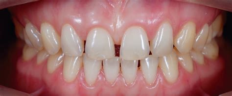
El diastema es un fenómeno dental que se define como un espacio o separación entre dos dientes. Se denomina diastema a la presencia de un espacio notable entre dos o más dientes. El diastema es un espacio o separación entre dos dientes, siendo más común entre los incisivos centrales. Este fenómeno puede tener diversas causas y repercusiones en la salud bucodental, así como en la estética de la sonrisa. En Tarragona, la clínica dental Montse Timoneda se especializa en el diagnóstico y tratamiento de diastemas, ofreciendo soluciones adecuadas y precisas para cada paciente.
Este fenómeno dental es más común entre los incisivos centrales superiores, pero puede manifestarse en cualquier parte de la dentadura. La separación de los dientes puede afectar tanto a las piezas dentales definitivas como a las temporales (de leche). Es decir, tanto a adultos como a niños.
Las características del diastema pueden variar: algunos son más amplios y visibles, mientras que otros pueden ser menores y pasar desapercibidos. La aparición de diastemas en la infancia suele ser un proceso natural, donde los espacios permiten que los dientes permanentes se posicionen adecuadamente. En los adultos, sin embargo, la presencia de diastemas puede representar problemas estéticos y funcionales.
Con frecuencia se observa en la dentición de leche, aunque en los niños no suele considerarse motivo de preocupación ya que los diastemas en ese periodo pueden interpretarse como una señal positiva de que los dientes permanentes tendrán el espacio adecuado para colocarse en la posición correcta. En la mayoría de las ocasiones, los diastemas se corrigen de manera natural a medida que erupcionan los dientes definitivos, puesto que estos son más grandes que las piezas dentales temporales (de leche) y, por tanto, ocupan más espacio.
Mientras que algunas personas están satisfechas con la apariencia de su diastema hay otras que desean cerrar el hueco entre sus incisivos superiores para dar a la sonrisa un aspecto más uniforme.
La relevancia del diastema va más allá de su apariencia. Aunque puede ser considerado un rasgo estético, su presencia también puede influir en la salud dental. Los espacios entre los dientes pueden facilitar la acumulación de placa bacteriana, aumentando el riesgo de caries y problemas en las encías. En este sentido, la evaluación y posible tratamiento del diastema son esenciales para preservar tanto la estética como la funcionalidad de la boca.

Causas del Diastema
El diastema puede resultar de diversas condiciones que afectan la alineación y el espacio entre los dientes.
Desproporción entre el tamaño del maxilar y los dientes
Una de las razones más comunes para la aparición de espacios dentales es el desajuste entre el tamaño del maxilar y el de los dientes. Cuando el maxilar es más grande en comparación con los dientes, puede generar un espacio que se traduce en un diastema. La causa más común del diastema es la desproporción de tamaño entre el hueso maxilar y los dientes. En otras palabras, puede ser que el hueso maxilar sea demasiado grande para los dientes. O que, por el contrario, los dientes sean demasiado pequeños para el hueso maxilar.
Ausencia de dientes
La ausencia de dientes permanentes, ya sea por extracciones o problemas de desarrollo, puede ser una causa directa de diastemas. La pérdida de un diente provoca que los adyacentes se desplacen hacia el espacio vacío, creando un hueco notorio.
Malposiciones dentales
Las malposiciones dentales, en las que uno o más dientes se desalinean, también pueden originar espacios entre ellos. Cuando un diente está torcido o mal colocado, puede alterar la distribución del espacio entre los demás dientes. Las piezas dentales tienen una tendencia natural a moverse. La pérdida de uno o más dientes puede provocar desplazamientos de las piezas dentales vecinas, que tratan de ocupar el espacio vacío.
