Las encías retraídas son un problema más frecuente de lo que a veces pensamos. Las encías retraídas representan una condición dental que no solo afecta la estética de la sonrisa, sino que también puede ser indicativo de problemas de salud bucal más profundos. Por tanto, este artículo te puede interesar bastante.
En este artículo vamos a conocer qué son las encías retraídas, sus causas principales, las soluciones que existen y qué podemos hacer para evitar la recesión gingival.

¿Qué son las Encías Retraídas?
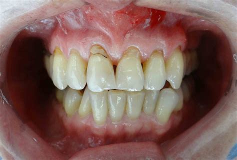
Las encías retraídas, también conocidas como recesión gingival, ocurren cuando el tejido que rodea los dientes se retira, revelando una mayor parte de la raíz del diente. Cuando hablamos de encías retraídas nos referimos a un desplazamiento del tejido gingival que provoca una sobreexposición del diente. Las encías se desplazan hacia arriba en los dientes superiores y hacia abajo en los dientes inferiores dejando al descubierto parte de la raíz dental. Esto no solo afecta a la estética, sino que también compromete la protección natural de los dientes, aumentando la sensibilidad y el riesgo de enfermedades.
La retracción de las encías o migración del margen de las encías (recesión de encía), es uno de los problemas dentales más comunes, una patología que aparece de forma gradual y en ocasiones es difícil de detectar. El primer signo de esta condición es observar que las encías se retraen dejando al descubierto la raíz del diente y creando un efecto estético de dientes demasiado largos.
Síntomas de las encías retraídas
- Dientes alargados: Uno de los signos visuales más evidentes de las encías retraídas es la apariencia de dientes alargados. La retracción del tejido gingival revela más parte de la superficie dental, afectando la estética de la sonrisa.
- Sensibilidad dental: La exposición de las raíces dentales debido a las encías retraídas puede llevar a una mayor sensibilidad dental. Los pacientes pueden experimentar molestias al consumir alimentos o bebidas calientes, fríos o dulces.
- Sangrado de encías: Las encías retraídas a menudo van de la mano con la inflamación y el sangrado de las encías. Su principal síntoma es el sangrado de la encía durante el cepillado.
- Movilidad dental: A medida que las encías pierden su soporte estructural, los dientes pueden volverse más móviles. La movilidad dental es un síntoma grave de encías retraídas y puede llevar a la pérdida de dientes si no se aborda de manera oportuna.
- Mal aliento persistente: La exposición de las raíces dentales y la acumulación de bacterias en las bolsas periodontales pueden contribuir a un mal aliento persistente.
👉 𝗘𝗡𝗖𝗜𝗔𝗦 𝗥𝗘𝗧𝗥𝗔𝗜𝗗𝗔𝗦 Solución DEFINITIVA ,¡FIN a la 𝗥𝗘𝗧𝗥𝗔𝗖𝗖𝗜𝗢𝗡 𝗚𝗜𝗡𝗚𝗜𝗩𝗔𝗟 Causas y Tratamiento!
Causas Principales de la Retracción de las Encías
Pero, ¿por qué se retraen las encías?, ¿a qué se debe la retracción de encías? Sin embargo, hay diversas razones que pueden explicar la razón por la que tenemos encías retraídas. Entre las principales causas de encías retraídas destacan las enfermedades periodontales, como la periodontitis crónica y hábitos perjudiciales como un cepillado agresivo.
- Enfermedad periodontal: La enfermedad periodontal, también conocida como gingivitis o periodontitis, es una de las principales causas de encías retraídas. Las enfermedades de las encías como la gingivitis y la periodontitis son causas primarias de la retracción gingival. Es producida por bacterias presentes en la placa dental que no hemos sido capaces de eliminar con el cepillado dental. La enfermedad periodontal hace que pierdas hueso. Por consiguiente, pierdes encías. Una característica de la retracción de encías por periodontitis es que afecta a toda la boca, a diferencia de otras causas como la ortodoncia o el cepillado agresivo que afectan solo a unos pocos dientes. También conocida como piorrea, la periodontitis empieza como una gingivitis no tratada. Con el paso del tiempo, esta bolsa destruye el hueso y todo el tejido conjuntivo que rodea al diente.
- Cepillado incorrecto: Un hábito de cepillado dental incorrecto o demasiado vigoroso puede desgastar el tejido gingival, contribuyendo a la retracción de las encías. Un cepillado agresivo o el uso de un cepillo con cerdas duras puede dañar el esmalte de los dientes y causar el retroceso de las encías. Por tanto, encías retraídas y cepillado fuerte pueden estar muy relacionados. Piensa que la encía es piel. Cepillarse los dientes con brusquedad puede provocar que con el tiempo se retraigan las encías, aumentando este riesgo si además el cepillo cuenta con unos filamentos demasiado duros. El cepillado de nuestros dientes debe de ser suave sin hacer fuerza ni apretar.
