Los avances en la odontología han permitido el desarrollo de soluciones innovadoras para la restauración dental. Entre ellas, los implantes de carga inmediata representan una de las opciones más revolucionarias para recuperar la sonrisa en tiempo récord.

Un implante dental es una prótesis hecha de titanio que se inserta en el reborde ósea mediante cirugía para sustituir un diente estropeado o perdido. En el caso de los implantes de carga inmediata, la diferencia reside en que a la hora de colocar la prótesis, en vez de esperar los meses estipulados para el proceso de osteointegración, se coloca directamente una prótesis provisional. De ese modo, el paciente recupera la estética de forma casi inmediata.
¿Qué es mejor: un implante de carga inmediata o uno tradicional? Aquí empieza la decisión que puede cambiar tu sonrisa. Has perdido una o varias piezas dentales y ya estás dando el paso de ponerle solución. Pero justo cuando pensabas que ya estaba todo claro, te sueltan los dos términos que lo complican todo: implante de carga inmediata vs implante tradicional.
Y entonces te quedas con la duda que muchos no se atreven a decir en voz alta: ¿Cuál es mejor para mí? ¿Me lanzo con lo rápido o apuesto por lo seguro? La verdad es que no hay una única respuesta universal. Lo que sí hay es algo que tú necesitas ahora: claridad.
En este artículo, te explicaremos de forma sencilla y directa:
- Qué diferencia a un implante de carga inmediata de uno convencional.
- Cuándo conviene uno u otro.
- Qué riesgos, beneficios y tiempos debes tener en cuenta.
- Y lo más importante: cómo saber cuál se ajusta mejor a tu caso real, a tu boca, a tu ritmo de vida.
Porque no hablamos solo de estética. Hablamos de salud, funcionalidad y confianza. Y tomar la decisión adecuada puede marcar la diferencia entre una sonrisa que te cambia el día… o un tratamiento que no encaja contigo.
Este artículo no es solo para informarte. Es para ayudarte a elegir bien, con criterio, con respaldo y con tranquilidad.
¿Qué Diferencia a un Implante de Carga Inmediata de Uno Normal?
Antes de ver cuál es mejor, lo primero que tenemos que hacer es entender en qué se diferencian. Porque aunque ambos cumplen la misma función (reemplazar de forma fija y duradera un diente que falta), el proceso y los tiempos cambian bastante.
La diferencia fundamental está en el tiempo que se espera para colocar la prótesis dental (lo que sería tu nuevo «diente visible») después de insertar el implante en el hueso. Uno se hace prácticamente en el mismo día. El otro necesita varias semanas o incluso meses antes de acabar el tratamiento.
Implante de Carga Inmediata: ¿En Qué Consiste y Cómo Se Coloca?
Este tipo de implante es ideal para quienes buscan resultados rápidos. El mismo día en que se coloca el implante en el hueso, también se coloca una prótesis dental provisional. Así puedes salir con sonrisa nueva desde la primera visita quirúrgica.
Lo más llamativo es que no hay que esperar varios meses para tener los dientes visibles. Esto ahorra tiempo, visitas y ese tiempo incómodo sin diente o con hueco. Pero no todo el mundo es candidato. Requiere de un buen volumen de hueso en la zona, una estabilidad adecuada del implante, y seguir al pie de la letra las recomendaciones del dentista para evitar cualquier movimiento.
Implante Dental Normal: Cómo Funciona el Proceso Tradicional
Los implantes tradicionales, también conocidos como de carga diferida, siguen un proceso más clásico. Primero se coloca el implante en el hueso, y se espera que este se fusionen de forma natural (osteointegración). Esta espera puede durar entre 2 y 6 meses, dependiendo del caso.

Durante ese tiempo, el cuerpo se encarga de consolidar bien el implante para tener una base sólida y segura antes de colocar la prótesis final. Aunque el proceso es más largo, suele ser la opción recomendada en casos complejos o cuando la calidad ósea no es la ideal.
Las principales diferencias que debes conocer antes de decidir:
- Tiempo: Con un implante de carga inmediata, puedes salir con dientes visibles desde el primer día. Con uno tradicional, puede tardar varios meses.
- Condición del hueso: La carga inmediata necesita más estabilidad desde el principio. El tradicional permite más flexibilidad en pacientes que han perdido hueso.
