Muchos se preguntan si los brackets pueden cambiar la cara. La respuesta es sí, pero de manera positiva y generalmente sutil. Lo más común es que mejore la armonía facial: tu sonrisa se ensancha, el perfil se equilibra, y la posición de la mandíbula encaja mejor dando un aspecto más estético. A continuación, exploraremos cómo los brackets y la ortodoncia pueden influir en tu apariencia facial, corrigiendo problemas de mordida y mejorando la estética de tu sonrisa.

¿Por Qué los Brackets Pueden Cambiar tu Cara?
La ortodoncia considera no solo tus dientes, sino toda tu estructura orofacial al planificar el tratamiento. Los dientes y huesos maxilares son el soporte de los tejidos faciales (labios, músculos, piel) que dan forma a tu rostro. Si mueves la posición de esos postes, el «lienzo» (tus labios, mejillas, perfil facial) también se ajusta.
Cuando llevas brackets, aplicamos presión controlada sobre tus dientes para moverlos a la posición correcta. Esa presión se transmite al hueso que rodea al diente a través del ligamento periodontal (un tejido que actúa como amortiguador entre diente y hueso). El hueso, que es un tejido vivo, responde remodelándose: se reabsorbe donde el diente ejerce presión y se forma hueso nuevo donde hay espacio vacío conforme el diente avanza.
El Impacto en los Labios y el Perfil
Los dientes frontales sirven de soporte a los labios. Si tus incisivos superiores estaban muy hacia adelante y los echamos ligeramente hacia atrás con ortodoncia, tu labio superior ya no estará tan proyectado; adquirirá un perfil más plano. La posición de la mandíbula (maxilar inferior) define tu perfil y la forma de tu mentón.

Una mandíbula desalineada (por ejemplo, muy hacia atrás o hacia adelante) hace que ciertas zonas de la cara se vean desproporcionadas (mentón muy metido o muy salido, por ejemplo). Los brackets pueden mover la mandíbula gradualmente a una posición más equilibrada con respecto al cráneo siempre que estemos dentro de los límites que la ortodoncia puede abordar.
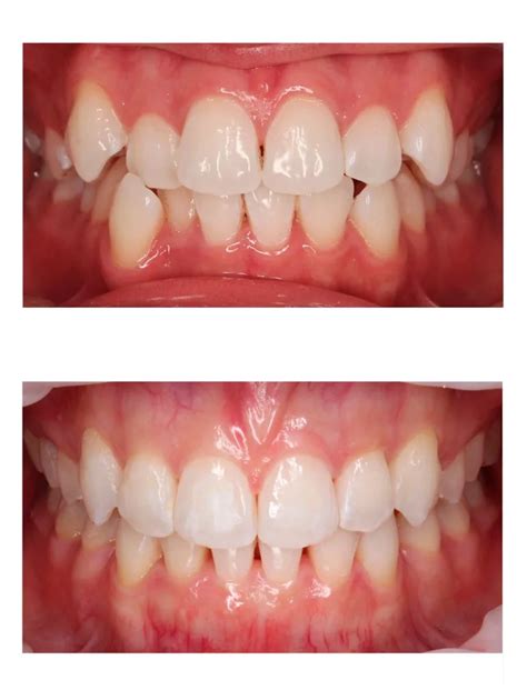
¿Los BRACKETS cambian la FORMA DEL ROSTRO? Estos son los Beneficios DESPUÉS de la ORTODONCIA
Efecto en la Sonrisa y las Mejillas
Los arcos dentales (maxilar superior e inferior) determinan la anchura de tu sonrisa y la forma de tus mejillas. Si tenías un arco muy estrecho (paladar contraído), es posible ensancharlo un poco con la ortodoncia o expansores, lo que puede hacer que tus mejillas se vean más llenas al sonreír y que se te vea más «tejido de sonrisa» (menos comisuras vacías).
El ajuste de la mordida (cómo encajan los dientes de arriba con los de abajo) afecta a la postura de la mandíbula en reposo y al ángulo labio-nasal (la inclinación entre la base de la nariz y el labio superior). Al corregir la mordida, la simetría facial mejora y, de perfil, la transición nariz-labios-mentón se ve más suave.
