Las fundas dentales, también conocidas como coronas dentales, son una solución común en odontología para restaurar los dientes que se han dañado o debilitado, así como para mejorar su apariencia y funcionalidad. Una funda dental es una cubierta protectora que se coloca sobre un diente natural para protegerlo.

Antes de que existieran las fundas dentales, el único camino para tratar un diente dañado o con una caries importante, era sacarlo. Las fundas tienen una función más allá de la estética, y es que la corona nos permite masticar adecuadamente. La funda se coloca sobre la raíz de un diente dañado y lo protege a la hora de masticar. Hay dientes que por su mal estado necesitan un refuerzo estructural.
😀 ¿CUÁNDO SON NECESARIAS LAS CORONAS DENTALES? 😀 ¿Cuándo se utilizan las 𝐂𝐎𝐑𝐎𝐍𝐀𝐒 𝐃𝐄𝐍𝐓𝐀𝐋𝐄𝐒?
¿Cuándo Necesitas una Funda Dental?
Hay muchas razones por las que los dentistas recomiendan una funda dental. Las fracturas dentales también pueden requerir una funda dental para restaurar la forma y la función del diente. La estética dental también se ve favorecida por la utilización de las fundas, ya que mejoran la apariencia estética de un diente. Las fundas también pueden utilizarse en combinación con puentes dentales, para proteger los dientes de soporte y proporcionar una superficie sólida para el puente. Para cubrir un diente que soporta un puente fijo, también es otro de los casos. Hay ocasiones en las que se unen varias y se usan para cubrir espacios cuando faltan uno o más dientes.

¿Cómo se Colocan las Fundas Dentales?
El proceso de colocación de una funda dental es relativamente sencillo, aunque puede requerir varias visitas a la clínica dental. También es posible que tengamos que retirarte un poco de encía quirúrgicamente para crear más espacio en la base del diente para la corona dental. La mayoría de las coronas requieren un mínimo de 2 milímetros de espesor para soportar la fuerza necesaria sin fracturarse. Esto significa que tu diente deberá ser recortado -tallado- por lo menos esta cantidad por todos lados.
El odontólogo tomará una impresión sobre lo que queda después del tallado. Cómo la fabricación de la corona definitiva tarda entre 2-3 semanas en un laboratorio especializado, tu muñón deberá protegerse de fracturas, sensibilidad y también mantener su estética -si fuera un diente bastante visible-. No te preocupes.
Cuando las coronas dentales permanentes están listas, tendrás que hacer una nueva visita al dentista para el ajuste final. Después de valorar que el ajuste de la nueva corona es correcto, tu dentista aplicará un cemento dental dentro de la corona y la presionará sobre tu muñón. También quitará cualquier exceso de cemento que se escape por la línea de unión entre el diente y tu corona. Esta cita durará entre 30 y 60 minutos. Todo dependiendo de los ajustes finales que haya que realizar.
Al principio notarás tu nuevo diente un poco extraño, ya que no será exactamente igual al original.
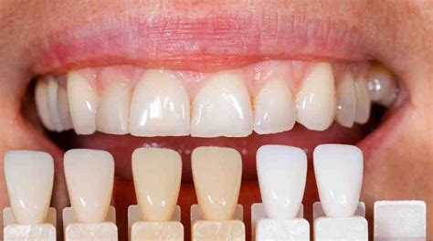
¿Qué Tipos de Materiales se Utilizan para las Fundas Dentales?
Las fundas dentales pueden estar hechas de varios materiales diferentes, dependiendo de las necesidades específicas del paciente.
- Porcelana: Las fundas dentales de porcelana (cerámica dental) son las más comunes y ofrecen una apariencia muy natural, pueden tener el color y el aspecto de los dientes naturales.
- Metal: las fundas dentales de aleaciones de metal, incluyen: oro, son muy duraderas y resistentes a la rotura. También las puedes encontrar de platino, paladio, y metales no preciosos. Sin embargo, no son estéticamente atractivas y pueden ser más propensas a la acumulación de placa. El zirconio, por otro lado, es un metal de transición.
- Acrílico o Resina: las fundas dentales de resina son una opción económica y fácil de colocar, normalmente son temporales y se pegan al diente mientras se fabrica la funda definitiva.
Cada uno de los materiales con los que se fabrican las fundas dentales tiene ventajas y desventajas. El material adecuado para ti dependerá de cuántos dientes tienes que cubrir, el resultado estético que te interesa, cuánto puedes invertir y cuánto necesitas que duren.
Las fundas dentales, si las tratas bien pueden durar muchos años, hemos visto casos donde han durado 25 años, si se cuidan adecuadamente. Además, es importante evitar morder objetos duros y utilizar protectores bucales si practicas deportes de contacto para evitar dañar las fundas dentales.
