La ortodoncia es una especialidad de la odontología que se encarga de corregir los problemas de oclusión y posición dental a través de diferentes técnicas. Sin embargo, una vez terminado el tratamiento, surge una preocupación común: ¿Se pueden mover los dientes después de la ortodoncia, aún con retenedores fijos?
La respuesta es sí. Los dientes tienen memoria. Con esto, lo que queremos decir es que tienden a volver a su posición inicial. Si estás pensando: ¿entonces para que me hago ortodoncia? Te adelantamos que es posible evitar que esto suceda.
Retenedores: ¿Por Qué Son Clave Después de la Ortodoncia?

¿Qué es la Ortodoncia?
La ortodoncia es una especialidad de la odontología que busca corregir las malposiciones dentarias y los problemas oclusales. Existen diferentes tipos de tratamientos ortodóncicos:
- Brackets: Es lo que conocemos como ortodoncia convencional. Consiste en unas pequeñas piezas, que pueden ser metálicas o estar hechas en materiales más estéticos, que se colocan en la cara externa de los dientes.
- Alineadores transparentes: Conocidos como ortodoncia invisible, los alineadores transparentes son muy confortables, puesto que están hechos a medida en un material termoplástico finísimo que no genera rozaduras. Se pueden quitar y poner, de manera que se retiran para comer sin ningún tipo de restricción alimentaria, así como para cepillar los dientes, asegurando una perfecta higiene bucodental.
¿Por Qué Los Dientes Se Mueven?
Los dientes tienden a moverse naturalmente (es por eso que la ortodoncia funciona) al estar sometidos a diferentes fuerzas en la boca, la masticación, la fuerza de la lengua y labios hacia ellos, la respiración, etc. buscan constantemente su equilibrio y comodidad en tu boca.
La Importancia De La Retención
La retención es un paso más de la ortodoncia. Concretamente, es la última fase del tratamiento. Estos aparatos tienen como misión la de dar estabilidad a los resultados obtenidos en la fase activa del tratamiento de ortodoncia. Tan importante es esta fase que consideramos que, si el paciente no va a colaborar en llevar estos aparatos, así como en su mantenimiento, recomendamos que no se realice ningún tratamiento de ortodoncia, ya que el riesgo de que los dientes puedan sufrir movimientos indeseados es muy alto.
Después de quitar los brackets o los alineadores invisibles, los dientes todavía se están afianzando en las encías.

Tipos De Retenedores
Existen diversos protocolos de retención cada uno con sus criterios más o menos sólidos.
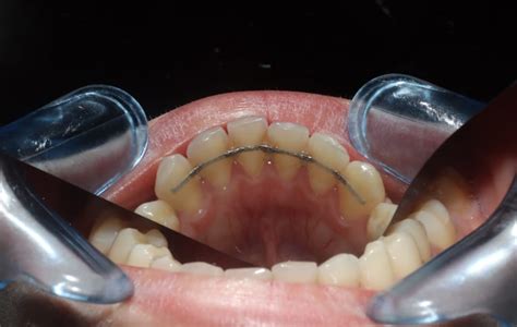
- Retenedor fijo: Se trata de un alambre muy finito que va cementado en la cara interna de los dientes, de canino a canino. Los retenedores fijos son una excelente solución para mantener los dientes en su nueva posición después de un tratamiento ortodóncico. La principal función de los retenedores fijos es evitar que se muevan los dientes.
- Retenedor removible: Consiste en una férula transparente hecha a medida que se coloca, generalmente, durante las horas de sueño. También existen los retenedores Hawley. Este tipo de retenedores están formados por un arco exterior y unos ganchos colocados en los molares para conseguir la sujeción adecuada. Además, la parte del paladar va cubierta por un material acrílico.
La elección entre retenedores fijos y removibles depende de tus necesidades personales y estilo de vida. Si prefieres una opción que no requiera recordar usarla, los retenedores fijos pueden ser ideales.
En el caso de los retenedores removibles, debes usarlos todas las noches de forma indefinida para mantener la alineación de tus dientes. Inicialmente, nuestro ortodoncista puede recomendarte usarlos durante la mayor parte del día, generalmente por unos meses. Después de este periodo, pasarás a usarlos solo durante la noche. La consistencia en el uso nocturno es clave para evitar que los dientes vuelvan a moverse.