- Factores genéticos: Algunas personas pueden ser genéticamente más susceptibles a la enfermedad de las encías. Algunas personas están genéticamente predispuestas a tener encías sensibles y a sufrir retracción gingival. Esto significa que, aunque mantengan una buena higiene bucal y cuiden su salud dental, podrían desarrollar problemas en las encías debido a factores genéticos. Si tienes antecedentes familiares de encías retraídas, es posible que tengas una mayor probabilidad de desarrollar este problema.
- Factores hormonales: Cambios hormonales, como los experimentados durante el embarazo, la menopausia o la pubertad, pueden afectar la salud de las encías. Estos cambios hormonales pueden hacer que las encías sean más propensas a la retracción y a la inflamación.
- Hábitos Nocivos: El tabaquismo y el uso de piercings en la boca pueden contribuir al deterioro de las encías. También, suelen darse casos de retracción de encías en pacientes que tienen un piercing en la boca. Esto se debe a que los piercings tienden a apoyarse o a contactar con las encías. Los piercings en la boca, como los que se llevan en la lengua o en el labio, también pueden provocar retracción de encías.
- Bruxismo: Si un paciente es bruxista de manera continuada, esta parte de la dentadura puede padecer que las encías se retraigan. El bruxismo es un hábito que consiste en apretar o rechinar los dientes de manera involuntaria, normalmente, debido al estrés. Si una persona es bruxista y no se lleva a cabo un control adecuado de la afección (mediante revisiones y una férula de descarga), sus músculos y articulaciones faciales sufrirán una tensión constante. Incluso bajo un cepillado normal tus encías pueden retraerse, caso en el cual se utiliza una placa de descarga que ayuda a detener este inconsciente acto de rechinar los dientes.
- Otros factores:
- Estrés: en los últimos años se ha demostrado que existe una conexión entre el estrés y los problemas periodontales.
- Enfermedades sistémicas: enfermedades como la diabetes, el SIDA o cualquier otra que afecte al sistema inmunitario, crean un mayor riesgo de desarrollar infecciones.
- Una importante causa de retracción de las encías es la falta de higiene dental.
- Las encías retraídas también pueden estar causadas por un golpe muy fuerte.

Consecuencias de las encías retraídas
Es crucial destacar que las encías retraídas no solo afectan la estética de la sonrisa, sino que también pueden desencadenar otros problemas dentales.
- Mayor susceptibilidad a las caries.
- Mayor sensibilidad dental: La exposición de las raíces dentales debilita la capa protectora del esmalte, aumentando la sensibilidad dental. Los pacientes pueden experimentar molestias significativas al consumir alimentos o bebidas calientes, fríos o ácidos.
- Problemas de masticación y digestión: La pérdida de soporte gingival puede afectar la alineación de los dientes y la función masticatoria.
- Impacto en la estética facial: Las encías retraídas pueden afectar la estética facial al alterar la proporción y alineación de los dientes.
- Complicaciones de la enfermedad periodontal: Las encías retraídas a menudo están asociadas con la enfermedad periodontal, y esta relación puede llevar a complicaciones graves si no se trata.
- Necesidad de intervenciones quirúrgicas avanzadas: En casos avanzados de encías retraídas, puede ser necesario recurrir a intervenciones quirúrgicas más complejas, como el injerto de encías o el trasplante de tejido.
- Pérdida de dientes: Uno de los riesgos más graves asociados con las encías retraídas es la pérdida de dientes. La movilidad y caída de los dientes puede producirse cuando la causa de las encías retraídas es la periodontitis. Esto se debe a que las bacterias destruyen el tejido que se encuentra alrededor de los dientes (encías y hueso).
- Otra de las consecuencias de las encías retraídas es el empeoramiento en el aspecto de la sonrisa.
Tratamiento y Prevención de las Encías Retraídas
El tratamiento de las encías retraídas varía según la causa y la severidad de la condición. Es importante abordar este problema dental de manera temprana para evitar complicaciones y proteger la salud bucal a largo plazo.
Higiene Bucal Mejorada
Una higiene bucal adecuada es esencial para prevenir y tratar la retracción gingival.
