Las carillas dentales se han convertido en uno de los tratamientos dentales estéticos más solicitados en la actualidad. Esto se debe tanto a su sencillez como a su precio, ofreciendo una solución efectiva para mejorar la apariencia de los dientes. Pero, ¿sabes realmente cómo las carillas dentales protegen tus dientes y qué beneficios adicionales ofrecen?

¿Qué son las Carillas Dentales?
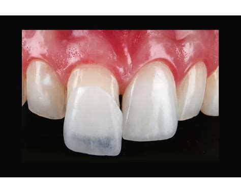
Las carillas dentales son láminas muy finas, generalmente inferiores a un milímetro de espesor, que se fijan sobre la parte visible de uno o varios dientes. Su principal objetivo es mejorar el aspecto de los dientes, ya sea para modificar su tamaño, color, forma o posición. Por tanto, tienen una finalidad puramente estética.
Pueden estar hechas de diferentes materiales, pero suelen ser de porcelana o composite. Por lo general, estas últimas suelen confeccionarse en la propia clínica dental con un material fotocurable, igual que el que se usa para hacer los empastes.
Además de mejorar la estética, las carillas también cumplen una función protectora, ayudando a reforzar dientes desgastados y a mantener su estructura.
¿Para qué sirven las Carillas Dentales?
Las carillas dentales se colocan en la superficie frontal de los dientes con la finalidad de mejorar su aspecto. Su objetivo es corregir problemas estéticos (fracturas leves, cambios de color…) o patológicos (originados por caries). Las carillas dentales son un tratamiento eficaz a la hora de corregir y/o disimular pequeños defectos que afectan negativamente al aspecto de los dientes. Decir que las carillas solo sirven para “mejorar la estética” sería quedarse corto.
Las carillas dentales son ideales para quienes buscan una solución rápida y poco invasiva para mejorar su sonrisa. En algunos casos, incluso pueden ayudar a mejorar la funcionalidad al masticar y prevenir el avance del desgaste dental. En resumen, son el tratamiento perfecto para quienes desean recuperar la armonía, el brillo y la confianza al sonreír.
En la práctica, las carillas dentales sirven para:
- Modificar el color de los dientes.
- Rectificar la forma.
- Eliminar espacios entre los dientes.
- Esconder alteraciones del esmalte dental.
- Alinear dientes de diferentes medidas o formas y unificarlos.
Tipos de Carillas Dentales
Existen principalmente dos tipos de carillas dentales, cada una con sus propias ventajas e inconvenientes:
Carillas de Porcelana
Las carillas de porcelana son fabricadas por un técnico de laboratorio de prótesis dental y después se adhieren a los dientes mediante adhesivos muy estables.
Ventajas:
- Corrige múltiples defectos.
- Estética muy elevada.
- Preparación dentaria muy conservadora.
- Fortalece los dientes y devuelve funcionalidad.
- Aumento de la autoestima.
- Poco tiempo de recuperación.
- Resistencia a la tinción.
- Biocompatibilidad local y general.
- Resistencia al ataque químico.
Desventajas:
- El coste elevado.
- Posible sensibilidad dental.
- El número de sesiones.
- Tratamiento irreversible.
Carillas de Composite
Las carillas de composite se fabrican por el odontólogo en el consultorio directamente en boca y se utiliza resina muy estética para su confección.
Ventajas:
- Tratamiento más rápido.
- El coste más bajo.
- Fácil reparación.
- Alta estética.
- Invasión mínima.
Desventajas:
- Menor durabilidad.
- Menor resistencia a la tinción.
- Uso limitado.
La elección entre un tipo de carilla u otro debe ser aconsejada por el odontólogo, en función de las necesidades de cada paciente.
¿Quién puede llevar Carillas Dentales y cuándo se recomiendan?
Las carillas son ideales para quienes buscan una solución rápida y poco invasiva para mejorar su sonrisa. Antes de iniciar el procedimiento, es fundamental realizar un estudio personalizado para analizar la salud bucodental, las expectativas y las necesidades del paciente.
Sin embargo, no son recomendables en pacientes con caries activas, enfermedad periodontal avanzada o bruxismo severo no tratado.
Mitos y Verdades sobre las Carillas Dentales
Existen muchas ideas erróneas sobre las carillas dentales. A continuación, aclaramos algunos de los mitos más comunes:
- Mito: Las carillas deterioran el esmalte. Verdad: Las carillas pueden requerir una leve preparación del diente, pero no lo debilitan.
