Muchos famosos usan carillas dentales para mejorar su sonrisa, buscando una imagen perfecta para mostrar al público. Lograr la sonrisa más blanca y brillante parece ser el objetivo de muchos actores, cantantes y personalidades.
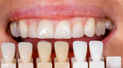
Las carillas dentales son soluciones estéticas avanzadas en odontología que han ganado popularidad en los últimos años. Se trata de delgadas láminas diseñadas a medida, elaboradas de porcelana o resina compuesta, que se adhieren a la superficie frontal de los dientes. Este tratamiento es idóneo para quienes buscan mejorar la apariencia de sus dientes sin necesidad de procedimientos invasivos.

¿Qué son las Carillas Dentales?
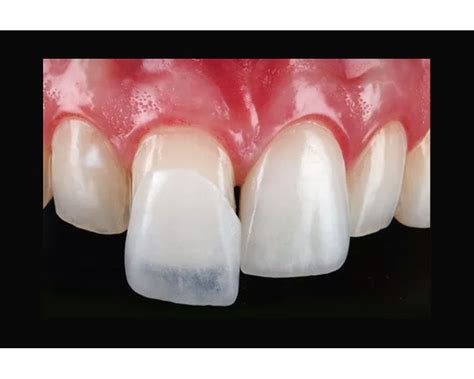
Las carillas son piezas permanentes y ultra delgadas de porcelana o resina compuesta que se aplican cuidadosamente en la parte delantera de los dientes para cambiar su apariencia. Permiten corregir forma, tamaño, posición y color de nuestros dientes.
Entre las principales irregularidades que pueden ser tratadas con carillas dentales se encuentran las decoloraciones, el desgaste, las roturas, las malposiciones y otros defectos semejantes.
Tipos de Carillas Dentales
Debes saber que existen dos tipos en función del material empleado: de porcelana y composite.
- Carillas de Porcelana: Son ampliamente conocidas por su durabilidad y apariencia estética. Una de las razones principales para optar por las carillas de porcelana es su resistencia a las manchas. A diferencia de los dientes naturales, que pueden teñirse con café, vino o tabaco, las carillas de porcelana mantienen su blancura por años.
- Carillas de Composite: También conocidas como carillas de resina compuesta, son una alternativa más asequible y rápida en comparación con las carillas de porcelana. Un beneficio significativo de las carillas de composite es su facilidad de aplicación y la relativa rapidez del procedimiento. En una sola sesión, el odontólogo puede esculpir el material compuesto sobre los dientes, permitiendo correcciones inmediatas y ajustes en el momento.

Famosos y sus Transformaciones Dentales
Una sonrisa perfecta es a menudo visto como el último símbolo de la belleza y el éxito en Hollywood. Pero no todas las sonrisas son iguales, y muchas celebridades han optado por mejorar la suya con la ayuda de carillas.
Tom Cruise
Tom Cruise, uno de los actores más icónicos de Hollywood, es conocido por su brillante carrera en el cine. Sin embargo, a lo largo de sus primeras apariciones, mostró una sonrisa que no estaba a la altura de su estatus estelar. El actor decidió someterse a un tratamiento dental integral para corregir esos problemas y lograr la sonrisa perfecta que hoy en día luce con orgullo.
El primer paso del tratamiento consistió en la colocación de brackets que corrigieron la posición de sus dientes. Una vez completada la fase de ortodoncia, Cruise procedió con la colocación de carillas de porcelana. Las carillas de porcelana no solo le brindaron una mejora estética significativa, sino que también corrigieron el color de sus dientes, proporcionando una blancura constante y homogénea.
La corrección de las irregularidades dentales de Tom Cruise no solo mejoró su apariencia en pantalla, sino que también le dio una mayor seguridad personal. La simetría alcanzada en su sonrisa resultó en una armonía facial que se traduce en una estética mucho más agradable para el espectador.

How Tom Cruise’s Transformation Became The Talk of Hollywood
Lindsay Lohan
Lindsay Lohan, la conocida actriz estadounidense, es otro ejemplo de cómo unas carillas bien colocadas pueden transformar radicalmente una sonrisa. Al principio de su carrera, Lohan mostraba una sonrisa que, aunque característica, marcaba de manera negativa su apariencia.
Las manchas en los dientes de Lohan eran producto de diversos factores, incluyendo su estilo de vida y hábitos alimenticios. Este problema estético afectaba notablemente su confianza y presencia tanto en la pantalla como en eventos públicos.
El primer paso en la transformación de la sonrisa de Lohan fue un blanqueamiento dental profesional. Este procedimiento se realizó para eliminar las manchas superficiales y profundas que oscurecían sus dientes, devolviéndoles un tono más blanco y brillante. Para abordar el problema del tamaño y dar uniformidad a su dentadura, Lohan decidió someterse a la colocación de carillas de porcelana.
La combinación de ambos procedimientos tuvo un efecto transformador en la sonrisa de Lohan. Sus dientes, anteriormente manchados y pequeños, ahora lucen homogéneos en tamaño y con un color blanco deslumbrante. La sonrisa renovada de Lohan se ha convertido en uno de sus rasgos más destacados, complementando su estilo y presencia en la industria del entretenimiento.

