En Dental Care Barcelona sabemos que los problemas bucales pueden afectar significativamente nuestra calidad de vida, y uno de los trastornos que pueden presentarse es la hiperplasia gingival. Un aumento en el tamaño de la encía siempre representa un signo de enfermedad gingival.
Clínicamente se le ha denominado gingivitis hipertrófica, término no del todo correcto, ya que no es siempre de origen inflamatorio y no siempre es una verdadera hipertrofia, por lo que es preferible denominarlos agrandamientos gingivales (AG). Es importante destacar que la hiperplasia gingival no solo afecta la estética de la sonrisa, sino que también puede ocasionar molestias y complicaciones en la salud bucal.
Te invitamos a pedir una primera visita para abordar cualquier preocupación relacionada con la hiperplasia gingival.
¿Qué es la gingivitis? Causas, síntomas y tratamientos para la inflamación de encías
¿Qué es la Hiperplasia Gingival?
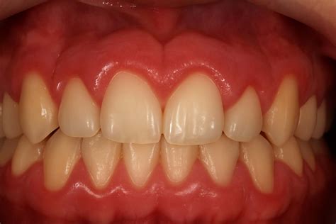
La hiperplasia gingival es un trastorno bucal que se caracteriza por un crecimiento excesivo del tejido gingival, es decir, de las encías. En condiciones normales, las encías tienen un aspecto rosado y se adhieren de manera firme alrededor de los dientes. Esta enfermedad puede afectar a personas de todas las edades y puede presentarse tanto en un área específica de la boca como en toda la cavidad oral.

Ejemplo de hiperplasia gingival.
Causas de la Hiperplasia Gingival
La hiperplasia gingival puede ser causada por diferentes factores, y comprender las causas subyacentes es crucial para un tratamiento efectivo.
- Agrandamientos gingivales por medicamentos: Son los más frecuentes tras la administración de medicamentos que poseen este efecto colateral. Fueron descritas por primera vez por Kimball en pacientes epilépticos tratados con difenilhidantoína.
- Cambios hormonales: Los cambios hormonales, especialmente durante la pubertad, el embarazo o la menopausia, pueden influir en el desarrollo de la hiperplasia gingival.
- Factores genéticos: La predisposición genética también puede desempeñar un papel en el desarrollo de la hiperplasia gingival.
La etiología de los AG es muy variada, pudiendo intervenir desde causas hormonales hasta medicamentosas, siendo éstas en la actualidad las más frecuentes. Los AG por medicamentos son un efecto secundario asociado principalmente a tres tipos de drogas: anticonvulsivantes, inmunosupresores (ciclosporina) y antagonistas del calcio.
Agrandamientos gingivales por medicamentos
Son los más frecuentes tras la administración de medicamentos que poseen este efecto colateral. Fueron descritas por primera vez por Kimball en pacientes epilépticos tratados con difenilhidantoína3.
Los AG por medicamentos son un efecto secundario asociado principalmente a tres tipos de drogas: anticonvulsivantes, inmunosupresores (ciclosporina) y antagonistas del calcio.
Existen factores comunes en el crecimiento gingival inducido por estos fármacos:
- El crecimiento es más evidente en el lado bucal que en el lingual de la encía.
- La aparición e intensidad guardan relación con los niveles en sangre de los medicamentos.
- Existe en muchos casos la remisión espontánea al suprimir la administración del fármaco.
- La acumulación de placa bacteriana parece desempeñar un papel importante en la intensidad del agrandamiento.
- Se dan con mayor frecuencia en pacientes jóvenes que en mayores4.
Antiepilépticos
Si bien clásicamente se habla de AG por hidantoínas, no sólo las produce este fármaco, ya que se encuentra bien documentada la producción de este efecto secundario por otros medicamentos de este mismo grupo como el fenobarbital5 o la carbamacepina6.
