Mantener tu férula dental en óptimas condiciones es esencial para preservar su durabilidad y garantizar tu salud bucodental. Como todos los aparatos dentales, puede acumular manchas, bacterias y residuos de alimentos con el tiempo. Por lo tanto, es crucial saber cómo puedes limpiarla adecuadamente.
Antes de salir de la clínica dental con tu férula, lo ideal es pedir asesoramiento a tu dentista. Él te proporcionará las mejores recomendaciones según el tipo de férula que tengas y tus necesidades específicas.

Errores comunes al limpiar tu férula dental
Muchos cometen errores al limpiar su férula, lo que puede reducir su vida útil. Evita lo siguiente:
- Usar agua caliente: El calor puede deformar el material de la férula.
- Utilizar pasta de dientes abrasiva: Algunas pastas contienen partículas que pueden rayar y dañar la férula.
- Dejar la férula en remojo demasiado tiempo: Algunos limpiadores, como el vinagre o el peróxido, pueden deteriorar el material si se usan en exceso.
- Utiliza un estuche ventilado: Guardar tu férula en un estuche cerrado y sin ventilación puede favorecer el crecimiento de bacterias.
- No la dejes expuesta: Evita dejar tu férula expuesta al aire libre o en superficies sucias.
Remedios caseros para limpiar tu férula dental
Existen varios remedios caseros que pueden ayudarte a limpiar tu férula dental sin dañarla:
- Bicarbonato de sodio: Es conocido por sus propiedades limpiadoras y blanqueadoras.
- Vinagre de manzana: Es un potente desinfectante natural.
La importancia de las férulas oclusales
Las férulas oclusales, placas de descarga o desprogramadores neuromusculares son el medio más ampliamente utilizado en el tratamiento de la disfunción de la articulación temporomandibular y del bruxismo. Karolyi fue el pionero en la investigación en el campo del bruxismo y el que introdujo, en 1901, los conceptos actuales sobre el bruxismo.
Por definición, una férula es un aparato rígido o flexible que se emplea para proteger o estabilizar una parte dañada. En odontología, la ferulización es empleada para ganar estabilidad oclusal. La férula distribuye las fuerzas oclusales entre un número considerable de dientes. Además, desprograma la musculatura y permite evaluar si el tratamiento oclusal ayudará a resolver los síntomas del paciente, teniendo, por tanto, una finalidad terapéutica y diagnóstica.
Esta placa o férula de descarga oclusal o de desprogramación es un dispositivo de tratamiento confeccionado a medida que debe ser meticulosamente adaptado por el dentista para diagnosticar y combatir la compleja patología causada por, o acompañante de, los hábitos de apretamiento y/o rechinamiento de los dientes, así como de las sobrecargas neuromusculares que provocan dichos hábitos.
Las férulas que utilizamos con nuestros pacientes están fabricadas con un acrílico transparente termopolimerizable (que se presenta en forma de polvo y líquido). Es un material duro pero resiliente; esto es, permite una deformación moderada y un ligero desgaste bajo el efecto de la actividad dentaria. Son las que utilizamos nosotros y las mejores para los bruxómanos, ya que necesitan morder. El acrílico resiliente absorbe los impactos masticatorios en caso de bruxismo y/o compresión dental.

Características importantes de las férulas:
- Deben estar construidas con una dimensión vertical mínima que ha de adaptarse al espacio libre interoclusal.
- El plano oclusal ha de ser liso, no en línea recta, pero sí con superficies de contacto tan lisas y planas como sea posible.