Resina Dental: Una Opción Versátil
La resina dental, también conocida como resina dental compuesta o composite, es un material polimérico que se emplea principalmente para restaurar y reparar la estructura de dientes dañados, así como para su remodelación. Son materiales moldeables que se endurecen para adaptarse a las necesidades del paciente.

Los dentistas la emplean en caso de daños generados por caries dentales, fracturas, lesiones o grietas. Pero también cuando la forma o dimensiones del diente deben modificarse para que este sea mucho más estético y funcional. Es decir, la resina compuesta se usa en tratamientos estéticos como material de relleno u obturación.
Componentes de las Resinas Dentales
Las resinas dentales constan de un componente orgánico polimérico llamado matriz orgánica, y un componente inorgánico. Este último actúa como mineral de relleno y puede ser cuarzo, zirconita o algún silicato de aluminio. En algunos casos también es necesaria la presencia de un agente de unión para que ambos componentes se acoplen de forma eficiente.
Está formada por diferentes materiales sintéticos mezclados de forma heterogénea. Tiene componentes de cohesión y de refuerzo. Los primeros se encargan de envolver los de fuerza para que mantengan su posición y rigidez, mientras que los segundos le proporcionan al compuesto la rigidez y resistencia necesaria para cumplir sus funciones.
Usos de la Resina Dental
- Restauraciones estéticas: La resina es uno de los materiales más usados para solucionar problemas estéticos en las piezas dentales. El procedimiento para usar el composite para cubrir manchas dentales es muy similar al empleado para las reconstrucciones.
- Reconstrucción de dientes dañados: La resina es el material de obturación más usado para rellenar cavidades creadas por caries. Aunque también se emplea para sellar surcos muy profundos en los molares y evitar la acumulación de bacterias en estos. Se utiliza como material de relleno o de obturación en caso de caries o después de la extracción del nervio dental por alguna infección.
- Cierre de espacios y pequeñas correcciones: La resina se emplea para disminuir el espacio entre dos piezas (diastemas). En este tratamiento el dentista emplea la resina para modificar las dimensiones de las piezas y así disminuir el espacio que exista entre ellas.
- Aplicaciones en odontología infantil: La resina de composite también se usa en la odontología infantil para restaurar la sonrisa de los niños sin que afecte la estética. Son duraderas y requieren poco trabajo de tallado del diente en comparación con otras opciones.
Tipos de Resina Dental
Existen varios tipos de resina dental. Entre los más populares se encuentran:
- De microrelleno: Se emplea para rellenar cavidades en diferentes localizaciones generadas por caries. También se usa para corregir el color o forma en áreas determinadas de la pieza dental.
- Híbrida: Posee una alta resistencia al estrés. Se emplea en su mayoría para restaurar piezas dentales posteriores y en ocasiones para reconstruir algunas piezas.
- De nanorelleno: Contiene partículas de un tamaño menor a 0.01µm, es decir, más pequeñas que las de la resina de microrelleno. Genera un muy buen acabado estético y su resistencia al desgaste es similar al de la híbrida.
- Híbrida moderna: Posee excelentes propiedades mecánicas, como un alta resistencia al desgaste. Pero son difíciles de pulir y una vez colocada el brillo se pierde con rapidez.
- De macrorelleno: También son conocidas como resinas convencionales. El material posee partículas de un tamaño entre entre 10 y 50 µm. Este es considerado un tamaño convencional. Es un elemento con baja eficiencia clínica que crea resultados estéticos pobres. En la actualidad son poco utilizados.
Ventajas y Desventajas de la Resina Dental
Los profesionales en odontología emplean resina compuesta en muchos de sus tratamientos. Esto se debe a que posee múltiples beneficios. Entre ellos destacan:
- Respeta la estética dental: El composite posee un color y textura muy similar al de las piezas dentales naturales. Esto hace que se disimule y sea casi imperceptible.
- Buena capacidad de adhesión: Debido a las características de sus componentes la resina se adhiere mejor a los dientes que otros materiales.
- No desprende componentes dañinos: Antes del desarrollo de la resina dental se empleaban materiales de obturación que contenían algunos metales como el mercurio. Estos con la acción de la saliva y la masticación se desgastaban y desprendían partículas que resultaban tóxicas para el paciente. Por el contrario la resina es biocompatible con el organismo.
- Es fácil de usar: La resina resulta un compuesto muy práctico y fácil de usar para los dentistas. Ya que no requiere el uso de herramientas complicadas para su aplicación.
- Tiene buena resistencia: La resina compuesta es un material con una gran resistencia al desgaste, las fracturas y la tensión. Esto hace que pueda cumplir su función sin problemas durante muchos años.
- Es apropiado para todo tipo de personas: La resina es un tratamiento de odontología para niños, jóvenes y adultos.