El agrandamiento gingival por hidantoína suele detectarse a los tres meses de iniciado el tratamiento7, siendo mayor la incidencia en niños y adultos jóvenes8.
Aparece una inflamación difusa de las papilas interdentales que pueden confluir y con un color que varía desde el rosa pálido hasta el rojo vinoso, dependiendo del grado de inflamación.
En casos muy severos las encías pueden cubrir casi en su totalidad a los dientes, siendo esto más evidente en las zonas anteriores de las arcadas (figs. 1 y 2).

Agrandamiento gingival en su máxima expresión en un paciente epiléptico en tratamiento con hidantoína.
El sustrato histopatológico es una proliferación inicial de fibroblastos que se frena posteriormente, pero con una producción aumentada de matriz de tejido conectivo.
Existe una relación entre higiene oral y agrandamiento gingival, no pudiéndose determinar si la placa provoca la hiperplasia o es ésta la que provoca el acúmulo de aquélla, produciéndose una inflamación y perpetuándose el problema9-11.
Antagonistas del calcio
El uso tan extendido de estos medicamentos hace que los efectos secundarios sean muy frecuentes, siendo descritos los agrandamientos gingivales por primera vez en 1984 por Ramón12 y Lederman13.
De este grupo farmacológico el que con más frecuencia produce AG es el nifedipino14, existiendo también casos demostrados con verapamil, diltiazem, anlodipino y felodipino15 entre otros.
La clínica es idéntica a la de las hidantoínas, iniciándose la hiperplasia en la encía papilar, extendiéndose con posterioridad a la encía marginal.
La encía no duele, siendo de color rosada o rojiza, dependiendo del grado de inflamación (fig. 3). Su consistencia es dura y no sangra si no se traumatiza16.

Ligera hiperplasia gingival en un paciente hipertenso en tratamiento con nifedipina.
En su patogenia interviene el efecto bloqueante de los canales del calcio de la membrana celular.
El ion calcio tiene un papel fundamental en la producción y secreción de colagenasas por los fibroblastos, por lo que al estar bloqueados sus canales de entrada en la célula esta regulación no se produce adecuadamente17.
Esto da lugar a que el aumento de fibras, que se encuentran en el conectivo en esta patología, no se deba a un aumento de la producción, sino a un defecto en la eliminación de éstas.
Este fármaco produce AG en un 15% de los enfermos dentados tratados con él entre el primer y noveno mes de tratamiento, siendo más frecuente en varones que en mujeres14.
Existe una relación entre la dosis y el grado de hiperplasia, habiéndose detectado un aumento en el líquido crevicular de la encía de estos pacientes de antagonistas del calcio en una concentración mayor que en el plasma18.
Ciclosporina
La ciclosporina es un fármaco inmunosupresor descubierto por Borell en los laboratorios Sandoz en 197219.
La primera descripción de hiperplasia gingival asociada a ciclosporina se debe a Ratteitschak en 198320.
Su incidencia, si bien al principio se consideró que no era muy elevada21, actualmente se ha constatado que aproximadamente el 30% de los enfermos son tratados con este fármaco, aunque en diferentes publicaciones encontramos una frecuencia que oscila entre el 25% al 81%22, 23.
Actúa selectivamente sobre los linfocitos T y su principal uso es la prevención del rechazo en el trasplante de órganos.
El agrandamiento gingival por ciclosporina es similar al producido por otros medicamentos, aunque se ha señalado un mayor sangrado que en los agrandamientos por hidantoínas24.
Suele comenzar por un agrandamiento indoloro, globular y móvil, de color rosa pálido, más frecuente en los sectores anteriores que en los posteriores y más por la encía vestibular que por la lingual o palatina.
Posteriormente, la encía se hace mucho más hiperémica, llegando en su crecimiento a cubrir los dientes casi en su totalidad (fig. 4).

Paciente trasplantado de corazón en tratamiento con ciclosporina.
