En el Laboratorio Dental Rivas, encontrarás una clínica dental comprometida con devolverte la confianza en tu sonrisa. Entendemos que una sonrisa saludable no solo mejora tu estética, sino también tu calidad de vida. Por ello, combinamos tecnología avanzada con un equipo de expertos apasionados por la odontología para ofrecerte soluciones a medida.
Si buscas atención de calidad, un trato cercano y soluciones innovadoras, en nuestra clínica dental encontrarás todo lo que necesitas. Nuestro enfoque se centra en garantizar la salud y apariencia deseada de tus dientes: un aspecto brillante, alineado y en óptimas condiciones.

Servicios Ofrecidos
Si algo nos caracteriza es poder tratar todos los servicios y especialidades de la salud bucodental. Estos son algunos de los servicios que ofrecemos:
Implantes Dentales
Los implantes dentales en Rivas son la solución perfecta a la reposición de los dientes ausentes. La implantología dental es una buena opción para sustituir piezas dentales inexistentes o dañadas. Los implantes dentales se colocan de forma quirúrgicamente en los maxilares debajo de la encía.
Somos expertos en implantología dental en Rivas Vaciamadrid, es por ello que antes de realizar un implante dental, analizamos cada caso con dedicación. La colocación de un implante dental se realiza de la propia clínica dental. Contamos con una amplía experiencia en implantes dentales.
Existen varios tipos de implantes:
- Implante dental cortical. Son los que se realizan cuando hay ausencia de hueso en la mandíbula.
- Implante dental Cigomático. Estos se realizan en cuando no hay hueso en la mandíbula superior. No se practica en todos las clínicas dentales. Si te han quitado la esperanza de tener un implante dental, nosotros te daremos solución.
- Implantes dentales híbridos. Se diseña un implante dental mediante una placa maleable que hace de anclaje en la zona del diente.
- Implante de carga inmediata. Es necesario estudiar cada caso en particular y dependiendo de ello será el presupuesto.
Implantes dentales: ventajas e inconvenientes
En la implantología y la cirugía; es fundamental la higiene y el uso de buenos materiales, en nuestro centro trabajamos con implantes de gama alta, para asegurarle a nuestros pacientes que pueden confiar plenamente en nosotros.
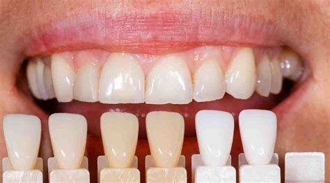
Carillas Dentales
Es probable que te hayan sugerido la opción de utilizar brackets para corregir los espacios entre tus dientes. Las carillas son láminas muy delgadas que se personalizan para adaptarse a tus dientes. Tienen la capacidad de abordar una variedad de problemas, incluyendo el diastema.
Las carillas son láminas extremadamente delgadas de porcelana que se moldean y se unen a tus dientes originales. El proceso de obtener carillas comienza con la toma de una impresión de tus dientes.
La siguiente etapa implica adherir las carillas a tus dientes naturales. En algunos casos, puede ser necesario desgastar ligeramente algunos de tus dientes para asegurar el espacio adecuado para las carillas.

Cirugía Oral
La cirugía oral es una especialidad de la odontología que se enfoca en el diagnóstico y tratamiento quirúrgico de enfermedades, lesiones y defectos en la boca, dientes, mandíbula y estructuras relacionadas. Esta especialidad también se encarga de la extracción de dientes, colocación de implantes dentales, tratamiento de patologías de la articulación temporomandibular y cirugía reconstructiva.
Nuestros cirujanos orales en Rivas están altamente capacitados y utilizan tecnología avanzada para llevar a cabo procedimientos quirúrgicos seguros y efectivos. La cirugía oral es esencial para la salud bucal general y puede mejorar significativamente la calidad de vida de los pacientes.
Endodoncia con Microscopio Dental
La incorporación del microscopio dental ha cambiado el mundo del tratamiento endodóntico. Es la mejor herramienta para ver una estructura y anatomía dental que no se ve a simple vista. Además, permite incrementar la precisión y optimizar las prestaciones, de manera que se puede realizar un diagnóstico más preciso y acertado.
