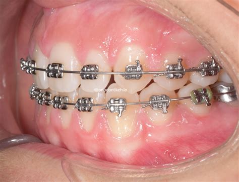
La ortodoncia metálica es una opción popular y efectiva para corregir problemas de maloclusión dental. El tratamiento de ortodoncia se compone de un elemento pasivo, los brackets, y otro activo, los arcos o alambres, junto con las gomas, cadenetas e hilos elásticos. Es fundamental que los brackets estén colocados sobre cada diente con la máxima precisión para que así los arcos puedan almacenar y liberar las fuerzas que estimulan el movimiento dentario.
Para que el arco libere la fuerza almacenada es necesario activarlo mediante la flexión, la torsión o la combinación de ambas. Las propiedades de los alambres y su comportamiento elástico varían en función de la composición o aleación metálica, el proceso de fabricación, su sección y del método aplicado para su activación. Existen por lo tanto distintos tipos de clasificación de los arcos.

Tipos de Arcos en Ortodoncia
Los arcos dentales están hechos de aleaciones que son la combinación de varios metales. Los más usados hoy en día son arcos dentales hechos de las siguientes combinaciones:
1. Níquel - Titanio (Ni-Ti)
Este arco también es conocido como súper elástico. Se trata de la combinación de metales más actual y moderna. Estos arcos son los más usados en la odontología hoy en día. El Níquel Titanio o NITI, es un material con “memoria” ya que siempre vuelve a su forma original, es decir a la forma de la arcada de ese arco. Es por este motivo que las piezas se van alineando con la forma de ese arco. Este arco de NITI es de color plateado.En el tratamiento de ortodoncia se utilizan arcos más finos para comenzar (0.12 / 0.14 / 0.16) y luego se va utilizando una secuencia de arcos más gruesos para terminar (0.16 x 0.22 / 0.19 x 0.25 / etc). Cuando su cometido ha sido cumplido, los arcos rígidos entran en acción.
Dentro de los Ni-Ti podemos diferenciar los NiTi Reverse, fabricados de una aleación de Níquel-Titanio de alta calidad con forma de curva inversa, proporcionando una fácil deformación con menor carga y consiguiendo un aumento progresivo de fuerzas residuales. Estos arcos se recomiendan para la apertura o el cierre de la mordida y para corregir irregularidades de la curva de Spee. El arco NITI Reverse proporciona al ortodoncista el doble de resistencia de un arco de acero inoxidable y brinda una fuerza continua y uniforme para un rápido movimiento dental.
También dentro de los Ni-Ti encontramos los arcos termoactivos, que presentan un aumento progresivo de fuerzas residuales con recuperación completa de la forma. Están especialmente recomendados para su uso con brackets autoligados. Presenta propiedades de activación térmica y permite que al enfriarlo sea posible insertarlo en zonas de difícil acceso. Se activa a la temperatura corporal del paciente por lo que una vez colocado el arco recobra su forma original gradualmente y se mantendrá constantemente activo. En general los arcos termoactivados resultan sumamente útiles como alambres iniciales en el tratamiento ortodóncico, por su facilidad de colocación en arcadas con dientes severamente desalineados.
Sin embargo, por su fabricación, estos arcos tienen una superficie delicada y sensible a materiales cortantes o estriados, por lo tanto, es necesario ser cuidadosos en su utilización.
2. Acero Inoxidable
Los arcos rígidos están fabricados mayoritariamente de acero inoxidable. Este material posee la ventaja de que no se corrompe en la boca e induce una fuerza de control sobre los dientes. Además, el acero es un material relativamente fácil a la hora de manipularlo. Si se ejerce fuerza sobre ellos, no se flexionan sino que se deforman permanentemente -se quedan torcidos-. Generalmente entran en acción entre el sexto y el octavo mes de tratamiento. Los cambios dentales que producen en la posición de los dientes son mucho menores que los que producen los arcos superelásticos de Niti, pero su utilización es imprescindible para «afinar» la posición de los dientes y sus raíces.