El mecanismo de producción parece ser también por bloqueo de los canales del calcio, aunque otros autores sugieren una inhibición del interferón gamma, que provoca alteración de la regulación de los fibroblastos mediada por citoquinas.
Agrandamientos gingivales de causa sistémica
Dentro de este apartado son las causas hormonales las que con más frecuencia producen alteraciones en la estructura gingival. Se producen alteraciones fundamentalmente en el embarazo, aunque en ocasiones se encuentran relacionadas con el ciclo menstrual o la pubertad.
La gingivitis gravídica se corresponde con una inflamación en las papilas interdentales, que se encuentran tumefactas, enrojecidas y sangrantes, y a veces interfiere con la masticación25.
Las enfermas en ocasiones refieren una halitosis que en muchos casos es el motivo de consulta (fig. 5).

Hiperplasia gravídica de intensidad leve.
En ocasiones alguna papila puede crecer de forma desmesurada, dando lugar a un pseudotumor denominado «epulis gravídico», que adquiere forma de mora25 y a veces interfiere con la masticación26.
La etiopatogenia de este cuadro es compleja. Los cambios hormonales durante el embarazo actúan como factores de crecimiento sobre gérmenes patógenos gingivales, fundamentalmente entre el tercer y cuarto mes de embarazo.
Asimismo, las hormonas producen un aumento en la permeabilidad capilar, con el consecuente edema de los tejidos gingivales.
Parece existir también una menor reactividad inmunológica de los tejidos gingivales frente a factores irritantes locales.
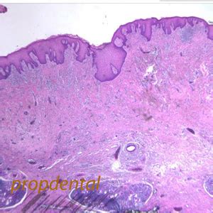
Histológicamente, los granulomas gravídicos se caracterizan por presentar un componente inflamatorio caracterizado por linfocitos, células plasmáticas y neutrófilos, un componente vascular muy abundante con neoformación de capilares y una gran proliferación de fibroblastos (fig. 6).

Imagen histológica de un «épulis gravídico» donde se observa un importante infiltrado inflamatorio linfoplasmocitario y una gran cantidad de vasos sanguíneos.
En el período premenstrual se encuentran también alteraciones gingivales mucho más discretas que se traducen en un enrojecimiento gingival con un aumento en el sangrado de las encías.
Otras alteraciones sistémicas que pueden producir agrandamientos gingivales son las carenciales, cada vez menos frecuentes y a la cabeza de las cuales se encuentra el escorbuto.
Las hiperplasias gingivales neoplásicas adquieren gran importancia, ya que en muchas ocasiones son el primer lugar de manifestación de la enfermedad.
Dentro de éstas son las leucemias, fundamentalmente las monocíti cas, las que con más frecuencia afectan al tejido gingival.
Agrandamientos de origen inflamatorio
Los agrandamientos de origen inflamatorio son debidos a factores que dan lugar a un depósito de placa bacteriana que al actuar sobre la encía provoca una inflamación que prolongada en el tiempo produce la hiperplasia.
Así, la presencia de prótesis desbordantes, mal ajustadas, el apiñamiento de dientes o grandes caries interproximales acompañan en muchas ocasiones a las hiperplasias.
Es también frecuente encontrar estos agrandamientos en respiradores bucales, ya que al respirar por la boca se produce una resecación de la mucosa que da lugar a una inflamación (fig.7).

Paciente respirador bucal con mala higiene oral. Se observa una hiperplasia moderada en el grupo incisivo inferior.
El agrandamiento en estos casos suele ser localizado en una zona de la encía, es sangrante y en muchas ocasiones el paciente presenta halitosis.
Síntomas de la Hiperplasia Gingival
La detección temprana de la hiperplasia gingival es fundamental para un tratamiento efectivo. Algunos de los síntomas más comunes incluyen:
- Crecimiento excesivo del tejido gingival: Uno de los síntomas más evidentes de la hiperplasia gingival es el crecimiento excesivo del tejido de las encías.
