer de forma permanente.
Frenillo Superior en Bebés ¿Operación? ¿Lactancia? 🤱🏽
¿Qué Hacer si se Rompe el Frenillo Labial Superior?
Lo primero es mantener la calma. Si es tu hijo quien se ha roto el frenillo, sé que impresiona ver tanta sangre en la boca, pero por fortuna suele parecer peor de lo que es.
- Detener el sangrado: Lava tus manos, toma una gasa limpia (o un paño limpio) y presiona suavemente pero con firmeza la zona del frenillo roto. Mantén la presión constante unos 5-10 minutos hasta que la hemorragia pare. Es importante no estar levantando el labio a cada rato para “mirar”, ya que esto puede reiniciar el sangrado.
- Limpiar la herida: Si es posible, enjuaga delicadamente la boca con agua fría o suero fisiológico. Esto ayuda a limpiar cualquier resto de sangre y suciedad. No uses alcohol ni enjuagues fuertes en una herida abierta; con agua o suero es suficiente en este momento.
- Aplicar frío: Coloca hielo envuelto en una tela limpia o una bolsa de gel frío sobre el labio superior (por fuera de la boca). Aplícalo de forma intermitente, por ejemplo 10 minutos sí y 10 minutos no, mientras vas de camino al médico o vigilas la herida en casa.
- Observar y decidir próxima acción: Tras detener el sangrado inicial, evalúa la situación. Si la herida es pequeña y el sangrado ha cesado, probablemente puedas manejarlo en casa con cuidados básicos (que explicaré más adelante). En cambio, si el sangrado no se detiene bien después de 10 minutos de presión, o notas que la herida es muy grande (por ejemplo, el frenillo se arrancó por completo dejando colgando tejido), es hora de buscar atención profesional.
Además de atender el frenillo en sí, fíjate en otros posibles daños: dientes aflojados o rotos por el golpe, cortes en labios o lengua, etc.
Cuándo Buscar Atención Profesional
Muchas veces, una rotura de frenillo labial cicatriza sola sin complicaciones. Sin embargo, es crucial saber cuándo buscar ayuda de un dentista u odontopediatra:
- Sangrado abundante o prolongado: Si pese a tus esfuerzos el sangrado continúa más de 15-20 minutos, o vuelve cada vez que quitas la gasa, no lo dudes: busca ayuda.
- Herida muy extensa o profunda: En casos donde el frenillo ha quedado muy desgarrado, con un corte grande en la encía o labio, es posible que necesite evaluación.
- Dolor intenso o signos de infección: Si pasan uno o dos días y el dolor empeora en lugar de mejorar, o notas signos de infección como hinchazón creciente, enrojecimiento extendido, pus, mal olor o fiebre, debes acudir al dentista de inmediato.
- Duda sobre daños adicionales: Como mencioné antes, el golpe que rompe un frenillo a veces puede aflojar algún diente (sobre todo los frontales superiores) o provocar fisuras en el hueso alveolar. Si sospechas que hay un diente móvil, fracturado o el niño no puede morder correctamente tras el golpe, es crucial que un odontopediatra lo examine.
- El frenillo no sana bien con el tiempo: Si tras unas semanas notas que la zona no está cicatrizando adecuadamente, o el frenillo quedó con un aspecto que te preocupa (por ejemplo, un colgajo que molesta), es buen momento para consultar.
Ante cualquier señal de alarma o si simplemente no estás seguro de que todo va bien, consulta con tu dentista de confianza.
¿Qué puede hacer el dentista u odontopediatra?
- Evaluación y limpieza: Primero examinamos la herida con calma, bajo buena luz. Limpiamos la zona con soluciones antisépticas seguras para la boca (como clorhexidina al 0,12% o povidona yodada especial para uso oral) para eliminar bacterias y restos.
- Suturas (puntos) si son necesarias: La mayoría de las veces no hace falta dar puntos de sutura en un frenillo roto, ya que es una zona pequeña que suele sanar por segunda intención (curación natural). Sin embargo, si el desgarro es grande o sangra mucho, podríamos decidir colocar uno o dos puntos reabsorbibles.
- Revisión de dientes y otras lesiones: Paralelamente, comprobaremos que no haya piezas dentales dañadas. En niños, si el golpe fue fuerte, solemos palpar y hacer radiografías si es necesario para verificar que los dientes de leche o permanentes en formación estén bien.