Ventajas y Desventajas Reales de Cada Opción
Aquí es donde la balanza empieza a inclinarse según lo que más te importe: rapidez, estética, estabilidad o presupuesto. No todo es blanco o negro, cada opción tiene puntos fuertes y débiles que debes conocer.
Lo Bueno y Lo Malo de un Implante de Carga Inmediata
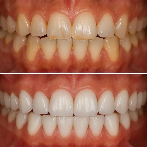
Los implantes de carga inmediata tienen una gran ventaja: vas directo a la sonrisa. Te colocan el implante y la prótesis provisional el mismo día. Esto los convierte en una opción muy buscada por temas estéticos. También suelen producir menos molestias postoperatorias y un tiempo de recuperación más corto.
Es ideal para personas que quieren evitar largos procesos. ¿Lo no tan ideal? No se recomiendan en casos con poca calidad ósea, ni en pacientes que no podrán cuidar el implante los primeros días. Requieren compromiso y seguimiento.
Qué Tener en Cuenta Si Eliges un Implante Tradicional
El proceso de implantes tradicionales puede parecer más lento, pero tiene su porqué: al esperar a que el cuerpo se adapte al implante, se logra una base muy sólida. Esto es clave si tienes pérdida de hueso importante, si tus encías están retraídas o si has tardado muchos años en decidirte. Es una opción más “segura” en términos clínicos. Eso sí, hay que ser paciente. El proceso se extiende en el tiempo y puede haber más citas. Y durante ese tiempo, la estética se trabaja con soluciones provisionales.
¿Dolor, Cuidado o Duración? Comparamos Lo Que Más Te Importa
- Dolor: Ambos procedimientos se hacen con anestesia local, por lo que no hay diferencia notable. Lo que cambia es cómo te recuperas: con la carga inmediata, al tener menos manipulación, a veces molesta menos.
- Cuidado: Los dos tipos requieren higiene absoluta y seguir al pie de la letra las instrucciones del dentista. No es negociable. Pero en la carga inmediata hay menos margen de error los primeros días.
- Duración: Ambos implantes, si se hacen bien y se cuidan, pueden durar 15 o 20 años o incluso más. El éxito a largo plazo no depende tanto del tipo, sino de quién te los pone y cómo tú los mantienes.
Implantes Dentales: ¿de qué materiales están hechos y cuáles son los mejores?
¿Cuál es Mejor Para Ti Según Tu Caso?
Esta es la gran pregunta. Y la respuesta es sencilla: depende de ti. De cómo esté tu boca, de cómo sea tu salud general, y, por supuesto, de cuánto te urge tener resultados visibles.
No hay una única opción que funcione para todos. Por eso, es importante valorar cada caso como único. Aquí te dejamos algunas claves que deberías tener en cuenta junto con tu dentista.
Factores Como Hueso, Salud General y Urgencia
Si tienes buen volumen óseo, no fumas y tu estado de salud general es bueno, probablemente puedes optar por implantes de carga inmediata. Por otro lado, si has perdido hueso, ya has llevado prótesis removibles durante años, o tienes alguna enfermedad sistémica, quizás la opción tradicional sea lo más seguro.
La urgencia también juega un papel. Si tienes un evento importante pronto (una boda, una entrevista, un viaje), la carga inmediata podría ser lo que necesitas.
¿Buscas Rapidez o Prefieres Ir Con Calma?
Muchos pacientes llegan apurados, buscando resultados ya. En estos casos, los implantes de carga inmediata suponen una solución rápida y estética sin pasar por meses de espera.
Otros prefieren ir con calma. Esperar a que el hueso esté perfecto, asegurarse de que todo ha cicatrizado bien. Son procesos diferentes, pero ambos válidos.
Nuestra recomendación siempre será: escoge lo que puedas mantener a largo plazo y con lo que te sientas seguro. Porque esto no es solo estética. Es salud.
Lo Que Realmente Influencia La Decisión Final
Hay tres cosas clave: calidad del hueso, tu estado general de salud y tus expectativas personales. Nadie puede decidir por ti sin conocer estos detalles.
También influye tu compromiso con el cuidado postoperatorio. Algunos pacientes no quieren complicarse, pero otros son muy responsables y pueden seguir las indicaciones al pie de la letra.
Fundamentos de los Implantes de Carga Inmediata
Los implantes de carga inmediata, también conocidos como «implantes en el mismo día» o «dientes en un día», son procedimientos dentales de vanguardia diseñados para proporcionar a los pacientes nuevos dientes en una única cita. La diferencia principal entre los implantes de carga inmediata y los tradicionales radica en el tiempo de espera para la osteointegración, el proceso por el cual el implante se fusiona con el hueso.