Protocolo de limpieza y desinfección de las férulas de descarga
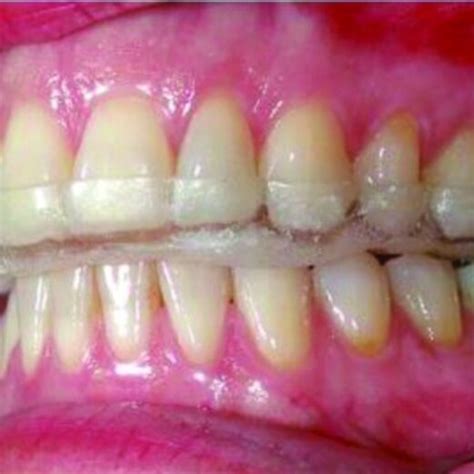
Con el uso, las férulas se desgastan y también van modificando su color. La parte externa de la férula está muy bien pulida, pero la parte hística (la que está en contacto con los dientes) lo está menos para que no disminuya la retención del dispositivo. De cualquier manera, el pulido de la férula va a ser siempre deficiente debido a las características de la resina con la que se fabrica y la acumulación de placa bacteriana producirá un sabor y color muy desagradables. Es especialmente esa parte interna la que se puede teñir más.
Por todo lo explicado, es muy importante establecer un protocolo de limpieza y desinfección de las férulas de descarga que el paciente pueda realizar regularmente en su domicilio y que debemos explicarle en el gabinete dental en el momento en que se le entrega.
Recomendaciones para el paciente:
- Se le recomienda al paciente que lleve la férula durante la noche o todo el día, según sea el caso.
- Cuando no la tenga puesta, ha de ser mantenida en un ambiente húmedo. Ello se puede conseguir guardándolo en su caja con esponja más colutorio.
- La férula se debe transportar en un contenedor rígido para evitar su deformación o rotura.
La correcta limpieza de la férula es primordial tanto para su férula como para su salud. Es importante también para la salud del paciente. Las férulas se pueden limpiar por acción mecánica, como con el empleo de un cepillo y una sustancia abrasiva, o por acción química.
Limpieza por acción mecánica (Cepillado):
- El cepillado debe tener una duración aproximada de cinco minutos.
- Se tiene que eliminar todo indicio de placa y han de cepillarse las dos superficies de la férula (la externa, más pulida, y la interna, menos pulida para que no pierda la retención).
Un estudio en el que se comparó el cepillado con un dentífrico formulado para empleo protésico y dos limpiadores de impregnación química encontró que el cepillado con un abrasivo era superior a la impregnación para la eliminación de la placa acumulada en todas las superficies protésicas.
Para la limpieza se recomienda emplear un cepillo de prótesis blando, pues su diseño de dos cabezas facilita el contacto de las cerdas con toda la superficie dental.
Cabezales del cepillo:
- Cabezal mayor: Se debe utilizar la porción rectangular plana para limpiar la superficie pulida y oclusal.
- Se puede emplear un cepillo dental blando regular para limpiar la prótesis siempre que su diseño permita el acceso a todas las superficies de ésta.
Cualquier otro tipo de cerda puede abrasionar y lesionar el acrílico blando de prótesis.
Polvos abrasivos o dentífricos:
Se han comercializado diversos polvos abrasivos y dentífricos para contribuir a la limpieza de las prótesis con cepillo. Entre ellos se encuentran Corega y Remodent +.
Corega presenta una ESPUMA que no daña las prótesis y proporciona un fresco sabor a menta. Se fabrican con un abrasivo suave como carbonato cálcico, que no lesiona la prótesis de acrílico tan fácilmente como los abrasivos de los dentífricos utilizados para limpiar los dientes naturales.
REMODENT +: es una pasta de uso externo.
- Es una pasta no alcalina, con un pH neutro que no daña la superficie de los aparatos.
- Posee una mínima abrasividad, muy inferior en comparación con la de otras pastas que están indicadas para la higiene dental.
Las pastas que se utilizan para limpiar los dientes contienen componentes enfocados a tratar la inflamación gingival, a prevenir la caries, a blanquear, a reducir la sensibilidad, etc.
Por definición, los dentífricos contienen agentes abrasivos cuya función es la de eliminar las manchas y otros depósitos de la superficie de los dientes. Las diferentes fórmulas contienen distintos agentes abrasivos, siendo unos más abrasivos que otros.
Muchas personas consideran que las prótesis se limpian fácilmente y de manera satisfactoria con jabón facial o con bicarbonato sódico y agua.
