La salud bucal es una parte fundamental de nuestro bienestar general, y aunque solemos prestar atención a nuestros dientes, a menudo pasamos por alto el cuidado de nuestras encías. La gingivitis es una condición inflamatoria que afecta las encías que rodean los dientes.
La gingivitis es una forma común y leve de enfermedad de las encías que causa irritación, enrojecimiento e inflamación de la encía. Es una inflamación de las encías de inicio repentino y duración relativamente breve. Aparece cuando la placa bacteriana, una película pegajosa compuesta principalmente de bacterias, se acumula en la línea de las encías debido a una higiene oral deficiente.
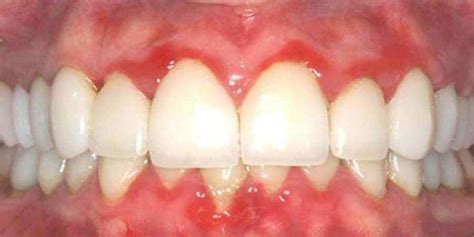
Es significativo tener en cuenta que la gingivitis es reversible si se trata adecuadamente en sus etapas iniciales. Sin embargo, después de un traumatismo pueden darse episodios agudos de hemorragia gingival. Cuando las encías están inflamadas se presentan enrojecidas, hinchadas y de consistencia blanda, a veces con dolor. El síntoma más evidente y reconocible es el sangrado de las encías, que se produce de forma espontánea o durante el cepillado diario de los dientes.
La enfermedad de las encías o gingivitis es una inflamación que afecta a las encías, y que puede evolucionar a periodontitis si además afecta al hueso de soporte de los dientes. La gingivitis es la primera etapa de la enfermedad periodontal. La enfermedad gingival puede aparecer a cualquier edad, pero es más común entre los adultos.

Gingivitis: Tratamiento casero. | Causas y soluciones.
¿Qué es la Gingivitis Descamativa Crónica?
La gingivitis descamativa, también conocida como gingivitis necrosante ulcerativa o gingivitis descamativa necrosante, se caracteriza por la presencia de úlceras y descamación en las encías. También llamada gingivitis erosiva, no identifica una patología específica, sino un cuadro clínico en el que se ha desarrollado eritema, erosión, descamación y ampollas en la encía adherente y marginal. La gingivitis descamativa también conocida como gingivitis necrosante o gingivitis ulcerativa, es una enfermedad inflamatoria que afecta las encías.
A diferencia de la gingivitis común, la gingivitis descamativa se caracteriza por una pérdida de tejido gingival y la aparición de úlceras en la encía. Es una infección bacteriana dolorosa, en la que se presenta ulceración en las encías. No relacionada con una acción bacteriana concreta, la gingivitis descamativa aparece en la mayoría de los casos asociada a dos enfermedades: Penfigoide de las mucosas y el Liquen plano. Este tipo es, con mucho, la forma más grave.
Este tipo de gingivitis no es común y suele estar asociada a trastornos autoinmunes o dermatológicos, lo que la diferencia de la gingivitis más frecuente, provocada generalmente por la acumulación de placa bacteriana. Al ser menos conocida, es importante que conozcas las causas, los síntomas y los tratamientos disponibles. La GD es una de las principales alteraciones gingivales no relacionadas con placa.
Hoy en día debe considerarse como una manifestación clínica de diferentes enfermedades mucocutáneas crónicas tales como el liquen plano (LP), el penfigoide de las mucosas (PM) o el pénfigo vulgar (PV), principalmente, aunque también puede darse en otras patologías menos frecuentes como la enfermedad por IgA lineal, la estomatitis ulcerativa crónica, la epidermolisis ampollar adquirida, el penfigoide bulloso, la disqueratosis congénita, la estomatitis de contacto, la dermatitis herpetiforme, el lupus eritematoso o la psoriasis.
