Si has notado un agujero en la encía del que sale pus, es normal que te preocupes. Como odontólogo, he visto a muchos pacientes en esta situación y entiendo el temor que puede generar. Quiero ayudarte a comprender qué significa ese agujero con pus en la encía, por qué aparece, cómo aliviarlo y, sobre todo, cómo tratarlo de forma adecuada para que recuperes la salud de tu boca.
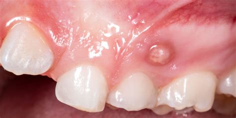
Un “agujero” en la encía con pus suele indicar la presencia de una infección dental que ha encontrado camino de salida. Generalmente corresponde a lo que llamamos una fístula dental o un absceso gingival. Imagínate que dentro de la encía hay una acumulación de pus (un absceso). Cuando la presión interna sube, el organismo a veces crea un canal de alivio (fístula) para expulsar ese pus. Esto se manifiesta como un bultito o orificio en la encía que puede supurar líquido amarillo o blanquecino (pus) y deja un mal sabor en la boca. Importante: un agujero con pus no es normal y siempre indica una infección activa. Puede estar asociado a un diente con caries profunda infectada, a una periodontitis avanzada (infección de las encías) u otras causas que veremos enseguida. Aunque a veces no duela mucho en el momento (porque el pus al salir alivia presión), no debes ignorarlo.

Representación de un absceso dental y una fístula.
Causas de la Infección Ósea y de Encía
Existen varias causas por las que puede aparecer una fístula o absceso en la encía.
Caries Dental No Tratada
La caries dental no tratada es la causa número uno de abscesos. Cuando una caries avanza hasta el nervio del diente, las bacterias infectan la pulpa dental (la parte viva del diente). Esta infección puede propagarse hasta la raíz y el hueso, formando un absceso periapical. Por ejemplo, un molar con caries grande puede derivar en un “flemón” (infección con hinchazón de encía o cara) y luego en una fístula que supura.
Enfermedad de las Encías (Periodontitis)
Otra causa frecuente es la enfermedad de las encías. La gingivitis no tratada puede progresar a periodontitis, que ocasiona destrucción del soporte del diente. En una periodontitis avanzada se forman bolsas periodontales (espacios profundos entre el diente y la encía) donde se acumulan bacterias. En estos casos el agujero en la encía con pus aparece cerca de la bolsa infectada. Suele ocurrir en personas con encías inflamadas crónicamente, sangrado frecuente y quizás movilidad dental.

Fases de la periodontitis: desde la gingivitis hasta la periodontitis avanzada.
Muelas del Juicio (Terceros Molares)
Las muelas del juicio (terceros molares) parcialmente erupcionadas pueden dar problemas. Si una muela del juicio queda a medio salir y cubierta en parte por encía, es fácil que se acumulen restos de comida y bacterias bajo ese colgajo de encía. Esto provoca una infección llamada pericoronitis, que puede formar pus. Además, las muelas del juicio inclinadas o retenidas pueden desarrollar caries en la muela de al lado y desencadenar igualmente un absceso. Por su posición tan atrás, es común no limpiarlas bien y favorecer la infección.
Traumatismos e Infecciones Post-Extracción
Aunque menos común, un golpe o herida en la encía puede llevar a una infección si las bacterias aprovechan esa puerta de entrada. Por ejemplo, clavarte una espina o cepillarte muy fuerte causando una herida. Esa lesión puede infectarse y generar un absceso localizado. También puede ocurrir tras una extracción dental complicada: normalmente la encía cicatriza formando un coágulo en el alveolo (hueco) del diente extraído. Pero si ese coágulo se pierde o se infecta (una condición llamada alveolitis), puede haber supuración.
Factores Generales de Salud
Factores generales de salud pueden agravar la situación. Por ejemplo, pacientes diabéticos o inmunodeprimidos son más propensos a infecciones bucales más severas. Aunque la diabetes por sí sola no “crea” un agujero, sí dificulta la curación y puede empeorar una infección periodontal o endodóntica, facilitando que aparezcan abscesos con drenaje de pus.
