La salud bucal no se limita solo a los dientes y las encías; el paladar también puede presentar dolencias que requieren atención. Es importante prestar atención a esta zona de la cavidad oral para detectar rápidamente cualquier anomalía que pueda indicar la aparición de ciertas enfermedades.

¿Qué es la Melanosis Gingival?
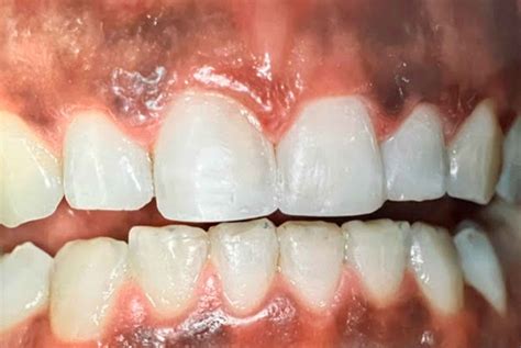
La melanosis gingival, también conocida como encías negras, es un trastorno de pigmentación que afecta la estética de la sonrisa, aunque no representa un riesgo grave para la salud. Pese a afectar solo a factores estéticos, es aconsejable acudir a la consulta de un profesional periodoncista en el momento que aparece una mancha negra en la encía o esta se oscurece. Las tinciones oscuras en las encías comúnmente están relacionadas con enfermedades bucodentales por lo que es importante descartar cualquier posible enfermedad periodontal.
Causas de las Manchas Marrones en el Paladar
Los motivos por los que puede surgir una mancha negra en la encía pueden ser varios, como por ejemplo un consumo reiterado de ciertos medicamentos que afecten al sistema endocrino del paciente. Aunque no es lo habitual, la melanosis gingival puede ser también un signo de lesión periodontal o incluso de algunas enfermedades más graves como el cáncer oral.
Algunas de las causas más comunes incluyen:
- Aumento de secreción de melanina: Una mancha negra en la encía suele estar causada por un aumento de secreción de la melanina, conocido como melanoplaquia. Es común que esta afección sea de naturaleza hereditaria y no implique una enfermedad periodontal, pero no hay manera de prevenir su aparición.
- Tabaquismo: Otra causa de la melanosis gingival es el depósito de sustancias tóxicas del tabaco. La nicotina puede ser responsable de generar alguna mancha negra en la encía con ausencia de brillo. En este caso, lo mejor es dejar de fumar o, al menos, reducir la cantidad de cigarros que se fuman diariamente.
- Amalgama: Una mancha negra en la encía también puede estar causada por el contacto con restauraciones de amalgama. Estas están fabricadas con metal y al entrar en continua fricción con la encía pueden generar la melanosis gingival. Este hecho tampoco significa que exista un problema de salud, sino que es únicamente estético.
- Enfermedades periodontales: Las enfermedades periodontales (gingivitis y periodontitis) afectan directamente al tejido de las encías. Lo habitual es que estas se inflamen y enrojezcan, pero hay casos en los que la acumulación de sarro y placa bacteriana acaba causando que la encía se vuelva oscura. Para tratar una encía oscura por una enfermedad periodontal hay que eliminar primero la infección y después realizar los tratamientos especializados para eliminar las manchas negras u oscuras.
- Ciertos medicamentos: Algunos medicamentos como los anticonceptivos y algunos antibióticos presentan en sus efectos secundarios la melanosis gingival. Pueden hacer modificaciones en la mucosa oral, causando manchas negras en las encías.
- Tratamientos dentales: Durante el postoperatorio de algunos tratamientos dentales como el injerto de encía puede generarse una necrosis en la zona. Esto consiste en que la cantidad de sangre que fluye por ese tejido es mínima. Por tanto, el tejido corporal muere temporalmente haciendo que la encía se oscurezca. Es algo de lo que no hay que preocuparse, es muy común y desaparece en cuestión de días.

Diagnóstico de las Manchas en la Boca
La cavidad oral es un reflejo del estado de salud general. Pero no todas las manchas en la boca son motivo de preocupación. Algunas pueden ser simplemente el resultado de una lesión menor o una reacción a ciertos alimentos, colutorios, raspados o medicamentos. Por lo general, suelen ser asintomáticas y desaparecen espontáneamente.