Odontopediatría
Nuestra experiencia en odontopediatría nos ha hecho entender lo importante que es una odontología de calidad y sin dolor para nuestros pacientes más pequeños. Es fundamental conseguir una anestesia que sea cómoda y de esta manera lograr la confianza desde el inicio del procedimiento.
Por ello ofrecemos una anestesia sin dolor gracias a un control de la precisión, la velocidad y volumen del fluido anestésico. Con esta técnica conseguimos una menor sensación de entumecimiento de los tejidos y dientes de alrededor, siendo de mayor satisfacción para nuestros pacientes.
Tecnología Avanzada
Para ofrecer diagnósticos precisos y tratamientos eficaces, utilizamos tecnología de última generación:
- Tomografía Computarizada de Haz Cónico: Obtenemos una imagen 3D de los huesos y estructuras del paciente con una dosis de radiación menor que los TAC convencionales.
- Escáner Intraoral: Obtenemos modelos del paciente sin utilizar métodos invasivos y el paciente puede ver en tiempo real el estado de su boca.
- Láser Dental: Proporciona procesos curativos y menos molestias postoperatorias en cirugías, gingivectomías, hemostasia, desensibilización y blanqueamiento.
- Sistema de Aspiración Dental: Atrapa virus y gérmenes con un 99,97% de eficacia, evitando la propagación de sangre y polvo.
- Limpiador Dental AIRFLOW®: Elimina de forma cómoda y eficaz el biofilm, las manchas y el cálculo blando.
Sedación para Implantes Dentales
Hay varios tipos de sedación para implantes dentales que pueden ser utilizados según las necesidades y preferencias del paciente:
- Sedación con óxido nitroso: También conocida como "gas de la risa", es una sedación leve que se inhala a través de una mascarilla y proporciona una sensación de relajación y bienestar durante el procedimiento.
- Sedación oral: Se administra una pastilla por vía oral para ayudar a relajar al paciente. La sedación oral puede variar en intensidad y puede proporcionar desde una sedación leve hasta una sedación moderada.
- Sedación intravenosa (IV): Se administra un medicamento a través de una vía intravenosa para proporcionar una sedación más profunda y controlada. La sedación IV es adecuada para pacientes con niveles más altos de ansiedad o que requieren un procedimiento más prolongado.
- Anestesia general: Este tipo de sedación se administra por vía intravenosa y provoca un estado de inconsciencia temporal durante todo el procedimiento.
Es importante que el paciente discuta sus opciones de sedación con su dentista o cirujano oral para determinar qué opción es la mejor para sus necesidades.
¿Por qué elegir el Laboratorio Dental Rivas?
La clínica dental Suárez Burgos es conocida por su enfoque de lujo en el cuidado bucodental. La calidad de los servicios de Dental Suárez Burgos es uno de los aspectos más destacados de la clínica. El prestigio de Dental Suárez Burgos en el campo dental es innegable. La clínica cuenta con un equipo de dentistas altamente cualificados y con amplia experiencia en diferentes áreas de la odontología.
Cada dentista de nuestra clínica en Rivas, se compromete a seguir una formación continua para estar al tanto de los últimos avances y ofrecer el mejor tratamiento posible a sus pacientes; además, utilizan las técnicas y procedimientos más avanzados para garantizar que los pacientes reciban el mejor tratamiento de la mano de la mejor clínica dental calidad/precio.
Actualmente, la clínica dental de prestigio referencia en Rivas cuenta con una fábrica y un laboratorio dental que utiliza materiales de alta calidad y tecnología de última generación, para garantizar resultados precisos y duraderos.
La clínica dental Suárez Burgos es también conocida por ofrecer la mejor relación entre calidad y precio en Rivas Vaciamadrid. Aunque se trata de una clínica de lujo, los precios son competitivos y ofrecen opciones flexibles de financiación para adaptarse a las necesidades y presupuestos de los pacientes; pagos en 24 o 48 cuotas y más, sin intereses y regalos para aquellas personas que deciden hacer su tratamiento con estos profesionales, son algunos de los beneficios que ofrece la clínica.
Por eso, las personas encuentran en Dental Suárez Burgos una excelente relación entre la calidad del servicio y el precio, lo que la convierte en una opción atractiva para aquellos que buscan un cuidado bucodental de alto nivel.
tags: #laboratorio #dental #rivas