La gingivitis es una enfermedad que afecta a la salud de tus encías, siendo una de las enfermedades periodontales más comunes. La mayoría de las personas, en algún momento de nuestra vida, hemos experimentado un episodio de gingivitis.

¿Qué es la Gingivitis?
La gingivitis es una enfermedad de las encías de carácter leve. La Periodoncia es la especialidad odontológica que se encarga de prevenir, diagnosticar y tratar las enfermedades de las encías. La Periodoncia es el área de la Odontología encargada del cuidado de las encías. Las enfermedades periodontales más comunes son la gingivitis y la periodontitis.
La gingivitis es una enfermedad bacteriana provocada, fundamentalmente, por una incorrecta higiene bucodental. Ambas enfermedades tienen su origen en la acumulación de bacterias en la boca debido a una higiene bucodental insuficiente.
Causas de la Gingivitis
La principal causa tanto de la gingivitis como de la periodontitis es la acumulación de bacterias en la zona de las encías. Esto se produce, fundamentalmente, por una higiene bucodental deficiente, ya sea por un cepillado insuficiente o por una técnica de cepillado incorrecta. En definitiva, si no se retiran los restos de alimentos tras las comidas, estos se convierten en placa bacteriana. Esto provocará la proliferación de bacterias que, si no se eliminan con el cepillado, derivarán en sarro.
La principal razón de su presencia en la boca de niños y adultos es una incorrecta higiene oral. Dicho esto, se debe tener en cuenta que, en algunas ocasiones, la gingivitis se produce como consecuencia de una falta de cepillado. Aunque, en muy pocos casos, la gingivitis podría aparecer como consecuencia de anomalías en el marco gingival, en el surco, o en el tejido gingival.
Además, existen una serie de factores de riesgo:
- Mala higiene oral: Si no se lavan los dientes con suficiente frecuencia ni se pasa el hilo dental, se produce una acumulación de placa que además afecta a las encías, permitiendo que las bacterias penetren en ellas.
- Fumar o masticar tabaco: El tabaco afecta al pH de la boca y es causa de ésta y otras enfermedades bucales, así como de diferentes tipos de cáncer.
- Mala alimentación: Una dieta pobre en vitamina C puede debilitar las encías y provocar problemas de salud en ellas.
- Cambios hormonales: Los anticonceptivos, la menopausia, la adolescencia, el embarazo y el ciclo menstrual afectan al estado de las encías, haciendo que estas puedan estar más o menos inflamadas y sensibles.
- Mala colocación de las piezas dentales: Los dientes apiñados o montados dificultan la limpieza de la boca, por lo que facilitan la aparición de infecciones en las encías.
Síntomas de la Gingivitis
Una encía inflamada y dolor en la misma son síntomas de que algo no va bien. En ese caso, conviene ponerse en manos del dentista a tiempo para que la situación no se agrave. Aunque al definir qué es la gingivitis hemos hablado de ella como un problema leve, no por eso debemos pasarlo por alto o ignorarlo.
Para saber si tienes gingivitis presta atención a estos síntomas:
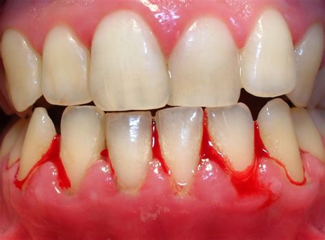
- Sangrado de encías: Es uno de los primeros síntomas de la gingivitis en adultos. Si las encías sangran al cepillarse los dientes o al usar el hilo dental, esto es sinónimo de infección, porque unas encías sanas no sangran. No obstante, en el caso de las personas fumadoras es posible que las encías no sangren debido a la vasoconstricción que provoca el tabaco.
- Mal aliento: Cuando hay un problema en las encías, ni la higiene bucal más dedicada consigue acabar con el mal aliento. Esto se debe a la acción que están llevando a cabo las bacterias, descomponiendo los restos de alimentos que se han colado entre las encías y no han sido retirados. Si cuidas tu salud bucal y aun así notas que tu aliento no huele bien, es hora de plantearte visitar al dentista.
- Encías inflamadas: Las encías tienen un color rosado y su tejido se ve firme. Si notas que el color se vuelve más oscuro, o incluso pálido, y que el tejido parece inflamado, es bastante probable que tengas una infección. Haz un seguimiento del estado de tus encías durante unos días. Si no mejora, o incluso si va a peor, pide cita con el especialista lo antes posible.
- Encías retraídas: Las encías retraídas son relativamente comunes y también aparecen cuando se tiene sensibilidad dental. Pero en algunos casos son indicativo de gingivitis. Si notas que la encía parece haberse ido hacia atrás y la raíz del diente queda expuesta, tu salud bucal podría estar en riesgo.
👉 PERIODONTITIS o PIORREA: Tratamiento eficaz para CURAR tus ENCÍAS 👄
Glosario Relacionado con la Gingivitis
Tras analizar qué es la gingivitis bucal y cómo se cura, así como sus causas y síntomas para poder detectar este problema a tiempo, vemos que hay otros términos estrechamente relacionados. Vamos a verlos para evitar confusiones:
- ¿Qué es la sonrisa gingival? Se trata de una condición de la estructura bucal en la que la proporción entre diente, encía y maxilar superior no está en armonía. Y aunque es una cuestión más estética que de salud, puede convertirse en un problema si los dientes quedan muy descubiertos.
