La estética dental ha ganado gran importancia en la sociedad actual, donde la sonrisa se considera un factor clave en la apariencia general. Si bien la función oral y dental pueden cumplirse con dientes mal alineados, una sonrisa atractiva requiere una correcta disposición y alineación de los dientes.
En ortodoncia, la estética dental siempre ha sido un factor importante para valorar el resultado del tratamiento. Frases como «el arte de la sonrisa» o «una mejor estética» se han vuelto comunes en la literatura dental y ortodóncica, reemplazando términos como irregularidad dentaria o dientes feos.
Actualmente, los planes de tratamiento ortodóncico combinan la estética, la biología y la función como componentes iguales. La posición e inclinación de los incisivos centrales superiores son clave en la cefalometría y en los planes de tratamiento ortodóncicos convencionales.
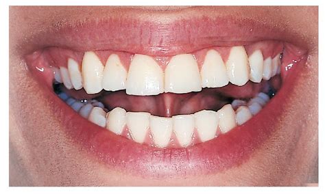
Los incisivos centrales superiores son los dientes más prominentes de la arcada y su inclinación es un parámetro importante en la estética. En odontología general y prótesis dental, la valoración de la inclinación de los dientes anterosuperiores se realiza evaluando la superficie vestibular del incisivo central superior en relación con el plano oclusal posterior. En general, la superficie vestibular de los incisivos centrales superiores debe ser perpendicular al plano oclusal, lo que permite la máxima reflexión de la luz directa sobre la superficie vestibular de los incisivos centrales superiores, aumentando su apariencia estética.
En ortodoncia, la inclinación de los incisivos centrales se suele determinar mediante la telerradiografía lateral. Los ortodoncistas actuales evalúan a los pacientes en 3D, considerando tanto aspectos estáticos como dinámicos de la cara y la dentición.

Estudio sobre la Inclinación de los Incisivos y la Reflexión de la Luz
Un estudio reciente examinó la correlación entre la inclinación de los incisivos centrales, medida mediante telerradiografía lateral, y la zona de reflexión observada en fotografías intraorales anteriores de los dientes. El estudio se basó en las siguientes observaciones:
- Las zonas de reflexión de la luz sobre la superficie vestibular de los incisivos y/o la encía cambian entre los registros iniciales y finales en la mayoría de los casos.
- Estas zonas difieren de paciente a paciente, incluso con protocolos similares.
- Las zonas de reflexión de la luz sobre la superficie vestibular de los incisivos centrales suelen moverse durante el tratamiento.
- En la mayoría de los registros finales, las zonas de reflexión de la luz de los pacientes con sonrisas bonitas o atractivas se encuentran fundamentalmente sobre el tercio gingival o tercio mediovestibular de los dientes.
- En la mayoría de los pacientes de ortodoncia, la zona de reflexión de la luz migra a lo largo de la superficie vestibular de los dientes desde una posición más oclusal a una posición más gingival.
- En las fotografías de portadas del American Journal of Orthodontics and Dentofacial Orthopedics (AJODO), la zona de reflexión de la luz de las figuras sonrientes aparece por encima de la línea media horizontal de las coronas de los incisivos superiores.
- La observación de fotografías de personas con sonrisas bonitas en periódicos o revistas revela que la zona de reflexión de la luz sobre los incisivos centrales suele encontrarse en la zona mediovestibular o gingival.
Se recogieron fotografías intraorales anteriores de 108 pacientes no tratados y se dividieron los incisivos centrales superiores verticalmente en tres zonas: incisal (A), media (B) y gingival (C). Dos investigadores dividieron las fotografías en tres grupos según la zona de reflexión de la luz.