🦷 ¿Qué es la Periodontitis o Piorrea? La enfermedad de las encías
Síntomas de un Absceso o Fístula en la Encía
Reconocer los síntomas de un absceso o fístula en la encía es importante para actuar pronto.
- Supuración de pus: Es el signo más evidente. Puedes ver salir un líquido amarillento, blanco o verdoso con mal sabor desde el agujero en la encía. A veces lo notas al presionar la encía o espontáneamente al cepillarte.
- Bulto en la encía: Muchas veces se forma una pequeña protuberancia como un granito o flemón sobre la encía. Puede ser blanco, amarillento o rojizo.
- Dolor o sensibilidad: Un absceso dental suele causar dolor de muela intenso, punzante y constante. Sin embargo, a veces el dolor disminuye en cuanto el pus logra drenarse por la fístula (lo cual no significa que esté curado, ojo).
- Enrojecimiento e hinchazón: La encía alrededor estará inflamada, enrojecida y puede sangrar con facilidad.
- Mal aliento y mal sabor: La presencia de pus e infección suele provocar halitosis (mal aliento) y un sabor desagradable en boca.
- Fiebre o malestar general: En infecciones más avanzadas, el cuerpo puede responder con fiebre, ganglios inflamados en el cuello y sensación de decaimiento. Una infección dental seria puede afectar a todo el organismo.
¿Y si no hay dolor? A veces la fístula aparece sin mucho dolor porque el pus al salir reduce la presión que causaba el dolor. Puedes simplemente notar el agujerito o un bulto indoloro. Esto no es motivo para ignorarlo; aunque no duela, la infección sigue ahí.

Síntomas comunes de un absceso dental.
Complicaciones de una Infección No Tratada
Tener un agujero en la encía que supura pus siempre debe tomarse en serio. Implica que hay una infección bacteriana activa en tu boca. Si no se trata correctamente, esa infección puede expandirse o agravarse.
- Propagación de la infección: Las bacterias pueden extenderse al diente adyacente, a otras partes de la encía e incluso a hueso maxilar.
- Daño al hueso y pérdida dental: Un absceso crónico puede ir destruyendo el hueso que rodea al diente infectado. Con el tiempo, esto puede hacer que el diente quede suelto. Además, si la infección viene de una caries muy profunda, es posible que el diente ya no se pueda salvar y haya que extraerlo.
- Quiste dental: En abscesos de larga evolución, el cuerpo a veces encapsula la infección formando un quiste en el hueso maxilar. Este quiste puede crecer y dañar estructura ósea.
- Dolor y molestias constantes: Aunque momentáneamente el dolor ceda al drenar, la infección persiste y puede volver a formar absceso, con episodios repetitivos de dolor agudo.
- Complicaciones serias (raras pero posibles): En casos extremos, un absceso sin tratar podría derivar en un flemón difuso en cara/cuello, dificultando tragar o respirar, o incluso en una septicemia (infección generalizada).
No queremos asustarte, pero es nuestro deber decirte que sí pueden ocurrir complicaciones graves si se deja pasar el tiempo. No, no es algo que “se curará solo” ni que convenga dejar pasar. Debes acudir al dentista lo antes posible para atajar la infección y evitar todas estas consecuencias.
Tratamiento de la Infección Ósea y de Encía
Ante un absceso o fístula en la encía, el manejo incluye aliviar los síntomas en casa temporalmente y, sobre todo, tratamiento profesional por el odontólogo.
Medidas Temporales en Casa
- Enjuague con agua tibia y sal: Es el remedio casero por excelencia. Mezcla media cucharadita de sal en un vaso de agua tibia y enjuaga suavemente la boca, haciendo énfasis en la zona afectada, durante 30 segundos. Repite esto unas 2-3 veces al día. La solución salina ayuda a “tirar” de la infección, promueve el drenaje del pus y reduce la inflamación.
- Infusión de manzanilla o tomillo: Preparar una infusión (té) de manzanilla y usarla fría o tibia como colutorio también puede calmar la encía. Estas hierbas tienen propiedades ligeramente antiinflamatorias y antisépticas suaves.