Las principales causas de la gingivitis descamativa son enfermedades autoinmunes y trastornos de la piel que afectan la mucosa gingival. Ambas enfermedades se pueden confundir con facilidad. Pero, hay que tener en cuenta que a diferencia de la gingivitis común, la gingivitis descamativa no está causada por la acumulación de placa bacteriana. Más bien, su origen está vinculado a trastornos sistémicos que afectan el tejido conectivo de las encías.
La gingivitis descamativa es una inflamación gingival crónica que se caracteriza por la presencia de dolor y rojez en las encías. Se trata de un signo clínico de evolución crónica con periodos de remisión y exacerbación, caracterizado por un eritema difuso de la encía insertada en las zonas dentadas, más frecuentemente por vestibular que por palatino, que se asocia con un área de descamación del epitelio pudiendo observarse, con el avance de la lesión, una descamación espontánea del epitelio y zonas de erosión con sangrado y dolor moderado o intenso (fig.1).
Síntomas de la Gingivitis Descamativa
Las encías afectadas por la gingivitis descamativa presentan úlceras o llagas que pueden ser dolorosas y propensas a sangrar fácilmente. Estas úlceras suelen tener un color amarillento o grisáceo y pueden extenderse en áreas más amplias de las encías. La inflamación y el enrojecimiento de las encías son comunes en la gingivitis descamativa, siendo más pronunciados que en la gingivitis común. Igualmente, puede estar asociada con un persistente mal aliento, conocido como halitosis.

Factores de Riesgo
Es importante tener en cuenta que la gingivitis descamativa a menudo está asociada con factores de riesgo adicionales, como el tabaquismo, el estrés, una higiene oral deficiente, enfermedades sistémicas como la diabetes o sistemas inmunológicos debilitados. Varios factores pueden aumentar el riesgo de desarrollar gingivitis. Una higiene oral deficiente, que incluye un cepillado inadecuado o poco frecuente y la falta de uso de hilo dental, es un factor clave.
- Una higiene oral deficiente es uno de los principales factores de riesgo para la gingivitis descamativa.
- Fumar o usar productos de tabaco aumenta significativamente el riesgo de desarrollar enfermedad periodontal, incluida la gingivitis descamativa.
- El estrés crónico puede afectar negativamente el sistema inmunológico y aumentar la susceptibilidad a las enfermedades periodontales, incluida la gingivitis descamativa.
- Algunas enfermedades sistémicas, como la diabetes, el VIH/SIDA y la leucemia, pueden aumentar el riesgo de desarrollar gingivitis descamativa.
- La predisposición genética también puede jugar un papel en el desarrollo de enfermedades periodontales.
Diagnóstico
El diagnóstico de la gingivitis descamativa requiere una evaluación detallada por parte de un dentista o especialista en enfermedades periodontales.

Tratamiento de la Gingivitis Descamativa
El tratamiento para la gingivitis descamativa debe abordarse desde diferentes ángulos, dependiendo de la causa. El tratamiento de la gingivitis descamativa incluye medidas como el raspado y alisado radicular para eliminar la placa y el sarro, el uso de enjuagues antimicrobianos, y en algunos casos, antibióticos sistémicos. Igualmente, hay que tener en cuenta que en casos graves, podría ser necesario un tratamiento quirúrgico para remover las áreas gravemente afectadas de la encía.
Además, es fundamental controlar la acumulación de placa para prevenir la aparición de enfermedad periodontal. Aunque la gingivitis descamativa no se origina por una mala higiene oral, mantener una correcta limpieza bucal es crucial para evitar complicaciones. La acumulación de placa puede empeorar la inflamación de las encías y aumentar el riesgo de infecciones. La limpieza profesional por parte del dentista es la única manera de tratar la gingivitis.
Tratamientos Quirúrgicos
En casos más graves, puede ser necesario considerar opciones de tratamiento quirúrgico para abordar la gingivitis descamativa. Es importante destacar que el tratamiento quirúrgico se reserva para casos específicos y debe ser realizado por un periodoncista u otro especialista dental calificado.