Las férulas se deben aclarar minuciosamente bajo agua corriente fría después de cada limpieza para eliminar la placa y los detritos, así como para eliminar de ellas el agente limpiador.
Las prótesis nunca se deben aclarar o impregnar en agua caliente, porque las temperaturas elevadas pueden dañarlas. Cuando se guarden en agua o algún agente de inmersión comercializado, han de aclararse nuevamente antes de volver a introducirlas en la boca.
Desinfección química:
La desinfección es la forma más adecuada de evitar el posible contagio. Esto se consigue con una correcta utilización de desinfectantes. El empleo de soluciones químicas para sumergir las prótesis es una alternativa popular a la limpieza mecánica. La ventaja de estos limpiadores radica en que requieren menos esfuerzo y cumplimiento por parte del paciente y en que la solución llega a superficies de la prótesis que son inaccesibles para el cepillo.
Las férulas se desinfectan introduciéndolas en una solución de hipoclorito sódico al 1:10 durante 10 a 30 minutos. Si se tratara de prótesis removibles con partes metálicas (por ejemplo, esqueléticos) hay que ser prudente porque la introducción prolongada de estas prótesis puede provocar la corrosión de las partes metálicas.
El cloro es el desinfectante universal activo frente a todos los microorganismos. En general, se utiliza en forma de hipoclorito sódico. Se trata de un enérgico agente oxidante, corrosivo para los metales. Se considera que las soluciones de lejía doméstica al 10% son eficaces para la desinfección general. Estas soluciones son también bactericidas y fungicidas (matan bacterias y hongos en unas condiciones de uso definidas) lo que las hace útiles en el tratamiento de la estomatitis por prótesis y en la desinfección de las férulas.
La destrucción de la matriz de la placa inhibe también la formación de cálculo, y la acción blanqueadora de la solución elimina la tinción del acrílico de la prótesis. Por su sabor desagradable, las férulas deben cepillarse y aclararse minuciosamente bajo agua corriente.
Tabletas limpiadoras:
Constan de un detergente alcalino combinado con perborato o perborato sódico que, cuando se disuelven en agua caliente, forman una solución alcalina de peróxido de hidrógeno. La liberación de oxígeno por parte del peróxido de hidrógeno da lugar a la formación de burbujas o una acción efervescente que tiene una acción mecánica sobre la prótesis. El empleo regular de estos agentes ayuda a prevenir la formación de tinción y de cálculo si es seguida por el cepillado y el aclarado. En la actualidad, muchas de estas preparaciones se formulan con enzimas que mejoran su acción antibacteriana. Acción antibacteriana que elimina el 99,9% de las bacterias causantes del mal olor.
Soluciones ácidas:
Las soluciones ácidas disuelven los componentes inorgánicos que se forman sobre las férulas y son buenos agentes para eliminar las tinciones preexistentes que no se eliminan mediante los métodos de limpieza habituales. También se ha sugerido para la limpieza de las prótesis el uso de agentes antibacterianos como el gluconato de clorhexidina.
Es difícil comparar la eficacia de los diversos productos de limpieza de férulas debido a la escasez de estudios de investigación que comparen productos utilizados sobre las prótesis actuales in vivo.
Se les debe explicar a los usuarios cómo cuidar, manipular y limpiar correctamente sus férulas (y, por extensión, sus prótesis) y se les debe informar sobre las ventajas e inconvenientes de los productos disponibles para su limpieza. Se debe insistir en que es necesaria su limpieza diaria para impedir la acumulación de placa, cálculo y tinción sobre los aparatos orales.
Los profesionales dentales deben conocer los nombres de los productos que han sido aceptados y aprobados por la ADA (American Dental Association).