Cómo Cambia la Cara con Brackets Según tu Problema Dental
No todas las personas experimentarán los mismos cambios; todo depende de tu caso inicial. A continuación, veremos cómo cambia la cara con brackets según el tipo de problema de mordida o alineación que tengas. Si identificas tu caso, entenderás qué transformación facial por brackets es posible.
Mordida Abierta
Una mordida abierta ocurre cuando al cerrar la boca, quedan espacios abiertos entre los dientes frontales (superiores e inferiores) porque no contactan. En otras palabras, los dientes de adelante no encajan y es como si siempre estuvieras dejando un huequito al morder.
¿Cómo afecta la cara?
Las personas con mordida abierta a menudo tienen un aspecto de cara alargada, especialmente en la zona inferior del rostro. Al no poder cerrar bien los labios, la boca tiende a estar entreabierta en reposo, dando una apariencia de estar “boquiabierto” permanente. El mentón puede lucir más hacia abajo y la expresión facial cambia (a veces parece de asombro o cansancio debido a la postura labial).
¿Qué hace la ortodoncia?
Con brackets (y a veces apoyos extra como elásticos verticales o dispositivos especiales), podemos cerrar la mordida abierta haciendo que los dientes frontales superiores e inferiores entren en contacto adecuado. Esto conlleva un reposicionamiento de la mandíbula y un entrenamiento de los músculos faciales para que los labios puedan cerrarse cómodamente.
Cambio visible:
El antes y después es notable: de un rostro donde los labios no cerraban y se veía alargado, se pasa a un rostro más corto y armonioso. Los labios descansan juntos, dando una expresión más relajada. Muchos pacientes con mordida abierta corregida comentan que “por fin puedo sonreír sin mostrar tanto la encía” o que su expresión parece más alegre y natural.
Mordida Cruzada Anterior (Prognatismo)
Hablamos de mordida cruzada anterior cuando la mandíbula inferior muerde por delante de la superior. Es lo que coloquialmente muchos llaman “prognatismo” o tener la “mandíbula salida”.
¿Cómo afecta la cara?
Este tipo de maloclusión hace que el mentón se vea muy prominente y la cara adquiera un perfil cóncavo (hundido a la altura de la boca pero con la barbilla marcada). De frente, puede notarse una mandíbula ancha o dominante.
¿Qué hace la ortodoncia?
Con ortodoncia podemos corregir en parte el prognatismo, especialmente si se trata de un problema dental (y no solo óseo). Esto implica llevar los dientes inferiores hacia atrás y/o los superiores hacia adelante hasta que encajen correctamente. A veces, si la discrepancia es grande, se combinan brackets con tratamiento ortopédico en edad temprana (máscaras faciales, mentoneras) o con cirugía ortognática en adultos para ajustar la posición ósea.
Cambio visible:
Al finalizar, la zona del mentón se ve menos prominente. El perfil deja de ser tan cóncavo para volverse más recto o convexo suave (lo ideal). Básicamente, quitamos ese efecto de “bulldog” que tenía el perfil. La gente suele notar que el paciente “suavizó su expresión” o que “ya no tiene la barbilla tan salida”. El contorno mandibular se equilibra con el resto de la cara. De nuevo, es un cambio favorable: pasamos de un perfil duro o marcado a un rostro más dulce y armónico, manteniendo eso sí la esencia de la persona (no le vamos a borrar el hoyuelo de la barbilla si lo tenía, ¡y tampoco queremos!
Sobre mordida Excesiva
La sobremordida excesiva ocurre cuando los incisivos superiores cubren demasiado a los inferiores al morder. En casos extremos, los dientes de abajo prácticamente ni se ven porque quedan tapados por completo por los de arriba; incluso pueden morder el paladar.
¿Cómo afecta la cara?
Las personas con sobremordida profunda tienden a tener el mentón retraído (mandíbula inferior pequeña o hacia atrás) y a veces un aspecto de cara más redonda o cuadrada con mejillas un poco hundidas. ¿Por qué hundidas? Porque la mordida profunda a menudo va con un colapso de la dimensión vertical (la altura de la mordida es menor de lo normal), entonces el tercio inferior de la cara es más corto y los tejidos de mejillas y labios pueden quedar con menos soporte, dando un aspecto algo envejecido o de papada incipiente.
¿Qué hace la ortodoncia?
