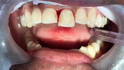
La luxación dental es una lesión traumática que implica el desplazamiento del diente dentro de su alvéolo, sin llegar a una completa avulsión. Esta afectación puede darse con un desplazamiento visible del diente, o sin que haya desplazamiento a simple vista.
Es una patología frecuente en pacientes jóvenes, especialmente en contextos de accidentes deportivos o caídas. La principal característica de la luxación dental es la afectación de la estructura que rodea al diente, es decir el ligamento periodontal y hueso alveolar.

Tipos de Luxación Dental
Existen varios tipos de luxación dental, cada uno con características y tratamientos específicos:
- Concusión: Este tipo de luxación afecta o lesiona a los tejidos de soporte que rodean al diente, pero no existe movilidad en el propio diente.
- Subluxación Dental: Este tipo de lesión cursa con afectación de los tejidos de soporte, con leve movilidad del diente pero sin desplazamiento.
- Luxación Lateral: Este tipo de lesión no presenta movilidad pero existe una alteración en la oclusión o mordida. Cursa con un desplazamiento lateral, y ello conlleva un aumento del espacio periodontal.
- Extrusión: Cursa con un desplazamiento del diente en dirección a incisal.
- Intrusión: El diente se desplaza hacia dentro del hueso o hacia apical. Esta lesión parece como si el diente estuviese corto o no hubiese acabado su erupción. Las luxaciones intrusivas, especialmente en dientes con ápice cerrado, presentan mayor riesgo de necrosis y reabsorción por sustitución.
Diagnóstico de la Luxación Dental
Cuando sufres alguna caída, golpe o traumatismo dental, es muy importante que sea un odontólogo quien diagnostique la gravedad de la lesión, ya que, aunque muchas veces no parece grave, puede ver estructuras lesionadas que no se ven a simple vista.
Para realizar un buen diagnóstico de tu lesión dentaria es necesario que acudas a un especialista. Este hará una exploración clínica sobre tu problema y se apoyará en la realización de radiografías. El odontologo podra realizar, todas o algunas de las siguientes radiografía según sea necesario:
- Ortopantomografía.
- Radiografía oclusal.
- Radiografía periapical.
- Radiografía periapical hacia mesial.
- Radiografía periapical hacia distal.
A parte de la exploración clínica y de las radiografías, el odontólogo realizará algunas preguntas para cerrar su diagnóstico. Estas preguntas pueden ser:
- ¿ Cómo ha sido causado el traumatismo?
- ¿Dónde ha sucedido?
- ¿ Hace cuanto ha sucedido?
Con todo esto el profesional completa su diagnóstico, ve si hay movilidad , desplazamiento, luxación o fractura radicular.
Tratamientos para la Luxación Dental
El tratamiento de una luxación dental se puede dividir en 3 pasos:
- RECOLOCACIÓN DEL DIENTE LUXADO. Este procedimiento dependerá del tipo de luxación que se haya diagnosticado. Lo mas importante es chequear que no exista desplazamiento del diente y que la oclusión sea la correcta.
- INMOVILIZACIÓN DE LA PIEZA DENTAL: Al instante de padecer el golpe la pieza dental afectada pasa a la ferulización, con el fin de estabilizar usando alambres o composite.
- TRATAMIENTO ADICIONAL: Cuando haya una afectación de la pulpa, por inflamación o muerte del nervio, deberá hacerse una endodoncia o un tratamiento de conducto.
El tratamiento debe individualizarse según el tipo de luxación y la edad del paciente.
Respecto al pronóstico, uno de los factores importantes, como en todas las lesiones traumáticas, es el tiempo transcurrido hasta que se instaura el tratamiento.
Según sea el tipo de luxación, la reducción se realizará de diferentes maneras. Incluso en algunos casos (concusión, subluxación) no habrá que realizar maniobras de adaptación. Después de recolocar el diente luxado y antes de proceder a la ferulización, se hará una radiografía para controlar su correcta posición y se evaluará la oclusión.

Es la técnica mediante la cual se inmovilizan los dientes traumatizados que presentan movilidad. Actualmente hay cierta controversia sobre la verdadera utilidad de la fijación en la prevención de las complicaciones; pero mientras no existan criterios científicos en su contra, la experiencia y un criterio lógico nos aconsejan ferulizar los dientes luxados.
El tipo de férula debe ser elástica. Estudios en primates demostraron que una férula rígida mantenida durante largo tiempo, podía llegar a detener el proceso de curación periodontal, favoreciendo la aparición de anquilosis.
Es importante reseñar que la realizada con composite se considera rígida. El factor primordial exigible a una férula es que una vez aplicada, el diente conserve cierto grado de movilidad en sentido vertical, pero manteniendo un adecuado soporte lateral, lo que favorecerá la curación del ligamento periodontal.