- No pinches ni exprimas la fístula: Aunque ver ese punto de pus puede ser tentador para “reventarlo”, no te recomiendo andar pinchando la encía por tu cuenta. Si el absceso ya drena solo, déjalo drenar con los enjuagues. Si no drena, será tu dentista quien lo haga de forma segura.
- Analgésicos de venta libre: Si tienes dolor, puedes tomar un analgésico como ibuprofeno o paracetamol siguiendo las dosis indicadas. Estos medicamentos ayudan a controlar el dolor y bajan algo la inflamación, haciéndote más llevadero el tiempo hasta el tratamiento definitivo.
- Higiene suave: Continúa cepillándote los dientes, pero con mucha suavidad en el área dolorida. Es importante que la placa bacteriana no siga acumulándose.
Estas medidas no eliminan la infección, solo ayudan a controlarla momentáneamente. Por eso, incluso si sientes algo de mejoría, no canceles tu visita al dentista.
Tratamiento Profesional por el Odontólogo
El tratamiento profesional busca eliminar la infección de raíz: limpiando la zona, drenando el pus y corrigiendo la causa (ya sea con una endodoncia, limpieza periodontal u otro procedimiento). Una vez hecho esto, el agujero en la encía irá cerrando solo en los días o semanas siguientes, al desaparecer la infección que lo mantenía abierto.
- Examen y radiografía: Primero identificaremos cuál es el diente o área infectada. Muchas veces la fístula nos indica el punto, pero con una radiografía confirmamos el origen del absceso (por ejemplo, se ve un ápice dental oscuro indicando infección en la raíz).
- Drenaje del absceso: La prioridad será drenar el pus acumulado. Si la fístula ya está abierta y supurando, muchas veces basta con aplicar presión suave o ampliar un poquito el conducto para que salga todo el pus. Si el absceso no ha drenado espontáneamente, el dentista realizará una pequeña incisión en la encía bajo anestesia local para abrirlo. Esto alivia rápidamente el dolor al liberar la presión.
- Limpieza de la zona infectada: Además del drenaje, hay que limpiar bien el foco. Si el origen es periodontal (encía), se hará una limpieza profunda de la bolsa periodontal afectada: se retira sarro y tejido infectado bajo la encía (curetaje o raspado).
- Tratamiento del diente causante: Cuando el problema viene de un diente con el nervio infectado, la solución suele ser una terapia de conducto radicular (endodoncia). Consiste en abrir un acceso en el diente, limpiar y eliminar la pulpa infectada, desinfectar bien los conductos y luego sellarlos. Esto elimina la fuente de infección dentro del diente y evita que se vuelva a formar pus. Tras la endodoncia, el diente normalmente se reconstruye con un empaste o corona. Si el diente estuviera destruido sin posibilidad de salvarse, habría que extraerlo.
- Antibióticos prescritos: Dependiendo de la gravedad de la infección, el dentista probablemente recetará un antibiótico. Por ejemplo, amoxicilina con ácido clavulánico, o clindamicina en alérgicos, son antibióticos comunes para abscesos dentales. ¡Ojo! Debes tomar el antibiótico exactamente como indique tu dentista y completar el tratamiento todos los días pautados, aunque a los dos días te sientas bien. Esto es vital para asegurarse de eliminar por completo las bacterias y evitar recaídas o resistencias.
- Tratamiento de soporte: Si tenías mucho dolor o inflamación, pueden indicarte además algún antiinflamatorio de farmacia durante unos días. En casos más avanzados (fiebre alta, afectación general) incluso se puede requerir administrar antibióticos vía intramuscular o endovenosa, pero eso solo en situaciones de emergencia hospitalaria.
Cuidados Posteriores al Tratamiento
- Mantén una excelente higiene oral: Cepilla suavemente el área tratada según las recomendaciones de tu dentista. Puede que te indiquen usar un colutorio antiséptico (por ejemplo, con clorhexidina al 0,12%) durante una o dos semanas para mantener la zona desinfectada mientras cicatriza.
