En ocasiones, tras la colocación de implantes dentales, aparece una molesta sensación de dolor en la dentadura. No te preocupes, la sensibilidad en los dientes es uno de los posibles síntomas que aparecen después de una visita al implantólogo; tu boca está debilitada, pero en unas semanas volverá a la normalidad. De la mano de dentistas especializados, vamos a explicar en detalle la sensibilidad en implantes: desde el por qué ocurre hasta cómo puede ser tratada y prevenida.
A diferencia de los dientes naturales, los implantes no tienen nervios que puedan sentir dolor directamente. Varias razones pueden contribuir a la sensibilidad en un implante dental, entre ellas:
- Inflamación de los tejidos: La periimplantitis, una condición inflamatoria que afecta los tejidos alrededor del implante, es una causa común. Puede ser resultado de una infección bacteriana, similar a la enfermedad periodontal en dientes naturales.
- Carga inmediata del implante: La colocación de la corona o prótesis dental sobre el implante demasiado pronto, antes de que haya ocurrido la osteointegración completa, puede provocar sensibilidad o incomodidad.
- Técnica quirúrgica y postoperatorio: Una técnica quirúrgica inadecuada, excesiva fuerza al colocar el implante, o una recuperación postoperatoria complicada pueden ser factores contribuyentes.
- Bruxismo o presión excesiva: El hábito de rechinar o apretar los dientes puede ejercer una presión excesiva sobre el implante y los tejidos circundantes, causando dolor o sensibilidad.
Puedes pedir una cita gratuita en nuestra clínica dental para revisar la posible causa y encontrar el tratamiento que mejor se adapte a tu caso.

¿Qué causa la sensibilidad dental?
A veces ocurre al tomar un alimento demasiado caliente, frío o ácido, o durante el cepillado. Una punzada de dolor que indica sensibilidad en los dientes. Ésta puede deberse a muchos motivos, y la solución puede involucrar tanto tratar el origen como incrementar la fortaleza de tus dientes.
Un diente normal está protegido por el esmalte, una capa dura de calcio que recubre la dentina. Éste tejido, poroso y más blando que recubre el interior del diente, donde se localizan los nervios que pueden sentir el dolor. Son muchas cosas las que desgastan el esmalte. Por supuesto una mala higiene dental, que puede causar caries o acumulación de placa, es una de las causas más comunes. Un cepillado demasiado intenso, con un cepillo demasiado duro también acaba por dañar el esmalte de tus dientes.
Sin embargo, un esmalte debilitado no es lo único que puede hacer tus dientes sensibles. Unas encías enfermas pueden retraerse llegando a mostrar la raíz de tus dientes, una parte de los mismos más expuesta al dolor. Un diente quebrado o roto, o un empaste mal ejecutado también son una posible causa.
Tratamiento para la sensibilidad dental
El tratamiento, por supuesto, se adapta al origen del dolor. Existen dentífricos especializados que producen un efecto sedante en los dientes, reduciendo su sensibilidad; o diseñados para reforzar tu esmalte. Sus efectos, sin embargo, tardan un tiempo en notarse. Si la causa del dolor es una caries o una reparación deficiente, una visita al dentista será necesaria. Un diente dañado es un grave problema, y si el daño es demasiado la solución puede pasar por su sustitución por un implante dental.

¿Rechazo de implantes dentales? El Dr Roberto te explicará 🤔
Consejos para prevenir la sensibilidad dental
Una vez hayas logrado superar la sensibilidad, existen algunas medidas que te ayudarán a asegurarte de que el dolor nunca volverá. Como siempre, una higiene dental meticulosa te garantiza el mejor punto de partida. Cuidar tu dieta también es importante, los alimentos demasiado ácidos (café, cítricos, refrescos) son los que más debes vigilar, al ser los más dañinos para el esmalte.
Complicaciones de los implantes dentales
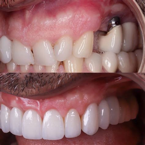
Los implantes dentales son una forma maravillosa de restaurar la confianza y la salud de su sonrisa tras la pérdida de dientes. Se trata de pequeños objetos de titanio con una raíz artificial o un pilar que puede conectarse a los dientes naturales o a las restauraciones dentales. Sin embargo, al igual que con cualquier otro procedimiento dental, los implantes dentales a veces pueden conllevar algunas complicaciones. Algunas de ellas son menores y pueden tratarse en casa o en atención primaria, mientras que otras requieren la atención de un especialista.