Cristiano Ronaldo
El futbolista portugués comenzó su camino hacia una sonrisa perfecta afrontando una agenesia congénita de uno de sus incisivos. Esta condición significaba que le faltaba uno de sus dientes incisivos permanentes, generando desplazamientos y desalineaciones.
Para corregir estos problemas, Ronaldo primero utilizó brackets para alinear su dentadura. Estos aparatos ortodóncicos tradicionales son conocidos por su efectividad en la corrección de maloclusiones y desalineaciones graves. Una vez que sus dientes estuvieron correctamente alineados, y el espacio dejado por la agenesia fue adecuadamente gestionado, Ronaldo decidió optar por un tratamiento más discreto para finalizar su alineamiento dental. La ortodoncia invisible, como los alineadores transparentes, se convirtió en la siguiente fase.
Después de completar el tratamiento ortodóncico, Cristiano Ronaldo se enfrentó al desafío de mejorar el color de sus dientes, que presentaban manchas y un tono amarillento debido al desgaste y a la pigmentación natural. El proceso de blanqueamiento involucró la aplicación de agentes blanqueadores bajo la supervisión de un dentista especializado. Este tratamiento permitió a Ronaldo eliminar las manchas superficiales y profundas, logrando una sonrisa más blanca y radiante.
Para conseguir una solución duradera y estética, el futbolista optó por la colocación de carillas de porcelana. La elección de carillas de porcelana facilitó no solamente la cobertura de cualquier mancha residual sino que también permitió perfeccionar la forma y el tamaño de cada diente. Esta meticulosidad asegura una sonrisa totalmente armoniosa y balanceada.

Zac Efron
Zac Efron, conocido por su papel en la franquicia de Disney High School Musical, es un ejemplo emblemático de transformación dental entre las celebridades. Al comienzo de su carrera, una característica distintiva de Zac era un notable diastema interincisivo, una separación evidente entre sus incisivos frontales. Para aquellos que buscan corregir problemas similares, el tratamiento que Efron decidió seguir ofrece una guía útil.
Zac optó por el uso de carillas Lumineers, una solución moderna y menos invasiva dentro del campo de la odontología estética. El tratamiento de Zac Efron no sólo cerró la brecha entre sus dientes, sino que también armonizó el conjunto de su sonrisa. Las carillas de porcelana Lumineers se colocaron sobre sus dientes existentes, proporcionando una cobertura completa y uniforme.
Una parte importante del tratamiento es la preparación previa que se realiza. Para iniciar este procedimiento, el odontólogo primero crea un molde de la dentadura del paciente, permitiendo fabricar carillas personalizadas que se ajustan perfectamente a cada diente.
Hoy en día, Zac luce una sonrisa recta, blanca y atractiva, que ha armonizado su apariencia general. La desaparición del diastema ha contribuido no solo a su estética, sino también a su confianza frente a las cámaras. La transformación de Zac Efron refleja el impacto significativo que pueden tener las carillas dentales en la apariencia de una persona.