3. Trenzado
Son arcos de acero, pero con propiedades específicas. Son alambres de muy pequeño diámetro y baja rigidez que se entrelazan para conseguir un comportamiento mecánico distinto, manteniendo una dimensión que permita llenar la ranura del bracket. Por un lado, la amplitud de trabajo o recorrido es mayor que la presentada por cualquiera de sus componentes mientras que la rigidez es significativamente menor a la media de los alambres constitutivos. Esta estructura es más fácil de manipular y están muy indicados en las fases iniciales del tratamiento para alineamientos, control de rotaciones y torque. Con algunos tipos de trenzado se puede conseguir un rango de trabajo equivalente a las de un alambre de níquel-titanio pero a menor coste.
4. TMA (Beta Titanio)
También últimamente se utilizan mucho los BETA TITANIO, que no llevan níquel. Son arcos de dureza media, entre el NITI y el ACERO y, al no poseer níquel, sirven para pacientes alérgicos al mismo.
5. Arcos Estéticos
Respecto a los arcos en ortodoncia también cabe mencionar que existe una línea estética, tanto de NITI como de ACERO. Son arcos pintados o recubiertos de un material que los mimetiza con los dientes y los brackets y ayudan a que el tratamiento sea más estético.
Como hemos visto, el uso de los arcos en las distintas fases de ortodoncia depende mucho del diagnóstico del paciente y la técnica que se utilice, o si se utilizan brackets autoligados, por ejemplo.
Ligaduras en Ortodoncia
Las ligaduras de ortodoncia son secciones preformadas de diámetro entre 0'1 y 0'14 pulgadas, que se colocan alrededor de los brackets y los arcos de ortodoncia para lograr el efecto deseado. Se utilizan para unir cada bracket al arco. El arco ejerce presión sobre los dientes hasta conseguir una alineación perfecta. Los brackets deben estar conectados al arco para que cada diente pueda moverse correctamente.
Tipos de ligaduras para ortodoncia
- Ligaduras elásticas: También llamadas gomas, proporcionan una mayor flexibilidad y menor rigidez. Pueden estar fabricadas en látex, silicona u otros materiales elásticos. Hay muchos colores disponibles.
- Ligaduras metálicas: Son más rígidas y resistentes, ejercen más fuerza durante un periodo de tiempo continuo.
Generalmente se emplean para ortodoncias con brackets tradicionales. No se suelen utilizar en brackets de autoligado, los cuales tienen una tapa o clip que deja el arco sujeto al bracket, por ello no requieren de elásticos u otros elementos para unir el bracket y el arco.
Durante todo el tratamiento de ortodoncia, las ligaduras son el elemento que une el arco al bracket. En cada visita a la clínica se revisarán y se irán cambiando según necesidad.
Con brackets metálicos se suelen utilizar gomas grises, mientras que el color marfil o crema se utiliza mucho con brackets estéticos. También se utilizan mucho las ligaduras de colores, son más llamativas. Las menos utilizadas son las transparentes, porque se tiñen más fácilmente que las de colores.
Ligaduras metalicas en ortodoncia
Aditamentos Elastoméricos
Además de los arcos y las ligaduras, existen otros aditamentos elastoméricos que complementan el tratamiento ortodóntico:
- Muelles: Resortes helicoidales utilizados para abrir espacios o desplazar dientes.
- Muelle de acero inoxidable: Para la apertura de un lateral.
- Muelle de níquel-titanio: Permiten aplicar fuerzas casi lineales con compresiones de 5 y 6 mm.
- Hilo elástico: Se utiliza cuando un diente está muy alejado de la arcada y no se puede ligar al arco con otro tipo de sujeción.
- Módulos: Dispositivos auxiliares elastoméricos utilizados para la corrección de rotaciones de premolares.
- Cadenetas: Dispositivos elastoméricos que se utilizan para corregir rotaciones de incisivos y premolares.
- Ligadura en lazo: Alambre trenzado alrededor de los brackets para desplazar un diente en un sentido determinado.
- Resortes sobre el arco: Se utilizan en casos con extracciones donde un arco recto se fractura o deforma con la masticación.
- Elásticos Intermaxilares: Dispositivos elastoméricos que se aplican uniendo las arcadas para mejorar la intercuspidación dentaria.