Frenillo labial
El frenillo labial es el tejido que conecta el labio superior con la encía por encima de los incisivos centrales. Si este tejido es excesivamente grueso o largo, puede empujar hacia fuera los dientes, ocasionando un diastema notable. Este fenómeno es particularmente evidente en los incisivos centrales superiores, donde la separación puede ser más notable. La presión del frenillo sobre estos dientes puede llevar a una separación considerable, afectando tanto la estética como la funcionalidad de la boca.
Microdoncia
La microdoncia, una condición genética que se caracteriza por la reducción del tamaño de los dientes, puede resultar en espacios visibles. Cuando algunos dientes son significativamente más pequeños que otros, pueden no llenar adecuadamente el arco dental, creando diastemas.
Otros factores
- Diferencias en el tamaño de los dientes.
- Frenillo labial largo.
- Presión constante de la lengua contra los dientes.
- Macroglosia.
- Deglución atípica.
- Hiperdoncia.
- Periodontitis. En otras ocasiones, los dientes se separan a causa de la periodontitis. La periodontitis es una enfermedad de las encías que provoca la pérdida del soporte óseo, así como la destrucción de los tejidos blandos (encías).
- Quiste fisurario del conducto nasopalatino.
- Discrepacia oseodentaria positiva.
- Microdoncias o dientes con forma triangular.
- Trastornos eruptivos.
Riesgos Asociados al Diastema
Por lo general, la presencia de un diastema no suele conllevar riesgos para la salud oral. Sin embargo, la existencia de varios diastemas sí puede suponer complicaciones como las siguientes:
La presencia de un diastema puede acarrear diferentes complicaciones para la salud dental.
- Acumulación de placa bacteriana: Uno de los principales problemas que puede surgir debido a la existencia de espacios entre los dientes es la acumulación de placa bacteriana. Estos huecos facilitan la retención de restos de alimentos, contribuyendo a que la placa se acumule en las zonas difíciles de limpiar. Esto a su vez incrementa el riesgo de caries y enfermedades periodontales. La acumulación de placa bacteriana en los dientes y encías es más fácil cuando existen espacios entre las piezas dentales, lo que aumenta el riesgo de caries.
- Problemas de mordida: La existencia de un diastema puede dar lugar a problemas de mordida. La desalineación de los dientes afecta la forma en que se juntan los dientes al cerrar la boca, lo que puede resultar en una incorrecta oclusión. Esta disfunción puede reflejarse en molestias en la mandíbula y en dolores de cabeza, ya que la articulación temporomandibular tiende a trabajar de manera inadecuada.
- Problemas de pronunciación: La separación de los dientes también puede influir en la articulación de ciertos sonidos, impactando la pronunciación de algunas palabras. Esta dificultad es particularmente relevante en niños, quienes están desarrollando sus habilidades del lenguaje.
- Enfermedades de las encías: La acumulación de placa en los espacios interdentales puede provocar inflamación y enfermedades en las encías, como gingivitis o periodontitis. Si no se trata adecuadamente, estas afecciones pueden llevar a infecciones más severas, y eventualmente, a la pérdida de dientes.
Tratamientos para Corregir el Diastema
¿COMO FUNCIONA LA ORTODONCIA INVISIBLE INVISALIGN? ¡ASI MUEVEN LOS DIENTES LOS ALINEADORES DENTALES!
Sin embargo, si una persona llega a la edad adulta con diastemas será necesario llevar a cabo un tratamiento dental para cerrar los espacios. En estos casos, la elección del tratamiento depende de varios factores, como la causa que ha originado el diastema y la severidad de los espacios.
Afortunadamente, existen diferentes estrategias terapéuticas para el tratamiento de los dientes separados. A continuación, te contamos cuáles son los tratamientos más utilizados para corregir un diastema.

Ortodoncia
La ortodoncia es uno de los tratamientos más eficaces para solucionar un diastema, ya que permite eliminar o reducir los espacios entre los dientes. Este tratamiento ayudará a colocar tus dientes en el sitio correcto. La ortodoncia es una de las opciones más populares para cerrar el diastema.