Infección del implante dental (Implantitis)
Una infección en un implante dental se llama «implantitis». Se trata de una afección poco frecuente que puede producirse si no se ha cuidado bien la boca o si se padece una afección subyacente que lo hace más propenso a las infecciones. Una infección de los implantes dentales puede causar enrojecimiento, hinchazón, calor y dolor en el lugar. La infección de los implantes dentales puede tratarse con antibióticos.
Debilitamiento del hueso de la mandíbula
El debilitamiento del hueso de la mandíbula donde se coloca el implante es una complicación poco frecuente de los implantes dentales. La pérdida de hueso tras los implantes dentales puede producirse cuando una infección bacteriana daña el hueso de la mandíbula y provoca una osteomielitis. Este tipo de pérdida ósea puede prevenirse en la mayoría de los casos cuidando bien los dientes y las encías y prestando atención a los signos de infección.
Fracaso del implante dental
El fracaso de los implantes dentales es una situación poco frecuente que se produce cuando el implante se rompe o es rechazado por el cuerpo. Si el implante no se puede retirar, puede causar complicaciones graves, como dolor y la necesidad de una cirugía adicional. También puede ocurrir si se fuma, se bebe en exceso, se toman ciertos medicamentos o si se padece una enfermedad como la diabetes. El fracaso de los implantes puede prevenirse cuidando bien la boca y los dientes, evitando las sustancias que puedan dañar los dientes y visitando al dentista regularmente para una revisión.
Pérdida de tejido duro alrededor del implante dental
La pérdida de tejido duro alrededor del implante dental es una complicación común que puede ocurrir cuando el tejido circundante no se mantiene lo suficientemente limpio después de la colocación del implante. El tejido puede llegar a infectarse y convertirse en un agujero o bolsa alrededor del implante llamado «úlcera». En algunos casos especiales, podría ser necesario incluso retirar el implante dental.
Neuropatía Periférica
Una condición llamada «neuropatía periférica» puede causar entumecimiento, hormigueo y dolor a lo largo de la parte exterior de su mandíbula después de un implante dental. Esta complicación suele estar causada por una infección que daña los nervios alrededor del implante y se trata con antibióticos. También puede estar causada por una mala higiene bucal, una mordida incorrecta o el rechinar de los dientes durante el sueño.
Alveolo seco (Osteítis Alveolar)
El alveolo seco (u «osteítis alveolar») es una complicación común pero fácilmente tratable que se produce tras una extracción dental. La sequedad del alveolo tras el procedimiento de implante dental puede tratarse en casa enjuagando la boca con agua salada tibia y aplicando un antiséptico en la herida. También se puede tomar paracetamol para aliviar el dolor.
Rotura o Extrusión del Implante
La rotura de un implante dental es muy dolorosa, pero también se puede prevenir fácilmente. Los implantes dentales también pueden desplazarse (o «extruirse») si rechinas los dientes o tienes una afección bucal como la enfermedad periodontal, o si se deja sin tratar una infección. Si un implante se rompe o se sale de su sitio, puede causar dolor, infección y daños en los dientes cercanos.
Rechazo del Implante Dental
El rechazo de los implantes dentales se produce cuando el sistema inmunitario reconoce erróneamente el titanio implantado como un objeto extraño y desencadena un ataque contra él. El rechazo de los implantes dentales es una complicación poco frecuente, pero puede ocurrir si no te cuidas bien la boca. Hay algunos signos que indican que su cuerpo está rechazando el implante. Si experimenta alguno de estos problemas, debe ponerse en contacto con los especialistas de Dental Care Barcelona lo antes posible. El rechazo de los implantes dentales puede tratarse con fármacos y antibióticos especiales, pero es importante acudir al dentista a la primera señal de cualquier complicación.
¿Cómo evitar el rechazo del implante?
En Dental Corbella, aplicamos estrictos protocolos clínicos para minimizar cualquier riesgo. Estas son algunas recomendaciones para evitar el rechazo de un implante dental:
- Evaluación médica completa antes del tratamiento para identificar enfermedades sistémicas.
