La búsqueda de una sonrisa perfecta es un objetivo común, y las carillas dentales se han convertido en una solución popular para lograrlo. Este tratamiento estético, que ha ganado fama entre celebridades como Íñigo Martínez, ofrece una transformación notable en la apariencia de los dientes. A continuación, exploraremos en detalle qué son las carillas dentales, el proceso de colocación y los beneficios que ofrecen.

¿Qué son las Carillas Dentales?
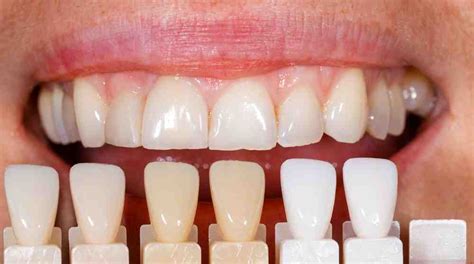
Las carillas dentales son láminas delgadas que se adhieren a la superficie frontal de los dientes para mejorar su apariencia. Estas láminas pueden estar hechas de porcelana o composite, y se utilizan para corregir una variedad de imperfecciones, como:
- Dientes manchados o descoloridos
- Dientes astillados o desgastados
- Dientes ligeramente torcidos o desalineados
- Espacios entre los dientes
El Proceso de Colocación de Carillas Dentales
El proceso de colocación de carillas dentales generalmente requiere varias visitas al dentista. A continuación, se describen los pasos típicos:
- Consulta Inicial: El dentista evalúa la salud bucal del paciente y discute las expectativas y objetivos del tratamiento.
- Preparación del Diente: Se retira una pequeña cantidad de esmalte dental para crear espacio para la carilla.
- Toma de Impresiones: Se toman impresiones de los dientes preparados para crear un modelo que se utilizará para fabricar las carillas.
- Fabricación de las Carillas: Las carillas se fabrican en un laboratorio dental utilizando porcelana o composite.
- Colocación de las Carillas: Una vez que las carillas están listas, se adhieren a los dientes utilizando un cemento dental especial.

Tipos de Carillas Dentales
Existen principalmente dos tipos de carillas dentales:
- Carillas de Porcelana: Ofrecen una apariencia más natural y son más resistentes a las manchas. También son más duraderas que las carillas de composite.
- Carillas de Composite: Son más económicas y se pueden colocar en una sola visita al dentista. Sin embargo, son menos duraderas y más propensas a las manchas.
Recomendamos para máxima estética, calidad y durabilidad los dientes fijos de circonio monolítico con escáner intraoral y tecnología 3D realizados en Propdental con escáner intraoral y cad cam digital.
Beneficios de las Carillas Dentales
Las carillas dentales ofrecen numerosos beneficios, incluyendo:
- Mejora significativa en la apariencia de la sonrisa
- Corrección de imperfecciones dentales
- Resultados de aspecto natural
- Durabilidad (especialmente las carillas de porcelana)
- Procedimiento mínimamente invasivo
Implantes Dentales: Una Alternativa para la Restauración Dental
Además de las carillas dentales, los implantes dentales son una excelente opción para quienes han perdido piezas dentales. Desde la colocación del implante hasta poner el diente definitivo suele transcurrir entre 4 a 6 meses para dar tiempo a que tu hueso agarre o integre el «tornillo». ¿Quieres conseguir tus implantes dentales? Pide aquí tu primera visita gratuita en tu clínica Propdental más cercana.