- Enrojecimiento e inflamación: Las encías afectadas por la hiperplasia gingival suelen presentar enrojecimiento e inflamación.
- Sangrado gingival: Otra señal común de la hiperplasia gingival es el sangrado de las encías.
- Sensibilidad y molestias: La hiperplasia gingival puede causar sensibilidad y molestias en las encías.
Tratamiento de las Hiperplasias Gingivales
El tratamiento de los agrandamientos gingivales independientemente de su etiología pasa siempre por una correcta higiene tanto individual como realizada por el odontoestomatólogo, ya que es la placa bacteriana la que la inicia o bien la que la incrementa y perpetúa.
El enfermo debe ser instruido en una correcta técnica de cepillado y en el uso de colutorios antisépticos a base de digluconato de clorhexidina.
En muchas ocasiones, y a pesar de la correcta higiene tanto individual como por parte del profesional, el agrandamiento gingival no se consigue disminuir y su tratamiento depende de la causa que la produce.
En los agrandamientos por medicamentos a veces es suficiente la sustitución del fármaco por otro de distinto grupo para solventar el problema.
Así, por ejemplo, el cambiar la ciclosporina por otro inmunosupresor como el FK506 solventa el problema en muchas ocasiones.
El uso de la azatioprina en lugar de la ciclosporina también se ha documentado como una terapia efectiva en este problema28.
Se ha preconizado el uso de metronidazol en el tratamiento de los agrandamientos por medicamentos, sin duda por actuar sobre el componente bacteriano de la placa29.
En los agrandamientos sistémicos dependerá del factor etiológico para actuar de un modo u otro.
Así, en el de tipo nutricional será suficiente la instauración de una dieta correcta para la resolución del problema.
En los de origen tumoral habrá que tratar el proceso neoplásico del que se trate para su correcta resolución.
En las hiperplasias de origen inflamatorio el eliminar la causa que produce la inflamación ha de ser el primer paso para conseguir la salud gingival, realizándose con posterioridad una tartrectomía.
En los agrandamientos gravídicos, con el parto se solucionarán en muchos casos los problemas gingivales de la enferma, existiendo algunas ocasiones en las que habrá que recurrir a la cirugía con el fin de restituir a la normalidad la encía.
Cuando a pesar de todas las medidas no se puede evitar el agrandamiento gingival hay que recurrir a la cirugía mucogingival con aplicación de alguna de las técnicas de gingivectomías existentes30.
Opciones de Tratamiento
- Terapia periodontal no quirúrgica: En los casos iniciales de hiperplasia gingival, podemos recomendar una terapia periodontal no quirúrgica como primera línea de tratamiento.
- Cirugía periodontal: En situaciones más avanzadas de hiperplasia gingival, puede ser necesario realizar una cirugía periodontal.
- Corrección estética: Además de abordar los aspectos funcionales de la hiperplasia gingival, entendemos la importancia de la estética dental.
Tabla resumen de fármacos asociados a hiperplasia gingival
| Fármaco | Indicación | Incidencia |
|---|---|---|
| Fenitoína | Anticonvulsivante | Hasta 50% |
| Nifedipino | Bloqueante de los canales de calcio | 0.5% - 83% |
| Ciclosporina | Inmunosupresor | 7% - 70% |
La hiperplasia gingival asociada a medicamentos es una reacción adversa relacionada con el uso sistémico de varios fármacos del tipo de la fenitoína, ciclosporina y antagonistas del calcio, especialmente nifedipino.
Estos medicamentos son estructuralmente distintos, pero tienen en común la acción de inhibir la captación celular de calcio, mecanismo que se considera implicado en la patogenia de la hiperplasia gingival.
Por el momento no se conoce con precisión la patogénesis de la hiperplasia gingival, siendo su etiología desconocida; su desarrollo se ha relacionado con diversos factores, como: inflamación, uso de algunos fármacos, neoplasias, alteraciones hormonales, deficiencia de vitamina C, etc.