Sin embargo, también es el procedimiento que más tiempo requiere. Esto se debe a que, cuando se opta por la ortodoncia, también es necesario alinear el resto de dientes de la boca. Por tanto, podemos decir que la ortodoncia es una de las opciones más adecuadas, pero requiere tiempo y paciencia.
Por otro lado, puede que no desees realizar un tratamiento de ortodoncia por ser un tratamiento visible y poco estético para algunas personas, por lo que el odontólogo puede indicar una ortodoncia invisible o Invisalign. Además, en la actualidad existen diferentes tipos de tratamiento ortodóncico, como la ortodoncia invisible, por lo que los brackets ya no son la única alternativa terapéutica.
Carillas dentales
Si el espacio que hay entre los dientes es relativamente pequeño y la persona desea resultados inmediatos, el tratamiento con carillas dentales puede ser el más recomendable. Las carillas dentales están indicadas en los pacientes que desean una solución rápida e inmediata, por lo que si has descartado el uso de ortodoncia por el tiempo que te llevará corregir el problema, esta puede ser una solución ideal cuando existe una desproporción de tamaño entre el hueso maxilar y los dientes.
Para disimular un diastema con carillas se pueden utilizar distintos materiales, como el composite y la porcelana. Las carillas son delgadas láminas de porcelana o resina que se adhieren a los dientes para mejorar su apariencia. Por medio de carillas se puede conseguir tapar los huecos existentes entre los dientes.
Un caso en el que debemos utilizar carillas cómo solución es cuando los dientes son excesivamente pequeños; suele ocurrir en casos de pacientes muy corpulentos, y por tanto estéticamente no es lo más adecuado.
Frenectomía
La frenectomía es otro de los tratamientos que permiten solucionar un diastema. Es una cirugía muy sencilla y mínimamente invasiva que está indicada cuando los incisivos centrales superiores están separados debido a un frenillo labial demasiado grueso. Este tratamiento se puede realizar en niños, ya que con el crecimiento natural del cuerpo, el espacio puede cerrarse solo.
En aquellos casos en los que está indicado, se optará por la cirugía, eliminando el frenillo. En estos casos, la frenectomía permite eliminar el exceso de tejido, lo que favorece que los dientes puedan juntarse. Sin embargo, para que esto ocurra será imprescindible realizar un tratamiento adicional.
La razón es que, una vez eliminado el exceso de frenillo, el espacio seguirá estando. Por tanto, habrá que completar el procedimiento con ortodoncia o carillas dentales. Otra de las soluciones es que el odontólogo te indique la realización de una frenectomía, la cual consiste en una pequeña cirugía con anestesia local que se indica cuando el frenillo del labio superior es de un tamaño desproporcionado en relación con los incisivos, ocasionando un diastema entre ellos. Tras la cirugía, debes seguir con una ortodoncia que será de gran ayuda para que la corrección tenga éxito.
Implantes dentales
Los implantes están indicados cuando los diastemas están provocados por la ausencia de piezas dentales. Los implantes dentales son prótesis permanentes que se asemejan a los dientes naturales y que ayudan a mejorar la apariencia y la funcionalidad de la boca. También son una opción a considerar para solucionar el diastema cuando se trata de pacientes adultos.
No obstante, lo habitual es tener que combinar la colocación de implantes con un tratamiento de ortodoncia, lo que permite alinear todos los dientes y dotar de funcionalidad a la boca.
Otros tratamientos
- Retenedores y bandas.
El tiempo de tratamiento de un diastema difiere entre cada paciente.
Prevención del Diastema
La aparición de diastemas no siempre se puede prevenir. Esto se debe a que algunos de ellos están determinados por la genética de la persona (tamaño del maxilar superior, hiperdoncia, macroglosia…). No obstante, hay algunas ocasiones en las que se puede reducir el riesgo de desarrollarlos.
Para ello, es necesario vigilar los hábitos orales infantiles que, aunque parezcan inofensivos, pueden comprometer el desarrollo dental (succión del dedo pulgar, colocación inadecuada de la lengua…). Por ello, en caso de detectar este tipo de costumbres en los niños resulta necesario consultar con un odontopediatra o un ortodoncista.
