Los elásticos en ortodoncia, comúnmente conocidos como gomas, son elementos indispensables para lograr un resultado exitoso en tu tratamiento con aparatos dentales. Estas gomas elásticas están hechas de látex, silicona u otros materiales elásticos.

Si colaboras y utilizas los elásticos de la ortodoncia el tiempo necesario y de la forma que te indique tu ortodoncista, tendrás el éxito asegurado en tu tratamiento con brackets y lucirás una sonrisa espectacular. Clínicas de Ortodoncia Novasmile en Alicante y Benidorm te ayudarán para que así sea.
¿Qué son las gomas para ortodoncia?
Existen dos tipos principales de gomas utilizadas en ortodoncia:
- Ligaduras de unión: Son pequeñas gomas que sirven para sujetar el arco a los brackets. Los niños a menudo las eligen de colores llamativos.
- Elásticos intermaxilares: Se utilizan en ciertos pacientes para corregir problemas de mordida.
Tu ortodoncista determinará qué tipo de gomas es necesario para tu tratamiento específico. A continuación, exploraremos en detalle los elásticos intermaxilares.
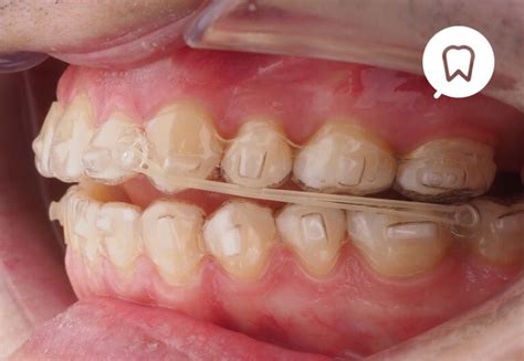
CLASE III Elásticos
Gomas Elásticas Intermaxilares
Los elásticos intermaxilares son elementos auxiliares que ayudan a producir movimientos dentales específicos. Se utilizan para corregir diversos problemas de maloclusión. La posición de estos elásticos y el tiempo que se deben usar varían según el objetivo del tratamiento y la fase en la que te encuentres, siempre bajo la supervisión de tu ortodoncista.
Estas gomas son pequeñas y discretas, fabricadas en látex, silicona o materiales similares. Su forma puede ser circular u ovalada, dependiendo de su uso y la longitud que deben cubrir. Aunque generalmente son de color neutro o transparente, también existen versiones de colores para quienes desean una ortodoncia más llamativa.
¿Cómo se colocan las gomas en la ortodoncia?
Los elásticos se pueden utilizar con la mayoría de los tipos de ortodoncia, incluyendo brackets tradicionales, ortodoncia invisible y estética. La colocación siempre se realiza entre las dos arcadas dentales para asegurar la tensión necesaria que corrija los problemas de mordida.

¿Cómo se utilizan los elásticos intermaxilares?
Los elásticos se enganchan a los brackets de ambas arcadas, uniendo la superior e inferior para ejercer presión y corregir la mordida. Es crucial que sigas las instrucciones de tu ortodoncista al colocar los elásticos. Una colocación incorrecta puede afectar la efectividad del tratamiento y prolongar su duración.
5 Consejos para un Correcto Uso de los Elásticos
Para asegurar el éxito de tu tratamiento con elásticos, ten en cuenta estos consejos:
- Usa las gomas según las indicaciones: Sigue al pie de la letra las instrucciones de tu ortodoncista.
- Sé constante: Utiliza los elásticos diariamente, sin interrupciones.
- Llévalos la mayor parte del día: Retíralos solo para comer y para tu higiene bucal.
- Renueva las gomas cada 24 horas: Las gomas pierden elasticidad con el uso, así que cámbialas diariamente para mantener su efectividad.
- No te desanimes por las molestias: Es normal sentir ligeras molestias al principio, pero piensa en los beneficios a largo plazo.
Recuerda que la clave para lograr los resultados esperados en el menor tiempo posible es utilizar los elásticos correctamente.
Importancia de los Elásticos en la Corrección de la Mordida
Los elásticos intermaxilares son esenciales para corregir problemas de mordida como la sobremordida, la submordida y la mordida cruzada. Estos problemas pueden afectar tanto la estética de tu sonrisa como tu capacidad para masticar y hablar correctamente. La utilización adecuada de los elásticos puede prevenir problemas a largo plazo, como el desgaste desigual de los dientes, dolores en la mandíbula y trastornos de la articulación temporomandibular (ATM).
Tipos de Problemas que Corriegen los Elásticos Intermaxilares
Dependiendo de la severidad y el tipo de maloclusión, tu ortodoncista te indicará el uso de elásticos específicos para tratar:
- Sobremordida: Cuando los dientes superiores cubren excesivamente los dientes inferiores.
- Submordida: Cuando los dientes inferiores sobresalen más allá de los dientes superiores.
- Mordida cruzada: Cuando algunos dientes superiores cierran por dentro de los dientes inferiores.
- Mordida abierta: Cuando los dientes superiores e inferiores no se tocan al morder.
Beneficios Adicionales de Usar Elásticos en Ortodoncia
Además de corregir problemas de mordida, el uso de elásticos en ortodoncia ofrece otros beneficios significativos:
- Mejoran la alineación general de los dientes.
- Aceleran el progreso del tratamiento ortodóntico.
- Contribuyen a una mejor salud bucal a largo plazo al facilitar la limpieza de los dientes y encías.
Compromiso y Responsabilidad del Paciente
El éxito de los tratamientos de ortodoncia con el uso de elásticos depende en gran medida del compromiso y la responsabilidad del paciente. Es fundamental seguir las indicaciones del ortodoncista y ser diligente en el uso diario de los elásticos. La colaboración entre el paciente y el profesional es esencial para alcanzar los mejores resultados en el menor tiempo posible.

Otros Elementos Auxiliares en Ortodoncia
Además de los elásticos intermaxilares, existen otros elementos auxiliares que se utilizan en ortodoncia para lograr movimientos dentales específicos:
| Elemento Auxiliar | Descripción | Uso |
|---|---|---|
| Muelles | Resortes helicoidales de acero inoxidable o níquel-titanio. | Abrir espacios o desplazar dientes en una dirección determinada. |
| Hilo elástico | Se utiliza en aquellos casos en los que tenemos un diente muy alejados de la arcada y no podemos ligarlo al arco con ningún otro tipo de sujección. | Para sujetar dientes muy alejados de la arcada. |
| Módulos | Dispositivos elastoméricos. | Corrección de rotaciones de premolares. |
| Cadenetas | Dispositivos elastoméricos con eslabones unidos. | Cerrar espacios entre los dientes y ayudar en la alineación y rotación. |
| Ligadura en lazo | Alambre trenzado alrededor de los brackets. | Desplazar un diente en un sentido determinado o mantener un diente en su posición. |
El éxito de tu tratamiento de ortodoncia depende de la correcta utilización de estos elementos auxiliares y de tu compromiso con las indicaciones de tu ortodoncista. Recuerda que una sonrisa hermosa y saludable es el resultado de un esfuerzo compartido.