- Indicaciones de cuidado y medicamentos: Tras la atención, damos pautas para casa. Por ejemplo, mantener dieta blanda unos días si hay mucha molestia, extremar la higiene en la zona (cepillar con suavidad y quizás usar un enjuague de clorhexidina suave). También podemos recetar analgésicos o antiinflamatorios en la dosis adecuada si el paciente tiene dolor.
Una pregunta frecuente es si hay que “reparar” el frenillo con cirugía. La respuesta es no, en la mayoría de casos no se realiza ninguna cirugía específica. Una frenectomía (cirugía para cortar o remover el frenillo) solo se plantea en otros contextos - por ejemplo, si el frenillo intacto estaba causando problemas importantes de espacio entre dientes o movilidad y se decide intervenir, pero no se suele operar simplemente por haberse roto.
Regeneración y Recuperación del Frenillo Labial Superior
Si entendemos “regenerar” como volver a crecer exactamente igual a como era antes, la respuesta es no, el frenillo no se regenera como tal. No es como el rabo de una lagartija que vuelve a salir completo.
Lo que hará el organismo es curar la herida uniendo los bordes mediante fibras de colágeno (cicatrización). En muchos casos, especialmente en niños, tras unos días o semanas la zona sana y visualmente apenas se nota nada extraño.
Lo importante es que la encía y el labio cicatricen bien. En mi experiencia, los pacientes, pasado el susto inicial, no suelen tener consecuencias funcionales: pueden sonreír, hablar, comer y besar exactamente igual que antes.
Hay que distinguir regeneración de recuperación. El frenillo tal cual era puede que no regrese, pero la herida sí cierra y sana.
Etapas de la Cicatrización
- Primeros días (0-3 días): Tras la rotura, el cuerpo forma un coágulo para frenar la hemorragia. La zona puede doler el primer día y habrá inflamación. Es normal que al día siguiente la herida del frenillo se vea blanquecina o amarillenta - es fibrina, indicando que está cicatrizando.
- Primera semana: En 5-7 días suele formarse tejido de granulación; básicamente, la herida se “cierra” superficialmente. El dolor debe haber disminuido mucho o desaparecido. Puede que aún notes el labio tirante al estirarlo, pero cada día irá a mejor.
- 1 a 3 semanas: Dependiendo de la gravedad del desgarro, alrededor de la segunda semana la zona entra en fase de remodelación. El nuevo tejido se va fortaleciendo. En torno a 10-15 días la mayoría de frenillos rotos están ya curados por completo o al menos funcionalmente recuperados.
- Después del mes: A estas alturas, difícilmente habrá dolor o limitación. El frenillo (o su cicatriz) ya está estable.
Consejos para la Recuperación
- Sigue las recomendaciones de tu dentista.
- Mantén una buena higiene bucal (cepillado suave, sin miedo pero con cuidado cerca de la herida).
- Evita alimentos duros, muy calientes o picantes la primera semana para no irritar.
- No andar “jugando” con el frenillo ni curioseando demasiado con los dedos. Deja que la naturaleza haga su trabajo.
- Si te recetaron un enjuague o gel antiséptico, úsalo el tiempo indicado.
- Ten paciencia.
Como profesional, me da mucha tranquilidad poder decirte que el pronóstico de un frenillo labial roto suele ser excelente.
Prevención
- Protectores bucales en deporte: Si practicas deportes de contacto (fútbol, baloncesto, artes marciales, patinaje, ciclismo, etc.), utiliza un protector bucal.
- Evitar hábitos lesivos: Si tienes la costumbre de morderte el labio superior cuando estás nervioso, o notas que lo estiras mucho (algunos niños lo hacen por juego), trata de corregir ese hábito.
- Precauciones con bebés y niños: Vigila a los peques cuando empiezan a caminar o correr. Es imposible evitar todas las caídas, pero mantenerlos alejados de esquinas duras o proteger bordes de muebles puede reducir el riesgo de golpes en la boca.
- Revisiones regulares: Aprovecho para decir que llevar a tus hijos a revisiones dentales periódicas ayuda a detectar problemas como frenillos anómalos (muy cortos o fibrosos) que, llegado el caso, podrían beneficiarse de un pequeño procedimiento preventivo.
Al final, no hay que obsesionarse: el frenillo labial es una zona más de nuestro cuerpo que puede lesionarse, pero siguiendo estos consejos reducimos las probabilidades.