- Alimentación adecuada: Los primeros días, opta por alimentos blandos y fáciles de masticar del lado contrario si aún está sensible. Evita comidas muy calientes, muy frías, picantes o duras que puedan lastimar la encía en proceso de curación.
- No fumar ni beber alcohol: El tabaco y el alcohol dificultan la cicatrización de los tejidos y pueden empeorar la inflamación. Lo ideal es que te abstengas al menos mientras dure la curación activa (y ojalá más, ¡tu salud bucal te lo agradecerá!).
- Tomar los medicamentos completos: Reitero la importancia de seguir tomando el antibiótico todos los días indicados, aunque ya no tengas síntomas, hasta terminarlo.
- Acudir a revisión: Tu dentista seguramente programará una visita de control. Ahí verificaremos que la infección ha desaparecido, la fístula esté cerrando y que el diente causante esté evolucionando bien (en caso de endodoncia, por ejemplo, se puede tomar otra radiografía de control más adelante).
Si notaras en días posteriores que vuelve el dolor fuerte, la hinchazón o que el pus no cesa, contacta de inmediato con tu odontólogo.
Prevención de Futuras Infecciones
Una vez superado el susto, querrás evitar que esto te vuelva a pasar.
- Higiene oral rigurosa: Cepíllate los dientes al menos dos veces al día con un cepillo de cerdas suaves y pasta dentífrica con flúor. Usa hilo dental o cepillos interdentales diariamente para limpiar bien entre los dientes y la línea de la encía, donde se acumula la placa. Un buen cepillado elimina las bacterias antes de que causen caries o infecciones.
- Visitas periódicas al dentista: Acude a tus revisiones odontológicas, idealmente cada 6 meses. En ellas podemos detectar a tiempo una caries incipiente (antes de que llegue a absceso) o una gingivitis antes de que sea periodontitis. Además, te realizaremos limpiezas profesionales para eliminar el sarro que no sale con el cepillado normal. Estas limpiezas previenen las enfermedades de encías.
- Tratar a tiempo las caries y problemas gingivales: Si notas un pequeño picor o molestia en un diente, o sangrado de encías frecuente, no lo dejes estar. Las caries pequeñas se arreglan con empastes simples; si esperas a que duela mucho, quizás ya esté infectado el nervio. Igual con las encías: si tienes gingivitis, un tratamiento a tiempo evita que evolucione a periodontitis.
- Alimentación y hábitos saludables: Reduce el consumo de azúcares y harinas refinadas, sobre todo entre comidas, ya que alimentan a las bacterias que causan caries. Llevar una dieta equilibrada, rica en frutas, verduras, proteínas y calcio, fortalece dientes y encías. Mantente bien hidratado. No fumes (el tabaco es enemigo número uno de las encías sanas) y limita el alcohol.
- Protección contra traumatismos: Si practicas deportes de contacto, utiliza protector bucal para evitar golpes que puedan lesionar dientes y encías.
Siguiendo estos consejos, disminuyes muchísimo las probabilidades de volver a experimentar un absceso dental.
¿Cuándo Buscar Atención Urgente?
Si bien quizá no sea una emergencia de salir corriendo al hospital (salvo que tengas fiebre alta o mucha inflamación en cara/cuello), sí requiere atención rápida por parte del dentista. Debes pedir cita lo antes posible, idealmente dentro de las primeras 24-48 horas de notar el problema. No esperes semanas. La infección puede expandirse o empeorar en poco tiempo.
Ante síntomas como dolor intenso, presencia de pus, fiebre o inflamación notable, es recomendable ser visto de inmediato.
¿Se Cura la Infección Solo con Remedios Caseros?
No, al menos no de forma definitiva. En casa solo puedes realizar medidas paliativas (enjuagues con agua salada, tomar analgésicos) que comentamos antes, las cuales ayudan a aliviar temporalmente los síntomas. Sin embargo, ningún remedio casero eliminará la causa de la infección ni sustituye el tratamiento profesional. Por ejemplo, los enjuagues caseros pueden drenar un poco el pus y darte alivio, pero la infección sigue ahí.