La primera visita de implantología con el Dr. Dario Vieira, radiografía 3d y presupuesto sin compromiso gratuito. En la primera visita que es gratuita te haremos un diagnostico y presupuesto sin compromiso, donde el Dr.
Testimonios de Pacientes Satisfechos
Muchos pacientes han compartido sus experiencias positivas con tratamientos dentales en clínicas como Propdental. Algunos testimonios incluyen:
- Alfonso Marjalizo Toledano: "Llevo un año y medio con ellos. El tratamiento fantástico!. El trato de todo el personal, ha sido siempre inmejorable! Gracias!"
- Sandra Gutierrez Manzanera: "Aconsejo 100x100 está clínica, me pusieron los implantes hace unas semanas y no puedo estar más contenta, tanto en el trato como con la delicadeza en ke me trataron..."
- Lourdes García: "Acabo d hacerme un tratamiento de implantes en toda la boca y desde el primer día me sentí acompañada y tranquila, algo muy importante cuando se trata de un tratamiento así."
Financiación y Facilidades de Pago
Lo que más duele, es no poder comer bien o sonreír a gusto. Por ello, en Propdental disponemos aparte de técnicas de sedación para que el miedo no sea un problema, también tenemos de facilidades de pago aplazado y financiación a medida de hasta 60 meses (bajo previa aprobación de entidad financiera) de manera que se te puedas permitirte pagar en cómodas cuotas el tratamiento que necesites.
El Misterio de la Sonrisa de la Princesa de Asturias
Cada una de sus apariciones se observa con especial atención, sus estilismos son analizados al milímetro y comentados hasta la saciedad, y su maquillaje, estudiado con detenimiento. No ha ocurrido así con su sonrisa, que a día de hoy sigue constituyendo todo un misterio desde que, hace ahora dos años, comenzara a especularse con los tratamientos que la princesa de Asturias podría haber llevado a cabo para lucir unos dientes blancos y perfectos. Fue en aquel momento cuando surgieron los rumores sobre los brackets correctores transparentes a los que habría recurrido para mejorar ostensiblemente su aspecto.
Según Darío Pereira, considerado el dentista de los famosos por tener entre sus pacientes a numerosos cantantes, presentadores, actores y modelos, los tratamientos a los que habría recurrido doña Letizia para lucir una dentadura perfecta consistirían en limpiezas frecuentes y blanqueamientos, con un mantenimiento contínuo. "Hay que tener en cuenta que tanto ella como el resto de miembros de la Familia Rea tienen que cuidar mucho su imagen, pero en general veo que todos ellos tienen una boca muy cuidada", confiesa a Vanitatis el odontólogo, que actualmente dirige la Clínica Propdentadl.
Pereira no se aventura, sin embargo, a asegurar que la princesa de Asturias recurriera a los consabidos brackets. "Podría ser, pero no lo puedo certificar a ciencia cierta porque no lo vi". En aquel momento, varios medios confirmaron que la esposa de don Felipe acudió a un especialista odontólogo en la Fundación Jiménez Díaz para que le fuera colocado un corrector invisible. Dicho tratamiento podría alcanzar los 5.000 euros, según el odontólogo de los famosos, que cuenta entre sus clientes con la actual Miss España, Andrea Huigsen, el cantante David Demaría, el locutor Tony Aguilar, el extriunfito Álex Casademunt, el bailarín Sergio Alcover, el presentador Ángel Llácer o la actriz Rocío Muñoz, así como políticos catalanes, algunos diplomáticos portugueses, humoristas y deportistas.
Pero, sin duda, lo que más solicitan estos personajes conocidos en su clínica son las carillas de porcelana, que oscilan entre 5.000 y 10.000 euros. "Los pacientes que más piden este tipo de tratamientos son las modelos y los actores", señala Pereira, que reconoce no obstante que los blanqueamientos también son muy requeridos. "Cuestan unos 200 euros, pero hay que tener en cuenta que antes de realizar este tratamiento hay que quitar la caries y el sarro. El blanqueamiento puede durar mucho, siempre y cuando se haga un mantenimiento en casa y se cuide la alimentación". En este sentido, el odontólogo aconseja beber vino blanco en lugar de tinto, y olvidarse del café y del tabaco. "Hay que pensar que nuestros dientes son como una camisa blanca. Todo lo que pueda manchar a ésta, perjudica a nuestra boca", concluye.
Carillas de Resina y Porcelana: Pros, Contras y Mi Experiencia.
Análisis Dental de Políticos Españoles
La sonrisa es un elemento fundamental de nuestra imagen, y los políticos lo saben. Un análisis detallado de las sonrisas de figuras políticas en España revela diversas características y tratamientos dentales.
- Pedro Sánchez: Muestra una sonrisa amplia con espacios oscuros en los laterales de su boca y una tendencia a clase II con sobremordida.
- Alberto Núñez Feijóo: Presenta una línea de sonrisa baja y una tendencia a clase III esquelética, con apiñamiento en los dientes inferiores.
- Santiago Abascal: Se observa una clase II dental con sobremordida y apiñamiento en los dientes inferiores, además de una línea de sonrisa baja.
- José Luis Martínez-Almeida: Muestra un labio superior corto, clase II marcada y dientes cortos con erupción pasiva alterada.
- Isabel Díaz Ayuso: Ha realizado mejoras estéticas en su sonrisa con alineadores invisibles, mostrando una línea de sonrisa alta.
- Gabriel Rufián: Tiene una clase II esqueletal con incisivos superiores retroinclinados y biotipo braquifacial.
- Yolanda Díaz: Presenta una compresión maxilar y ha optado por implantes dentales para reponer premolares ausentes.
- Irene Montero: Parece tener una clase II dentaria con compresión en la zona de los molares.
- Inés Arrimadas: Presenta una clase I con ligera asimetría en el labio superior y un desvío de la línea media superior.
- Ada Colau: Muestra desgastes en casi todas sus piezas dentales, posiblemente debido al bruxismo.
- Alberto Garzón: Tiene incisivos retroinclinados, una línea de sonrisa medio-alta y corredores bucales anchos.
- Íñigo Errejón: Presenta apiñamiento en la parte superior de su dentadura, biotipo facial dólico e incompetencia labial.

Conclusión
Las carillas dentales son una excelente opción para transformar tu sonrisa y corregir imperfecciones. Con una variedad de materiales y técnicas disponibles, es posible lograr resultados naturales y duraderos. Si estás considerando mejorar tu sonrisa, consulta con un dentista experimentado para determinar si las carillas dentales son adecuadas para ti.