Desde clínicas odontológicas en Valencia y Ferrol, abordamos el problema de los dientes pequeños, una condición más común de lo que se piensa. Tener dientes pequeños, conocido técnicamente como microdoncia, implica que uno o todos los dientes tienen un tamaño notablemente menor en comparación con la estructura maxilar.

¿Qué es la Microdoncia?
La microdoncia es una patología donde uno o varios dientes son significativamente más pequeños que los demás. También puede ocurrir que todos los dientes sean pequeños en relación con el tamaño de los maxilares.
Tipos de Microdoncia
- Microdoncia parcial: Afecta a uno o algunos dientes, comúnmente los incisivos laterales superiores, terceros molares o premolares.
- Microdoncia generalizada: Afecta a todos los dientes, ya sea en la arcada superior, inferior o ambas. Puede estar asociada a condiciones genéticas como el enanismo hipofisario o el Síndrome de Down, o ser consecuencia del desgaste dental debido a la edad o el bruxismo.
Causas de los Dientes Pequeños
Las causas de la microdoncia pueden ser variadas, incluyendo:
- Factores genéticos: La herencia juega un papel crucial en el tamaño y la forma de los dientes.
- Problemas de desarrollo: Crecimiento insuficiente de los dientes durante su formación.
Opciones de Tratamiento para Dientes Pequeños
Dado que no es posible "hacer crecer" un diente, existen varias soluciones para mejorar la apariencia de los dientes pequeños:
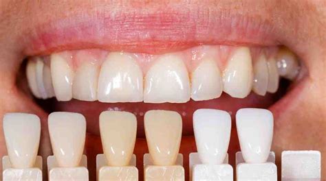
1. Carillas Dentales
Las carillas son láminas delgadas de cerámica o composite que se adhieren a la superficie frontal de los dientes para mejorar su forma, tamaño y color. Este tratamiento es ideal para corregir dientes fracturados, con asimetrías o bordes irregulares. Se integran perfectamente en la boca del paciente y no requieren un gran mantenimiento.

Existen dos tipos principales de carillas:
- Carillas de composite: Hechas de resina compuesta, son más económicas y requieren menos mantenimiento.
- Carillas de porcelana: Más resistentes, duraderas y ofrecen resultados más naturales. Con buen mantenimiento, pueden durar más de 10 años, e incluso hasta 15 o 20 años.
¿Conoces los TIPOS de CARILLAS DENTALES? ✨ El mejor tratamiento ESTÉTICO para tu sonrisa👄
2. Contorneado Dental
El contorneado dental es un tratamiento que permite eliminar pequeñas cantidades de esmalte para modificar ligeramente la forma, longitud y superficie de los dientes. Su objetivo es mejorar la armonía, simetría y proporción de la sonrisa, corrigiendo defectos leves como puntas irregulares o diferencias mínimas de longitud. Es ideal para los dientes anteriores (incisivos y caninos) y no requiere anestesia.
3. Restauraciones con Resinas Compuestas (Composite)
Este procedimiento utiliza resinas compuestas para completar la forma que debería tener el diente de forma natural. Es adecuado cuando la microdoncia no es excesiva.
4. Coronas Dentales
Las coronas son una de las soluciones más habituales, ya que permiten rediseñar el diente afectado sin importar el tamaño. Son como una especie de diente hueco que se coloca encima del original, reemplazándolo a nivel estético y funcional. Aunque son más caras y de colocación más compleja que las carillas, el resultado es similar a simple vista.
5. Tratamientos de Ortodoncia
Si el problema de los dientes pequeños está relacionado con la alineación dental, los tratamientos de ortodoncia pueden ser la solución adecuada. Los brackets tradicionales, los alineadores transparentes o la ortodoncia lingual son opciones que pueden ayudar a corregir la posición de los dientes y lograr una sonrisa más armónica.
Tratamientos Adicionales
Blanqueamiento Dental
Cuando el paciente solo necesita corregir la tonalidad de la dentadura, se pueden utilizar técnicas de blanqueamiento dental con láser o mediante férulas para utilizar en casa, siempre bajo supervisión profesional.
Gingivectomía
En casos de sonrisa gingival debido a erupción pasiva alterada (EPA), la gingivectomía puede ser una solución. Es una cirugía sencilla donde se recorta la encía alrededor del diente, haciéndolo parecer más grande y alargado. Se realiza con anestesia local y tiene una recuperación rápida.
Consideraciones Importantes
- Salud Dental: Para colocar carillas dentales, los dientes deben estar mayoritariamente sanos. Si están afectados por caries u otras dolencias en más del 50% de su superficie, podría no ser posible colocarlas.
- Mantenimiento: Es crucial mantener una buena higiene bucal y visitar al dentista regularmente para revisiones y limpiezas.
- Expectativas Realistas: Es importante tener expectativas realistas sobre los resultados del tratamiento.
¿Carillas para Enderezar Dientes Torcidos?
Las carillas pueden ser una excelente opción para enderezar dientes torcidos de manera no invasiva, corrigiendo espacios entre los dientes o dientes ligeramente descentrados. Sin embargo, es fundamental una evaluación profesional para determinar si las carillas son la solución adecuada.
Riesgos y Mantenimiento de las Carillas
Como todo tratamiento, existen algunos riesgos a la hora de poner carillas dentales para arreglar los dientes torcidos:
- Dificultad para comer ciertos alimentos.
- Dificultad para mantener los dientes limpios.
- Riesgo de reacción alérgica.
Para minimizar estos riesgos, es crucial:
- Visitar al dentista cada seis meses para revisiones y limpieza.
- Tener cuidado al comer.
- Mantener una limpieza adecuada de las carillas.
¿Qué Hacer si Tienes Dientes Grandes?
Si, por el contrario, estás insatisfecho con la apariencia de tus dientes grandes (macrodoncia), existen opciones como la ortodoncia, el contorneado dental y las carillas dentales para reducir su tamaño y mejorar la armonía de tu sonrisa.

Tabla Comparativa de Tratamientos para Dientes Pequeños
| Tratamiento | Descripción | Ventajas | Desventajas |
|---|---|---|---|
| Carillas Dentales | Láminas delgadas de porcelana o composite adheridas al diente. | Mejora forma, tamaño y color; resultados rápidos. | Puede ser costoso; requiere mantenimiento. |
| Contorneado Dental | Eliminación de pequeñas cantidades de esmalte. | Mejora la forma y simetría; procedimiento conservador. | Solo para correcciones menores. |
| Restauraciones con Composite | Utilización de resinas para completar la forma del diente. | Adecuado para microdoncia no excesiva; más económico. | Menos duradero que otras opciones. |
| Coronas Dentales | Reemplazo estético y funcional del diente. | Rediseño completo del diente; solución duradera. | Más caro y complejo que las carillas. |
| Ortodoncia | Corrección de la alineación dental. | Mejora la posición de los dientes; resultados a largo plazo. | Requiere tiempo y compromiso; puede ser incómodo. |