Becky G
La famosa cantante y modelo Becky G, conocida por éxitos como ‘Shower’, es uno de los ejemplos más notables de transformación dental mediante el uso de carillas. Inicialmente, Becky presentaba una sonrisa con dientes separados y ligeramente proyectados hacia afuera.
El proceso de mejora de su sonrisa comenzó con un tratamiento de ortodoncia. La ortodoncia se utilizó para alinear los dientes y corregir la mordida, esencial para crear una base estable sobre la que aplicar las carillas dentales. Una vez los dientes estuvieron en la posición adecuada, se procedió con la colocación de carillas de cerámica.
El tratamiento de Becky G no solo incluyó la ortodoncia y las carillas de cerámica, sino que también se llevó a cabo un blanqueamiento dental. Este paso fue crucial para asegurar que todos sus dientes tuvieran un color uniforme y brillante, mejorando así el resultado final.
A día de hoy, Becky G luce una sonrisa completamente transformada que realza su belleza natural. Gracias a las carillas dentales y un tratamiento ortodóntico adecuado, su imagen ha cambiado drásticamente, incrementando su confianza y presencia frente a las cámaras.
Miley Cyrus
La cantante y actriz Miley Cyrus ha sido una figura pública desde joven, lo que ha puesto su evolución dental en el ojo de todos. Para abordar este problema, Miley decidió someterse a un tratamiento integral que incluía ortodoncia y la colocación de carillas Lumineers. El primer paso en el tratamiento fue la ortodoncia. Miley utilizó brackets para mover sus dientes a las posiciones correctas.
Tras completar el tratamiento ortodóntico, se hizo necesario recurrir a las carillas Lumineers para obtener la sonrisa perfecta. Una vez finalizado el tratamiento ortodóntico, Miley Cyrus optó por las carillas Lumineers para finalizar su transformación dental. El proceso de colocación de las Lumineers fue meticuloso. Primero, se realizaron impresiones dentales detalladas para diseñar las carillas a medida. Después, las carillas se probaron para asegurar un ajuste perfecto y una apariencia natural.
El resultado de este tratamiento integral es una sonrisa visiblemente armoniosa y bien alineada. Las carillas Lumineers no solo mejoraron la estética dental de Miley, sino que también hicieron su sonrisa más funcional al eliminar el apiñamiento y corregir la mordida.
George Clooney
Para combatir el desgaste dental severo causado por el bruxismo, George Clooney optó por un tratamiento multifacético que incluye el uso de una férula de descarga. El bruxismo es una afección que se caracteriza por el rechinamiento o apretamiento involuntario de los dientes, principalmente durante el sueño. La férula de descarga es un dispositivo hecho a medida de material acrílico o plástico que se coloca sobre los dientes superiores o inferiores. Su principal función es distribuir las fuerzas de la mordida de manera uniforme, lo que protege los dientes del desgaste excesivo y reduce las tensiones en la mandíbula.
El tratamiento de Clooney comenzó con una evaluación exhaustiva realizada por su dentista. En la primera consulta, se tomó una impresión detallada de su boca para crear una férula personalizada. Una vez lista, la férula fue ajustada cuidadosamente para asegurar un encaje cómodo y efectivo. Además de utilizar la férula de descarga, Clooney también se sometió a otros procedimientos dentales para restaurar la estética y funcionalidad de su sonrisa. El desgaste dental había dejado sus dientes oscuros y con una apariencia envejecida.
Las carillas dentales son una solución estética y funcional para problemas de desgaste dental. En el caso de Clooney, las finas láminas de porcelana no solo restauraron la apariencia de sus dientes, sino que también proporcionaron una barrera protectora contra futuros daños.
Morgan Freeman
Morgan Freeman rejuveneció su sonrisa con una reconstrucción oral completa. Para abordar los problemas dentales de Morgan Freeman, uno de los pasos más importantes fue la colocación de implantes dentales. La colocación de implantes es un procedimiento que requiere una planificación meticulosa. La fase inicial del tratamiento consistió en la inserción de los implantes en el hueso maxilar. Estos implantes, generalmente de titanio, actúan como raíces artificiales alrededor de las cuales se construyen las nuevas piezas dentales.
Una vez que los implantes se integran correctamente, se procede a colocar las prótesis sobre ellos. En el caso de Morgan Freeman, se optó por una combinación de coronas y carillas. Estos tratamientos no solo devolvieron la funcionalidad completa a la boca de Freeman, sino que también transformaron su sonrisa.
Otros Famosos y sus Tratamientos Dentales
Muchos otros famosos han recurrido a tratamientos dentales para mejorar su sonrisa. Algunos ejemplos incluyen:
- Penélope Cruz: Mejoró su sonrisa con carillas para alinear sus dientes frontales y mejorar el color.
- David Bustamante: Se sometió a una evaluación inicial y diseño de sonrisa, seguido de la preparación de sus dientes para la colocación de carillas.
- 50-Cent: Tuvo un cambio radical en su imagen, incluyendo una importante renovación dental.
- Jessica Alba: Se operó la dentadura en los inicios de su carrera.
- Jennifer Garner: Aumentó el tamaño de sus labios con inyecciones de colágeno además de una clara cirugía dental.
- Nicholas Cage: Recuperó la estética de sus dientes mediante cirugía dental y recubrió sus dientes con fundas de porcelana.
Tratamientos Alternativos a las Carillas
Además de las carillas, existen otros tratamientos que pueden mejorar la sonrisa:
- Blanqueamiento dental: Para eliminar manchas y mejorar el color de los dientes.
- Ortodoncia invisible (Invisalign): Para corregir la alineación de los dientes de manera discreta.
- Empastes de composite: Para reemplazar los empastes de amalgama y mejorar la estética.
- Prótesis dentales: Para reemplazar los dientes perdidos y restaurar la funcionalidad y estética.
| Famoso | Problema Dental | Tratamiento |
|---|---|---|
| Tom Cruise | Dientes separados, torcidos y amarillos | Ortodoncia y carillas de porcelana |
| Lindsay Lohan | Dientes manchados, astillados y pequeños | Blanqueamiento dental y carillas de porcelana |
| Cristiano Ronaldo | Agenesia de un incisivo, dientes desalineados y manchados | Brackets, ortodoncia invisible, blanqueamiento y carillas de porcelana |
| Zac Efron | Diastema interincisivo (separación entre dientes) | Carillas Lumineers |
| Miley Cyrus | Problemas de alineación | Ortodoncia y carillas Lumineers |
| George Clooney | Desgaste dental por bruxismo | Férula de descarga y carillas dentales |
| Morgan Freeman | Dientes caídos, decoloraciones y espacios | Implantes dentales, coronas y carillas |
La transformación dental de las celebridades es un testimonio del poder de la odontología estética moderna. Las carillas dentales, junto con otros tratamientos como la ortodoncia y el blanqueamiento, pueden transformar una sonrisa y mejorar la confianza y la apariencia general de una persona. Si estás considerando mejorar tu sonrisa, consulta con un dentista especializado en estética dental para explorar tus opciones y lograr la sonrisa de tus sueños.