Ventajas De Los Retenedores Fijos
- Invisibilidad: Una de las ventajas más apreciadas de los retenedores fijos es su discreción.
- Durabilidad: Fabricados con materiales de alta calidad, los retenedores fijos están diseñados para durar.
- Confort: Aunque la adaptación inicial puede requerir un corto período, una vez que el usuario se acostumbra, es fácil olvidar que incluso están allí.
¿Cómo Evitar Que Los Dientes Se Muevan?
Debes llevar los retenedores dentales fijos de manera indefinida para mantener la alineación de tus dientes. Aunque suena largo, estos retenedores están diseñados para permanecer discretamente en tu boca y asegurar que tus dientes no vuelvan a su posición original.
Es importante que se limpien de manera adecuada los retenedores removibles antes y después de cada uso. Asimismo, se deben utilizar todas las noches y seguir los consejos de tu dentista.
Recomendaciones Para El Cuidado De Los Retenedores
- Es recomendable colocar y retirar los retenedores de un lado a la vez para equilibrar el desgaste y evitar posibles fisuras o roturas.
- Al manipular los retenedores, hazlo con cuidado y suavidad. Evita aplicar fuerza excesiva que pueda dañarlos.
- Guarda siempre tus retenedores en su caja cuando no los estés usando, especialmente durante las comidas para evitar la acumulación de restos de alimentos y bacterias.
- Limpia tus retenedores después de cada uso. Enjuaga el retenedor con agua tibia y cepillalo suavemente con un cepillo dental suave y jabón neutro para eliminar cualquier residuo de comida o placa bacteriana.
- Realiza inspecciones periódicas de tus retenedores para detectar cualquier signo de desgaste o daño.
- Programa visitas de seguimiento regulares con tu ortodoncista para verificar la condición de tus retenedores y realizar ajustes si es necesario.
La limpieza de estos aparatos se debe hacer cada día con jabón neutro y un cepillo de dientes que destines para este uso. También existen pastillas especiales de venta en farmacias para higienizarlos.
Siempre es preferible “pasarse” con la retención y no quedarse corto, por lo cual lo más aconsejable en temas de retención es llevar retención fija y también removible al final de tu tratamiento.
¿Qué Causa El Desalineamiento Dental?
Los dientes se pueden torcer por múltiples motivos. Algunos se originan en los primeros años de vida y otros a cualquier edad.
- Genética: Si tu padre o tu madre tienen los dientes desalineados, debes saber que tú también tienes más probabilidades de padecer el mismo problema. La forma o el tamaño de la mandíbula o maxilar superior pueden ser genéticos.
- Maloclusión dental: Significa que los dientes no encajan al cerrar la boca o al masticar.
- Malos hábitos orales: Algunos malos hábitos orales en los primeros meses y años de vida pueden condicionar en gran medida la salud bucal en etapas posteriores. Respiración bucal.
- Pérdida prematura de dientes: Cuando un niño pierde una pieza dental antes de tiempo, el resto de ellas suelen desplazarse para ocupar el espacio vacío.
- Enfermedad de las encías: La enfermedad de las encías, periodontitis, puede llevar a la pérdida de piezas dentales en sus fases más avanzadas.
- Traumatismos: Los golpes o accidentes en la zona de la boca durante la infancia pueden provocar desplazamientos dentarios.
Por fortuna, los dientes torcidos se pueden corregir para evitar trastornos en la salud oral. La primera opción suele ser el tratamiento con ortodoncia. Estos aparatos ejercen una presión constante en cada diente en una dirección predeterminada por el dentista. De esta forma, se logra que se vayan desplazando de manera gradual hasta la posición correcta.
Consulta Personalizada
En nuestra clínica dental proporcionamos orientación personalizada a nuestros pacientes respecto al uso de los retenedores, teniendo en cuenta factores como la edad, la posición inicial de los dientes, la presencia de enfermedades periodontales o problemas de oclusión. Reconocemos que cada caso es único, por lo que ofrecemos tratamientos adaptados a las necesidades individuales de cada persona. Algunos pacientes pueden necesitar usar los retenedores solo durante el sueño, mientras que otros pueden requerir su uso durante varios años.
Si crees que tus dientes se mueven incluso utilizando retenedores fijos, ponte en contacto con nosotros y pide cita. Cada boca es única, y nuestros especialistas te darán un diagnóstico completamente personalizado y adaptado a tus necesidades.
¡Descubre cómo lograr tu mejor sonrisa!