Dieta Durante la Recuperación
En la mayoría de los casos sí puedes comer con relativa normalidad, pero con ciertos cuidados. Los primeros días después de la rotura, te recomiendo optar por alimentos blandos y fríos. Por ejemplo, purés, yogures, helados o sopa tibia (no caliente) serán más cómodos.
Evita comidas duras o crujientes (pan tostado, patatas fritas, frutos secos) que puedan rozar la herida, así como alimentos muy picantes, ácidos o calientes que puedan irritarla.
Tras unos 3-5 días, si notas que la zona ha mejorado y no duele, puedes ir retomando tu dieta habitual. Siempre mastica con cuidado y presta atención a cómo te sientes. Si algo te molesta, déjalo para más adelante.
Tiempo de Sanación
El tiempo de sanación varía según la gravedad de la lesión, pero típicamente un frenillo labial desgarrado cura bastante rápido. Un desgarro leve en un niño pequeño puede cicatrizar en alrededor de 1 semana, mientras que una rotura más grande podría tomar 2 a 3 semanas en estar completamente recuperada.
En mi experiencia, a los 10-14 días la mayoría de pacientes ya están bien: la herida cerró y las molestias desaparecieron. Eso sí, cada organismo es distinto. Lo importante es vigilar que día a día veas mejoría (menos dolor, menor inflamación).
Tratamientos para Problemas Causados por el Frenillo Labial
Frenillo Hipertrófico y Diastema Interincisal
El frenillo labial superior hipertrófico puede provocar un espacio entre los incisivos centrales más grande de lo habitual, dando lugar a lo que conocemos con el nombre de diastema interincisal.
Además, junto con un frenillo labial superior hipertrófico, en ocasiones también podemos observar que existe una limitación del movimiento del labio superior o un labio superior corto. Los signos clínicos, junto con un diastema interincisal de 1 a 6 mm o superior, son un labio superior corto y bermellón elevado. En realidad consiste en que el frenillo superior está inflamado.
Limitación de Movimiento
A veces también ocurre una limitación del movimiento del labio superior, o problemas de autoclisis en el vestíbulo entre el labio y la encía. Es decir, los movimientos involuntarios de la lengua, los labios y los flujos de la saliva que tienen lugar normalmente después de la masticación y la deglución y que provocan el fenómeno de una higiene bucal automática, desaparecen por la falta de espacio en el vestíbulo entre el labio y la encía.
Opciones de Tratamiento: Frenotomía y Frenectomía
La frenotomía del frenillo en el labio es una simple incisión sin llegar al periostio y la frenectomía del frenillo labial es la incisión y eliminación de todo el frenillo. Todas las anomalías mencionadas tienen solución si se realiza la cirugía del frenillo labial superior.
Afortunadamente, para esta intervención existen, hoy en día, interesantes avances científicos que reducen los efectos quirúrgicos y post-operatorios a mínimos, gracias al uso de la tecnología láser.
En caso de que el frenillo labial inferior sea corto, también se produciría la limitación del movimiento del mismo, produciendo inflamación del frenillo labial inferior y generando problemas de autoclisis en el vestíbulo entre el labio inferior y la encía. La solución a todas las disfunciones mencionadas es la frenectomía labial inferior, que también puede solucionarse a través de procedimiento operatorio con tecnología láser.
¿Cuándo Operar el Frenillo del Labio?
Generalmente a partir de los 8-10 años, con la erupción de los incisivos y caninos, la presencia de un diastema y un frenillo de inserción baja en la papila palatina puede ser motivo de valoración quirúrgica, en cuyo caso se recomendaría la cirugía del frenillo labial superior. En estos casos, como hemos mencionado anteriormente, ésta podría realizarse con una técnica odontológica mínimamente invasiva, es decir, con una intervención con tecnología láser, muy conveniente en pacientes pediátricos.
Otras indicaciones son la dificultad en la higiene bucal y la afectación del periodonto, es decir, del tejido que sostiene los dientes. En ocasiones, el frenillo puede producir una recesión gingival.
La prueba clásica que se lleva a cabo para valorar este tejido es levantarlo tirando del labio hacia arriba, en cuyo caso la zona se verá con una coloración “blanquecina” por la isquemia que se produce. Este test recibe el nombre de “test de isquemia o maniobra de Graber” y suele ser la prueba de elección por los clínicos.
Aunque, sin duda, la última palabra siempre la tendrán el Odontopediatra o especialista infantil, el Pediatra y el Logopeda, valorando el caso en su globalidad.

Diagnóstico Diferencial
Además, el odontopediatra o dentista infantil, deberá realizar un diagnóstico diferencial con otras causas como:
- Dientes supernumerarios (mesiodens).