De la misma manera, es necesario mantener una buena higiene bucodental para reducir el riesgo de presentar enfermedades bucodentales asociadas a las bacterias, lo que puede derivar en la pérdida de dientes (caries, gingivitis, periodontitis…).
El cuidado diario de los dientes y encías es fundamento esencial en la prevención de problemas dentales. Una rutina adecuada no solo previene enfermedades, sino que también ayuda a mantener la sonrisa estéticamente agradable. Programar revisiones dentales periódicas es clave para detectar cualquier problema bucal de manera temprana. Estos chequeos permiten al dentista realizar limpiezas profesionales, que eliminan la placa y el sarro que pueden acumularse. En estos encuentros, el dentista puede evaluar la alineación de los dientes y ofrecer consejos personalizados que contribuyan a una buena salud dental. A menudo, algunos comportamientos diarios pueden afectar negativamente la salud bucal. Es esencial estar alerta a los hábitos que pueden contribuir a la aparición de problemas dentales.
El Diastema como Tendencia Estética
El diastema ha cobrado relevancia en el ámbito social y estético, transformándose en un símbolo que va más allá de lo dental. En los últimos años, este rasgo ha sido reinterpretado como un elemento de belleza. La estética dental ha evolucionado y el diastema ha comenzado a ser visto como un distintivo personal. Esta percepción ha llevado a muchas personas a considerar la posibilidad de mantener o incluso crear espacios entre sus dientes como parte de su imagen.
El fenómeno del diastema ha sido impulsado por figuras públicas que han abrazado esta característica como un distintivo. Celebridades como Ana de Armas y Miley Cyrus han contribuido a su popularidad al exhibirlo en sus sonrisas. La influencia de estas personalidades ha hecho que el público reevalúe la importancia de la apariencia dental.
Sin embargo, seguir modas que promueven la creación artificial de diastemas puede tener serias repercusiones para la salud oral. Provocar diastemas en una boca sana está totalmente desaconsejado, ya que puede dar lugar a problemas importantes, que van desde el aumento de caries hasta alteraciones en la mordida. Esto puede resultar en dolores y malestar general, afectando la calidad de vida. Lo que nunca, nunca debes hacer es intentar corregirlo sin ir a un dentista. Por ejemplo, en este vídeo puedes ver cómo una mujer joven intenta eliminar su diastema usando gomas. Esto es un error, ya que los dientes no se pueden mover de un lado para otro sin más, hay que tener en cuenta que la dentadura debe de engranar correctamente en su totalidad, es decir, tener una buena oclusión. Todos hemos visto famosos con diastema, como puede ser Vanessa Paradis o Madonna. Pero lo que sí es desaconsejable es provocarse un diastema a propósito cuando la boca está originalmente sana.
Diagnóstico del Diastema
El diagnóstico del diastema se realiza a través de una revisión dental y una evaluación visual por parte del dentista. El dentista puede considerar diversos factores al hacer un diagnóstico, como la edad del paciente, la presencia de hábitos orales como el mordisco de labios o la succión de dedos, y cualquier problema de mordida. El primer factor a considerar es la alineación dental.
Clínica Dental Montse Timoneda
Dra. Desde muy joven la Dra. Montse Timoneda manifestó una gran pasión por el Oficio de Odontólogo, cuando con solo 14 años lo descubrió en su primera visita al dentista. Actualmente la Dra. Timoneda desarrolla su actividad desde hace más de veinte años en su Clínica Dental en el centro de Tarragona, siempre con la premisa de ejercer su profesión desde la nobleza, la sensibilidad y la excelencia profesional, entendiéndola como un reto y a la vez como algo muy humano.
Si presentas un diastema y quieres corregirlo, te invitamos a acudir a una primera visita gratuita a una de nuestras clínicas dentales.
tags: #que #es #diastemas #en #odontologia