- ¿Qué es el margen gingival? Para comprender qué es el margen gingival nos basta con mirarnos al espejo y sonreír. Es la zona que está justo donde se unen el diente y la encía. Una sonrisa armónica es aquella en la que todos los márgenes están al mismo nivel.
- ¿Qué es el surco gingival? Es un espacio natural que se encuentra entre la superficie del diente y la encía que lo rodea. Para entender qué es el surco gingival, podemos imaginarlo como un pequeño canal con forma de “V” que rodea la circunferencia que hace la base del diente.
- ¿Qué es el tejido gingival? Dentro de la anatomía de la cavidad oral, para entender qué es el tejido gingival, basta con señalar que es el tejido del maxilar superior e inferior que rodea la base de los dientes. Lo que comúnmente llamamos encía.
- ¿Qué es la hiperplasia gingival? Se trata de un problema en el que la encía crece más de lo que debería y puede cubrir parte del diente. En algunos casos produce sangrado y dolor, por lo que se confunde con la gingivitis.

Tratamiento para la Gingivitis Leve
La gingivitis es una enfermedad que se puede curar fácilmente y, prácticamente, de inmediato. Y es que, el tratamiento para la gingivitis es accesible para, prácticamente, todo el mundo. En términos generales, podemos afirmar que el tratamiento contra la gingivitis es sencillo. Sin embargo, corre el riesgo de derivar en una periodontitis, una enfermedad muy agresiva que, en última instancia, provoca la caída de los dientes.
Por un lado, hay un tratamiento casero, que se lleva a cabo en la propia casa del paciente. Esto podrá comprobarlo cada día. Por ejemplo, cuando se cepille los dientes advertirá que, poco a poco, empieza a tener menos sangrado. Con la combinación de ambos tratamientos, el paciente podrá revertir la gingivitis de manera muy rápida.
Tratamiento Profesional
La limpieza dental, que también se conoce con el nombre de tartrectomía, cuenta con distintos pasos. Mediante dicho tratamiento, se eliminan la placa bacteriana, el sarro y las manchas superficiales que el paciente tiene en el esmalte.
El tratamiento está indicado tanto en pacientes que están empezando a notar los primeros síntomas de la enfermedad como en pacientes que ya tienen una enfermedad periodontal avanzada. Es importante ser riguroso a la hora de acudir a las revisiones pautadas por el especialista tras la realización de la profilaxis.
Normalmente, la gingivitis no requiere antibiótico. El antibiótico se suele reservar para la periodontitis.
Diagnóstico
El diagnóstico de la gingivitis puede incluir:
- Medición de la profundidad del sarro: el profesional insertará una sonda periodontal por debajo de las encías para medir la profundidad del sarro.
- Radiografías: sirven para observar si la persona presenta pérdida de hueso. Sin embargo, esto corresponde a una enfermedad periodontal más avanzada (periodontitis).
Tipos de Gingivitis
Se puede catalogar esta enfermedad periodontal en dos grandes tipos según los factores que han desencadenado esta enfermedad periodontal en estado naciente:
Gingivitis bacteriana
Es provocada por la acumulación de placa bacteriana entre la encía y los dientes. Según la gravedad o la forma en la que se manifiesta, se encuentran cuatro tipos de gingivitis bacteriana:
- Gingivitis aguda: Es la más común y se manifiesta a través del enrojecimiento y la inflamación de las encías.
- Gingivitis descamativa: Este tipo añade a los síntomas anteriores la aparición de manchas más oscuras en la encía, sensación de quemazón, un aumento de la sensibilidad dental y sangrado.
- Gingivitis ulcerosa: Aparecen unos bultos de pequeño tamaño entre el diente y la encía. Además, se genera mal aliento bastante intenso.
- Gingivitis hemorrágica: Se producen sangrados muy abundantes y constantes.
Gingivitis no bacteriana
Este tipo de gingivitis está causado por factores externos:
- Estrés o cuadros de ansiedad: Es habitual encontrar gingivitis en pacientes jóvenes, principalmente fumadores, que sufren de manera usual ansiedad y estrés, lo que les provoca una bajada de defensas que hace que las encías se vean debilitadas.
- Cepillado agresivo: Cepillar los dientes y las encías de manera brusca, sin seguir una correcta rutina de higiene, puede traer graves consecuencias a la salud bucodental, entre otras están la gingivitis y la retracción de encías.
- Embarazo: Durante la etapa de gestación, las mujeres sufren cambios hormonales que favorecen la enfermedad gingival.
Prevención de la Gingivitis
Tras someterse a un tratamiento para la gingivitis, es importante seguir una serie de recomendaciones que ayudarán a prevenir la reaparición de la enfermedad:
- Seguir una técnica correcta de cepillado.
- A los pacientes que acuden a la clínica con problemas en las encías, se les da una serie de consejos para que su técnica de limpieza dental mejore.
- Acudir a revisiones periódicas con el periodoncista.
- Evitar el tabaco lo máximo posible.
Si notas que experimentas alguno de estos síntomas, te recomendamos que acudas al dentista en cuanto te resulte posible.
tags: #gingivitis #leve #tratamiento