Con brackets corregimos la sobremordida elevando los dientes inferiores y/o bajando los superiores (simplificando la explicación) hasta que haya una mordida ideal: los incisivos de arriba cubriendo solo ~2mm de los de abajo. También reducimos el overjet (distancia horizontal) si los de arriba estaban muy adelante, usualmente retrayéndolos un poco. Al hacer esto, damos espacio al mentón para expresarse.
Cambio visible:
El cambio estrella aquí es que el paciente, de tener un mentón poco definido o “metido”, pasa a lucir un perfil más recto, con el mentón más marcado. ¡Ojo! No es que mágicamente crezca el hueso del mentón, pero al corregir la posición relativa de los huesos, el mentón se nota más. También las mejillas se ven menos hundidas porque al mejorar la mordida, la altura del tercio inferior aumenta un poquito, “estirando” la cara en el buen sentido y permitiendo que los tejidos se reubiquen. Muchas personas parecen incluso más jóvenes tras corregir una sobremordida severa, porque desaparece ese gesto como de papada o de boca muy cerrada. En fotos de antes y después, la cara pasa de un aspecto más aplastado en la parte inferior a uno más esbelto y proporcionado.
Otros Cambios Faciales Notables
- Apiñamiento dental severo: Al alinear los dientes con brackets, mejora la simetría de tu sonrisa y eso da inmediatamente una impresión facial más equilibrada.
- Dientes protruidos hacia adelante: Con ortodoncia, movemos esos dientes hacia adentro a su posición correcta. El cambio en el perfil es notable.
- Arcadas dentales muy estrechas: Expandir un poco un paladar estrecho con ortodoncia puede realzar los pómulos ligeramente.
Tabla Comparativa de Maloclusiones y Cambios Faciales
La siguiente tabla resume cómo las maloclusiones típicas impactan el rostro antes y después del tratamiento con brackets:
| Problema dental (Maloclusión) | Apariencia facial ANTES (sin tratar) | Apariencia facial DESPUÉS (tras ortodoncia) |
|---|---|---|
| Mordida abierta (espacio entre incisivos sup. e inf.) | Cara alargada, labios entreabiertos, expresión de asombro | Rostro más corto y armonioso, labios cerrados y relajados |
| Mordida cruzada anterior (mandíbula inferior prominente) | Mentón muy prominente, perfil cóncavo | Mentón menos prominente, perfil más recto o convexo |
| Sobremordida excesiva (incisivos superiores cubren demasiado a los inferiores) | Mentón retraído, cara redonda, mejillas hundidas | Mentón más definido, perfil más recto, mejillas menos hundidas |
Nota: cada caso es único; la tabla muestra tendencias generales.
Mitos Comunes Sobre los Brackets y la Cara
Es crucial abordar algunos mitos comunes para aclarar las expectativas sobre los cambios faciales con ortodoncia.
¿Los brackets cambian la forma de la nariz?
No, los brackets no cambian la forma de tu nariz: ni el tamaño, ni la anchura, ni la punta… Al fin y al cabo, la nariz es cartílago y hueso nasal, estructuras en las que la ortodoncia no interviene. Cuando modificamos la posición de los dientes y labios, la percepción de la nariz en el conjunto facial puede cambiar.
¿Qué hay de los labios?
Sí, tus labios pueden cambiar ligeramente con la ortodoncia, principalmente en perfil y grosor aparente, porque dependen mucho de la posición de los dientes. Labios que estaban muy proyectados hacia adelante podrían aplanarse un poco, o labios que estaban hundidos pueden ganar soporte.
Beneficios Adicionales de la Ortodoncia
Además de los cambios estéticos, la ortodoncia ofrece numerosos beneficios para la salud bucal y general:
- Alinear la mordida: Las maloclusiones dentales son una incorrecta alineación entre las dos mandíbulas (inferior y superior) o mandíbula y piezas dentales, de modo que la mordida no encaja de forma adecuada.
- Incentiva una mejor higiene bucal: La alineación correcta de los dientes permite una mejor higiene bucal, ya que es posible que algunas partes de los dientes no sean accesibles al cepillado o el hilo dental si las piezas dentales están desalineadas o no cuentan con el espacio suficiente.
- Mejora en la autoestima: Un tratamiento de ortodoncia con brackets logra que el paciente recupere una sonrisa con los dientes alineados, frente a posibles complejos derivados de apiñamientos o maloclusiones.