Un investigador trazó las telerradiografías laterales de los 65 pacientes y se examinaron las siguientes mediciones: incisivos superiores a silla-nasion (UI/SN), incisivos superiores a Frankfort horizontal (UI/FH) e incisivos superiores a nasion-punto A (UI/NA), todo ello en grados. Las mediciones se dividieron en tres categorías.
Se calcularon las frecuencias y porcentajes que comparaban las tres categorías de las inclinaciones de los dientes determinadas por los trazados cefalométricos (I, II, o III) y la localización de las zonas de reflexión de la luz (A, B o C). La correlación entre la inclinación dentaria y la zona de reflexión de la luz se evaluó mediante la prueba chi cuadrado.
Resultados del Estudio
Los resultados del estudio mostraron una correlación significativa entre la inclinación de los incisivos y la zona de reflexión de la luz:
- UI/FH: Los casos con proclinación mostraron reflexión en la zona incisal, los casos con inclinación normal mostraron reflexión en la zona media, y los casos con retroclinación mostraron reflexión en la zona gingival.
- UI/SN: Resultados similares a UI/FH, con una correlación significativa entre la inclinación y la zona de reflexión.
- UI/NA: También se observó una correlación significativa, aunque con un acuerdo moderado entre los parámetros.
La tendencia mundial hacia una mayor importancia de la estética facial ha retado a la odontología en todos los campos y especialidades. Aunque la estética dental en ortodoncia ha sido siempre reconocida como un parámetro clave a la hora de valorar los resultados del tratamiento, lo que siempre ha sido incuestionable es la función.
La estética es el resultado de muchos parámetros, algunos conscientes y otros subconscientes. No existe en conocimiento de los autores ningún trabajo en el que se haya discutido la zona de reflexión de la luz sobre los incisivos superiores como parámetro de estética dental y facial. A fecha de hoy tan sólo podemos especular que es un parámetro que tiene cierta importancia, su verdadero valor se pondrá de manifiesto con mayor precisión en el futuro.
Orientación Axial de los Dientes y su Impacto en la Sonrisa
En una sonrisa atractiva, los dientes anteriores están orientados de tal manera que sus ejes longitudinales discurren de forma continua desde la línea media hacia la zona de los dientes posteriores. A su vez, los dientes anteriores superiores están ligeramente inclinados hacia mesial. Finalmente, los labios conforman el marco de la composición estética.
Normalmente, el eje de los incisivos centrales está ligeramente inclinado hacia distal en dirección apical con respecto a la línea media. La orientación labiolingual de los incisivos centrales es ideal desde el punto de vista estético cuando la superficie labial discurre verticalmente o está ligeramente inclinada hacia labial. El recorrido exacto puede variar individualmente en función del tipo esquelético y del perfil facial.

En los incisivos laterales se observa que la inclinación distal en dirección apical se hace más acusada a partir de la mitad del diente. Además, en la mayoría de las personas con una sonrisa naturalmente bonita, la orientación axial mesiodistal y anteroposterior de los incisivos laterales está dispuesta asimétricamente.
Los caninos tienen tendencia a estar aún más inclinados hacia distal, si bien sólo desde la perspectiva facial. Vista desde el lado, su eje longitudinal presenta una orientación desde vertical hasta ligeramente distal en la arcada dentaria. Al evaluar su recorrido axial, lo mejor es orientarse por los rasgos faciales relevantes. En la mayoría de las personas, el eje del canino discurre en paralelo a la línea imaginaria entre la comisura de la boca y el ángulo del ojo al sonreír.

Zonas de Contacto y Puntos de Contacto Interdentales
Se entiende por zona de contacto interdental aquella zona en la que los dientes contiguos parecen tocarse entre sí. En el segmento anterior superior se van acortando desde los incisivos centrales hacia los caninos, idealmente en la proporción 50:40:30 en relación con la longitud de la corona de los incisivos centrales.
En otras palabras, la zona de contacto entre los incisivos centrales es del 50%; entre los incisivos centrales y laterales, del 40%, y entre los incisivos laterales y los caninos, del 30% de la longitud del incisivo central.

El punto de contacto interdental se encuentra allí donde termina la zona de contacto interdental y empieza el espacio interdental incisal. Los puntos de contacto interdentales ascienden apicalmente desde los incisivos centrales hacia la zona de los dientes posteriores.
En caso de dientes excesivamente largos, puede ser conveniente alargar la zona de contacto, a fin de reducir en lo posible las distancias. Además, si no es posible crear una papila lo suficientemente larga, se puede alargar la zona de contacto hacia apical a fin de cerrar el espacio interdental cervical abierto.
Espacios Interdentales Incisales
Cuando se abre la boca al hablar o sonreír, se hace visible entre los bordes incisales de ambas arcadas dentarias el espacio negro de la cavidad oral. Este contraste con los dientes mejora el aspecto de los espacios interdentales incisales. La interacción entre luz y sombra a lo largo de la arcada dentaria superior constituye un requisito esencial para una sonrisa bonita y natural.
El espacio interdental incisal es más pequeño y anguloso entre los incisivos centrales. En virtud de la estructura simétrica de estos dos dientes, se crea así un triángulo isósceles con un ángulo vertical apical agudo. El espacio interdental incisal entre el incisivo central y el lateral es mayor y menos agudo. Unos incisivos centrales relativamente simétricos y unos incisivos laterales relativamente asimétricos favorecen el aspecto estético de la sonrisa.

