La perfección en los dientes es casi imposible de lograr de manera natural, ya que el desgaste y el paso del tiempo afectan su apariencia y funcionalidad. Sin embargo, existen tratamientos con los que se puede conseguir la sonrisa ideal, esos "dientes de famosos" que tanto admiramos.

¿Cómo Hacen los Famosos para Tener Dientes Perfectos?
¿Has notado cómo la mayoría de los famosos parecen cumplir con el concepto de sonrisa perfecta? La respuesta está en los tratamientos odontológicos destinados a mejorar la forma, la alineación y la coloración de la dentadura. Los famosos no nacen con dentaduras perfectas, sino que confían en su dentista para realizar un tratamiento a su medida.
Nuestros dientes están sometidos a un proceso de desgaste continuo debido a la agresividad de los procesos a los que están sometidos. Los alimentos que consumimos erosionan los dientes, la coloración de bebidas, tabaco y comidas generan manchas en el esmalte que afectan la estética dental.
Por otro lado, las malformaciones y trastornos odontológicos naturales producen afectaciones en la alineación y simetría de los dientes. A medida que pasan los años, todos estos elementos confluyen para darnos una apariencia dental muy alejada a los dientes perfectos.
Los artistas del cine, modelos, músicos y otros famosos lucen una sonrisa blanca, alineada, con un tamaño y una posición casi perfecta. El diseño de sonrisa digital, blanqueamientos, carillas, implantes dentales y ortodoncia son algunos de los tratamientos a los que recurren para conseguir una sonrisa perfecta.
Los implantes dentales también te permiten recuperar una sonrisa saludable.
¿Cómo es una Sonrisa Perfecta?
Una sonrisa perfecta estaría formada por unos bonitos dientes blancos, sin manchas, bien alineados y con una mordida correcta. Además, las encías serían uniformes y permitirían una altura de corona adecuada, es decir, las encías no estarían retraídas ni cubrirían demasiado los dientes. Y lo más importante: una sonrisa perfecta es sinónimo de una sonrisa sana.
Por lo tanto, unos dientes perfectos deben estar sanos y no padecer ninguna patología. El cepillado tras las comidas y el uso del hilo dental son la clave para mantener una sonrisa de dientes perfectos y naturales. La higiene bucodental profesional realizada de forma bianual o anual es también otro de los requisitos para gozar de una buena salud oral.
De la misma forma, debemos acudir al dentista una o dos veces al año para revisar que nuestra cavidad oral está perfectamente sana.
Sonrisa Perfecta en Hombre y Mujer: ¿Cuál es la Diferencia?
La sonrisa perfecta para hombre y mujer tiene unas características parecidas. Como hemos mencionado anteriormente, los dientes perfectos del hombre y de la mujer están alineados, no existen diastemas, son de color blanco y el margen gingival está conservado.
Sin embargo, los dientes perfectos naturales en el hombre y en la mujer presentan unas pequeñas diferencias:
- Hombres: Dientes un poco más rectilíneos, con mayor marcado de la angulación y generalmente más grandes en proporción con su estatura.
- Mujeres: Dientes un poco más redondeados.
Cabe recordar que la fisionomía de cada persona es única y tanto hombres como mujeres pueden tener unos dientes perfectos que no sigan estos estereotipos. Otro punto a destacar en cuanto a la sonrisa perfecta en mujeres es que, ellas tienen que estar un poco más pendientes del cuidado de sus dientes, ya que hay muchos factores hormonales que pueden generar predisposición a ciertas condiciones.
Por ejemplo, durante el embarazo hay más predisposición a padecer gingivitis y granulomas y, durante la menopausia, aumenta la propensión a padecer osteoporosis, pudiendo afectar a la densidad de los huesos maxilares.
¿Cómo Tener Unos Dientes Perfectos?
Hay varias formas de tener unos dientes perfectos, como los de los anuncios de televisión. Por un lado, existen ciertos tips para tener una sonrisa perfecta muy fáciles de seguir y de acomodar a tu rutina diaria y, por otro, hay algunos tratamientos que, según el caso, pueden ser necesarios para conseguir unos dientes perfectos y totalmente sanos.
Tips para Unos Dientes Perfectos
Hay una serie de trucos que puedes seguir para tener una sonrisa perfecta. Entre otros, los tips para unos dientes perfectos son:
- Cepíllate los dientes tras cada comida.
- Haz uso del hilo dental siempre que te cepilles los dientes.
- Utiliza colutorio para combatir las bacterias y conseguir un aliento fresco.
- Evita alimentos que tiñen los dientes como el vino, los frutos rojos en exceso, el café, el té, etc. Y, si los consumes, trata de cepillarte los dientes lo antes posible para evitar las manchas.
- Visita regularmente a tu dentista.