Uno de los factores de riesgo que contribuye al desarrollo de HG es la presencia de placa dental y gingivitis por una mala higiene bucal1-6.En la hiperplasia gingival inducida por estos fármacos, las lesiones se presentan con características clínicas e histológicas similares2,5,7, observándose una variación en la respuesta entre pacientes y dentro del mismo paciente, lo que sugiere la existencia de una posible predisposición genética7.
Apreciándose un aumento de la actividad fibroblástica con un incremento de la matriz extracelular del tejido conectivo gingival2,5.
Este aumento crónico del volumen de los tejidos gingivales, que usualmente comienza a nivel de las papilas gingivales interdentales anteriores, para extenderse a continuación al sector posterior de la boca, adquiriendo la encía un aspecto lobulado.
En general, la hiperplasia gingival afecta de forma más importante al maxilar superior que al maxilar inferior.
Después de algunos años, en algunos pacientes, la encía puede aumentar de volumen hasta recubrir casi todas las piezas dentarias.
La hiperplasia gingival causa dolor en la masticación, alteración en la deglución, trastornos del habla, hemorragia gingival, alteraciones periodontales, oclusión dentaria y daños estéticos1,2.El diagnóstico de hiperplasia gingival de origen farmacológico es generalmente fácil, ya que suele tratarse de una afectación grave de la encía tras varios años de evolución.
El aspecto clínico fibroso de la encía es característico independientemente del medicamento que la origine.
Si bien, hay que descartar otras posibles causas de hiperplasia gingival, como: alteraciones hormonales, embarazo, ciertas neoplasias, algunas leucemias, entre otras.
La incidencia de hiperplasia gingival en la población general es de un 4% a un 7,5%1.
ANTIEPILÉPTICOS: FENITOÍNA
La hiperplasia gingival puede afectar hasta un 50% de los pacientes tratados con fenitoína8,9.
Se caracteriza por la presencia de inflamación y una importante respuesta fibrótica, sin que se identifique una mayor pérdida de hueso alveolar.
Se manifiesta en los primeros meses de tratamiento y aparece con mayor frecuencia en niños.
Se desconoce el mecanismo subyacente a su desarrollo, aunque se ha implicado al principal metabolito de la fenitoína, la 5-(4-hidroxifenil)-5-fenilhidantoína9.
Algunos autores relacionan el grado de agrandamiento con la dosis, duración del tratamiento y los niveles plasmáticos de fenitoína; sin embargo, otros no apoyan la existencia de esta correlación1,4.
La gravedad de la hiperplasia gingival se ha relacionado con la presencia de placa dental como consecuencia de una higiene bucodental defectuosa1.Otros antiepilépticos que también se han asociado a hiperplasia gingival, son: ácido valproico, carbamazepina, fenobarbitona y vigabatrina.
No obstante, la incidencia de presentación del cuadro parece mucho más baja que la descrita con fenitoína4,10.
INMUNOSUPRESORES: CICLOSPORINA
Resulta bien conocida la relación entre la utilización de ciclosporina y desarrollo de hiperplasia gingival.
Este agente inmunosupresor que actúa suprimiendo la respuesta celular inmune, se prescribe de forma frecuente para aumentar la supervivencia de pacientes sometidos a trasplante renal o de médula ósea, así como para el tratamiento de enfermedades autoinmunes como la artritis reumatoide y enfermedades dermatológicas10.Aunque en una revisión se estimó una incidencia de hiperplasia gingival asociada a ciclosporina en torno al 30% de los pacientes trasplantados9,10, los valores descritos en la bibliografía oscilan desde un 7% a un 70%9.
La presencia de placa dental puede agravar la hiperplasia gingival; siendo importante para prevenirla o minimizarla una buena higiene bucal.