Productos comerciales recomendados
Algunos productos comerciales diseñados específicamente para la limpieza de aparatos dentales incluyen:
- Tabletas Limpiadoras Corega Ortodoncias & Ferulas
- Kalipharm Geldis Limpiador de prótesis dentales
Tabletas Limpiadoras Corega Ortodoncias & Ferulas:
Las Tabletas Limpiadoras Corega Ortodoncias & Ferulas han sido desarrolladas con la tecnología Crystal Clear, que te ayudan a mantener tu aparato dental con el mejor aspecto, cuando se utiliza según las instrucciones. Con el uso, un aparato dental puede ir acumulando bacterias causantes de mal olor, por lo que las Tabletas Limpiadoras Corega Ortodoncias & Ferulas son un potente limpiador antibacteriano diario que te ayuda a mantener tu aparato limpio y fresco.
Instrucciones de uso:
- Poner una tableta en un recipiente con suficiente agua templada (no demasiado caliente) para cubrir el aparato dental.
- Sumergir el aparato dental y dejar actuar durante 3 - 5 minutos. Cepillar el aparato con la solución usando un cepillo suave.
- Enjuagar el aparato dental con abundante agua bajo el grifo.
Kalipharm Geldis Limpiador de prótesis dentales:
Gel diseñado para la higiene diaria de prótesis, mascarillas transparentes, muebles electrodomésticos o mordedores: limpia, higieniza y blanquea.
Ingredientes:
Acqua (agua), laureth sulfato de sodio, cocamide dea, cloruro de sodio, aceite de menta piperita [ aceite de menta piperita ], fenoxietanol, ácido benzoico, ácido ascórbico, ácido dehidroacético, etilhexiglicerina, limoneno.
Cómo utilizar:
- Verter una pequeña cantidad de producto sobre el objeto a lavar.
- Cepíllese con un cepillo de dientes.
- Enjuague bien bajo el agua. Repita la limpieza al menos 2 veces al día.
Consejos adicionales para el cuidado de tu férula Invisalign
El tratamiento Invisalign, aunque se trata de una ortodoncia, tiene un mecanismo completamente diferente al de los tradicionales brackets. Las férulas se pueden extraer para comer y beber, pero deben mantenerse siempre limpias y desinfectadas, aunque no hayan estado en contacto directo con alimentos.
- Para evitar dañar el material plástico con el que están fabricadas las férulas, nunca hay que lavarlas con agua muy caliente y jamás meterlas en un lavavajillas o similar.
- No utilices el mismo cepillo con el que te limpias los dientes para limpiar tu férula Invisalign, ya que las bacterias acumuladas en la boca son mucho más abundantes que las que se acumulan en la férula y estas pueden permanecer en el cepillo y traspasarlas al aparato dental transparente.
- Aunque el material para fabricar las fundas Invisalign es resistente, conviene evitar jabones con ingredientes que puedan alterarlo y que tengan perfume ya que, además, es posible que te dejen un mal sabor en la boca cuando vuelvas a ponerte el aparato.
- Tal y como mencionábamos antes, dejar la funda a la intemperie cuando no la estas utilizando puede acumular suciedad y correr el riesgo de caerse.
- Utilizar un cepillo de dientes con cerdas duras puede rallar la férula y afectar a la calidad del aparato y a su invisibilidad cuando lo lleves puesto.
- Para que el tratamiento consiga la sonrisa planeada por ti y por el ortodoncista, las férulas invisibles deben llevarse un mínimo de 22 horas al día.
- Antes de colocarte la funda transparente, lava siempre tus dientes primero.
Alimentos y hábitos a evitar durante el tratamiento Invisalign:
- El tabaco es el gran enemigo de la salud en términos generales y sus efectos son especialmente visibles en los dientes.
- Algunos alimentos pueden teñir el material de la férula y hacer que pierda su principal característica, pasar desapercibida.
- El chicle puede quedarse pegado en los recovecos de la funda transparente y dificultar su posterior limpieza.
- Los refrescos son bebidas carbonatadas que causan daños severos en la férula Invisalign y también en los dientes.
- Las bebidas alcohólicas tienen ácidos que pueden afectar al material y erosionar la dentadura.
Como CUIDAR la FERULA DENTAL con 5 tips 🦷🏆
Siguiendo estos consejos, podrás mantener tu férula dental en perfectas condiciones, prolongar su vida útil y, lo más importante, proteger tu salud bucodental.