- Cepillado suave: Utiliza un cepillo de dientes de cerdas suaves. Realiza movimientos suaves y circulares para evitar el desgaste del tejido gingival. El cepillado de nuestros dientes debe de ser suave sin hacer fuerza ni apretar. Eliminar el cepillado traumatico: revisar y cambiar tu tecnica de cepillado y tipo de cepillo puede ayudar a evitar que tus encias sigan retrayendo. Recuerda, cepillarse los dientes mas fuerte no significa cepillarse mejor, cuida de tus encias.
- Uso del hilo dental de manera regular: Usa hilo dental diariamente para eliminar la placa y los restos de alimentos entre los dientes.
- Enjuague bucal: Incorpora un enjuague bucal antimicrobiano en tu rutina para reducir la cantidad de bacterias en la boca.
- Dieta saludable: Consume una dieta equilibrada y rica en nutrientes, especialmente alimentos que fortalezcan los huesos y las encías, como productos lácteos, frutas y verduras.
- Evita el tabaco: El tabaco es un factor de riesgo conocido para las enfermedades de las encías. El tabaco contribuye a la retracción de encías en pacientes con periodontitis. Como consecuencia, el tabaco enmascara los clásicos síntomas de las enfermedades periodontales: enrojecimiento, inflamación y sangrado de encías.
- Tratamiento de problemas dentales: Aborda cualquier problema dental, como caries o enfermedad periodontal, de inmediato.
- Consultas periódicas: Programa revisiones regulares en Dental Care Barcelona para evaluaciones profesionales y limpiezas dentales. La mejor forma de prevenir cualquier enfermedad en las encías es cuidar tu higiene dental y visitar periódicamente a un profesional.
- Higiene: es fundamental, pues una correcta limpieza oral nos ayuda a deshacernos de la placa que se acumula entre los dientes.
- Mantener una buena salud dental en general, recuerda el numero 2. DOS veces al dia, DOS minutos, con DOS herramientas, el hilo dental y el cepillo de dientes de cerdas suaves.
- Y por ultimo pero no menos importante, acude a tu clinica dental una vez al ano para una higiene dental profesional.
Tratamientos Profesionales
- Raspado y alisado radicular: Consulta más sobre nuestro tratamiento de Raspado y alisado radicular, también conocido como Curetaje Dental, donde conseguimos eliminar el sarro y las bacterias acumuladas bajo las encías, alrededor de las raíces de los dientes. Es posible tratar las encías retraídas leves con una higiene adecuada, y raspado o alisado radicular, en caso de que estén asociadas a inflamación.
- Cirugía mucogingival (Injerto de encía): Un injerto de encía (o cirugía mucogingival) es un trasplante de tejido conectivo de una zona donde hay mucho (paladar) a una zona donde no hay o hay muy poco tejido (encías retraídas). En estos casos, suele estar indicada la colocación de un injerto de encía para volver a cubrir la raíz o raíces afectadas. Cuando el paciente ha perdido tejido gingival, se recomiendan los injertos de encía. En la Clínica Dental Zabalegui utilizamos una técnica de microcirugía sencilla e indolora para cubrir la encía denominada injerto de tejido conectivo del paladar. Consiste en tomar tejido del paladar para injertarlo en la zona de la recesión y cubrir la raíz que queda expuesta. Ante un estado critico de tus encías retraídas, la cirugía estética periodontal se presenta como la única solución. En el caso que causen un problema estetico o de sensibilidad o cuando exista una recesion progresiva se debera realizar una cirugia plastica periodontal o injerto de encia. El injerto de tejido se puede realizar de diferentes formas (diferentes tecnicas), depende de la tecnica la encia puede quedar con un tono de color ligeramente distinto. Este tipo de tratamiento quirurgico solo se realiza en los casos en que el paciente realmente lo necesita ya que es larga, delicada, costosa y el postoperatorio es molesto.
Es una técnica que es sensible al operador, es decir, depende mucho de quien la realice el que se consigan mejores o peores resultados. Por eso es importante siempre acudir a un especialista en encías que esté acostumbrado a realizar este tipo de cirugías. En nuestras clínicas, utilizamos la técnica de microcirugía mínimamente invasiva, garantizando el mejor resultado sin dolor.
Por lo general, es un tratamiento que suele ser bastante predecible. Es un tratamiento delicado por cuanto que depende mucho de quien te lo haga. Por este motivo, es importante seleccionar un buen profesional con conocimientos y experiencia para que realice la cirugía con éxito. En ocasiones, los pacientes que se realizan una cirugía plástica mucogingival es por motivos estéticos. Los pacientes que se realizan este tratamiento para las encías retraídas en nuestra clínica quedan muy satisfechos con el resultado.
Imagen de una cirugia plastica periodontal para cubrir una recesion de encia.
Tipos de injertos de encía:
- Estiramiento de encía: en el cual el paciente se somete a una microcirugía en sus encías.