- Succión digital (produce inclinación hacia delante por lo que también podría ser la causa de un diastema).
- Quiste fisurario del conducto naso-palatino.
- Aumento del perímetro maxilar.
- Agenesias dentarias, es decir, un desorden heterogéneo determinado genéticamente que se manifiesta con la ausencia congénita de uno o más dientes.
De hecho, esta última, es una de las anomalías cráneo-faciales más comunes en el desarrollo humano y ocurre especialmente en los dientes incisivos laterales.
Cirugía Láser del Frenillo Labial
Si ninguno de estos diagnósticos diferenciales existe, entonces el odontopediatra probablemente recomendará la cirugía del frenillo labial superior, que como ya hemos mencionado, tiene un impacto quirúrgico y post-operatorio en el niño o adolescente muy inferior con el uso de la tecnología láser.
Por supuesto, en caso de que el problema exista en el frenillo labial inferior, la solución también podría ser la frenotomía labial inferior, cuya ejecución también puede llevarse a cabo con tecnología láser.
¿En qué consiste la cirugía del frenillo labial?
La cirugía del frenillo labial es un proceso operatorio que debe ser realizada por un profesional preparado. Hoy en día, existe la opción de tratar el frenillo labial mediante algún tipo de tecnología láser, como sustitución a la cirugía tradicional. Disponemos de unos periodos de recuperación más cortos y menos traumáticos para el niño o joven, al ser éste un proceso basado en la odontología mínimamente invasiva.
En Odontopediatría, la aproximación de la cirugía oral es distinta a la que se realiza por parte del resto de profesionales odontológicos, puesto que las técnicas de guía de conducta que se emplean en niños y jóvenes, permiten poder afrontar mejor estos tratamientos, tales como la cirugía del frenillo labial superior o la frenotomía labial inferior, que, a ojos de papás y pacientes son complejos y generan cierto miedo o respeto.
Diastema: Dientes Separados
Al hablar de dientes separados muchas veces pensamos en un niño sonriendo cuyos incisivos centrales no están del todo juntos. Pero, ¿por qué se producen los diastemas y cuál es el tratamiento para corregirlo?
Se trata de un problema bastante común en los niños cuando aún conservan los dientes de leche. Es más, el 97% de los niños de hasta 5 años y hasta un 50% de los que tienen entre 6 y 8 años presentan diastemas.
Causas de los Diastemas
Existen numerosas causas que provocan diastemas, tanto en los incisivos centrales superiores como en el resto de piezas dentales:
- Existencia de desproporción en el tamaño de las piezas.
- Ausencia de un diente.
- Incorrecta relación en el tamaño de las arcadas.
- Existencia de frenillo labial superior.
- Malos hábitos en la infancia.
Los diastemas no presentan un problema directo para tu salud bucodental, pero conviene estudiar cada caso. Es posible que tengas diastemas pero presentes buena oclusión.
Desde el punto de vista estético, los diastemas sí pueden ser un problema, pues suele ser causante de complejos. Respecto a la higiene bucal, es muy importante poner énfasis en estos espacios cuando nos estamos cepillando los dientes, para que no se conviertan en el refugio de restos de alimentos.
Tratamientos para Corregir Diastemas
- Carillas dentales: Ofrecen una solución eficaz y con resultados muy estéticos. Proporcionan al diente la forma, el color y el tamaño deseados, además de contribuir a que la sonrisa del paciente sea armónica y natural.
- Tratamientos de ortodoncia: Es un método efectivo para cualquiera de los problemas que forman los diastemas.
- Frenectomía: Es una cirugía mínimamente invasiva cuya misión es corregir el crecimiento anómalo del frenillo labial.
Es importante señalar que, en muchos casos, los espacios entre los dientes no se solucionan a través de un único tratamiento, sino con una combinación de dos.
Los diastemas tienen un factor genético y, en este sentido, evitarlo es una tarea muy complicada. Sin embargo, cuando la separación dental responde a un hábito durante la infancia, sí que es posible prevenirlos.
| Problema | Causa Común | Tratamiento |
|---|---|---|
| Rotura del Frenillo Labial Superior | Traumatismos, caídas, golpes | Cuidados en casa, limpieza, hielo, en casos graves suturas |
| Diastema (dientes separados) | Frenillo hipertrófico, tamaño de los dientes, malos hábitos | Carillas, ortodoncia, frenectomía |