Es necesario tomar en cuenta una serie de factores como la humedad del área o de la pieza dental para que el material se adhiera correctamente. Además, el esmalte o dentina deben acondicionarse antes de la aplicación de la resina.
En muy raras ocasiones, los rellenos o reconstrucciones con resina pueden ocasionar sensibilidad, pero existe una pequeña probabilidad deque ocurra. Esta debe desaparecer a los pocos días después de la culminación del tratamiento.
También hay que considerar que el composite puede agrietarse o dañarse con el tiempo, particularmente si usas mucha fuerza para masticar algo duro o rechinas los dientes. Entonces, necesitarías otro procedimiento para acomodar la parte dañada o reemplazar la resina.
Por otro lado, el consumo de bebidas oscuras como cola, vino tinto o té, así como fumar, puede causar que los rellenos de composite cambien su coloración.
En comparación con otros métodos de restauración dental, como las amalgamas, el composite es menos duradero y más costoso. Asimismo, pueden tardar más tiempo colocándolo, ya que requiere ponerlo por capas.
Procedimiento para la Colocación de la Resina Dental
La resina se coloca por medio de un proceso de adhesión que sigue estos pasos básicos:
- Una vez que el dentista haya examinado su cavidad oral este seleccionará el tipo de resina que más le convenga. Luego escogerá el color que considere más parecido a la tonalidad de sus dientes.
- Antes de colocar la resina compuesta debe preparar el diente colocándole un líquido acondicionante. Este ayuda a que el material pueda adherirse mejor.
- El dentista procede a colocar la resina dental y empieza a moldearla. Esta debe ser de un color similar a la de la pieza. Luego distribuye el material de forma pareja. Y le de la forma deseada aplica luz ultravioleta para endurecerlo.
- Se pulen los pedazos sobrantes y se pule la superficie hasta que obtenga un brillo muy similar al de la superficie de tus dientes.
- El denstista revisará tu mordida para asegurarse que estés cómodo con la restauración.
El proceso de colocación de la resina no provoca ningún dolor. Sin embargo, en los casos en los que el tratamiento llega a la dentina, se aplica anestesia local.
Es posible que después de hacer el tratamiento haya algo de sensibilidad dental, sobre todo si se ha tratado una caries muy grande. En estos casos el dolor debe remitir en poco tiempo y, si no lo hace, consulta con tu dentista.
Cuidados de la Resina Dental
Si quieres que los rellenos y la rehabilitación bucal hechas con resina se mantengan en buen estado por mucho más tiempo sigue estos consejos:
- Evita morder cosas muy duras: Morder alimentos o elementos duros puede hacer que la resina o incluso tus propios dientes se astillen. No mastiques hielo ni abras objetos o empaques con los dientes.
- Modera el consumo de alimentos muy pigmentados: Consume bebidas y alimentos como el café, vino tinto y frutos rojos de manera moderada. Estos podrían manchar la resina haciéndola más visible y cambiando su color.
- Evita el consumo de cigarrillo: Los químicos del cigarrillo alteran la estructura de la resina dental volviéndola mucho menos resistente. Incluso puede llegar a cambiar su color a uno de tonalidades amarillentas o marrones.
- Mantén una buena higiene dental: Cepíllate por lo menos dos veces al día, usa enjuague bucal, hilo dental y visita periódicamente a tu dentista.
- Usa protectores: Si padeces de bruxismo o practicas algún deporte de impacto como boxeo. Te recomendamos usar fundas o protectores para los dientes. Así evitas que las piezas restauradas con resina se dañen, fracturen o desgasten.
- Visita a tu dentista: Debes asistir al dentista por lo menos una vez al año. De esta forma revisará en estado de tus dientes y los rellenos o reconstrucciones con resina para determinar si es necesario, reforzarlos, cambiarlos o si todo esta bien.
Fundas vs. Carillas Dentales
Es importante no confundir las fundas dentales con las carillas dentales. Hay algunas diferencias básicas que tienes que conocer sobre estos tratamientos. La función de las carillas de composite y otros materiales es más de estética dental y solo cubren una parte del diente. Además, son más finas que las coronas. Estas últimas, por su parte, son gruesas para poder cumplir con su función protectora y brindar mejor funcionalidad a la pieza dental, a la que cubren por completo.
¿Cuánto Cuestan las Fundas para Dientes?
Los precios de fundas de dientes pueden variar considerablemente en función de varios elementos, como el tipo de material utilizado, la complejidad del caso específico y la ubicación geográfica de la clínica dental. Comprender estos factores te ayudará a tomar una decisión informada sobre qué tipo de funda es la mejor para tus necesidades y tu presupuesto.
| Material | Costo (por diente) |
|---|---|
| Porcelana | 750 - 2,300 euros |
| Zirconia | 900 - 2,800 euros |