- Si sientes cualquier molestia o dolor no lo dejes pasar: los profesionales están para ayudarte.
- Acudir a visitas periódicas al dentista es muy importante para detectar posibles patologías orales como las caries, la maloclusión, la periodontitis, el bruxismo, las encías retraídas o problemas dentales o de mordida como la maloclusión, el apiñamiento o los diastemas.
- Trata de no mordisquear los bolígrafos, no abras botellas con los dientes ni otro tipo de objetos.
- Se pueden crear microroturas en estos, dañar el esmalte o, incluso, desplazar poco a poco las piezas dentales.
- Cuida tus encías.
- Evita cepillarte ejerciendo demasiada presión sobre estas, ya que pueden inflamarse y dañarse.
- Utiliza pasta fluorada para evitar las caries.
- Lleva a cabo una limpieza dental profesional con cierta frecuencia.
- Mantén una dieta sana y equilibrada, evitando o reduciendo alimentos que puedan ser perjudiciales para los dientes como los azúcares refinados.
- Sigue las recomendaciones de tu dentista y si tienes un problema de mordida o de desalineación dental y el ortodoncista te recomienda iniciar un tratamiento de ortodoncia, no alargues en el tiempo el iniciarlo.
Tratamientos para Conseguir una Sonrisa Perfecta
Además de los consejos básicos que se pueden aplicar a cualquier persona, en la búsqueda de la sonrisa perfecta existen una serie de tratamientos que pueden ser de gran utilidad en ciertos casos. A continuación detallamos de qué se tratan:
- Realizar un blanqueamiento dental profesional: Un blanqueamiento dental de la mano de profesionales, tanto en clínica como en casa, puede ser una solución para conseguir unos dientes blancos y perfectos si detectamos que el color de nuestros dientes se está amarilleando o si aparecen manchas que no pueden ser eliminadas con la higiene dental diaria.
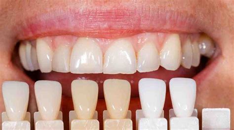
- Conseguir una sonrisa perfecta con carillas: Para conseguir unos dientes perfectos con carillas es importante que no tengamos problemas de oclusión ni dentales graves. Si, por ejemplo, existe una separación dental leve entre las dos paletas, esta puede tratarse gracias al uso de carillas laminadas para conseguir unos dientes perfectos. Para problemas más graves deberemos acudir a los tratamientos de ortodoncia o incluso a la cirugía.
- Tratamiento de ortodoncia: Para tener unos dientes perfectos puede ser necesario recurrir a los brackets o a los alineadores invisibles. Se pueden conseguir unos dientes perfectos con brackets o con alineadores, ya que la ortodoncia puede tratar casos de desalineación y maloclusión dental, espacios demasiado grandes entre piezas y apiñamiento dental.
- Operaciones para conseguir unos dientes perfectos: Hay casos más complicados que requerirán de una cirugía para tener la sonrisa perfecta deseada. Entre los problemas dentales que pueden necesitar cirugía son la colocación de implantes cuando nos falta alguna pieza dental, la cirugía de encías, el injerto de hueso o la elevación del seno maxilar, entre otros. Por otro lado, también puede ser necesaria una operación llamada cirugía ortognática para conseguir unos dientes perfectos en caso de que haya que arreglar problemas muy graves de mordida.
¿Por qué los famosos lucen sonrisas perfectas? [Corpore Sano]
Métodos Comprobados para Conseguir Dientes Perfectos
Existen diversas técnicas mediante las cuales se pueden conseguir los dientes famosos que deseas. A continuación definimos tres de los tratamientos más populares.
Carillas Dentales: Transforma tu Sonrisa
Las carillas dentales son unas fundas delgadas que se adhieren a la parte frontal de los dientes. Es un tratamiento poco invasivo, ya que la dentadura sólo se altera un poco para colocarlas. Con este tratamiento se corrigen imperfecciones como decoloración, desgaste o malposición. El resultado que se obtiene es una dentadura con una apariencia muy natural. Son una solución discreta y rápida, con la que se logra una transformación duradera.

Ortodoncia Invisible: La Solución Discreta
La ortodoncia invisible es mucho más discreta que la tradicional. Famosos como Justin Bieber han recurrido a este tratamiento para corregir la alineación de sus dientes. Se trata de alineadores transparentes, hechos a medida, con los que se modifica la posición de los dientes. A medida que se van realineando los dientes, se sustituyen las férulas por una nueva hasta conseguir la posición ideal. Este cambio suele hacerse cada semana.