Se han propuesto muchos tipos de férulas. En principio, las de alambre flexible-composite o las de resina para puentes provisionales (Protemp®) serían la más adecuadas.
Aunque no existen criterios estrictos se recomienda un período de inmovilización corto, de dos a tres semanas. En la luxación lateral este período se puede alargar un poco más.
Las luxaciones representan el 15-61% de todos los traumatismos de los dientes definitivos, afectando generalmente a los incisivos centrales superiores. Lo más frecuente es que sea más de un diente el que se luxe, y a menudo presente fractura simultánea de la corona o la raíz.
Un signo característico de las luxaciones es el dolor a la percusión. Pero es necesario utilizar todo nuestro armamentario diagnóstico para realizar una exacta definición de la lesión. La exploración radiográfica resulta considerablemente importante para valorar el grado de desplazamiento y para determinar la existencia de una fractura de la raíz, que por la observación clínica puede llegar a confundirnos.
En líneas generales, será necesario realizar cuatro proyecciones del diente luxado: oclusal, periapical centrada (tamaño 2), excéntrica a mesial y excéntrica a distal.
En la tabla 3 se exponen los criterios de seguimiento y las pautas de actuación en los diferentes tipos de luxaciones.
Si la extrusión se trata varios días después de producida, quizá no se pueda recolocar el diente. En este caso hay que realizar la intrusión con aparatología ortodoncica fija.
La curación depende de una recolocación adecuada. Si no se hace correctamente, la revascularización quizá no sea posible, con lo que el diente paraliza la formación radicular por alteración de la vaina de Hertwig. En dientes con ápice abierto, la obliteración del conducto pulpar es relativamente frecuente, mientras que la necrosis es rara. En dientes con ápices cerrados la situación es la contraria.
ATM - Articulación Temporomandibular y Desplazamiento Discal. Alila Medical Media Español.
Pautas de Actuación en las Lesiones Traumáticas
Las lesiones del ligamento periodontal son los traumatismos que suelen ocurrir más frecuentemente, tanto en la dentición temporal como en la primera fase de la dentición mixta, ya que los espacios medulares son amplios y el ligamento periodontal es más elástico, no sujetando al diente de una manera estable.
A pesar del avance en los conocimientos clínicos y terapéuticos en traumatología dental, el manejo clínico de las luxaciones dentales sigue siendo algo controvertido.
Para un tipo concreto de luxación, como es la intrusiva, en la actualidad no existe un protocolo definido para el tratamiento.
Primeros Auxilios en Caso de Avulsión
Una pieza dental definitiva avulsionada es una de las pocas situaciones de emergencia que existen en Odontología. Se hace indispensable el diferenciar si la pieza avulsionada es permanente o decidua, pues en este último caso la reimplantación no estaría indicada.
Si la reimplantación en el momento de la emergencia no es posible, tendremos que colocar la pieza dental en un medio de transporte que evite la deshidratación de la raíz. En orden de preferencia, será leche, HBSS (solución salina equilibrada de Hank), saliva o solución salina.
Consideraciones Adicionales
Existen diversos componentes para los traumatismos dentales en niños:
- Las caídas en la niñez: los niños acostumbran a tropezarse indefinidamente cuando están jugando y aprendiendo a caminar, por lo que no resulta raro que a través de estas caídas se terminen golpeando sus piezas dentales contra el borde de la cuna, la mesa o incluso el mismo suelo.
- Actividades deportivas: esta clase de lesiones suelen ser también una de las más comunes, debido a que los niños comienzan a practicar deportes llegando a niveles superiores de intensidad y competición.
- Maltrato en la niñez o lesiones no accidentales: un niño maltratado constituye una causa de traumatismo de tipo intencional.
Tabla Resumen de Tratamientos Según el Tipo de Luxación
| Tipo de Luxación | Tratamiento |
|---|---|
| Concusión | Normalmente no requiere tratamiento; los síntomas suelen desaparecer a los pocos días. |
| Subluxación | Puede requerir inmovilización con férula si existe movilidad excesiva o dolor al comer. |
| Extrusión | Recolocación del diente por presión digital lenta y ferulización por tres semanas. |
| Luxación Lateral | Reposicionar el diente bajo anestesia local y estabilizar durante 4 semanas. |
| Intrusión | En dientes inmaduros, permitir la reerupción espontánea; si no ocurre, reposicionamiento ortodóncico o quirúrgico. |
| Avulsión | Reimplantar el diente, colocar una férula durante dos semanas, dieta blanda y, en ocasiones, endodoncia. |