- Cirugía de Colgajo: En este procedimiento, se realiza una incisión en las encías para levantar un colgajo de tejido gingival y exponer las raíces de los dientes y las áreas afectadas. Esto permite una limpieza más profunda de las superficies de las raíces y la eliminación de bacterias y tejido dañado.
- Injertos de Tejido Conectivo: Se puede realizar un injerto de tejido conectivo para cubrir las áreas de recesión gingival y promover la regeneración del tejido.
- Cirugía Regenerativa: En casos más graves, puede ser necesario realizar una cirugía regenerativa para estimular el crecimiento de nuevos tejidos y hueso.
- Cirugía para Reducción de Bolsas Periodontales: Si hay bolsas periodontales profundas y de difícil acceso, se puede realizar una cirugía para reducir el tamaño de los bolsillos.
Mantenimiento y Prevención
La prevención y el tratamiento temprano son fundamentales para controlar la gingivitis. Mantener una buena higiene oral, que incluye cepillarse los dientes al menos dos veces al día, usar hilo dental diariamente y programar revisiones regulares con el dentista, es esencial para prevenir y tratar esta afección.
- Mantener una buena higiene oral: Tal y como ya mencionamos, es esencial mantener una buena higiene oral para prevenir la recurrencia de la gingivitis descamativa. Cepilla tus dientes al menos dos veces al día con un cepillo de cerdas suaves y utiliza hilo dental diariamente para eliminar la placa y los restos de alimentos.
- Programar visitas al dentista: Programa visitas regulares de seguimiento con tu dentista para que evalúe la salud de tus encías y realice limpiezas profesionales.
- Controla los riesgos con la gingivitis descamativa: Identifica y controla los factores de riesgo asociados con la gingivitis descamativa.
- Evita las comidas calientes: Evita el consumo de alimentos o bebidas calientes, picantes o ácidas que puedan irritar las encías.
Asegúrate de seguir todas las instrucciones y recomendaciones proporcionadas por tu dentista después del tratamiento.
Consejos Adicionales
Además de los tratamientos y cuidados mencionados, es importante considerar los siguientes consejos para mantener una buena salud gingival:
- Buena higiene dental: Cepilla tus dientes al menos dos veces al día con un cepillo de cerdas suaves y usa hilo dental para limpiar entre los dientes.
- Visitas al dentista: Programa revisiones dentales periódicas para realizar limpiezas profesionales y evaluaciones de salud bucal.
- Evita el estrés: Evita el estrés crónico, ya que puede debilitar el sistema inmunológico y aumentar el riesgo de enfermedad periodontal.
- Mantén una dieta saludable: Una dieta saludable y equilibrada rica en vitaminas y minerales es esencial para mantener unas encías sanas.
- Controla las enfermedades sistémicas: Si tienes alguna enfermedad sistémica, como la diabetes, asegúrate de mantenerla bajo control.
- Evita el abuso del alcohol: El consumo excesivo de alcohol puede debilitar el sistema inmunológico y aumentar el riesgo de enfermedades periodontales.

La evidencia científica muestra que la gingivitis también puede ser causada por factores hormonales - andrógenos, estrógenos, progesterona - y por lo tanto hay mayor riesgo de aparición durante la pubertad y el embarazo.
Es importante saber que aunque es poco habitual, la gingivitis también puede provocar fiebre, especialmente en su forma aguda ulcerosa-necrótica, el aumento de la temperatura se debe a la afectación de los ganglios linfáticos submandibulares.
¿Necesitas un diagnóstico o una higiene bucal? En Clínica Dental Curull contamos con un equipo de expertos para cuidar de tu salud bucodental y ofrecerte el mejor tratamiento para la gingivitis descamativa.
tags: #gingivitis #descamativa #cronica #tratamiento