La acumulación de placa y sarro en los dientes es una preocupación común entre quienes buscan una sonrisa más sana y brillante. Según Oral-B, la placa dental es una acumulación de bacterias y restos de comida que, si no se elimina con un cepillado adecuado, puede solidificarse y convertirse en sarro, lo que puede derivar en problemas de salud bucodental. Esta acumulación de suciedad afecta tanto a la estética de los dientes como a la salud dental, pues puede derivar en diferentes problemas como caries, periodontitis, gingivitis y halitosis.

¿Qué es el Sarro Dental?
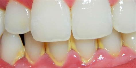
El sarro dental, también conocido como cálculo, es un depósito duro de color amarillento o marrón que se forma en los dientes. El sarro se forma cuando la placa bacteriana se endurece. Esta placa es una capa que se acumula sobre los dientes, compuesta por bacterias, saliva, restos de alimentos y células muertas. Su presencia es común en todas las personas. Está formado por partículas de comida, bacterias y otros microbios que se quedan atascados en nuestra boca y acaban calcificándose (endureciéndose).
Al ser más resistente que la placa, necesita una limpieza profesional. Aunque el cepillado diario es fundamental, solo un dentista o higienista dental puede eliminar el sarro. El sarro dental puede provocar la acumulación de placa y la enfermedad de las encías si no se trata.
Tipos de Sarro Dental
El sarro se presenta en dos formas: el sarro supragingival, que se forma por encima de la línea de las encías, y el sarro subgingival, que reside por debajo de la línea de las encías. Ambos deben ser eliminados cuidadosamente con herramientas de limpieza profesionales por un dentista o higienista cualificado.
Causas del Sarro Dental
La razón principal de la acumulación de sarro dental es una mala higiene bucal. La genética también puede desempeñar un papel en la formación del sarro dental. Si tienes antecedentes familiares de acumulación de sarro, puedes ser más propenso a contraerlo tú mismo. Además, algunos medicamentos pueden provocar sequedad en la boca, lo que puede conducir a una mayor acumulación de sarro. Algunas personas también tienen tendencia a generar sarro dental más fácilmente que otras.
Además de la higiene, tiene que ver con el pH de la saliva. Cuando las personas tienen altos niveles de acidez, son propensas a las caries. Y si la saliva tiene un pH más bajo, es más probable que desarrolle sarro. Otros alimentos que hacen que se forme más placa y se oscurezcan son el vino, el café y el té negro.
¿Cómo saber si uno tiene sarro dental?
Si ves manchas descoloridas en tus dientes delanteros que no parecen desaparecer con el cepillado, puede ser un signo de sarro dental. El sarro dental tiene el aspecto de manchas amarillentas o vetas de color marrón oscuro a lo largo de la línea de las encías o en cualquier zona donde se acumulen partículas de comida Otra forma de saber si tienes sarro dental es palpar alrededor de los dientes con la lengua. El sarro dental se sentirá áspero y abrasivo, a diferencia de una superficie lisa cuando no tienes sarro. La tercera forma de detectar el sarro dental es acudir a tu dentista para que te haga un examen profesional.
¿Cómo eliminar el sarro dental?
La primera forma de eliminar el sarro es mediante buenos hábitos de higiene bucal, como cepillarse los dientes y usar el hilo dental con regularidad. Cepillarse los dientes dos veces al día durante dos minutos cada vez debería ayudar a aflojar la acumulación de placa para que no se convierta en depósitos más duros de sarro. Usar el hilo dental al menos una vez al día ayuda a eliminar las partículas de comida y la placa de entre los dientes, que puede convertirse en sarro si no se limpia.
Si el cepillado regular y el uso del hilo dental no parecen funcionar, hay otras formas de eliminar el sarro dental. Las limpiezas profesionales dos veces al año con tu dentista o higienista pueden reducir significativamente la acumulación de sarro. Durante estas visitas, tu profesional dental utilizará instrumentos especiales para eliminar el sarro que haya por encima y por debajo de la línea de las encías y que puedas haber pasado por alto durante el cuidado en casa.