Mientras que los implantes tradicionales requieren este periodo de espera, los implantes de carga inmediata aprovechan la estabilidad inicial del implante para permitir su carga inmediata.
Procedimiento de los Implantes de Carga Inmediata
- Consulta y evaluación inicial: Evaluación de la salud oral y general del paciente para determinar la idoneidad para el procedimiento.
- Planificación del tratamiento: Uso de imágenes digitales y planificación 3D para diseñar un plan de tratamiento personalizado.
- Colocación del implante: El procedimiento comienza con la extracción del diente dañado, en caso de ser necesario, para preparar el camino para el nuevo implante.
- Fijación de la prótesis temporal: Colocación de una corona o puente temporal sobre el implante, diseñado para estética y función inmediatas pero con cargas oclusales controladas.
- Periodo de curación: Aunque los pacientes pueden volver a la normalidad casi de inmediato, se recomienda un cuidado especial para asegurar la integración óptima del implante.
- Revisión y colocación de la prótesis definitiva: Tras la colocación del implante dental, se lleva a cabo una evaluación detallada de la osteointegración.
Ventajas y Desventajas de los Implantes de Carga Inmediata

Ventajas
- Restauración inmediata: Los pacientes obtienen dientes nuevos el mismo día del procedimiento, lo que les permite retomar su vida normal con una sonrisa completa casi de inmediato.
- Tiempo de tratamiento reducido: Comparado con los implantes tradicionales, el tiempo total desde la colocación del implante hasta la restauración final es significativamente menor.
- Preservación del hueso y tejidos blandos: La colocación inmediata del implante ayuda a mantener la altura y densidad del hueso, así como la integridad de los tejidos blandos circundantes.
- Estabilidad y función inicial excelente: Los implantes de carga inmediata ofrecen una solución segura y estable, permitiendo una adaptación rápida por parte del paciente.
- Resultados predecibles: Con una planificación adecuada y una ejecución precisa, los implantes de carga inmediata tienen altas tasas de éxito y satisfacción del paciente.
- Estética: Probablemente la mayor ventaja con la que cuentan los implantes de carga inmediata sea que permiten mantener mejor la estética del paciente.
- Mejora en la adaptación: Al contar con prótesis provisional fija, se facilita el proceso de adaptación a la prótesis definitiva.
Desventajas
- Selección del paciente: No todos los pacientes son candidatos para implantes de carga inmediata, ya que el éxito depende en gran medida de la calidad y cantidad de hueso disponible, así como de la salud general del paciente.
- Riesgo de fallo del implante: Aunque es bajo, existe un riesgo incrementado de fallo del implante si no se logra la estabilidad primaria adecuada durante la cirugía.
- Coste: El coste de los implantes de carga inmediata puede ser más alto en comparación con los implantes tradicionales, debido a la tecnología avanzada y los materiales utilizados.
- Necesidad de cuidado postoperatorio específico: Los pacientes deben seguir estrictas instrucciones postoperatorias para asegurar el éxito del implante, lo que puede incluir limitaciones dietéticas y en la actividad física.
- No todos los pacientes pueden optar a este tratamiento: Fumadores, pacientes con enfermedades periodontales o una masa ósea insuficiente, diabéticos… no podrán optar por los implantes de carga inmediata.
- No se pueden masticar alimentos duros: Es importante que tengas esto claro: si no cuidas la prótesis de carga inmediata, se puede romper.
- Inversión: Como es lógico, el precio de los implantes de carga inmediata se suma al precio de la prótesis definitiva.
Tabla Comparativa: Implantes de Carga Inmediata vs. Tradicionales
| Característica | Implantes de Carga Inmediata | Implantes Tradicionales |
|---|---|---|
| Tiempo de Tratamiento | Más corto (dientes en un día) | Más largo (varios meses) |
| Estética | Restauración inmediata | Requiere prótesis provisional |
| Costo | Generalmente más alto | Generalmente más bajo |
| Requisitos del paciente | Buena calidad y cantidad de hueso | Más flexible en casos de pérdida ósea |
| Riesgo de fallo | Ligeramente mayor al inicio | Menor una vez integrado |
| Cuidado Postoperatorio | Más estricto | Menos estricto |