Tipos de Brackets
Para comenzar daremos una definición de los brackets, para después explicar los tipos de brackets más frecuentes y sus características principales. Comentar que los brackets en sí son elementos pasivos, es el alambre metálico el que ejerce la fuerza necesaria para empujar los dientes hasta la posición que deben ocupar. Cada bracket es diseñado específicamente para cada cliente, esto permite obtener grandes resultados, adaptadas a las necesidades de cada paciente.
- Brackets metálicos: Son los aparatos dentales más populares debido a su precio económico y buenos resultados.
- Brackets estéticos: Fabricados en cerámica y zafiro, son más atractivos a la vista.
- Brackets autoligables: No necesitan gomas para sujetar el arco, ya que tienen clips incorporados.
- Brackets linguales: Se colocan en la cara interior de los dientes, siendo prácticamente invisibles.
Al tratamiento de brackets se le puede dar un toque de color gracias a las gomas de colores para darle un aspecto más atractivo y divertido a la ortodoncia.
Clasificación de los arcos
Existen por lo tanto distintos tipos de clasificación de los arcos:
- Por arcada: Está totalmente relacionado con la técnica que utiliza cada ortodoncista.
- Por grosor: Los calibres más finos producen fuerzas más ligeras y poco a poco se va incrementando el calibre.
- Por material: Los arcos dentales están hechos de aleaciones que son la combinación de varios metales.
Elásticos de ortodoncia intraorales
Los elásticos intraorales se pueden colocar sobre los brackets en caso de ortodoncia convencional o sobre los botones en caso de alineadores.
¿Para qué casos están recomendados estos elásticos?
- Para cerrar el espacio entre los dientes: se colocan desde el primer o segundo molar superior hasta el gancho de la cúspide superior.
- En maloclusiones de clase 2, para reforzar el anclaje en caso de haber realizado una extracción, para permitir que los incisivos maxilares se muevan hacia atrás o para corregir la desviación de la línea media y permitir el movimiento bucal de los incisivos inferiores con punta hacia atrás: en estos casos se utilizan desde el primer molar inferior hasta el diente canino superior.
- En relaciones molares que se acercan a la maloclusión de clase 1, sobre todo para corregir un prognatismo retrayendo los dientes inferiores y adelantando los superiores.
Para clasificar los elásticos de ortodoncia podemos hacerlo a través de su fuerza o su diámetro.
- Fuerza que ejercen (ligera, media o dura). La fuerza va aumentando gradualmente y se muestra a través de onzas (2.5 oz, 3.5 oz, 6.0 oz… etc.).
- Diámetro: Se refiere al ancho o la anchura de los elásticos. El diámetro varía de acuerdo con la distancia que el elástico necesita estirarse para conectarse a los soportes. Se expresa en fracciones de una pulgada o mm.
Elásticos de ortodoncia extraorales
Los elásticos de ortodoncia extraorales son muy parecidos a los intraorales pero expresan mucha más fuerza. Normalmente se utilizan con mentoneras. Tienen que tener una excelente elasticidad y memoria, para produzcan constantemente los movimientos deseados.
Cadenetas
Las cadenetas permiten abarcar varios dientes a la vez. Se utilizan sobre todo en la etapa del cierre de espacios aunque también puede ayudar para corregir maloclusiones y dientes torcidos.
Hilos, cuñas y módulos
Los hilos, cuñas y módulos son aditamentos elastoméricos para completar el tratamiento, caracterizados por su alta elongación y flexibilidad frente a cargas.
Tabla Resumen de Tipos de Arcos
| Tipo de Arco | Material | Características | Usos Comunes |
|---|---|---|---|
| Níquel-Titanio (Ni-Ti) | Aleación de Níquel y Titanio | Súper elástico, con "memoria" | Alineación inicial de los dientes |
| Acero Inoxidable | Acero Inoxidable | Rígido, controla la posición de los dientes | Afinar la posición de dientes y raíces |
| Trenzado | Acero Trenzado | Flexible, baja rigidez | Alineamientos, control de rotaciones y torque |
| TMA (Beta Titanio) | Beta Titanio | Dureza media, sin níquel | Pacientes alérgicos al níquel |
| Estéticos | NITI o Acero con recubrimiento estético | Mimetizan con los dientes | Tratamientos que requieren mayor estética |
tags: #liga #metalica #ortodoncia