- Uso de tecnología avanzada de diagnóstico y planificación digital para asegurar una colocación precisa.
- Empleo de materiales de alta calidad, biocompatibles y certificados.
- Acompañamiento postoperatorio cercano para controlar la evolución del tratamiento.
- Educación del paciente en higiene bucodental y hábitos saludables.
- Revisiones periódicas para detectar cualquier alteración a tiempo.
¿Qué hacer si se presenta un rechazo?
En caso de que se confirme una falla en el implante, el procedimiento habitual consiste en retirar el implante, tratar la infección o el problema subyacente, y esperar un periodo de cicatrización antes de valorar una nueva colocación. En muchos casos, se puede volver a colocar un implante con éxito tras corregir los factores que originaron el rechazo. Es fundamental contar con un equipo experimentado que ofrezca soluciones personalizadas.

Los implantes dentales son una forma fiable y eficaz de sustituir los dientes perdidos. Son extremadamente duraderos, con una vida útil de más de 10 años. Por desgracia, los implantes dentales conllevan algunos riesgos, pero éstos pueden reducirse visitando al dentista con regularidad para una revisión y manteniendo una buena higiene bucal.
Tratamiento adecuado para la sensibilidad en implantes
El tratamiento adecuado dependerá de la causa subyacente de la sensibilidad.
- Seguimiento regular: Asistir a todas las citas de seguimiento con el cirujano oral para asegurar que el implante y los tejidos circundantes se mantengan saludables.
- Higiene oral meticulosa: Cepillar y usar hilo dental alrededor del implante diariamente para prevenir la acumulación de placa y reducir el riesgo de infección.
- Evitar hábitos nocivos: Tratar de evitar el tabaquismo y el consumo excesivo de alcohol, ya que pueden afectar negativamente la salud de los tejidos alrededor de los implantes.
- Protección contra el bruxismo: Si rechinas o aprietas los dientes, considera el uso de una férula de descarga nocturna para proteger tus implantes y dientes naturales.
Parestesia dental tras implantes
¿Sufres o has sufrido en algún momento de parestesia dental? Si ya has pasado por ello, sabrás sin duda lo molesto que puede llegar a ser y por qué puede producirse tras la colocación de implantes dentales. Antes de comprender por qué puede darse una parestesia dental, es importante conocer qué significa exactamente y qué síntomas acarrea.
Lo más probable es que aparezca tras intervenciones llevadas a cabo por el dentista cercanas al nervio afectado o presiones sobre ciertos nervios situados en la cara. Si bien es cierto que hay situaciones en que la afectación del nervio ocurre incluso haciendo las cosas perfectamente, debido a que simplemente el nervio pasa justo por donde el dentista tiene que trabajar.
Si a pesar de estas precauciones o consejos ya es demasiado tarde y se sufre de parestesia en el nervio dentario inferior, no hay que perder la calma, pues los síntomas suelen remitir. Ante todo, no hay necesidad de alarmarse, pues la parestesia se da en una cuota muy baja de intervenciones y no suele ser permanente.
Por lo tanto, mantén la calma si en un principio sufres los síntomas, y consulta con tu dentista de confianza. Lo normal es que se recupere la sensibilidad de la zona y vuelva a índices normales en un periodo de tiempo de 2 a 6 meses, desapareciendo con el tiempo todas sus molestias.
Si tienes una parestesia desde hace años a causa de unos implantes dentales, también puede estar indicado retirar los implantes.
Signos de alerta y qué hacer
La sensibilidad en un implante dental no es algo que deba ignorarse. Detectar los síntomas de rechazo de implantes dentales en etapas tempranas es crucial. Se nota mediante síntomas como dolor constante, inflamación, sangrado, secreción purulenta o movimiento del implante al masticar. Si notas movilidad, dolor persistente, inflamación o secreción, consulta a tu dentista de inmediato.
El rechazo de implantes dentales es poco frecuente, pero debe tratarse con seriedad. Si detectas cualquier anomalía, no esperes.
Recuerda que la clave está en la prevención y la atención temprana. ¡Cuida tu sonrisa y tu salud bucal!