- Microinjerto de encía: cuando el caso es extremo se utiliza esta opción en la cual una mínima fracción del tejido del paladar es removido y luego injertado para cubrir tu encía.

Adaptación de Hábitos
Cuando la retracción gingival se debe a un cepillado abrasivo, el tratamiento para solucionar la recesión pasará por un injerto de encía en los dientes afectados.
- Eliminar la presencia de placa con una higiene dental profesional, recuerda que la placa dental es la principal causa de la inflamacion de encias, periodontitis y perdida del hueso que sostiene tus dientes.
- Retirar piercings, si tuvieras que elegir entre un piercing y sonreir con todos tus dientes, ¿que elegirias?
- Corregir la malposicion del diente con un tratamiento de ortodoncia si es el caso.
- Realizar una frenectomia en caso de que el frenillo sea la causa para evitar que avance la recesion.
En el caso de los pacientes bruxistas, será necesario que empiecen a llevar, cuanto antes, una férula de descarga.
Si un paciente es bruxista y no se lleva a cabo un control adecuado de la afección (mediante revisiones y una férula de descarga), sus músculos y articulaciones faciales sufrirán una tensión constante.
Estrés: es uno de esos factores invisibles que afectan a la salud de nuestras encías.
¿Puedo recuperar mis encías retraídas?
La posibilidad de recuperar las encías retraídas dependerá de cada caso. Antes de nada, es imprescindible entender que las encías retraídas no se regeneran por sí mismas. Como te hemos mencionado antes las encias no vuelven a crecer por si solas, por lo cual, si observamos ligeras recesiones estas a tiempo de ponerles freno eliminando alguno de los factores que pueden estar ocasionando la recesion.
Sin embargo, la pérdida de encías por periodontitis es un caso diferente. Pues se trata de una enfermedad que hace que se pierda hueso. Y si no hay hueso, no hay encía.
La retracción de encias puede afectar a la salud de tus dientes e incluso puede promover la perdida de una pieza dental. Las encias cumplen varias funciones entre ellas de proteccion y junto al ligamento periodontal, el hueso alveolar y el cemento radicular forman el periodonto (peri = alrededor del latin y odonto = diente proveniente del griego, alrededor del diente) cuya funcion es sostener y mantener el diente unido al hueso.
Preguntas Frecuentes (FAQs)
¿Las encías retraídas pueden regenerarse naturalmente?
No, las encías retraídas no pueden regenerarse por sí solas.
Clínica Elena Toledano
En Clínica Elena Toledano situada en el distrito de Arganzuela cerca de Madrid Centro (Puerta de Toledo) realizamos una Valoración Personalizada y elaboramos un diagnóstico en función de las necesidades y objetivos de cada paciente.
Atención telefónica: Lun. a Jue. de 9h a 21h | Vie.
Dobleese Clínica dental Sevilla y Dos Hermanas
Si buscas una clínica dental de confianza para realizarte un tratamiento de encías retraídas en Sevilla, podemos ayudarte. Puedes solicitar tu primera visita gratuita de la manera que te resulte más cómoda.
Especialistas en implantes dentales y estética dental, garantizando en cada tratamiento una salud dental plena.
Dental Care Barcelona
En Dental Care Barcelona, entendemos la importancia de proporcionar información completa y soluciones efectivas para este problema tan común.
Clínica Dental Ferrus & Bratos
En el campo de la Periodoncia y el cuidado de las encías contamos con el Dr. Jorge Ferrús es fundador de la Clínica Dental Ferrus & Bratos, donde ejerce de periodoncista e implantólogo. Es licenciado en Odontología y se especializó a través del Máster en Periodoncia e Implantes de la Universidad Complutense de Madrid.
Clínica Dental Zabalegui
En nuestra clínica dental de Bilbao somos expertos en el tratamiento de encías retraídas.
Clínica Friedländer
Clínica Friedländer nace de la inquietud de unir en un solo equipo profesionales honestos e implicados que se dedican en exclusiva a su especialidad y que aman su profesión.
| Causa | Tratamiento | Prevención |
|---|---|---|
| Enfermedad Periodontal | Raspado y alisado radicular, antibióticos | Higiene bucal rigurosa, visitas regulares al dentista |
| Cepillado Incorrecto | Injerto de encía | Técnica de cepillado suave, cepillo de cerdas suaves |
| Factores Genéticos | Tratamientos periodontales, injertos de encía | Higiene bucal rigurosa, visitas regulares al dentista |
| Bruxismo | Férula de descarga | Control del estrés, férula de descarga |
| Piercings Bucales | Extracción del piercing, injerto de encía | Evitar piercings bucales |