Los estándares de belleza a menudo nos presentan una imagen idealizada de la perfección, incluyendo la dentadura. Sin embargo, muchas famosas han desafiado estas normas, manteniendo sus sonrisas únicas y demostrando que la belleza reside en la autenticidad. La actriz Kristen Stewart es conocida por sonreír poco, más bien nada. Pero lejos de querer ocultar sus dientes “imperfectos”, ella misma le explicó al cómico Jimmy Kimmel el motivo de tanta seriedad: “yo sí que sonrío, pero no cuando me lo mandan”.

Kristen Stewart en el Festival de Cannes 2019.
La Presión de la Perfección Dental
La sonrisa es una de las primeras cosas que notamos en una persona, y la presión por tener una dentadura perfecta puede ser abrumadora, especialmente para aquellos en el ojo público.
La configuración ideal de la dentadura puede experimentar muchos cambios como consecuencia de la edad, las deficiencias en la masticación-deglución o el desgaste óseo. A pesar de que los dientes están diseñados para que encajen perfectamente unos con otros, existen factores que pueden derivar en una pérdida de armonía. En una dentadura sana y perfectamente alineada, este no debería ser un problema habitual. Pero cuando se abren huecos entre los dientes o las encías se retraen, pueden surgir algunos contratiempos.
La mala mordida es el origen de otros problemas bucodentales como la protrusión dental, los diastemas o el apiñamiento de los dientes. Todos ellos suponen una pérdida de alineación que puede abrir huecos al amontonamiento de suciedad en determinados puntos de la dentadura.
Famosas que Rompen el Molde
Algunas celebridades han optado por no modificar sus dientes, abrazando sus "imperfecciones" y convirtiéndolas en parte de su encanto. Estas son algunas de ellas:
- Laetitia Casta: Se negó a cambiar sus dientes por la industria, sintiendo que arreglarlos implicaba no respetarse a sí misma.
- Kirsten Dunst: Se resistió a cambiar su sonrisa por puro instinto y recomendación de Sofia Coppola. El problema, también en su caso, eran los dientes. Colmillos demasiado afilados y torcidos, demasiada encía, dientes demasiado pequeños.
- Kristen Stewart: Conocida por no sonreír mucho, explica que lo hace solo cuando quiere, no cuando se lo ordenan.
- Aimee Lou Wood: Sorprendida por la atención que reciben sus incisivos característicos. Aimee Lou Wood, que ha debutado en la tercera temporada de White Lotus, aún no da crédito a la cantidad de atención que está recibiendo su sonrisa, con unos visibles incisivos haciéndola absolutamente característica. “No me puedo creer el impacto que están teniendo mis dientes”, confesaba en The Jonathan Ross Show. “Porque en América no se pueden creer que sean así”, añadía, ahora que se ha hecho muy famosa en el país donde las carillas son la norma.
- Kate Moss: Sus dientes desgarbados son parte de su sonrisa única. Los dientes desgarbados de Kate Moss, los incisivos de Kristen Stewart o las encías rosadas y prominentes de Margaret Qualley o Laetitia Casta pueden ser y son parte de una sonrisa preciosa, única, de ellas y solo de ellas.

Sonrisas auténticas de famosas.
Transformacion de Sonrisa 😁 *ANTES & DESPUES*
El Impacto de las Decisiones Personales
Estas decisiones no solo afectan la imagen pública de estas famosas, sino que también influyen en cómo la sociedad percibe la belleza. Al no ceder a la presión de la perfección, envían un mensaje poderoso sobre la autoaceptación y la autenticidad. Las mismas agallas y amor propio que Laetitia Casta, cuya negativa a modificar su cuerpo para ser “otra” no opera como ley, sino como una declaración 100% propia. Eres libre de querer ser como el resto, pero luego no te quejes si desapareces en el mar de lo idéntico.
No se trata de que estas modificaciones sean o no necesarias, tampoco que obedezcan al gusto propio, sino que al ser populares en demasía e ir haciéndose más “asequibles” convierten a los que deciden no abrazar esta estética en una minoría, un nuevo club de la resistencia. El objetivo quizá sería que hubiera más personalidad, más diferencias. Aquellos años noventa en los que cada estrella era única y solo se parecía a sí misma.
Alternativas y Tratamientos Dentales
Para aquellos que desean mejorar la apariencia de sus dientes, existen diversas opciones de tratamiento. Sin embargo, es crucial recordar que la decisión de someterse a cualquier procedimiento debe basarse en las necesidades y deseos personales, no en la presión externa.
Tratamientos comunes:
- Ortodoncia: Corrección de la alineación dental en casos de dientes separados, apiñados o torcidos.
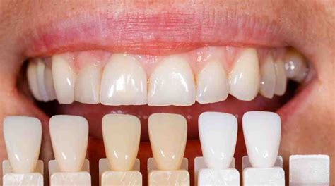
- Carillas dentales: Láminas que se colocan sobre las piezas dentales con alteraciones de color, esmalte o bordes inferiores. Pueden ser de porcelana o composite. Están por todas partes y en todas las sonrisas “de cine” y ahí es donde pierden, precisamente, parte de su utilidad y encanto.
- Blanqueamientos dentales: Para conseguir una sonrisa más blanca y brillante. Otro tanto ocurre con los tratamientos destinados a blanquear los dientes y que al ser, ahora, tan populares, han unificado las sonrisas de medio mundo.
- Gingivectomías: Reducción de encías para mejorar la estética de la sonrisa.
Tabla comparativa: Ortodoncia vs. Carillas Dentales
| Característica | Ortodoncia | Carillas Dentales |
|---|---|---|
| Duración del tratamiento | 2-3 años | Poco tiempo |
| Resultados | Permanentes | Duraderos (10+ años) |
| Objetivo | Corrección de la alineación | Mejora estética |
Importante: Siempre consulta a tu dentista de confianza antes de comprar pastas de dientes o productos que prometen un resultado milagroso. El daño causado podría luego no tener arreglo. “Hay que consultar siempre a tu dentista de confianza antes de comprar pastas de dientes o productos que prometen un resultado milagroso. El daño causado podría luego no tener arreglo”, concluye el doctor Gómez Lebrón.
La Belleza de lo Auténtico
“Unos dientes blancos pero con un aspecto natural son posibles. De hecho, nuestros trabajos más logrados son aquellos en los que los pacientes salen más favorecidos y con un aspecto infinitamente mejor sin que nadie se dé cuenta de que lo que ha mejorado son sus dientes”, afirma el doctor Gómez Lebrón.
Así ha sucedido con los labios jugosos (ahora legión), las narices perfiladas y los pómulos abultados y ahora ya casi picudos. Sonreír y enamorar es uno de los requisitos que ha de cumplir cualquier modelo o estrella del cine, el problema es cuando la sonrisa en cuestión ha de ser de una determinada manera, cuando aniquila cualquier resquicio de naturalidad, de herencia o genética propia. Aquello que convierte tu sonrisa en tuya y solo tuya: de un colmillo torcido a la adorable diastema (separación entre dos dientes). Una sonrisa bonita y que sea tuya es posible.

Ejemplo de carillas dentales.