- Mito: Todas las carillas son iguales. Verdad: Hoy en día, hay opciones accesibles para todo tipo de presupuestos.
- Mito: Las carillas duran para siempre. Verdad: Aunque las carillas de porcelana pueden durar entre 10 y 15 años, y las de composite alrededor de 5 a 7 años, eventualmente pueden desgastarse o necesitar ajustes.
- Mito: Las carillas protegen contra la caries. Verdad: Las carillas no protegen contra la caries ni enfermedades de las encías.
- Mito: Las carillas no se ven naturales. Verdad: Cuando se diseñan adecuadamente, las carillas tienen un acabado realista, imitando la textura y color de los dientes naturales.
¿Cuánto tiempo duran las carillas dentales?
Procedimiento de Colocación de Carillas Dentales
El proceso de colocación de carillas dentales es un procedimiento cuidadosamente planificado y diseñado para ofrecer resultados personalizados y naturales. Aunque puede parecer un tratamiento complejo, se realiza de manera sencilla y en pocas visitas al dentista.
- Entrevista estética: Se realiza una conversación detallada para entender tus objetivos y expectativas.
- Preparación del diente: El dentista elimina una pequeña capa del esmalte (generalmente entre 0,3 mm y 0,7 mm).
- Impresiones: Una vez preparado el diente, se realizan impresiones con moldes tradicionales o escaneos digitales.
- Colocación: El tratamiento con carillas de porcelana generalmente se completa en dos o tres visitas a lo largo de 1-3 semanas.
Este procedimiento está diseñado para ser cómodo y efectivo, garantizando que cada paciente obtenga una sonrisa que refleje lo mejor de sí mismo.

Cuidados y Durabilidad de las Carillas Dentales
La duración de las carillas dentales está determinada por diversos factores, como los cuidados que siga el paciente en cuanto a higiene oral, alimentación, tabaco, hábitos, revisiones con el dentista, etc. Adicionalmente, la durabilidad del tratamiento también depende del material con el que están fabricadas las carillas y de la técnica de colocación (directa o indirecta).
Con unos cuidados y unos mantenimientos adecuados, son un tratamiento pensado para durar a largo plazo.
Para asegurar la longevidad de las carillas dentales, es crucial mantener una buena higiene oral y realizar visitas regulares al dentista para limpiezas y chequeos.
Alternativas a las Carillas Dentales
Aunque las carillas dentales son una excelente opción para muchos, existen alternativas que pueden ser más adecuadas en ciertos casos:
- Blanqueamiento dental: Una opción no invasiva para aquellos que buscan mejorar el color de sus dientes sin cambiar su forma o tamaño.
- Ortodoncia: Para aquellos con desalineación severa, la ortodoncia puede ser una mejor opción para corregir la posición de los dientes.
- Coronas dentales: Cubren todo el diente y son una opción adecuada para dientes severamente dañados o debilitados.
- Carillas Lumineers: Un subtipo de carillas de porcelana que son extremadamente finas y no requieren tallado dental.
Coste de las Carillas Dentales
El precio de las carillas varía según el material elegido. El coste también depende del número de carillas necesarias.
A la hora de elegir un tipo de carillas u otro es necesario acudir a la clínica dental y que sea el odontólogo quien aconseje el tipo de carilla más conveniente, en función de las necesidades de cada paciente.
Ejemplo de financiación:
*Incluye carilla sobre diente de disilicato de litio. Revisión y seguimiento.**Importe mínimo: 144€.Ejemplo de financiación para un importe de 604,00€ en 12 meses. Comisión de formalización del 2,00%: 12,08€ a pagar en la primera cuota. Importe financiado: 604,00€. Primera cuota de 64,47€. 10 cuotas de 52,39€ y una última cuota de 52,35€. TIN 7,45% TAE 11,82%. Total intereses: 24,64€. Coste total del crédito: 36,72€. Importe total adeudado y precio total a plazos: 640,72€. Precio de adquisición al contado: 604,00€. Sistema de amortización francés. Financiación ofrecida por Banco Cetelem S.A.U.Conclusión
Las carillas dentales no dañan los dientes si se colocan correctamente y en los casos indicados. Aunque en algunos pacientes puede ser necesario realizar un tallado mínimo, este se compensa con creces por los beneficios estéticos y funcionales que aportan. Si estás pensando en mejorar tu sonrisa, las carillas dentales son una excelente opción para transformar tu apariencia y proteger tus dientes.