El espacio interdental incisal es más grande entre el incisivo lateral y el canino. En las mujeres, este triángulo tiende a presentar características distintas a las que se observan en los varones: el recorrido del borde incisodistal de los incisivos laterales discurre más redondeado, de modo que el espacio interdental se ensancha hacia el canino.
Los espacios interdentales también pueden influir en la longitud y la anchura percibidas de los dientes y en el aspecto de los bordes incisales. Por medio de modificaciones de las formas de los bordes incisales pueden estrecharse o ensancharse visualmente los dientes. A su vez, los dientes con recorridos de bordes mesioincisales y distoincisales especialmente redondeados parecen más largos de lo que en realidad son.
Las arcadas dentarias anteriores con espacios interdentales incisales marcados parecen más estrechas. A la inversa, si el desgaste de los dientes está tan avanzado que faltan los espacios interdentales incisales, se crea la impresión de una línea recta y el segmento de los dientes anteriores parece más ancho.
La belleza no es sólo objetiva. Quien pretenda configurar una sonrisa natural deberá tener en cuenta también el carácter individual y el estilo de vida del paciente. Sobre esta base, el odontólogo y su equipo deben aplicar sus aptitudes artísticas y sus percepciones subjetivas personales. Las fuerzas creativas que se liberan en este proceso convierten cada caso en una particularidad gratificante y aportan una diversidad beneficiosa en el día a día odontológico.
Dado que no hay dos personas idénticas en cuanto a aspecto y carácter, cada prótesis dental debería confeccionarse a la medida de las necesidades y características específicas del individuo. Esta nota personal es especialmente importante en la zona de los dientes anteriores. En una época en la que los pacientes se interesan cada vez más por la odontología estética, resulta obvio que debemos sondear más a fondo el conjunto de reglas de la estética.
Para evaluar qué es lo que constituye una sonrisa «bonita» es útil observar los contornos interiores y exteriores de las estructuras implicadas. Para dibujar, los artistas utilizan un marco definido con contornos aproximados y puntos de orientación imaginarios, de modo que todos los elementos del dibujo presentan tanto una relación interna como una relación con el marco. El mismo principio se aplica a la odontología estética.
También nosotros deberíamos orientarnos por «marcos»: los rebordes marginales y las inclinaciones axiales para el diente individual, el margen gingival para la arcada dentaria, los labios para unión dentogingival. El rostro constituye el marco propiamente dicho para la interacción de los dientes naturales o restaurados con los demás elementos mencionados. Es en el rostro donde la sonrisa halla su verdadera expresión.
Además debemos diferenciar entre estructuras anatómicas «estáticas», como los dientes y la encía, y estructuras «dinámicas», como los labios y la musculatura facial. Para el aspecto de la sonrisa debemos orientarnos, además de por determinados puntos de referencia fonéticos, por diversas líneas imaginarias: la línea media dental, la línea media facial, la línea labial, la línea de la comisura y la línea interpupilar. Todas estas líneas se encuentran en una relación determinada entre sí. Nunca deberían considerarse aisladamente, sino que deben entenderse como expresión integral de la composición conjunta y de la personalidad individual. La sonrisa sólo resulta armoniosa si reinan unas proporciones equilibradas entre estas líneas y estructuras anatómicas. Es posible mejorarla modificando estas proporciones, explotando hábilmente efectos e ilusiones ópticos y optimizando la disposición de los dientes, la encía y los labios. Quien desee comprender perfectamente estos elementos y relaciones debe analizar esmeradamente y con atención al detalle todos los aspectos ópticos que determinan la apariencia de los dientes.
El principal objetivo de toda rehabilitación de la dentición consiste en crear, de conformidad con el paciente, un estado de los dientes lo más natural posible. Los incisivos centrales superiores desempeñan un papel especialmente importante cuando se trata de establecer a partir de la distribución de formas y tamaños la impresión visual del segmento de los dientes anteriores. Las formas desproporcionadas -esto es, cuando los dientes son demasiado largos, cortos, anchos o estrechos con respecto a las proporciones generales- pueden perturbar la armonía facial.
¿SONRISA INCLINADA? 📐 Se llama CANTEO OCLUSAL y TIENE SOLUCIÓN
tags: #inclinacion #axial #de #los #dientes