La hipomineralización dental en niños, también conocida como hipomineralización incisivo-molar (MIH), es un trastorno del desarrollo del esmalte que afecta especialmente a los primeros molares e incisivos permanentes. Este síndrome dental está aumentando, independientemente de la raza y el nivel socioeconómico familiar.

¿Qué es la Hipomineralización Incisivo-Molar (MIH)?
La MIH es un defecto de mineralización que aparece durante la formación de los dientes permanentes, normalmente entre los 6 y 9 años. Durante la amelogénesis, que es el proceso de formación del esmalte, se altera su calidad por una baja mineralización en zonas concretas que se localizan habitualmente en los primeros molares permanentes. No se trata solo de un problema estético: puede afectar a la función masticatoria y generar molestias significativas si no se trata a tiempo.
Este síndrome se trata de una patología que cursa con defectos de desmineralización del esmalte en los primeros molares permanentes. En ocasiones, los dientes de leche se ven afectados, pero esto no significa que también vaya a pasar en los dientes definitivos.
Síntomas más frecuentes en los dientes de los niños
Los signos más habituales incluyen:
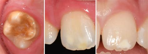
- Manchas blancas, amarillentas o marrones en los molares o incisivos.
- Mayor sensibilidad al frío, al calor o durante el cepillado. Ante esto, el niño nota una alta sensibilidad dental o hipersensibilidad al frío, el calor y el aire.
- Dientes que se fracturan fácilmente. Hay fracturas, muchas caries y erosión de los dientes afectados, además de hipersensibilidad dental.
- En algunos casos, el niño puede evitar masticar por el lado afectado o quejarse de molestias continuas sin que exista una caries visible.
- Opacidades que van desde el amarillo al marrón, por lo que resultan antiestéticas.
Algo llamativo del HIM es que la alteración es asimétrica. Por ejemplo, puede verse un diente muy afectado por la cara externa pero saludable por la cara contraria.
Características de la hipomineralización incisivo molar: diagnóstico y tratamiento.
Posibles causas de la hipomineralización dental
Aunque no existe una causa única confirmada, se cree que diversos factores pueden estar implicados:
- Enfermedades en los primeros años de vida.
- Fiebre alta prolongada. Durante ese periodo, se cree que un pico de fiebre alta puede alterar el esmalte mientras se está formando.
- Uso prolongado de ciertos antibióticos.
- Complicaciones durante el embarazo o el parto.
Puesto que el origen todavía no está claro, tampoco se ha descartado una predisposición genética a esta patología. Hay estudios que señalan que la hipomineralización incisivo molar empeora con el crecimiento del niño, porque el esmalte va descomponiéndose poco a poco.
Sigue siendo desconocida. Es necesario más estudios y más tiempo para ver si esta evolución puede ser al azar. A día de hoy, para explicar el porqué de las alteraciones de la mineralización del esmalte, es necesario saber las causas de estas. Según las publicaciones científicas, las hipoplasias se producen en la fase de aposición de la odontogénesis, dejando una capa de esmalte patológicamente fina. El cuadro clínico se asocia con alteraciones sistémicas o agresiones ambientales que ocurren en los primeros años de vida.
En la mayoría de casos, se combinan varios factores, entre los que se pueden destacar:
- Factores prenatales: episodios de fiebre materna e infecciones virales del último mes de embarazo.
- Factores perinatales: prematuridad, bajo peso al nacer y partos prolongados.
- Factores posnatales que actúan principalmente en el primer año de vida: problemas respiratorios, otitis, alteraciones del metabolismo, alteraciones gastrointestinales, entre otros.
Hay algún factor que interfiere en la amelogénesis de estos dientes, pero sigue habiendo muchas incógnitas. Los últimos estudios parecen indicar una etiología genética por la alteración de algún gen implicado.
Diagnóstico del Síndrome HIM
El diagnóstico resulta fundamentalmente clínico, sin ser difícil de diagnosticar, ya que el dentista, analizando los dientes, puede apreciar la alteración en estos dientes. Es recomendable hacer un diagnóstico diferencial con otras alteraciones parecidas. Este diagnóstico diferencial resulta bastante claro.
El examen debe realizarse tras una limpieza dental, con los dientes húmedos. Revisamos la ausencia o presencia de opacidades, si existe ruptura post-eruptiva del esmalte o restauraciones atípicas.
Criterios diagnósticos a tener en cuenta
La Academia Europea de Odontopediatría desarrolló en el año 2008 una serie de criterios diagnósticos:
- Opacidades delimitadas. Alteraciones en la translucidez del esmalte de espesor normal, bien delimitadas, variables en grado, de superficie lisa, pudiendo variar el color entre blanco, amarillo y marrón.