En general el diagnóstico de las lesiones de la mucosa oral se realiza en consulta médica mediante la inspección visual, la anamnesis del paciente, estudios de laboratorio y en algunos casos, la toma de una muestra de la lesión para su análisis histológico posterior.
Tratamientos para Eliminar las Manchas Negras en las Encías
Existe un gran abanico de opciones para eliminar una mancha negra en la encía, pero el principal es el tratamiento periodontal de microcirugía gingival, que se realiza con el láser de er-Yag. Se basa en eliminar el tejido oscurecido de la encía a través de la emisión de una luz a una longitud de onda de 2940 nanómetros que estimula la regeneración de la mucosa sin causarle el menor daño. Este tratamiento mínimamente invasivo es la solución más cómoda, indolora, eficaz y segura para el paciente, consiguiendo grandes resultados.
Otros tratamientos incluyen:
- Microabrasión: Se utiliza para pulir cuidadosamente cualquier tipo de mancha negra en la encía hasta borrarla. A través de esta técnica, el dentista es capaz de eliminar la melanosis gingival y devolver al paciente su color de encía natural.
- Despigmentación con bisturí: Esta técnica es una de las más efectivas para eliminar una mancha negra en la encía, pero es cierto que su cicatrización conlleva más tiempo al tratarse de un método quirúrgico.
Es importante tener en cuenta que solo un profesional de la salud puede diagnosticar la causa de las manchas en la boca y recomendar el tratamiento más adecuado. Por lo tanto, ante la presencia de manchas en la boca, se debe buscar atención médica.
⚫️¿Qué son estas MANCHAS NEGRAS en las ENCÍAS? - Melanosis gingival
Tipos de Mucosa Oral y sus Características
Podemos encontrar tres tipos bien diferenciados de mucosa oral normal con características diferentes, en función de las regiones de la cavidad oral sobe las que asienta:
- Mucosa de revestimiento: su principal función es la protección. Formada por un epitelio no queratinizado unido a un tejido conectivo elástico y flexible; es distensible y se adapta a la contracción y la relajación. Está presente en la cara interior de las mejillas, labios, paladar blando, la cara ventral de la lengua y el suelo de la boca y representa aproximadamente un 60% de la superficie total de la mucosa oral.
- Mucosa masticatoria: presente en las encías y en el paladar duro, interviene en la masticación. Suele estar fijada al hueso. Representa alrededor del 25% de la superficie total de la mucosa oral.
- Mucosa especializada: se encuentra en la cara dorsal de la lengua y en ella se encuentran las papilas gustativas. Representa aproximadamente un 15% del total de la mucosa oral.
Tabla Resumen de Condiciones y Recomendaciones
| Color de la Mancha | Nombre de la Condición | Descripción Breve | Causa(s) Posible(s) | Recomendación |
|---|---|---|---|---|
| Blanco | Leucoplasia | Placas blancas, no desprendibles al frotar | Tabaquismo, Irritación | Evaluar por un profesional |
| Blanco | Candidiasis oral | Manchas blancas cremosas, retirables | Infección fúngica | Tratamiento antifúngico |
| Blanco | Liquen plano oral | Líneas blancas reticuladas, posible molestia | Desconocida, respuesta inmune | Seguimiento y manejo de síntomas |
| Rojo | Eritroplasia | Áreas rojas planas, pueden malignizar con el tiempo o en ausencia de tratamiento | Tabaquismo, alcohol e infección por virus papiloma humano (VPH) | Seguimiento necesario |
| Rojo | Gingivitis | Encías rojas, inflamadas | Acumulación de placa | Mejora de higiene oral, consulta dental |
| Rojo | Úlceras traumáticas | Lesiones con centro amarillo/blanco y halo rojo | Traumatismo | Autocuidado, evitar irritantes |
| Negro/Marrón | Melanosis oral | Pigmentación oscura | Tabaquismo, genética, medicamentos | Consultar si hay cambios |
| Negro/Marrón | Amalgama tatuaje | Manchas grises/negras por partículas de amalgama | Partículas de amalgama | Generalmente no requiere tratamiento |