Diseño de Sonrisa Digital: Consigue la Dentadura Perfecta
Una opción novedosa y que está entre las más recomendadas hoy en día es el diseño de sonrisa digital. Para este tratamiento es necesario el trabajo conjunto de varios especialistas, ya que implica combinar diversas técnicas. El diseño de sonrisa digital utiliza escáneres 3D que permite a los pacientes verse con la sonrisa deseada antes de comenzar el tratamiento.
¿Cuánto Cuesta Tener una Sonrisa Perfecta?
En la mayoría de los casos, tener una sonrisa perfecta no cuesta tanto como piensas. Hay muchas acciones que hemos mencionado anteriormente que previenen o ayudan a mantener una sonrisa perfecta y que son gratis, como el cepillado dental tras la comida y las revisiones dentales. Si no realizas visitas regulares al dentista ni sigues las recomendaciones de tu dentista acabarás pagando un precio alto para obtener unos dientes perfectos.
Sin embargo, hay casos en los que la prevención no sirve y tener una sonrisa perfecta puede ser un poco más costoso, como en el caso de la cirugía, el blanqueamiento, las carillas y la ortodoncia.
Ejemplos de Transformaciones de Sonrisa en Famosos
A continuación, analizaremos algunos ejemplos de famosos que han transformado sus sonrisas mediante tratamientos dentales:
Zac Efron
Al comienzo de su carrera, Zac Efron tenía un diastema interincisivo, una separación evidente entre sus incisivos frontales. Optó por el uso de carillas Lumineers, una solución moderna y menos invasiva dentro del campo de la odontología estética.

Becky G
Inicialmente, Becky presentaba una sonrisa con dientes separados y ligeramente proyectados hacia afuera. El proceso de mejora de su sonrisa comenzó con un tratamiento de ortodoncia, seguido de la colocación de carillas de cerámica y un blanqueamiento dental.
Cristiano Ronaldo
El futbolista portugués comenzó su camino hacia una sonrisa perfecta afrontando una agenesia congénita de uno de sus incisivos. Para corregir estos problemas, Ronaldo primero utilizó brackets para alinear su dentadura, seguido de ortodoncia invisible, blanqueamiento dental y carillas de porcelana.
Miley Cyrus
Miley Cyrus se sometió a un tratamiento integral que incluía ortodoncia y la colocación de carillas Lumineers para abordar problemas de apiñamiento dental.
George Clooney
Para combatir el desgaste dental severo causado por el bruxismo, George Clooney optó por un tratamiento multifacético que incluye el uso de una férula de descarga y carillas dentales.
Morgan Freeman
Morgan Freeman rejuveneció su sonrisa con una reconstrucción oral completa, incluyendo la colocación de implantes dentales, coronas y carillas.
Tom Cruise
Tom Cruise se sometió a un tratamiento dental integral que incluyó la colocación de brackets y carillas de porcelana para corregir la posición y el color de sus dientes.
Lindsay Lohan
Lindsay Lohan transformó su sonrisa mediante un blanqueamiento dental profesional y la colocación de carillas de porcelana para abordar problemas de manchas y tamaño de sus dientes.
Penélope Cruz
Penélope Cruz mejoró significativamente su sonrisa a través del uso de carillas dentales para corregir un ligero apiñamiento dental.
David Bustamante
David Bustamante mejoró su sonrisa mediante el uso de carillas dentales, sometiéndose a una evaluación inicial, diseño de sonrisa y preparación de sus dientes.
Tabla Resumen de Tratamientos y Resultados
| Famoso | Problema Inicial | Tratamiento | Resultado |
|---|---|---|---|
| Zac Efron | Diastema interincisivo | Carillas Lumineers | Sonrisa armonizada y diastema cerrado |
| Becky G | Dientes separados y proyectados | Ortodoncia, carillas de cerámica, blanqueamiento | Sonrisa transformada y alineada |
| Cristiano Ronaldo | Agenesia dental, manchas | Brackets, ortodoncia invisible, blanqueamiento, carillas | Sonrisa alineada, blanca y radiante |
| Miley Cyrus | Apiñamiento dental | Ortodoncia, carillas Lumineers | Sonrisa armoniosa y bien alineada |
| George Clooney | Desgaste dental (bruxismo) | Férula de descarga, carillas dentales | Sonrisa restaurada y protegida |
| Morgan Freeman | Problemas dentales múltiples | Implantes, coronas, carillas | Sonrisa rejuvenecida y funcional |
| Tom Cruise | Irregularidades dentales | Brackets, carillas de porcelana | Sonrisa simétrica y estética |
| Lindsay Lohan | Manchas, tamaño irregular | Blanqueamiento, carillas de porcelana | Sonrisa homogénea y blanca |
| Penélope Cruz | Ligero apiñamiento | Carillas dentales | Sonrisa más uniforme y alineada |
| David Bustamante | Imperfecciones dentales | Carillas dentales | Sonrisa transformada y estética |