- Fracturas del esmalte post-erupción. Pérdida de la superficie del esmalte inicialmente formada, después de la erupción. La pérdida de esmalte está frecuentemente asociada a una opacidad delimitada preexistente.
- Restauraciones atípicas. El tamaño y la forma de las restauraciones de uno o más primeros molares no sigue el patrón de caries de los restantes dientes del individuo. Normalmente, son restauraciones amplias que invaden las cúspides. Pueden verse opacidades en el contorno de las restauraciones.
- Exodoncias de primeros molares permanentes debido a HIM. Ausencia de un primer molar permanente por exodoncia, asociada a opacidades o restauraciones atípicas en los restantes primeros molares o incisivos.
- Diente no erupcionado. Primer molar o incisivo permanente para ser examinado que no está erupcionado.
En la exploración de un diente con hipomineralización es posible apreciar opacidades que varían de color blanco tiza a amarillo- marrón. Las zonas afectadas suelen ser las cúspides de los molares y los bordes incisales e los incisivos.
Diferentes grados de afectación del Síndrome HIM
Según la bibliografía científica, existen diferentes grados de afectación:
- Grado 1: En este caso, las opacidades se localizan en áreas que no suponen tensión para el molar.
- Grado 2: En esta etapa, el esmalte hipomineralizado es de color amarillento-marrón con afectación de las cúspides, con pérdida leve de sustancia y sensibilidad dental. Las opacidades suelen hallarse en el tercio incisal-oclusal.
- Grado 3: Esta última etapa se caracteriza por la deficiencia mineral en gran escala con coloraciones amarillentas-marrones y grandes defectos en la corona, con gran pérdida de esmalte, y en algunos casos, destrucción coronaria. En estos casos se suelen producir fracturas de esmalte poserupción e hipersensibilidad.
Criterios de gravedad
- HIM LEVE: Opacidades bien delimitadas en zonas sin presión masticatoria. Opacidades aisladas. Esmalte íntegro en zonas de opacidades. Sin historia de hipersensibilidad del esmalte. Si está involucrado un incisivo, su alteración es leve.
- HIM MODERADA: Restauraciones atípicas. Opacidades bien delimitadas en el tercio oclusal, sin fractura poseruptiva de esmalte o caries limitadas a una o dos superficies, sin involucrar cúspides. Sensibilidad dentaria normal. Los pacientes o sus padres expresan preocupación por la estética.
- HIM GRAVE: Fractura de esmalte en el diente erupcionado. Historia de sensibilidad dental. Amplia destrucción por caries asociadas a esmalte alterado. Destrucción coronaria de rápido avance y compromiso pulpar. Restauraciones atípicas defectuosas. Los pacientes o sus padres expresan preocupación por la estética.
Tratamientos disponibles para proteger los dientes afectados
Si notas manchas o sensibilidad en los dientes de tu hijo, pide una valoración en una clínica dental. Es fundamental un diagnóstico a tiempo en tu clínica de confianza.
Es importante detectar el HIM lo antes posible; de esta manera se podrá adaptar el plan de prevención en cada caso. Si aún no ha aparecido la caries, se recomienda pastas reforzadas con calcio y flúor para uso diario (además del consejo dietético) y aplicaciones de barniz de flúor periódicamente en clínica. En caso de que la caries haya aparecido, variará el tratamiento dependiendo de la profundidad de la lesión y el desarrollo radicular.
Además de controlar que el niño se cepille asidua y correctamente, es necesario realizar limpiezas dentales o tartrectomías regulares en la consulta. En caso de HIM leve es necesario enjuagar en casa con un colutorio de flúor. Cuando ya existen fracturas se pueden adherir láminas de composite o cerámica sobre el esmalte sano para que no se extiendan.

Existen diferentes tratamientos en función de la gravedad de la hipoplasia del esmalte. Este tratamiento se aplica en los casos más graves, cuando el diente o dientes presentan un deterioro muy grande y no hay ningún otro tratamiento que pueda restaurarlos.
El objetivo principal es evitar la aparición de caries. Para ello es ideal revisar a los niños cuando asoma el primer diente o retrasarlo hasta los cinco años con el nacimiento de los molares. En casa se debe realizar una higiene bucal minuciosa.
Si detectas alguna mancha o decoloración, alguna pequeña fisura o cualquier otra anomalía en tus dientes u esmalte acude a una clínica dental para que examinen a tu hijo.
tags: #hipomineralizacion #en #dientes #de #leche