La hiperplasia gingival suele ser reversible después de reducir la dosis de ciclosporina o tras su retirada; si bien, esto no es posible en todos los casos, por lo que se recomienda la escisión quirúrgica2.
Algunos agentes antimicrobianos como metronidazol, claritromizina y azitromicina se han empleado para tratarla.
En concreto, la azitromicina ha mostrado su eficacia en un estudio realizado en pacientes sometidos a trasplante renal; si bien, se precisa de más evidencia para poder establecer su papel en la terapéutica de esta enfermedad9,11.
ANTAGONISTAS DEL CALCIO: NIFEDIPINO
La hiperplasia gingival es uno de los efectos adversos asociados con mayor frecuencia a la utilización de los antagonistas del calcio y, en especial a las dihidropiridinas: nifedipino, felodipino, amlodipino8,12.
Así, este grupo de antagonistas del calcio se contó entre los fármacos asociados con mayor frecuencia a hiperplasia gingival en la base de datos del Australian Adverse Drug Reactions Advisory Committee13; siendo nifedipino, el que la origina en mayor número de casos, después de tratamientos de larga duración12.
En un reciente estudio epidemiológico controlado, realizado en pacientes tratados con nifedipino, la incidencia fue del 6%10; si bien, en otros trabajos la hiperplasia gingival que aparece entre el primer y noveno mes de tratamiento se ha estimado entre 0,5% y 83%1.
El agrandamiento gingival se resuelve tras la retirada del fármaco, siendo la mala higiene bucal un factor agravante del cuadro1,2.Otros antagonistas del calcio tales como diltiazem, verapamilo, amlodipino, felodipino, manidipino, nicardipino y nitrendipino también se han asociado a hiperplasia gingival, aunque con una menor incidencia10,12.
En un reciente estudio se ha señalado que, aunque la patogénesis de la hiperplasia gingival por antagonistas del calcio sea desconocida, existen evidencias que la relacionan con un proceso inflamatorio asociado al polimorfismo del gen MDR114.
A la vista de lo anterior, reemplazar un antagonista del calcio por otro en muchas ocasiones no prevendría las recurrencias.
Teniendo que considerar la utilización de alternativas de diferente grupo terapéutico que no se asocien a hiperplasia gingival10.
PREVENCIÓN Y TRATAMIENTO
La hiperplasia gingival originada por medicamentos es un proceso patológico que requiere un tratamiento combinado.
En primer lugar es importante evitar cuando sea posible el empleo de los medicamentos que la originan o reemplazarlos por alternativas que presenten una eficacia similar.
Así, la fenitoína podría sustituirse por un antiepiléptico que presente una baja incidencia de hiperplasia gingival (carbamazepina o ácido valproico), la ciclosporina se podría sustituir por tacrolimus y los antagonistas del calcio por otras alternativas que no se asocien a hiperplasia gingival1,2.
En los casos en los que no sea posible retirar o sustituir el medicamento que origine la hiperplasia gingival, puede realizarse una gingivectomía; no obstante, al no poder retirar el agente causal, tras la intervención quirúrgica pueden aparecer recidivas a los 3-6 meses o incluso al año.
Por ello, los controles post-operatorios frecuentes de salud periodontal contribuirán a prevenir o minimizar la recurrencia de la lesión1,2,9.Aunque la asociación entre placa bacteriana y desarrollo/gravedad de la hiperplasia gingival es controvertida, las medidas higiénicas bucodentales estrictas y las visitas regulares al dentista para la limpieza del sarro, podrían reducir la gravedad de la hiperplasia gingival; considerándose estas medidas como coadyuvantes, pero nunca como determinantes en el tratamiento de la enfermedad1,2.
Es importante informar a los pacientes del posible efecto adverso, así como de las medidas preventivas que estarían indicadas para reducir la gravedad de las lesiones, como: higiene bucodental estricta y revisiones dentales para la limpieza del sarro1,2.
tags: #hiperplasia #gingival #por #farmacos