Raspado y Alisado Radicular
En algunos casos, tu dentista puede recomendar también un procedimiento llamado raspado y alisado radicular. Durante este proceso, se elimina el sarro de la superficie de los dientes y de debajo de la línea de las encías. Este tratamiento ayuda a reducir la inflamación y puede contribuir a mejorar la salud de las encías en las personas con una grave acumulación de placa o sarro.
En el caso de depósitos de sarro persistentes que no desaparecen con la limpieza habitual, tu dentista puede utilizar la tecnología láser para eliminarlos. Los láseres son muy precisos, por lo que pueden dirigirse sólo a la zona afectada sin dañar ninguna de las estructuras dentales sanas.
Remedios caseros para tratar el sarro dental
Hay algunos remedios caseros de eficacia probada que seguramente te ayudarán a eliminar el molesto sarro dental en poco tiempo. Uno de los tratamientos más comunes para el sarro dental es la pasta de bicarbonato de sodio, que disuelve los depósitos en los dientes y ayuda a eliminarlos sin tener que utilizar ningún producto químico fuerte. Para hacer esta pasta, sólo tienes que mezclar una cucharadita de bicarbonato de sodio con agua caliente hasta formar una pasta espesa. A continuación, cepíllate los dientes con la mezcla durante dos minutos antes de enjuagarte bien la boca con la mezcla.
Si la pasta de bicarbonato de sodio no es suficiente, entonces puedes probar a utilizar vinagre de sidra de manzana. Este remedio natural es ácido y puede ayudar a romper los depósitos de los dientes, ayudando a eliminarlos fácilmente. Sólo tienes que mezclar partes iguales de vinagre de sidra de manzana y agua en una taza, y luego utilizarlo como enjuague bucal durante dos minutos cada día, más o menos. Recuerda que no debes tragar esta mezcla.
Por último, si todo lo demás falla, siempre puedes probar el oil pulling con aceite de coco. Para este remedio casero, basta con hacer buches con aceite de coco en la boca durante unos 15-20 minutos por sesión. El aceite ayuda a eliminar las bacterias y la placa que quedan en los dientes y las encías, a la vez que los fortalece en el.
Sea cual sea el remedio que decidas probar, es importante recordar que ninguno sustituye a una higiene dental adecuada y a las revisiones periódicas con tu dentista. Así que asegúrate de cepillarte los dientes dos veces al día y de usar el hilo dental a diario, además de utilizar cualquiera de estos remedios caseros para el sarro dental.
Nº1 REMEDIO CASERO para ELIMINAR la PLACA, el SARRO y PREVENIR la CARIES
Bebidas Beneficiosas para Combatir el Sarro Dental
Una dieta equilibrada es clave para conseguir una sonrisa bonita y sana. Pero para ello, no solo hay que optar por alimentos saludables, sino que conviene conocer también cuáles son las bebidas que ayudan a mantener una boca sana. Estas bebidas pueden ayudarnos a prevenir patologías bucales frecuentes como la caries, la acumulación de placa, la erosión del esmalte, la hipersensibilidad dental, la sequedad bucal o enfermedades de las encías como la gingivitis y la periodontitis.
Estas son algunas de las bebidas más recomendables:
- Agua: Beber agua con frecuencia ayuda a eliminar cualquier resto de comida que pueda haber quedado en la boca. Al mismo tiempo, diluye los ácidos que producen las bacterias allí presentes. El agua, especialmente si es fluorada, contribuye a reforzar el esmalte y la dentina del diente.
- Leche: Los lácteos como la leche son alimentos ricos en calcio y vitamina D, nutrientes esenciales para el desarrollo de unos dientes fuertes. El calcio, el fósforo y la caseína que contiene la leche no solo ayudan a reforzar la dentadura, sino que inhiben el crecimiento de las bacterias en la boca e incluso pueden reparar los daños que estas causan en el esmalte dental.
- Té verde: Unos componentes antioxidantes llamados catequinas parecen ser los principales responsables de los beneficios del té verde. Estas han demostrado ser eficaces contra la acumulación de bacterias dañinas en la boca, la formación de sarro en los dientes y la acidez de la saliva. Gracias a su capacidad para controlar las bacterias presentes en la cavidad oral, las catequinas del té verde también nos protegen de la inflamación de las encías y combate el mal aliento.
- Zumos Vegetales: Los smoothies o zumos vegetales también pueden ser una excelente opción. Por lo general, los zumos más saludables son los que contienen sobre todo vegetales de hoja verde, ya que se trata de alimentos con un alto contenido en vitaminas B y K.

Es importante recordar que, si bien estas bebidas pueden complementar el cuidado de tu boca, no sustituyen una higiene dental adecuada. Cepillarse los dientes al menos dos veces al día y usar hilo dental siguen siendo fundamentales para mantener una boca sana y libre de sarro.
Agua con Limón: Un Remedio Casero Efectivo
Un estudio publicado en el 'International Journal of Advanced Health Science and Technology' ha señalado que el agua con limón puede ser una solución efectiva para reducir la placa y el sarro. El limón contiene ácido cítrico, que es un compuesto con propiedades antimicrobianas, con las cuales consigue hacer frente a las bacterias encargadas de la formación de sarro y placa, pero no solo sirve para este problema, sino que también elimina las manchas superficiales de los dientes, ayudando de esta manera a que recuperen su blanco natural.
¿Cómo usar el agua con limón?
El uso de la solución de limón y agua es muy sencillo, pues es suficiente con diluir el jugo de medio limón en un vaso de agua, para luego usarlo para hacer gárgaras o cepillar los dientes suavemente. Los expertos sugieren que este remedio puede aplicarse tanto por la mañana como por la noche.
Precauciones
A pesar de los potenciales beneficios del limón, se debe moderar su uso, siendo necesario enjuagar bien la boca con agua después de utilizar esta solución para poder así neutralizar la acidez y proteger el esmalte dental. Algunas personas combinan el agua con limón con bicarbonato de sodio para potenciar su efecto blanqueador, aunque esta práctica debe realizarse con moderación y bajo supervisión de un dentista.
Importante
A pesar de que el limón puede ser un gran aliado para prevenir la aparición de sarro, no se debe considerar un producto para utilizar como sustituto de una higiene bucal apropiada. Esto implica reducir el consumo de alimentos azucarados y pegajosos, que favorecen la proliferación de bacterias. Por otro lado, hay otros factores que tienen gran relevancia de cara a la formación de sarro y de otros problemas bucales como el consumo de tabaco.
Otros Consejos para una Buena Higiene Bucal
- Cepillado regular: Es necesario cepillar los dientes tres veces al día durante al menos dos minutos. Además, los expertos recomiendan usar cepillos de dientes eléctricos y suaves, ya que eliminan mejor la placa que los modelos manuales.
- Elige un buen dentífrico: Usa una pasta de dientes que contenga flúor para poder reparar el daño del esmalte.
- Cuida tu dieta: Las bacterias prosperan en la boca con el consumo de alimentos almidonados y azucarados, pues la boca libera ácidos nocivos perjudiciales cuando se mastican estos alimentos.
¿Qué es el Sarro Dental Negro?
El sarro dental es una forma de placa endurecida que se acumula en los dientes y puede causar decoloración.Suele ser de color marrón o amarillo, pero en algunos casos puede volverse negro debido a ciertos factores, como tener una alta concentración de hierro en la saliva El hierro presente en la saliva se une a ciertas bacterias que producen la pigmentación oscura.